Suppr超能文献

一名14岁女性青少年中1型类转导素分裂增强子(TLE-1)阳性的原发性胸膜肺滑膜肉瘤:病例报告及文献综述

Transducin-like enhancer of split-1 (TLE-1)-positive primary pleuropulmonary synovial sarcoma in a 14-year-old female adolescent: A case report and literature review.

作者信息

Arega Gashaw, Asfaw Hewan, Sisay Samuel, Salah Fathia Omer, Mamo Tihitena Negussie, Negussie Michael A, Adane Leul

机构信息

Department of Pediatrics and Child Health, College of Health Sciences, Addis Ababa University, Addis Ababa, Ethiopia.

Department of Radiology, College of Health Sciences, Addis Ababa University, Addis Ababa, Ethiopia.

出版信息

Radiol Case Rep. 2025 Apr 14;20(7):3295-3298. doi: 10.1016/j.radcr.2025.03.063. eCollection 2025 Jul.

Abstract

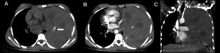
Primary pleuropulmonary synovial sarcoma (PPSS) is a rare malignant soft tissue sarcoma primarily affecting adolescents and young adults. Diagnosis relies on clinical examination, radiological imaging, and confirmation through histopathological and immunohistochemical analyses. Due to nonspecific symptoms, diagnosis is often delayed. Treatment typically involves a multimodal approach, including systemic chemotherapy, surgical intervention, and radiotherapy. We present the case of a 14-year-old female with a 5-month history of cough, low-grade fever, and weight loss. A contrast-enhanced chest CT scan revealed a large left thoracic mass with lung infiltration, mediastinal invasion, and multiple enlarged lymph nodes. Histopathological and immunohistochemical analyses confirmed a primary pulmonary synovial sarcoma positive for transducer-like enhancer of split-1 (TLE-1). The patient underwent 2 cycles of neoadjuvant chemotherapy with ifosfamide and doxorubicin, but no significant improvement was observed. Local control options, including surgery and radiotherapy, were deemed infeasible, and palliative care was initiated.

摘要

原发性胸膜肺滑膜肉瘤(PPSS)是一种罕见的恶性软组织肉瘤,主要影响青少年和年轻成年人。诊断依赖于临床检查、影像学检查,并通过组织病理学和免疫组织化学分析来确诊。由于症状不具特异性,诊断往往会延迟。治疗通常采用多模式方法,包括全身化疗、手术干预和放疗。我们报告一例14岁女性患者,有5个月的咳嗽、低热和体重减轻病史。增强胸部CT扫描显示左胸有一个大肿块,伴有肺部浸润、纵隔侵犯和多个肿大淋巴结。组织病理学和免疫组织化学分析证实为原发性肺滑膜肉瘤,对分裂样增强子-1(TLE-1)呈阳性。该患者接受了2个周期的异环磷酰胺和阿霉素新辅助化疗,但未见明显改善。包括手术和放疗在内的局部控制方案被认为不可行,于是开始了姑息治疗。

https://cdn.ncbi.nlm.nih.gov/pmc/blobs/5947/12018974/51ad9f76bbb9/gr1.jpg

文献AI研究员

20分钟写一篇综述,助力文献阅读效率提升50倍。

立即体验

用中文搜PubMed

大模型驱动的PubMed中文搜索引擎

马上搜索

文档翻译

学术文献翻译模型,支持多种主流文档格式。

立即体验