Suppr超能文献

颈部前部巨大脂肪瘤:1例罕见病例报告及文献复习

Giant lipoma in the anterior region of the neck: A case report of a rare condition and review of literature.

作者信息

Lee Su Jin, Le Khang Duy Ricky, Kollias James, Davies Roger

机构信息

Department of Radiology, Adelaide MRI, Adelaide, South Australia, Australia.

Department of General Surgical Specialities, The Royal Melbourne Hospital, Melbourne, Victoria, Australia.

出版信息

Radiol Case Rep. 2025 Apr 12;20(7):3197-3200. doi: 10.1016/j.radcr.2025.03.026. eCollection 2025 Jul.

Abstract

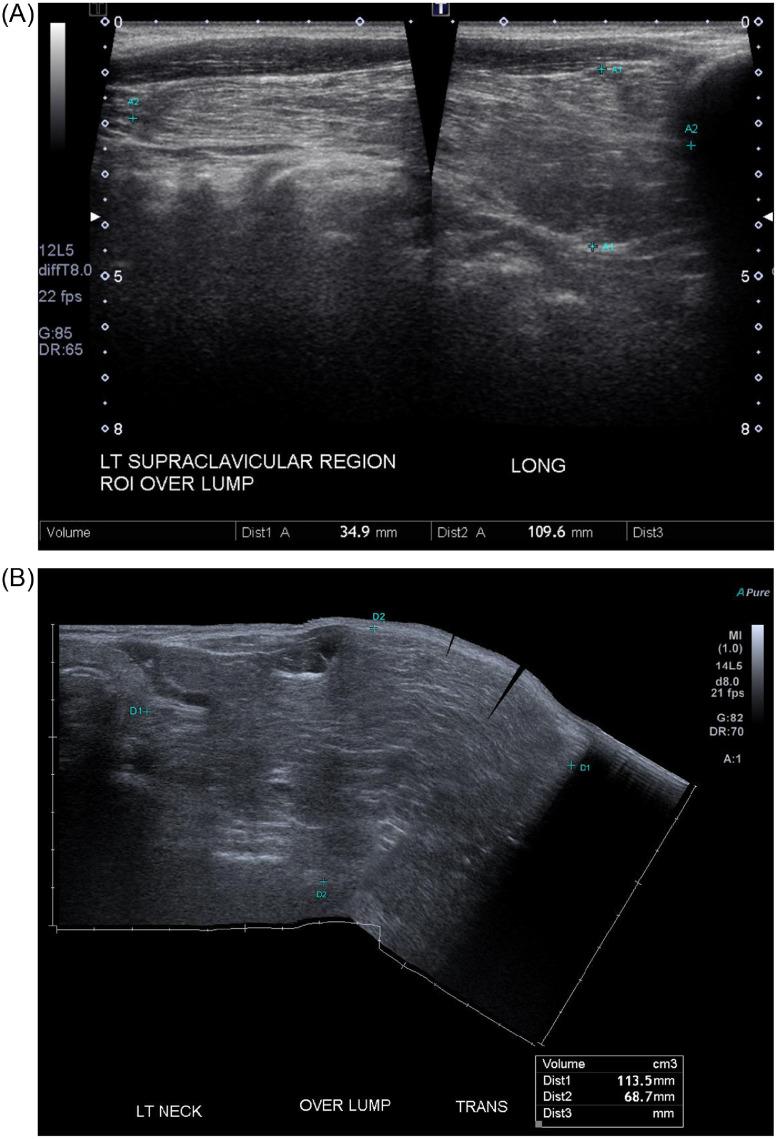
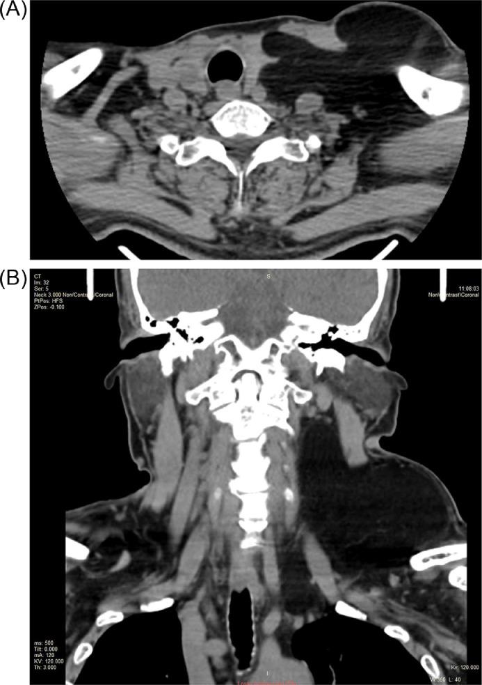
Lipomas are benign and very common subcutaneous tumors of adipose tissue, which may occur anywhere in the body. Lipomas in head and neck regions are extremely rare. A giant neck lipoma is classified as a lesion greater than 10 cm in one dimension or weighing more than 1000 g. In this case report and review of the literature, a 66-year-old male with likely diagnosis of neck lipoma was under 5-year surveillance prior to development of giant neck lipoma. Computed tomography provided critical insight in the extent of neck mass in relation to surrounding structures in assessing possibility of malignancy and in guiding appropriate management.

摘要

脂肪瘤是一种常见的良性皮下脂肪组织肿瘤,可发生于身体的任何部位。头颈部脂肪瘤极为罕见。巨大颈部脂肪瘤是指在某一维度上大于10厘米或重量超过1000克的病变。在本病例报告及文献回顾中,一名66岁男性在诊断为颈部脂肪瘤后,在发生巨大颈部脂肪瘤之前接受了5年的监测。计算机断层扫描对于评估颈部肿块相对于周围结构的范围、判断恶性可能性以及指导适当的治疗提供了关键的见解。

https://cdn.ncbi.nlm.nih.gov/pmc/blobs/8e30/12019713/26697b487e97/gr1.jpg

文献AI研究员

20分钟写一篇综述,助力文献阅读效率提升50倍。

立即体验

用中文搜PubMed

大模型驱动的PubMed中文搜索引擎

马上搜索

文档翻译

学术文献翻译模型,支持多种主流文档格式。

立即体验