• 文献检索
  • 文档翻译
  • 深度研究
  • 学术资讯
  • Suppr Zotero 插件Zotero 插件
  • 邀请有礼
  • 套餐&价格
  • 历史记录
应用&插件
Suppr Zotero 插件Zotero 插件浏览器插件Mac 客户端Windows 客户端微信小程序
定价
高级版会员购买积分包购买API积分包
服务
文献检索文档翻译深度研究API 文档MCP 服务
关于我们
关于 Suppr公司介绍联系我们用户协议隐私条款
关注我们

Suppr 超能文献

核心技术专利:CN118964589B侵权必究
粤ICP备2023148730 号-1Suppr @ 2026

文献检索

告别复杂PubMed语法,用中文像聊天一样搜索,搜遍4000万医学文献。AI智能推荐,让科研检索更轻松。

立即免费搜索

文件翻译

保留排版,准确专业,支持PDF/Word/PPT等文件格式,支持 12+语言互译。

免费翻译文档

深度研究

AI帮你快速写综述,25分钟生成高质量综述,智能提取关键信息,辅助科研写作。

立即免费体验

纵行斜坡骨折后创伤性基底动脉嵌顿:病例报告

Traumatic basilar artery incarceration following longitudinal clival fracture: illustrative case.

作者信息

Zach Rose V, Wang Kinsley C, Katyshev Vladimir, Zach Victor

机构信息

Department of Medicine, University of Arizona College of Medicine, Phoenix, Arizona.

Department of Neurology, Neurocritical Care and Stroke of Arizona, Phoenix, Arizona.

出版信息

J Neurosurg Case Lessons. 2025 Apr 28;9(17). doi: 10.3171/CASE24870.

DOI:10.3171/CASE24870
PMID:40294524
原文链接:https://pmc.ncbi.nlm.nih.gov/articles/PMC12036365/
Abstract

BACKGROUND

Clival fractures are rare injuries that occur following high-energy blunt trauma. Longitudinal clival fractures can lead to incarceration of the basilar artery within the bone fragments, often leading to stenosis or occlusion of the basilar artery, subsequently causing vascular compromise, significant ischemic events, and neurological deficits. The authors present a case of basilar artery incarceration following craniofacial trauma and review the relevant literature.

OBSERVATIONS

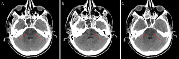
The reported case is of a 37-year-old male who presented following a 20-foot fall. CT angiography revealed a longitudinal fracture of the posterior wall of the right sphenoid sinus with basilar artery incarceration. CT of the head revealed pontine infarct with extension to the midbrain, indicating concern for severe shear injury and incarcerated basilar artery. The patient was transitioned to comfort care after discussion with his family.

LESSONS

A literature search yielded 23 patients with basilar artery incarceration following traumatic head injury, including the presented case. The most common traumatic etiologies included falls, motor vehicle crashes, and impact from a falling beam. A longitudinal clival fracture occurred in 22 patients. Angiography confirmed all cases, most commonly showing basilar artery occlusion. Outcomes were generally poor. This review further identifies the etiologies, clinical course, and radiographic features of basilar artery incarceration following craniofacial trauma. Although rare, clinicians should be aware of this devastating potential complication. https://thejns.org/doi/10.3171/CASE24870.

摘要

背景

斜坡骨折是高能钝性创伤后发生的罕见损伤。纵行斜坡骨折可导致基底动脉被嵌顿于骨碎片内,常导致基底动脉狭窄或闭塞,继而引起血管损害、严重缺血事件及神经功能缺损。作者报告1例颅面创伤后基底动脉嵌顿的病例并复习相关文献。

观察结果

报告的病例为一名37岁男性,因从20英尺高处坠落就诊。CT血管造影显示右蝶窦后壁纵行骨折伴基底动脉嵌顿。头颅CT显示脑桥梗死并延伸至中脑,提示存在严重剪切伤及基底动脉嵌顿。与患者家属讨论后,患者接受了舒适护理。

经验教训

文献检索发现23例创伤性颅脑损伤后基底动脉嵌顿的患者,包括本文报告的病例。最常见的创伤病因包括坠落、机动车碰撞及坠落横梁的撞击。22例患者发生纵行斜坡骨折。血管造影确诊了所有病例,最常见的表现为基底动脉闭塞。总体预后较差。本综述进一步明确了颅面创伤后基底动脉嵌顿的病因、临床过程及影像学特征。尽管罕见,但临床医生应意识到这种具有毁灭性的潜在并发症。https://thejns.org/doi/10.3171/CASE24870

https://cdn.ncbi.nlm.nih.gov/pmc/blobs/ba43/12036365/f94f81e45558/CASE24870_figure_3.jpg
https://cdn.ncbi.nlm.nih.gov/pmc/blobs/ba43/12036365/8d4ca80818a3/CASE24870_figure_1.jpg
https://cdn.ncbi.nlm.nih.gov/pmc/blobs/ba43/12036365/a599d1d60e0d/CASE24870_figure_2.jpg
https://cdn.ncbi.nlm.nih.gov/pmc/blobs/ba43/12036365/f94f81e45558/CASE24870_figure_3.jpg
https://cdn.ncbi.nlm.nih.gov/pmc/blobs/ba43/12036365/8d4ca80818a3/CASE24870_figure_1.jpg
https://cdn.ncbi.nlm.nih.gov/pmc/blobs/ba43/12036365/a599d1d60e0d/CASE24870_figure_2.jpg
https://cdn.ncbi.nlm.nih.gov/pmc/blobs/ba43/12036365/f94f81e45558/CASE24870_figure_3.jpg

相似文献

1
Traumatic basilar artery incarceration following longitudinal clival fracture: illustrative case.纵行斜坡骨折后创伤性基底动脉嵌顿:病例报告
J Neurosurg Case Lessons. 2025 Apr 28;9(17). doi: 10.3171/CASE24870.
2
Basilar artery incarceration secondary to a longitudinal clivus fracture: A rare and favorable outcome of an often devastating injury.继发于斜坡纵行骨折的基底动脉嵌顿:一种常为毁灭性损伤的罕见且良好结局。
Surg Neurol Int. 2022 Mar 25;13:107. doi: 10.25259/SNI_904_2021. eCollection 2022.
3
Basilar Artery Herniation into the Sphenoid Sinus Secondary to Traumatic Skull Base Fractures: Case Report and Review of the Literature.创伤性颅底骨折继发基底动脉疝入蝶窦:病例报告及文献复习
World Neurosurg. 2017 Feb;98:878.e7-878.e10. doi: 10.1016/j.wneu.2016.11.068. Epub 2016 Nov 22.
4
Traumatic Basilar Artery Entrapment without Longitudinal Clivus Fracture: A Case Report and Review of the Literature.无纵行斜坡骨折的创伤性基底动脉受压:一例报告及文献复习
Neurol Med Chir (Tokyo). 2018 Aug 15;58(8):362-367. doi: 10.2176/nmc.cr.2018-0041. Epub 2018 Jun 20.
5
Locked-In Syndrome after Traumatic Basilar Artery Entrapment within a Clivus Fracture: A Case Report and Review of the Literature.斜坡骨折致创伤性基底动脉嵌顿后的闭锁综合征:一例报告并文献复习
Neurotrauma Rep. 2020 Sep 14;1(1):73-77. doi: 10.1089/neur.2020.0015. eCollection 2020.
6
[A case of incarceration of the vertebral and basilar arteries in a longitudinal fracture of the clivus].[1例斜坡纵行骨折合并椎基底动脉嵌顿病例]
No Shinkei Geka. 1990 Dec;18(12):1147-50.
7
Traumatic basilar artery occlusion caused by a fracture of the clivus--case report.斜坡骨折导致创伤性基底动脉闭塞——病例报告
Neurol Med Chir (Tokyo). 2001 Nov;41(11):541-4. doi: 10.2176/nmc.41.541.
8
Endovascular Intervention in Basilar Artery Entrapment within the Longitudinal Clivus Fracture: A Case Report.纵向斜坡骨折致基底动脉受压的血管内介入治疗:一例报告
Neurol Med Chir (Tokyo). 2018 Aug 15;58(8):356-361. doi: 10.2176/nmc.cr.2017-0197. Epub 2018 Jun 20.
9
Fatal Entrapment of the Basilar Artery in a Longitudinal Fracture of the Clivus Due to Head Injury: A Case Report and Review of the Literature.头部损伤致斜坡纵行骨折致基底动脉致命性受压:一例报告并文献复习
Acad Forensic Pathol. 2017 Sep;7(3):453-468. doi: 10.23907/2017.038. Epub 2017 Sep 1.
10
Computed tomography and magnetic resonance imaging of a basilar artery herniation into the sphenoid sinus.基底动脉疝入蝶窦的计算机断层扫描和磁共振成像。
Skull Base. 2010 Jul;20(4):269-73. doi: 10.1055/s-0030-1247629.

本文引用的文献

1
Basilar artery incarceration secondary to a longitudinal clivus fracture: A rare and favorable outcome of an often devastating injury.继发于斜坡纵行骨折的基底动脉嵌顿:一种常为毁灭性损伤的罕见且良好结局。
Surg Neurol Int. 2022 Mar 25;13:107. doi: 10.25259/SNI_904_2021. eCollection 2022.
2
Locked-In Syndrome after Traumatic Basilar Artery Entrapment within a Clivus Fracture: A Case Report and Review of the Literature.斜坡骨折致创伤性基底动脉嵌顿后的闭锁综合征:一例报告并文献复习
Neurotrauma Rep. 2020 Sep 14;1(1):73-77. doi: 10.1089/neur.2020.0015. eCollection 2020.
3
Fatal Entrapment of the Basilar Artery in a Longitudinal Fracture of the Clivus Due to Head Injury: A Case Report and Review of the Literature.
头部损伤致斜坡纵行骨折致基底动脉致命性受压:一例报告并文献复习
Acad Forensic Pathol. 2017 Sep;7(3):453-468. doi: 10.23907/2017.038. Epub 2017 Sep 1.
4
Entrapment of the basilar artery within a clivus fracture: Case report and literature review.斜坡骨折致基底动脉受压:病例报告及文献复习
Neurochirurgie. 2019 Aug;65(4):191-194. doi: 10.1016/j.neuchi.2019.03.123. Epub 2019 May 13.
5
Traumatic Basilar Artery Entrapment without Longitudinal Clivus Fracture: A Case Report and Review of the Literature.无纵行斜坡骨折的创伤性基底动脉受压:一例报告及文献复习
Neurol Med Chir (Tokyo). 2018 Aug 15;58(8):362-367. doi: 10.2176/nmc.cr.2018-0041. Epub 2018 Jun 20.
6
Endovascular Intervention in Basilar Artery Entrapment within the Longitudinal Clivus Fracture: A Case Report.纵向斜坡骨折致基底动脉受压的血管内介入治疗:一例报告
Neurol Med Chir (Tokyo). 2018 Aug 15;58(8):356-361. doi: 10.2176/nmc.cr.2017-0197. Epub 2018 Jun 20.
7
Basilar Artery Herniation into the Sphenoid Sinus Secondary to Traumatic Skull Base Fractures: Case Report and Review of the Literature.创伤性颅底骨折继发基底动脉疝入蝶窦:病例报告及文献复习
World Neurosurg. 2017 Feb;98:878.e7-878.e10. doi: 10.1016/j.wneu.2016.11.068. Epub 2016 Nov 22.
8
Traumatic basilar artery entrapment with patency of pontine perforators and absence of significant brainstem infarction: report of an unusual case.伴有脑桥穿支通畅且无明显脑干梗死的创伤性基底动脉受压:1例罕见病例报告
BMJ Case Rep. 2016 Sep 19;2016:bcr2016012558. doi: 10.1136/bcr-2016-012558.
9
Clival fractures in a level I trauma center.一级创伤中心的斜坡骨折
J Neurosurg. 2015 Jan;122(1):227-35. doi: 10.3171/2014.9.JNS14245.
10
Teaching neuroimages: locked-in syndrome resulting from traumatic basilar artery occlusion following clivus fracture.教学神经影像:斜坡骨折后创伤性基底动脉闭塞导致的闭锁综合征
Neurology. 2012 Jun 12;78(24):e148-9. doi: 10.1212/WNL.0b013e318259e237.