• 文献检索
  • 文档翻译
  • 深度研究
  • 学术资讯
  • Suppr Zotero 插件Zotero 插件
  • 邀请有礼
  • 套餐&价格
  • 历史记录
应用&插件
Suppr Zotero 插件Zotero 插件浏览器插件Mac 客户端Windows 客户端微信小程序
定价
高级版会员购买积分包购买API积分包
服务
文献检索文档翻译深度研究API 文档MCP 服务
关于我们
关于 Suppr公司介绍联系我们用户协议隐私条款
关注我们

Suppr 超能文献

核心技术专利:CN118964589B侵权必究
粤ICP备2023148730 号-1Suppr @ 2026

文献检索

告别复杂PubMed语法,用中文像聊天一样搜索,搜遍4000万医学文献。AI智能推荐,让科研检索更轻松。

立即免费搜索

文件翻译

保留排版,准确专业,支持PDF/Word/PPT等文件格式,支持 12+语言互译。

免费翻译文档

深度研究

AI帮你快速写综述,25分钟生成高质量综述,智能提取关键信息,辅助科研写作。

立即免费体验

去黏附素在前列腺腺癌中的表达及其与E-钙黏蛋白和β-连环蛋白的关系。

Dysadherin expression in prostatic adenocarcinoma and its relationship with E-cadherin and β-catenin.

作者信息

Limani Rinë, Kondirolli Labinota, Blakaj Gashi Brikenë, Ulamec Monika, Krušlin Božo

机构信息

Faculty of Medicine, University of Prishtina, Prishtina, Kosovo.

Institute of Anatomical Pathology, University Clinical Center of Kosovo, Prishtina, Kosovo.

出版信息

Future Sci OA. 2025 Dec;11(1):2494972. doi: 10.1080/20565623.2025.2494972. Epub 2025 Apr 28.

DOI:10.1080/20565623.2025.2494972
PMID:40292544
原文链接:https://pmc.ncbi.nlm.nih.gov/articles/PMC12039401/
Abstract

BACKGROUND

We analyzed immunoexpression of Dysadherin, E-cadherin and ß-catenin proteins in prostate.

METHODS

53 radical prostatectomy specimens were included. Dysadherin, E-cadherin and ß-catenin were evaluated in prostatic adenocarcinoma and in adjacent non-tumorous tissue, and correlated with clinicomorphological features in prostatic adenocarcinoma.

RESULTS

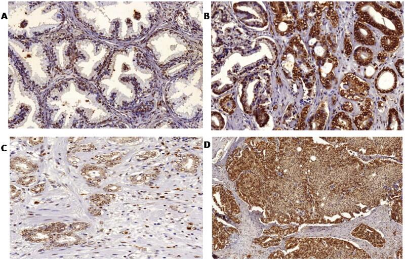
We report cytoplasmic/membraneous and nuclear staining for Dysadherin in prostatic tissue. Cytoplasmic/membraneous expression was stronger in prostatic adenocarcinoma when compared to adjacent non-tumorous prostatic tissue (p < 0.001).

UNLABELLED

Dysadherin positively correlated with T status (rho = 0.326, P = 0.017) and Grade Group (rho = 0.278, P = 0.044). We report no correlation with recurrence, surgical margins status, sPSA and N status. E-cadherin was negatively correlated with recurrence (rho = -0.297, P = 0.031), T status (rho = -0.430, P = 0.001), Grade Group (rho = -0.558, P < 0.001) and positive surgical margins (rho = -0.404, P = 0.003). ß-catenin negatively correlated with Grade Group (rho = -0.557, P < 0,001). No correlation was observed between Dysadherin and E-cadherin and Dysadherin and ß-catenin expression.

CONCLUSION

Our results suggest a potential role for Dysadherin in tumor progression. No significant correlation between Dysadherin and E-cadherin or ß-catenin indicates potential independence of Dysadherin in its regulatory role in prostatic adenocarcinoma.

摘要

背景

我们分析了前列腺中去黏附素、E-钙黏蛋白和β-连环蛋白的免疫表达情况。

方法

纳入53例前列腺癌根治术标本。对前列腺腺癌及相邻非肿瘤组织中的去黏附素、E-钙黏蛋白和β-连环蛋白进行评估,并与前列腺腺癌的临床形态学特征进行关联分析。

结果

我们报道了前列腺组织中去黏附素的胞质/膜性及核染色情况。与相邻非肿瘤性前列腺组织相比,前列腺腺癌中的胞质/膜性表达更强(p < 0.001)。

未标记

去黏附素与T分期呈正相关(rho = 0.326,P = 0.017),与分级组呈正相关(rho = 0.278,P = 0.044)。我们报道其与复发、手术切缘状态、血清前列腺特异抗原(sPSA)及N分期无相关性。E-钙黏蛋白与复发呈负相关(rho = -0.297,P = 0.031),与T分期呈负相关(rho = -0.430,P = 0.001),与分级组呈负相关(rho = -0.558,P < 0.001),与手术切缘阳性呈负相关(rho = -0.404,P = 0.003)。β-连环蛋白与分级组呈负相关(rho = -0.557,P < 0.001)。未观察到去黏附素与E-钙黏蛋白及去黏附素与β-连环蛋白表达之间的相关性。

结论

我们的结果提示去黏附素在肿瘤进展中可能发挥作用。去黏附素与E-钙黏蛋白或β-连环蛋白之间无显著相关性,表明去黏附素在前列腺腺癌中的调节作用可能具有独立性。

https://cdn.ncbi.nlm.nih.gov/pmc/blobs/83c2/12039401/743e811fa81f/IFSO_A_2494972_F0003_C.jpg
https://cdn.ncbi.nlm.nih.gov/pmc/blobs/83c2/12039401/7881e0d7dcf5/IFSO_A_2494972_F0001_C.jpg
https://cdn.ncbi.nlm.nih.gov/pmc/blobs/83c2/12039401/4468580bc048/IFSO_A_2494972_F0002_C.jpg
https://cdn.ncbi.nlm.nih.gov/pmc/blobs/83c2/12039401/743e811fa81f/IFSO_A_2494972_F0003_C.jpg
https://cdn.ncbi.nlm.nih.gov/pmc/blobs/83c2/12039401/7881e0d7dcf5/IFSO_A_2494972_F0001_C.jpg
https://cdn.ncbi.nlm.nih.gov/pmc/blobs/83c2/12039401/4468580bc048/IFSO_A_2494972_F0002_C.jpg
https://cdn.ncbi.nlm.nih.gov/pmc/blobs/83c2/12039401/743e811fa81f/IFSO_A_2494972_F0003_C.jpg

相似文献

1
Dysadherin expression in prostatic adenocarcinoma and its relationship with E-cadherin and β-catenin.去黏附素在前列腺腺癌中的表达及其与E-钙黏蛋白和β-连环蛋白的关系。
Future Sci OA. 2025 Dec;11(1):2494972. doi: 10.1080/20565623.2025.2494972. Epub 2025 Apr 28.
2
Exploring the Relationship between E-Cadherin and β-Catenin Cell Adhesion Proteins and Periacinar Retraction Clefting in Prostatic Adenocarcinoma.探索E-钙黏蛋白和β-连环蛋白细胞黏附蛋白与前列腺腺癌腺泡周围退缩裂隙之间的关系。
Diagnostics (Basel). 2024 Feb 28;14(5):511. doi: 10.3390/diagnostics14050511.
3
Dysadherin overexpression in pancreatic ductal adenocarcinoma reflects tumor aggressiveness: relationship to e-cadherin expression.胰腺导管腺癌中去黏附素过表达反映肿瘤侵袭性:与E-钙黏蛋白表达的关系
J Clin Oncol. 2003 Feb 15;21(4):659-67. doi: 10.1200/JCO.2003.06.179.
4
Epithelial-Mesenchymal Transition Markers β-catenin, Snail, and E-Cadherin do not Predict Disease Free Survival in Prostate Adenocarcinoma: a Prospective Study.上皮-间质转化标志物β-连环蛋白、Snail和E-钙黏蛋白不能预测前列腺腺癌的无病生存期:一项前瞻性研究。
Pathol Oncol Res. 2015 Sep;21(4):1209-16. doi: 10.1007/s12253-015-9958-z. Epub 2015 Jun 4.
5
Association Between the Immunohistochemistry Expression of E-cadherin, Beta-Catenin, and CD44 in Colorectal Adenocarcinoma.结直肠癌中E-钙黏蛋白、β-连环蛋白和CD44的免疫组织化学表达之间的关联
Cureus. 2023 Mar 2;15(3):e35686. doi: 10.7759/cureus.35686. eCollection 2023 Mar.
6
Comparison of the dysadherin and E-cadherin expression in primary lung cancer and metastatic sites.比较原发性肺癌和转移部位中黏附缺失蛋白和 E-钙黏蛋白的表达。
Histol Histopathol. 2010 Oct;25(10):1257-67. doi: 10.14670/HH-25.1257.
7
Co-downregulation of cell adhesion proteins alpha- and beta-catenins, p120CTN, E-cadherin, and CD44 in prostatic adenocarcinomas.前列腺腺癌中细胞黏附蛋白α-连环蛋白、β-连环蛋白、p120连环蛋白、E-钙黏蛋白和CD44的共同下调。
Hum Pathol. 2001 Aug;32(8):849-55. doi: 10.1053/hupa.2001.26463.
8
Prognostic significance of dysadherin expression in patients with non-small cell lung cancer.非小细胞肺癌患者中dysadherin表达的预后意义
J Thorac Cardiovasc Surg. 2005 Sep;130(3):740-5. doi: 10.1016/j.jtcvs.2004.12.051.
9
The EMT status in the primary tumor does not predict postoperative recurrence or disease-free survival in lung adenocarcinoma.原发肿瘤中的 EMT 状态不能预测肺腺癌的术后复发或无病生存。
Anticancer Res. 2011 Dec;31(12):4451-6.
10
Decreased expression of catenins (alpha and beta), p120 CTN, and E-cadherin cell adhesion proteins and E-cadherin gene promoter methylation in prostatic adenocarcinomas.前列腺癌中连环蛋白(α和β)、p120连环蛋白和E-钙黏蛋白细胞黏附蛋白的表达降低以及E-钙黏蛋白基因启动子甲基化
Cancer. 2001 Dec 1;92(11):2786-95. doi: 10.1002/1097-0142(20011201)92:11<2786::aid-cncr10128>3.0.co;2-i.

本文引用的文献

1
The dysadherin/MMP9 axis modifies the extracellular matrix to accelerate colorectal cancer progression.黏着斑失活蛋白/MMP9 轴改变细胞外基质从而加速结直肠癌进展。
Nat Commun. 2024 Nov 30;15(1):10422. doi: 10.1038/s41467-024-54920-9.
2
The dysadherin/FAK axis promotes individual cell migration in colon cancer.黏着斑失巢蛋白/粘着斑激酶轴促进结肠癌中单个细胞的迁移。
Int J Biol Sci. 2024 Apr 8;20(7):2356-2369. doi: 10.7150/ijbs.86699. eCollection 2024.
3
Exploring the Relationship between E-Cadherin and β-Catenin Cell Adhesion Proteins and Periacinar Retraction Clefting in Prostatic Adenocarcinoma.
探索E-钙黏蛋白和β-连环蛋白细胞黏附蛋白与前列腺腺癌腺泡周围退缩裂隙之间的关系。
Diagnostics (Basel). 2024 Feb 28;14(5):511. doi: 10.3390/diagnostics14050511.
4
Engineering the Interactions of Classical Cadherin Cell-Cell Adhesion Proteins.工程化经典钙黏蛋白细胞-细胞黏附蛋白的相互作用。
J Immunol. 2023 Aug 1;211(3):343-349. doi: 10.4049/jimmunol.2300098.
5
Generation of the novel anti-FXYD5 monoclonal antibody and its application to the diagnosis of pancreatic and lung cancer.新型抗 FXYD5 单克隆抗体的制备及其在胰腺癌和肺癌诊断中的应用。
Biochimie. 2023 May;208:160-169. doi: 10.1016/j.biochi.2023.01.002. Epub 2023 Jan 5.
6
Prognostic value of dysadherin in cancer: A systematic review and meta-analysis.去黏附素在癌症中的预后价值:一项系统评价与荟萃分析
Front Oncol. 2022 Sep 2;12:945992. doi: 10.3389/fonc.2022.945992. eCollection 2022.
7
Dysadherin awakens mechanical forces and promotes colorectal cancer progression.黏着斑失活蛋白唤醒机械力并促进结直肠癌进展。
Theranostics. 2022 May 21;12(9):4399-4414. doi: 10.7150/thno.72354. eCollection 2022.
8
MMP8 increases tongue carcinoma cell-cell adhesion and diminishes migration via cleavage of anti-adhesive FXYD5.基质金属蛋白酶8通过切割抗黏附因子FXYD5增加舌癌细胞间的黏附并减少细胞迁移。
Oncogenesis. 2021 May 31;10(5):44. doi: 10.1038/s41389-021-00334-x.
9
IL-6 in inflammation, autoimmunity and cancer.白细胞介素-6在炎症、自身免疫和癌症中的作用
Int Immunol. 2021 Mar 1;33(3):127-148. doi: 10.1093/intimm/dxaa078.
10
Inflammation as a Driver of Prostate Cancer Metastasis and Therapeutic Resistance.炎症作为前列腺癌转移和治疗抗性的驱动因素
Cancers (Basel). 2020 Oct 15;12(10):2984. doi: 10.3390/cancers12102984.