Suppr超能文献

蛋白激酶A(PKA)通过磷酸化Rpd3/HDAC1在调节基因表达和代谢适应方面发挥保守作用。

PKA plays a conserved role in regulating gene expression and metabolic adaptation by phosphorylating Rpd3/HDAC1.

作者信息

Dai Wenjing, Yu Qi, Ma Rui, Zheng Zhu, Hong Lingling, Qi Yuqing, He Fei, Wang Min, Ge Feng, Yu Xilan, Li Shanshan

机构信息

State Key Laboratory of Biocatalysis and Enzyme Engineering, National & Local Joint Engineering Research Center of High-throughput Drug Screening Technology, College of Life Sciences, Hubei University, Wuhan, Hubei, China.

Key Laboratory of Algal Biology, Institute of Hydrobiology, Chinese Academy of Sciences, Wuhan, Hubei, China.

出版信息

Nat Commun. 2025 Apr 29;16(1):4030. doi: 10.1038/s41467-025-59064-y.

Abstract

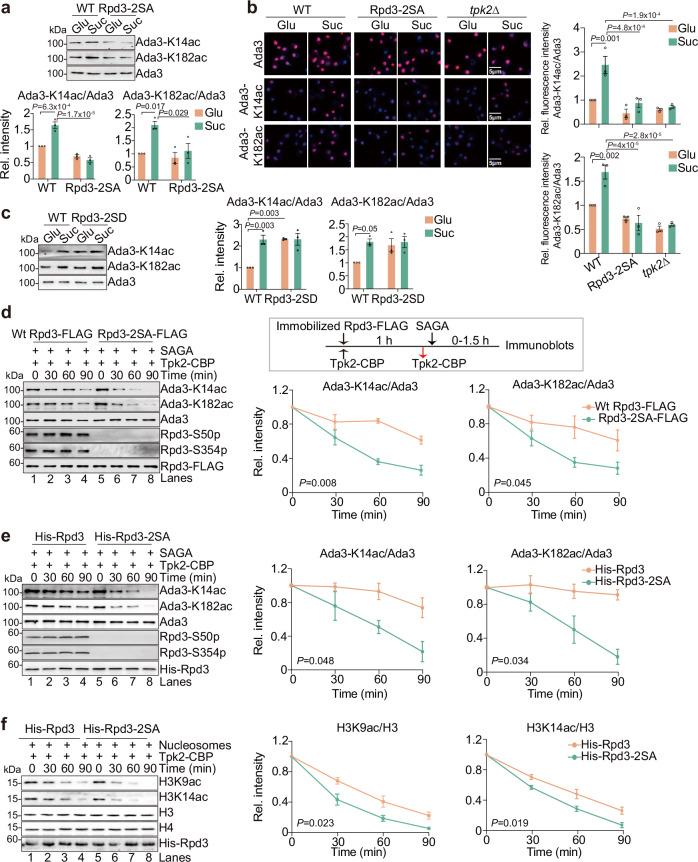
Cells need to reprogram their metabolism to adapt to extracellular nutrient changes. The yeast histone acetyltransferase SAGA (Spt-Ada-Gcn5-acetyltransferase) has been reported to acetylate its subunit Ada3 and form homo-dimers to enhance its ability to acetylate nucleosomes and facilitate metabolic gene transcription. How cells transduce extracellular nutrient changes to SAGA structure and function changes remains unclear. Here, we found that SAGA is deacetylated by Rpd3L complex and uncover how its deacetylase activity is repressed by nutrient sensor protein kinase A (PKA). When sucrose is used as the sole carbon source, PKA catalytic subunit Tpk2 is activated, which phosphorylates Rpd3L catalytic subunit Rpd3 to inhibit its ability to deacetylate Ada3. Moreover, Tpk2 phosphorylates Rpd3L subunit Ash1, which specifically reduces the interaction between Rpd3L and SAGA. By phosphorylating both Rpd3 and Ash1, Tpk2 inhibits Rpd3L-mediated Ada3 deacetylation, which promotes SAGA dimerization, nucleosome acetylation and transcription of genes involved in sucrose utilization and tricarboxylate (TCA) cycle, resulting in metabolic shift from glycolysis to TCA cycle. Most importantly, PKA phosphorylates HDAC1, the Rpd3 homolog in mammals to repress its deacetylase activity, promote TCA cycle gene transcription and facilitate cell growth. Our work hence reveals a conserved role of PKA in regulating Rpd3/HDAC1 and metabolic adaptation.

摘要

细胞需要重新编程其代谢以适应细胞外营养物质的变化。据报道,酵母组蛋白乙酰转移酶SAGA(Spt-Ada-Gcn5-乙酰转移酶)可使其亚基Ada3乙酰化并形成同型二聚体,以增强其乙酰化核小体的能力并促进代谢基因转录。细胞如何将细胞外营养物质的变化转化为SAGA结构和功能的变化仍不清楚。在这里,我们发现SAGA被Rpd3L复合物去乙酰化,并揭示了营养传感器蛋白激酶A(PKA)如何抑制其去乙酰化酶活性。当蔗糖用作唯一碳源时,PKA催化亚基Tpk2被激活,它使Rpd3L催化亚基Rpd3磷酸化,从而抑制其使Ada3去乙酰化的能力。此外,Tpk2使Rpd3L亚基Ash1磷酸化,这特异性地减少了Rpd3L与SAGA之间的相互作用。通过使Rpd3和Ash1都磷酸化,Tpk2抑制了Rpd3L介导的Ada3去乙酰化,从而促进了SAGA二聚化、核小体乙酰化以及参与蔗糖利用和三羧酸(TCA)循环的基因转录,导致代谢从糖酵解转变为TCA循环。最重要的是,PKA使哺乳动物中Rpd3的同源物HDAC1磷酸化,以抑制其去乙酰化酶活性,促进TCA循环基因转录并促进细胞生长。因此,我们的工作揭示了PKA在调节Rpd3/HDAC1和代谢适应中的保守作用。

https://cdn.ncbi.nlm.nih.gov/pmc/blobs/db3b/12041213/801ea7607c60/41467_2025_59064_Fig1_HTML.jpg

文献检索

告别复杂PubMed语法,用中文像聊天一样搜索,搜遍4000万医学文献。AI智能推荐,让科研检索更轻松。

立即免费搜索

文件翻译

保留排版,准确专业,支持PDF/Word/PPT等文件格式,支持 12+语言互译。

免费翻译文档

深度研究

AI帮你快速写综述,25分钟生成高质量综述,智能提取关键信息,辅助科研写作。

立即免费体验