• 文献检索
  • 文档翻译
  • 深度研究
  • 学术资讯
  • Suppr Zotero 插件Zotero 插件
  • 邀请有礼
  • 套餐&价格
  • 历史记录
应用&插件
Suppr Zotero 插件Zotero 插件浏览器插件Mac 客户端Windows 客户端微信小程序
定价
高级版会员购买积分包购买API积分包
服务
文献检索文档翻译深度研究API 文档MCP 服务
关于我们
关于 Suppr公司介绍联系我们用户协议隐私条款
关注我们

Suppr 超能文献

核心技术专利:CN118964589B侵权必究
粤ICP备2023148730 号-1Suppr @ 2026

文献检索

告别复杂PubMed语法,用中文像聊天一样搜索,搜遍4000万医学文献。AI智能推荐,让科研检索更轻松。

立即免费搜索

文件翻译

保留排版,准确专业,支持PDF/Word/PPT等文件格式,支持 12+语言互译。

免费翻译文档

深度研究

AI帮你快速写综述,25分钟生成高质量综述,智能提取关键信息,辅助科研写作。

立即免费体验

机器人辅助腹腔镜手术切除小儿IV期神经母细胞瘤:病例报告及文献综述

Removal of pediatric stage IV neuroblastoma by robot-assisted laparoscopy: A case report and literature review.

作者信息

Chen Di-Xiang, Hou Yi-Han, Jiang Ya-Nan, Shao Li-Wei, Wang Shan-Jie, Wang Xian-Qiang

机构信息

Department of Pediatrics, PLA General Hospital, Beijing 100853, China.

Beijing University of Chinese Medicine, Beijing 100029, China.

出版信息

World J Clin Cases. 2019 Jun 26;7(12):1499-1507. doi: 10.12998/wjcc.v7.i12.1499.

DOI:10.12998/wjcc.v7.i12.1499
PMID:31363479
原文链接:https://pmc.ncbi.nlm.nih.gov/articles/PMC6656671/
Abstract

BACKGROUND

Neuroblastoma (NB) is the most common extracranial solid tumor in children, with an incidence of approximately 1/10000. Surgical resection is an effective treatment for children with NB. Robot-assisted laparoscopic surgery is a new method and is superior to conventional laparoscopic surgery, since it has been preliminarily applied in clinical practice with a significant curative effect. This paper discusses significance and feasibility of complete resection of stage IV NB using robot-assisted laparoscopic surgery, while comparing its safety and effectiveness with conventional laparoscopic surgery.

CASE SUMMARY

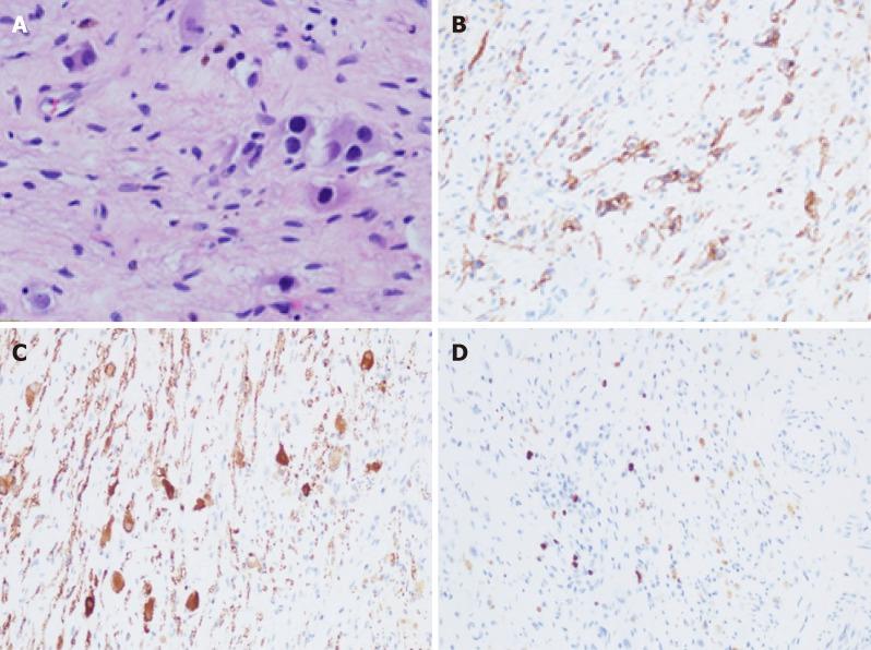
In June 2018, a girl with stage IV retroperitoneal NB, aged 3 years and 5 mo, was admitted. Her weight was 15 kg, and her height was 100 cm. Robot-assisted, five-port laparoscopic resection of NB was performed. Starting from the middle point between the navel and the anterior superior iliac spine to the left lower abdomen, the pneumoperitoneum and observation hole (10 mm) were established using the Hasson technique. Operation arm #1 was located between the left anterior axillary line, the navel, and the costal margin (8 mm); operation arm #2 was located at the intersection of the right anterior axillary line and Pfannenstiel line (8 mm); one auxiliary hole was located between arm #2 (on the Pfannenstiel line) and the observation hole (12 mm); and another auxiliary hole (5 mm) was located slightly below the left side of the xiphoid. Along the right line of Toldt and the hepatic flexure of the transverse colon, the colon was turned to the left and below with a hook electrode. Through Kocher's incision, the duodenum and the pancreatic head were turned to the left to expose the inferior vena cava and the abdominal aorta. The vein was separated along the right external iliac, and the inferior vena cava was then lifted to expose the right renal vein from the bottom to the top. The tumor was transected horizontally below the renal vein, and it was first cut into pieces and then resected. The right renal artery and the left renal vein were also exposed, and the retrohepatic inferior vena cava was isolated. The tumor was resected along the surface of the psoas muscle, the back of the inferior vena cava, and the right side of the abdominal aorta. Finally, the lymph node metas-tases in front of the abdominal aorta and left renal vein were completely removed. The specimens were loaded into a disposable specimen retrieval bag and removed from the enlarged auxiliary hole. T-tube drainage was placed and brought out through a hole in the right lower quadrant of the abdomen. The operative time was 389 min, the time of pneumoperitoneum was 360 min, the intraoperative blood loss was approximately 200 mL, and the postoperative recovery was smooth. There were no complications, such as lymphatic fistula, diarrhea, bleeding, and paralytic ileus. Two months after discharge, there were no other complications. The literature on the application of robot-assisted laparoscopic surgery in the treatment of NB in children was reviewed.

CONCLUSION

The robot has the advantages of a three-dimensional view and flexible operation, and it can operate finely along blood vessels. The successful experience of this case confirmed that robot-assisted laparoscopic surgery can skeletonize the abdominal blood vessels in the tumor and cut the tumor into pieces, indicating that robot-assisted laparoscopic surgery is feasible.

https://cdn.ncbi.nlm.nih.gov/pmc/blobs/2362/6656671/9441e1f907a6/WJCC-7-1499-g004.jpg
https://cdn.ncbi.nlm.nih.gov/pmc/blobs/2362/6656671/65bf7f1db656/WJCC-7-1499-g001.jpg
https://cdn.ncbi.nlm.nih.gov/pmc/blobs/2362/6656671/44801286f5c1/WJCC-7-1499-g002.jpg
https://cdn.ncbi.nlm.nih.gov/pmc/blobs/2362/6656671/76bbe165deb5/WJCC-7-1499-g003.jpg
https://cdn.ncbi.nlm.nih.gov/pmc/blobs/2362/6656671/9441e1f907a6/WJCC-7-1499-g004.jpg
https://cdn.ncbi.nlm.nih.gov/pmc/blobs/2362/6656671/65bf7f1db656/WJCC-7-1499-g001.jpg
https://cdn.ncbi.nlm.nih.gov/pmc/blobs/2362/6656671/44801286f5c1/WJCC-7-1499-g002.jpg
https://cdn.ncbi.nlm.nih.gov/pmc/blobs/2362/6656671/76bbe165deb5/WJCC-7-1499-g003.jpg
https://cdn.ncbi.nlm.nih.gov/pmc/blobs/2362/6656671/9441e1f907a6/WJCC-7-1499-g004.jpg
摘要

背景

神经母细胞瘤(NB)是儿童最常见的颅外实体瘤,发病率约为1/10000。手术切除是NB患儿的有效治疗方法。机器人辅助腹腔镜手术是一种新方法,已初步应用于临床实践且疗效显著,优于传统腹腔镜手术。本文探讨机器人辅助腹腔镜手术完全切除Ⅳ期NB的意义和可行性,并将其安全性和有效性与传统腹腔镜手术进行比较。

病例摘要

2018年6月,一名3岁5个月的Ⅳ期腹膜后NB女童入院。体重15kg,身高100cm。行机器人辅助五孔腹腔镜NB切除术。从脐与前上棘连线中点向左下腹,采用哈森技术建立气腹及观察孔(10mm)。操作臂1位于左腋前线、脐与肋缘之间(8mm);操作臂2位于右腋前线与耻骨联合上缘连线交点处(8mm);一个辅助孔位于操作臂2(耻骨联合上缘连线上)与观察孔之间(12mm);另一个辅助孔(5mm)位于剑突左侧稍下方。沿Toldt线右侧及横结肠肝曲,用钩形电极将结肠向左下方翻转。经Kocher切口,将十二指肠和胰头向左翻转,暴露下腔静脉和腹主动脉。沿右髂外静脉分离,然后提起下腔静脉,从下向上暴露右肾静脉。在肾静脉下方水平横断肿瘤,先将其切成小块再切除。同时暴露右肾动脉和左肾静脉,游离肝后下腔静脉。沿腰大肌表面、下腔静脉后方及腹主动脉右侧切除肿瘤。最后,彻底清除腹主动脉前方和左肾静脉旁的淋巴结转移灶。将标本装入一次性标本取出袋,从扩大的辅助孔取出。放置T管引流,经右下腹一个小孔引出。手术时间389分钟,气腹时间360分钟,术中失血约200ml,术后恢复顺利。无淋巴瘘、腹泻、出血及麻痹性肠梗阻等并发症。出院后两个月无其他并发症。回顾了机器人辅助腹腔镜手术在儿童NB治疗中的应用文献。

结论

机器人具有三维视野和操作灵活的优点,能沿血管精细操作。本病例的成功经验证实,机器人辅助腹腔镜手术能在肿瘤部位将腹部血管骨骼化并将肿瘤切成小块,表明机器人辅助腹腔镜手术是可行的。

相似文献

1
Removal of pediatric stage IV neuroblastoma by robot-assisted laparoscopy: A case report and literature review.机器人辅助腹腔镜手术切除小儿IV期神经母细胞瘤:病例报告及文献综述
World J Clin Cases. 2019 Jun 26;7(12):1499-1507. doi: 10.12998/wjcc.v7.i12.1499.
2
Robot Assisted Laparoscopy Combined with Thoracoscopy in the Treatment of Hepatocellular Carcinoma with Inferior Vena Cava Tumor Thrombus.机器人辅助腹腔镜联合胸腔镜治疗肝癌合并下腔静脉癌栓。
Ann Surg Oncol. 2023 Sep;30(9):5447-5449. doi: 10.1245/s10434-023-13512-5. Epub 2023 Jun 7.
3
[Preliminary experience of dual-port laparoscopic distal gastrectomy for gastric cancer].[双端口腹腔镜远端胃癌切除术的初步经验]
Zhonghua Wei Chang Wai Ke Za Zhi. 2019 Jan 25;22(1):35-42.
4
Robot-assisted Sistrunk's operation, total thyroidectomy, and neck dissection via a transaxillary and retroauricular (TARA) approach in papillary carcinoma arising in thyroglossal duct cyst and thyroid gland.经腋后(TARA)入路机器人辅助施行 Sistrunk 手术、甲状腺全切除术和颈淋巴结清扫术治疗甲状舌管囊肿和甲状腺起源的乳头状癌
Ann Surg Oncol. 2012 Dec;19(13):4259-61. doi: 10.1245/s10434-012-2674-y. Epub 2012 Oct 16.
5
Variation and treatment of vessels in laparoscopic right hemicolectomy.腹腔镜右半结肠切除术血管变异与处理。
Surg Endosc. 2018 Mar;32(3):1583-1584. doi: 10.1007/s00464-017-5751-2. Epub 2017 Jul 21.
6
An Optimal Approach for Laparoscopic D3 Lymphadenectomy Plus Complete Mesocolic Excision (D3+CME) for Right-Sided Colon Cancer.腹腔镜D3淋巴结清扫术联合完整结肠系膜切除术(D3+CME)治疗右半结肠癌的优化方法
Ann Surg Oncol. 2017 May;24(5):1312-1313. doi: 10.1245/s10434-016-5722-1. Epub 2016 Dec 19.
7
Robot-assisted laparoscopic retroperitoneal lymph node dissection with concomitant inferior vena cava thrombectomy for metastatic mixed testicular germ cell cancer: a case report.机器人辅助腹腔镜下后腹膜淋巴结清扫术联合下腔静脉血栓切除术治疗转移性混合性睾丸生殖细胞癌:一例报告
J Med Case Rep. 2019 Aug 27;13(1):272. doi: 10.1186/s13256-019-2200-y.
8
Retroperitoneal Approach to D3 Lymph Node Dissection With Left Colic Artery Preservation in the Treatment of Sigmoid Cancer.保留左结肠动脉的D3淋巴结清扫术的腹膜后入路在乙状结肠癌治疗中的应用
Dis Colon Rectum. 2024 Dec 1;67(12):e1754-e1755. doi: 10.1097/DCR.0000000000003354. Epub 2024 Sep 13.
9
Robot-assisted Laparoscopic Inferior Vena Cava Thrombectomy: Different Sides Require Different Techniques.机器人辅助腹腔镜下下腔静脉血栓切除术:不同部位需要不同的技术。
Eur Urol. 2016 Jun;69(6):1112-9. doi: 10.1016/j.eururo.2015.12.001. Epub 2015 Dec 17.
10
Robot-assisted gallbladder-preserving hepatectomy for treating S5 hepatoblastoma in a child: A case report and review of the literature.机器人辅助保留胆囊肝切除术治疗儿童S5段肝母细胞瘤:1例病例报告及文献复习
World J Clin Cases. 2019 Apr 6;7(7):872-880. doi: 10.12998/wjcc.v7.i7.872.

引用本文的文献

1
A Narrative Review of the Evolving Role of Robotic Surgery in Pediatrics: Innovations and Future Prospects.小儿机器人手术角色演变的叙述性综述:创新与未来展望
Cureus. 2025 Mar 11;17(3):e80419. doi: 10.7759/cureus.80419. eCollection 2025 Mar.
2
Paediatric robotic surgery: a narrative review.儿科机器人手术:叙述性综述。
J Robot Surg. 2023 Aug;17(4):1171-1179. doi: 10.1007/s11701-023-01523-z. Epub 2023 Jan 16.
3
Comparative analysis of robotic laparoscopic radical hysterectomy for cervical cancer.宫颈癌机器人辅助腹腔镜根治性子宫切除术的对比分析

本文引用的文献

1
Transumbilical laparoendoscopic single-site adrenalectomy: A feasible and safe alternative to standard laparoscopy.经脐单孔腹腔镜肾上腺切除术:一种可行且安全的标准腹腔镜手术替代方案。
Arch Ital Urol Androl. 2019 Mar 29;91(1):1-4. doi: 10.4081/aiua.2019.1.1.
2
Applicability and outcome of laparoscopic adrenalectomy for large tumours.腹腔镜肾上腺切除术治疗大肿瘤的适用性及结果
Pan Afr Med J. 2018 Sep 11;31:23. doi: 10.11604/pamj.2018.31.23.15153. eCollection 2018.
3
The Modified Semi-lateral Transmesocolic Approach for Laparoscopic Left Adrenalectomy.
World J Clin Cases. 2019 Oct 26;7(20):3185-3193. doi: 10.12998/wjcc.v7.i20.3185.
腹腔镜左侧肾上腺切除术的改良经横结肠系膜侧入路。
World J Surg. 2019 Jul;43(7):1708-1711. doi: 10.1007/s00268-019-04954-8.
4
Surgical Treatment of Completely Endophytic Renal Tumor: a Systematic Review.完全内生性肾肿瘤的外科治疗:一项系统评价
Curr Urol Rep. 2019 Jan 16;20(1):3. doi: 10.1007/s11934-019-0864-x.
5
Updates in Urologic Robot Assisted Surgery.泌尿外科机器人辅助手术的进展
F1000Res. 2018 Dec 18;7. doi: 10.12688/f1000research.15480.1. eCollection 2018.
6
Robot assisted minimally invasive esophagectomy (RAMIE) for esophageal cancer.机器人辅助微创食管切除术(RAMIE)治疗食管癌。
Best Pract Res Clin Gastroenterol. 2018 Oct-Dec;36-37:81-83. doi: 10.1016/j.bpg.2018.11.004. Epub 2018 Nov 29.
7
New remote centre of motion mechanism for robot-assisted minimally invasive surgery.新型机器人辅助微创手术运动机制远程中心
Biomed Eng Online. 2018 Nov 20;17(1):170. doi: 10.1186/s12938-018-0601-6.
8
Re: Robot-assisted Laparoscopic Prostatectomy Versus Open Radical Retropubic Prostatectomy: 24-month Outcomes from a Randomised Controlled Study.关于:机器人辅助腹腔镜前列腺切除术与开放性耻骨后根治性前列腺切除术:一项随机对照研究的24个月结果。
Eur Urol. 2019 Jan;75(1):200. doi: 10.1016/j.eururo.2018.10.039. Epub 2018 Nov 1.
9
Comparison of surgical outcomes of robot-assisted laparoscopic distal pancreatectomy versus laparoscopic and open resections: A systematic review and meta-analysis.机器人辅助腹腔镜胰体尾切除术与腹腔镜和开腹切除术的手术效果比较:系统评价和荟萃分析。
Asian J Surg. 2019 Jan;42(1):32-45. doi: 10.1016/j.asjsur.2018.08.011. Epub 2018 Oct 15.
10
Robotic surgery in pediatric urology: Current status.小儿泌尿外科中的机器人手术:现状
Asian J Endosc Surg. 2018 Nov;11(4):308-317. doi: 10.1111/ases.12653. Epub 2018 Sep 27.