• 文献检索
  • 文档翻译
  • 深度研究
  • 学术资讯
  • Suppr Zotero 插件Zotero 插件
  • 邀请有礼
  • 套餐&价格
  • 历史记录
应用&插件
Suppr Zotero 插件Zotero 插件浏览器插件Mac 客户端Windows 客户端微信小程序
定价
高级版会员购买积分包购买API积分包
服务
文献检索文档翻译深度研究API 文档MCP 服务
关于我们
关于 Suppr公司介绍联系我们用户协议隐私条款
关注我们

Suppr 超能文献

核心技术专利:CN118964589B侵权必究
粤ICP备2023148730 号-1Suppr @ 2026

文献检索

告别复杂PubMed语法,用中文像聊天一样搜索,搜遍4000万医学文献。AI智能推荐,让科研检索更轻松。

立即免费搜索

文件翻译

保留排版,准确专业,支持PDF/Word/PPT等文件格式,支持 12+语言互译。

免费翻译文档

深度研究

AI帮你快速写综述,25分钟生成高质量综述,智能提取关键信息,辅助科研写作。

立即免费体验

丙戊酸通过增强NRF2-FATP2介导的脂肪酸摄取诱导肝脂肪变性的机制。

Mechanism of valproic acid-induced hepatic steatosis via enhancing NRF2-FATP2-mediated fatty acid uptake.

作者信息

He Xiaoliang, Yuan Rui, Chen Ying, Huang Wenni, Xu Zihao, Wang Bixia, Liu Changhui, Xiong Tianqin

机构信息

School of Pharmaceutical Sciences, Guangzhou University of Chinese Medicine, Guangzhou 510006, China.

State Key Laboratory of Traditional Chinese Medicine Syndrome, School of Pharmaceutical Sciences, Guangzhou University of Chinese Medicine, Guangzhou 510006, China.

出版信息

Theranostics. 2025 Apr 13;15(11):5258-5276. doi: 10.7150/thno.108593. eCollection 2025.

DOI:10.7150/thno.108593
PMID:40303331
原文链接:https://pmc.ncbi.nlm.nih.gov/articles/PMC12036889/
Abstract

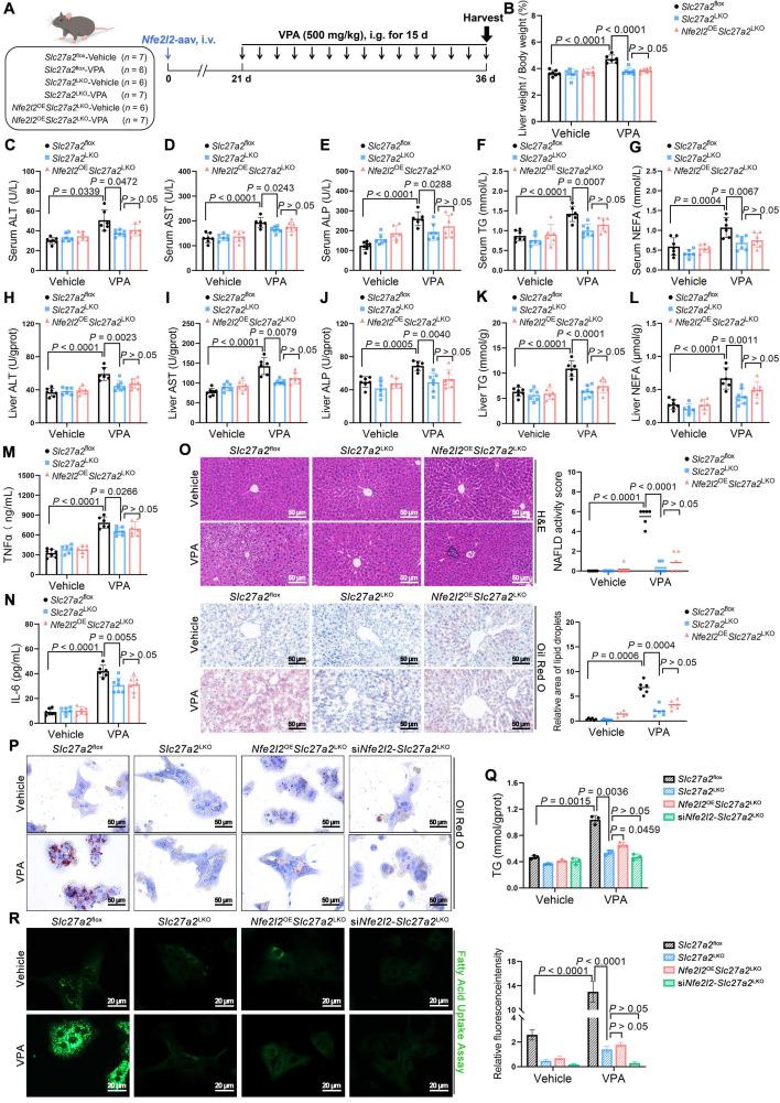
Valproic acid (VPA), a first-line antiepileptic drug, can induce life-threatening hepatic steatosis with prolonged use; however, the underlying mechanisms remain inadequately elucidated. Nuclear factor E2-related factor 2 (NRF2) is a hepatoprotective factor that maintains redox homeostasis; however, increased levels have been observed in VPA-induced hepatic steatosis. Therefore, the present study aimed to investigate the function of NRF2 in VPA-triggered hepatic steatosis. NRF2 overexpression mice, NRF2 knockout mice, and fatty acid transport protein 2 (FATP2) knockout mice were constructed using adeno-associated virus, homologous recombination, and CRISPR/Cas9 technology, respectively. The mice were then treated with or without oral VPA to induce hepatic steatosis. NRF2 nuclear expression was positively correlated with triglyceride levels in VPA-induced hepatic steatosis. NRF2 overexpression exacerbated VPA-triggered inflammation and steatosis, whereas NRF2 knockout alleviated the effects. Chromatin immunoprecipitation and dual-luciferase reporter gene assay confirmed that FATP2 is a target gene of NRF2. NRF2 exacerbated VPA-induced hepatic steatosis dependent on FATP2. VPA bound to Cys288 and Arg415 of Kelch-like ECH-associated protein 1 (KEAP1), leading to its autophagic degradation and subsequent nuclear translocation of NRF2. Our results revealed a mechanism that VPA binds to specific KEAP1 sites, promoting its degradation and disrupting the KEAP1-NRF2 complex, thereby facilitating NRF2 nuclear translocation. Subsequently, NRF2 activates FATP2 transcription, enhancing fatty acid uptake and contributing to hepatic steatosis. Our findings suggest that inhibiting the NRF2-FATP2 axis could improve VPA-induced hepatic steatosis, offering promising insights into managing drug-induced fatty liver disease.

摘要

丙戊酸(VPA)是一种一线抗癫痫药物,长期使用可诱发危及生命的肝脂肪变性;然而,其潜在机制仍未得到充分阐明。核因子E2相关因子2(NRF2)是一种维持氧化还原稳态的肝保护因子;然而,在VPA诱导的肝脂肪变性中已观察到其水平升高。因此,本研究旨在探讨NRF2在VPA引发的肝脂肪变性中的作用。分别使用腺相关病毒、同源重组和CRISPR/Cas9技术构建了NRF2过表达小鼠、NRF2基因敲除小鼠和脂肪酸转运蛋白2(FATP2)基因敲除小鼠。然后对小鼠进行口服VPA或不进行口服VPA处理以诱导肝脂肪变性。在VPA诱导的肝脂肪变性中,NRF2的核表达与甘油三酯水平呈正相关。NRF2过表达加剧了VPA引发的炎症和脂肪变性,而NRF2基因敲除则减轻了这些影响。染色质免疫沉淀和双荧光素酶报告基因检测证实FATP2是NRF2的靶基因。NRF2依赖FATP2加剧了VPA诱导的肝脂肪变性。VPA与 Kelch样ECH相关蛋白1(KEAP1)的半胱氨酸288和精氨酸415结合,导致其自噬降解以及随后NRF2的核转位。我们的结果揭示了一种机制,即VPA与特定的KEAP1位点结合,促进其降解并破坏KEAP1-NRF2复合物,从而促进NRF2的核转位。随后,NRF2激活FATP2转录,增强脂肪酸摄取并导致肝脂肪变性。我们的研究结果表明,抑制NRF2-FATP2轴可以改善VPA诱导的肝脂肪变性,为药物性脂肪肝疾病的管理提供了有前景的见解。

https://cdn.ncbi.nlm.nih.gov/pmc/blobs/9303/12036889/63926586e948/thnov15p5258g008.jpg
https://cdn.ncbi.nlm.nih.gov/pmc/blobs/9303/12036889/c23b268b9d67/thnov15p5258g001.jpg
https://cdn.ncbi.nlm.nih.gov/pmc/blobs/9303/12036889/e58ea9230b3d/thnov15p5258g002.jpg
https://cdn.ncbi.nlm.nih.gov/pmc/blobs/9303/12036889/4c78365b7fe6/thnov15p5258g003.jpg
https://cdn.ncbi.nlm.nih.gov/pmc/blobs/9303/12036889/f1c935478ccc/thnov15p5258g004.jpg
https://cdn.ncbi.nlm.nih.gov/pmc/blobs/9303/12036889/ca323c7ea945/thnov15p5258g005.jpg
https://cdn.ncbi.nlm.nih.gov/pmc/blobs/9303/12036889/34251be9c2b2/thnov15p5258g006.jpg
https://cdn.ncbi.nlm.nih.gov/pmc/blobs/9303/12036889/f63a743b4b84/thnov15p5258g007.jpg
https://cdn.ncbi.nlm.nih.gov/pmc/blobs/9303/12036889/63926586e948/thnov15p5258g008.jpg
https://cdn.ncbi.nlm.nih.gov/pmc/blobs/9303/12036889/c23b268b9d67/thnov15p5258g001.jpg
https://cdn.ncbi.nlm.nih.gov/pmc/blobs/9303/12036889/e58ea9230b3d/thnov15p5258g002.jpg
https://cdn.ncbi.nlm.nih.gov/pmc/blobs/9303/12036889/4c78365b7fe6/thnov15p5258g003.jpg
https://cdn.ncbi.nlm.nih.gov/pmc/blobs/9303/12036889/f1c935478ccc/thnov15p5258g004.jpg
https://cdn.ncbi.nlm.nih.gov/pmc/blobs/9303/12036889/ca323c7ea945/thnov15p5258g005.jpg
https://cdn.ncbi.nlm.nih.gov/pmc/blobs/9303/12036889/34251be9c2b2/thnov15p5258g006.jpg
https://cdn.ncbi.nlm.nih.gov/pmc/blobs/9303/12036889/f63a743b4b84/thnov15p5258g007.jpg
https://cdn.ncbi.nlm.nih.gov/pmc/blobs/9303/12036889/63926586e948/thnov15p5258g008.jpg

相似文献

1
Mechanism of valproic acid-induced hepatic steatosis via enhancing NRF2-FATP2-mediated fatty acid uptake.丙戊酸通过增强NRF2-FATP2介导的脂肪酸摄取诱导肝脂肪变性的机制。
Theranostics. 2025 Apr 13;15(11):5258-5276. doi: 10.7150/thno.108593. eCollection 2025.
2
Valproate induced hepatic steatosis by enhanced fatty acid uptake and triglyceride synthesis.丙戊酸盐通过增强脂肪酸摄取和甘油三酯合成诱导肝脂肪变性。
Toxicol Appl Pharmacol. 2017 Jun 1;324:12-25. doi: 10.1016/j.taap.2017.03.022. Epub 2017 Mar 31.
3
Bixin Attenuates High-Fat Diet-Caused Liver Steatosis and Inflammatory Injury through Nrf2/PPAR Signals.胆红素通过 Nrf2/PPAR 信号减轻高脂饮食诱导的肝脂肪变性和炎症损伤。
Oxid Med Cell Longev. 2021 Feb 2;2021:6610124. doi: 10.1155/2021/6610124. eCollection 2021.
4
Caffeic acid ameliorates metabolic dysfunction-associated steatotic liver disease via alleviating oxidative damage and lipid accumulation in hepatocytes through activating Nrf2 via targeting Keap1.咖啡酸通过靶向 Keap1 激活 Nrf2 减轻肝细胞氧化损伤和脂质堆积来改善代谢相关脂肪性肝病。
Free Radic Biol Med. 2024 Nov 1;224:352-365. doi: 10.1016/j.freeradbiomed.2024.08.038. Epub 2024 Aug 28.
5
Steatotic Hepatocytes Release Mature VLDL Through Methionine and Tyrosine Metabolism in a Keap1-Nrf2-Dependent Manner.脂肪变性的肝细胞通过蛋氨酸和酪氨酸代谢以Keap1-Nrf2依赖性方式释放成熟的极低密度脂蛋白。
Hepatology. 2021 Sep;74(3):1271-1286. doi: 10.1002/hep.31808.
6
Periodontal pathogen Fusobacterium nucleatum infection accelerates hepatic steatosis in high-fat diet-fed ApoE knockout mice by inhibiting Nrf2/Keap1 signaling.牙周病原体具核梭杆菌感染通过抑制Nrf2/Keap1信号通路加速高脂饮食喂养的ApoE基因敲除小鼠的肝脂肪变性。
J Periodontal Res. 2024 Dec;59(6):1220-1233. doi: 10.1111/jre.13278. Epub 2024 May 25.
7
Obeticholic Acid Ameliorates Valproic Acid-Induced Hepatic Steatosis and Oxidative Stress.熊去氧胆酸可改善丙戊酸诱导的肝脂肪变性和氧化应激。
Mol Pharmacol. 2020 May;97(5):314-323. doi: 10.1124/mol.119.118646. Epub 2020 Feb 25.
8
Hydrogen Sulfide Alleviates Liver Injury Through the S-Sulfhydrated-Kelch-Like ECH-Associated Protein 1/Nuclear Erythroid 2-Related Factor 2/Low-Density Lipoprotein Receptor-Related Protein 1 Pathway.硫化氢通过 S-硫代键合 Kelch 样 ECH 相关蛋白 1/核红细胞 2 相关因子 2/低密度脂蛋白受体相关蛋白 1 通路减轻肝损伤。
Hepatology. 2021 Jan;73(1):282-302. doi: 10.1002/hep.31247.
9
Enhanced Nrf2 activity worsens insulin resistance, impairs lipid accumulation in adipose tissue, and increases hepatic steatosis in leptin-deficient mice.增强的 Nrf2 活性会加重胰岛素抵抗,损害脂肪组织中的脂质积累,并增加瘦素缺乏小鼠的肝脂肪变性。
Diabetes. 2012 Dec;61(12):3208-18. doi: 10.2337/db11-1716. Epub 2012 Aug 30.
10
Nrf2 inhibits LXRα-dependent hepatic lipogenesis by competing with FXR for acetylase binding.Nrf2 通过与 FXR 竞争乙酰化酶结合来抑制 LXRα 依赖性肝内脂质生成。
Antioxid Redox Signal. 2011 Oct 15;15(8):2135-46. doi: 10.1089/ars.2010.3834. Epub 2011 Jun 13.

引用本文的文献

1
Valproic Acid Promotes the Differentiation of Satellite Glial Cells into Neurons via the pH-Dependent Pathway.丙戊酸通过pH依赖性途径促进卫星胶质细胞向神经元分化。
Biomolecules. 2025 Jul 11;15(7):986. doi: 10.3390/biom15070986.

本文引用的文献

1
Oral iron sulfide prevents acute alcohol intoxication by initiating the endogenous multienzymatic antioxidant defense system.口服硫化铁通过启动内源性多酶抗氧化防御系统来预防急性酒精中毒。
Sci Adv. 2025 Jan 17;11(3):eadr4231. doi: 10.1126/sciadv.adr4231.
2
Randomized phase 2 study of valproic acid combined with simvastatin and gemcitabine/nab-paclitaxel-based regimens in untreated metastatic pancreatic adenocarcinoma patients: the VESPA trial study protocol.一项关于未经治疗的转移性胰腺腺癌患者中丙戊酸联合辛伐他汀与基于吉西他滨/白蛋白紫杉醇方案的随机 2 期研究:VESPA 试验研究方案。
BMC Cancer. 2024 Sep 19;24(1):1167. doi: 10.1186/s12885-024-12936-w.
3
Drug-Induced Fatty Liver Disease (DIFLD): A Comprehensive Analysis of Clinical, Biochemical, and Histopathological Data for Mechanisms Identification and Consistency with Current Adverse Outcome Pathways.
药物性肝脂肪病(DIFLD):对临床、生化和组织病理学数据的综合分析,以识别机制并与当前不良结局途径保持一致。
Int J Mol Sci. 2024 May 10;25(10):5203. doi: 10.3390/ijms25105203.
4
JiaGaSongTang improves chronic cholestasis via enhancing FXR-mediated bile acid metabolism.加味高汤汤通过增强 FXR 介导的胆汁酸代谢改善慢性胆汁淤积。
Phytomedicine. 2024 Jun;128:155347. doi: 10.1016/j.phymed.2024.155347. Epub 2024 Jan 8.
5
KEAP1-NRF2 protein-protein interaction inhibitors: Design, pharmacological properties and therapeutic potential.KEAP1-NRF2 蛋白-蛋白相互作用抑制剂:设计、药理学特性和治疗潜力。
Med Res Rev. 2023 Jan;43(1):237-287. doi: 10.1002/med.21925. Epub 2022 Sep 10.
6
Valproic acid induced liver injury: An insight into molecular toxicological mechanism.丙戊酸诱导的肝损伤:分子毒理学机制的深入探讨。
Environ Toxicol Pharmacol. 2022 Oct;95:103967. doi: 10.1016/j.etap.2022.103967. Epub 2022 Sep 1.
7
Combinatorial GxGxE CRISPR screen identifies SLC25A39 in mitochondrial glutathione transport linking iron homeostasis to OXPHOS.组合型 GxGxE CRISPR 筛选鉴定出在线粒体谷胱甘肽转运中连接铁稳态与 OXPHOS 的 SLC25A39。
Nat Commun. 2022 May 5;13(1):2483. doi: 10.1038/s41467-022-30126-9.
8
Hepatic lipid accumulation induced by a high-fat diet is regulated by Nrf2 through multiple pathways.高脂肪饮食引起的肝脂质积累是由 Nrf2 通过多种途径调节的。
FASEB J. 2022 May;36(5):e22280. doi: 10.1096/fj.202101456R.
9
L-carnitine does not improve valproic acid poisoning management: a cohort study with toxicokinetics and concentration/effect relationships.左旋肉碱不能改善丙戊酸中毒的处理:一项关于毒物动力学及浓度-效应关系的队列研究
Ann Intensive Care. 2022 Jan 29;12(1):7. doi: 10.1186/s13613-022-00984-z.
10
Copper (Cu) induced changes of lipid metabolism through oxidative stress-mediated autophagy and Nrf2/PPARγ pathways.铜(Cu)通过氧化应激介导的自噬和 Nrf2/PPARγ 通路诱导脂质代谢变化。
J Nutr Biochem. 2022 Feb;100:108883. doi: 10.1016/j.jnutbio.2021.108883. Epub 2021 Oct 12.