Yan Xianchun, Yang Ziyan, Cao Xiuli, Liang Liang, Duan Yanyan, Zhang Peiran, Feng Yixuan, Wen Ting, Luo Shanqiang, Jia Lintao, Sun Jiaxing, Han Hua
State Key Laboratory of Holistic Integrative Management of Gastrointestinal Cancers and Department of Biochemistry and Molecular Biology, Fourth Military Medical University, Xi'an 710032, China.
Department of Medical Genetic and Developmental Biology, Fourth Military Medical University, Xi'an, 710032, China.
Theranostics. 2025 Apr 13;15(11):5381-5401. doi: 10.7150/thno.112023. eCollection 2025.
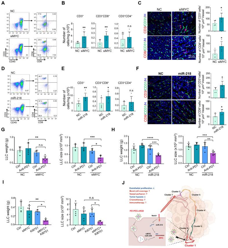
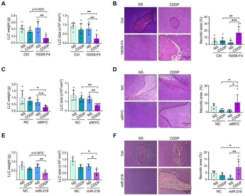
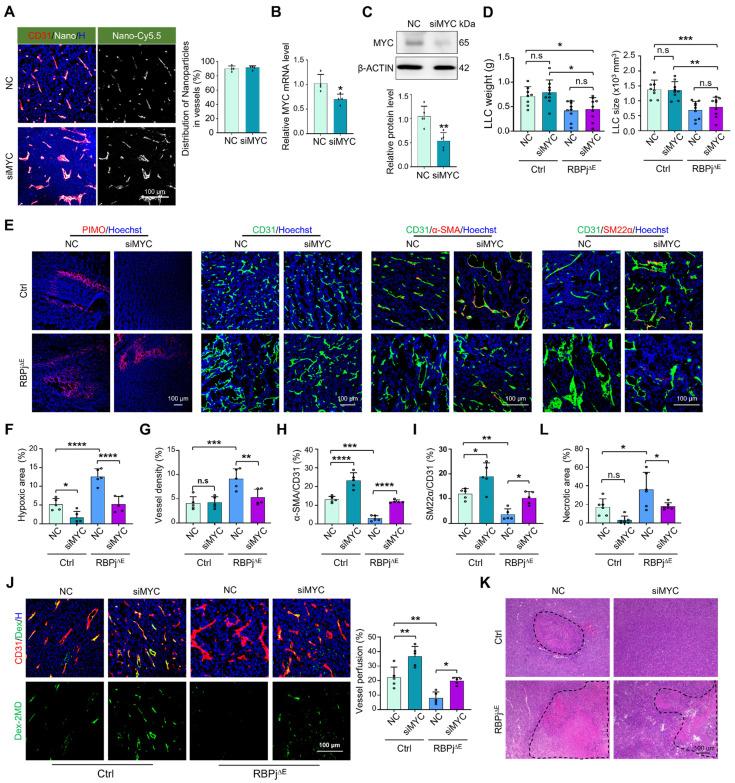
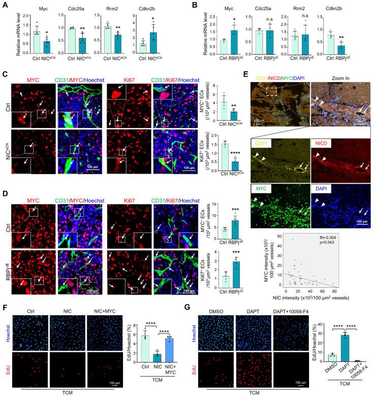
The chaotic, over-activated tumor vasculature promotes tumor growth and erodes most current therapies. Although Notch activation critically regulates angiogenesis, the broad roles of Notch has dampened its druggability. Gene-modified mice with a Cdh5-Cre transgene were employed to activate/block Notch signaling in endothelial cells (ECs). Multiple transcriptome analyses were conducted to compare gene expression profiles. qRT-PCR and western blotting were used to determine gene expression level. Immunofluorescence and flow cytometry were used to observe morphological alterations and immune microenvironment in tumors. Nanoparticles (PEI-PEG-cRGD) were used to deliver siRNA into tumor ECs (TECs) . Genetic Notch activation or blockade in TECs normalizes or deteriorates tumor vessels, respectively. Single-cell RNA sequencing showed that Notch activation selectively reduced the proliferating TEC subset, which accounted for about 30% of TECs and gave rise to other TEC subsets. Notch activation or blockade downregulated or upregulated MYC, respectively. MYC overexpression canceled Notch activation-induced proliferation arrest of TECs , and a MYC inhibitor normalized tumor vessels in RBPj deficient mice, suggesting that MYC is the authentic Notch target in normalizing tumor vessels. Nanoparticles encapsulated with MYC siRNA (EC-siMYC) or miR-218 (EC-miR-218), a Notch-downstream miRNA suppressing MYC, were able to mitigate Notch inhibition-induced tumor vessel defects. Combination of cisplatin with MYC blockade exhibited improved therapeutic effects. Moreover, MYC blockade promoted T cell infiltration and enhanced anti-PD1 immunotherapy. Together, our data have demonstrated that Notch activation normalizes tumor vessels by repressing the proliferating TEC subset via MYC, and targeting endothelial MYC using nanoparticles bearing siRNA or miRNA is an efficient strategy for tumor anti-angiogenic therapy.
混乱、过度激活的肿瘤血管系统促进肿瘤生长,并使目前的大多数治疗方法失效。尽管Notch激活对血管生成起着关键的调节作用,但Notch的广泛作用削弱了其可药用性。利用携带Cdh5-Cre转基因的基因修饰小鼠在内皮细胞(ECs)中激活/阻断Notch信号。进行了多次转录组分析以比较基因表达谱。采用qRT-PCR和蛋白质免疫印迹法测定基因表达水平。利用免疫荧光和流式细胞术观察肿瘤中的形态学改变和免疫微环境。使用纳米颗粒(PEI-PEG-cRGD)将小干扰RNA(siRNA)递送至肿瘤内皮细胞(TECs)。TECs中的Notch基因激活或阻断分别使肿瘤血管正常化或恶化。单细胞RNA测序显示,Notch激活选择性地减少了增殖性TEC亚群,该亚群约占TECs的30%,并产生其他TEC亚群。Notch激活或阻断分别下调或上调MYC。MYC过表达消除了Notch激活诱导的TECs增殖停滞,并且一种MYC抑制剂使RBPj缺陷小鼠的肿瘤血管正常化,这表明MYC是使肿瘤血管正常化的真正Notch靶点。包裹有MYC siRNA(EC-siMYC)或miR-218(EC-miR-218,一种抑制MYC的Notch下游微小RNA)的纳米颗粒能够减轻Notch抑制诱导的肿瘤血管缺陷。顺铂与MYC阻断联合使用表现出更好的治疗效果。此外,MYC阻断促进T细胞浸润并增强抗程序性死亡蛋白1(PD1)免疫疗法。总之,我们的数据表明,Notch激活通过MYC抑制增殖性TEC亚群使肿瘤血管正常化,并且使用携带siRNA或微小RNA的纳米颗粒靶向内皮细胞MYC是一种有效的肿瘤抗血管生成治疗策略。