Suppr超能文献

狼疮抗凝物继发低凝血酶原血症患者行二尖瓣置换术围手术期的止血管理

Perioperative Hemostasis Management During Open Mitral Valve Replacement in a Patient With Hypoprothrombinemia Secondary to Lupus Anticoagulant.

作者信息

Nwanna-Nzewunwa Obieze, Malik Tayyaba M, Bellomy Melissa, Shen Yu-Min, Saatee Siavosh, Heid Christopher

机构信息

Cardiovascular and Thoracic Surgery, University of Texas Southwestern Medical Center, Dallas, USA.

Anesthesia and Critical Care, University of Texas Southwestern Medical Center, Dallas, USA.

出版信息

Cureus. 2025 Mar 30;17(3):e81472. doi: 10.7759/cureus.81472. eCollection 2025 Mar.

Abstract

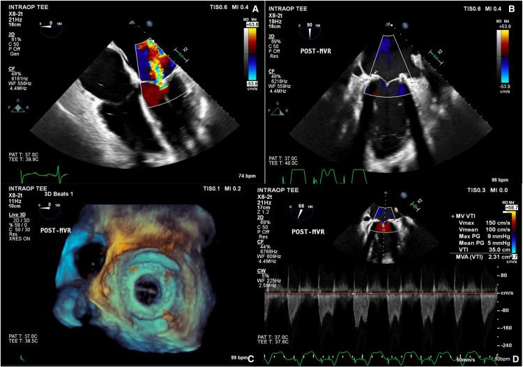
Hypoprothrombinemia is a rare coagulopathy that complicates surgical interventions and is an uncommon manifestation of lupus anticoagulant. Perioperative coagulopathy is a major challenge in cardiac surgery. To our knowledge, the management of cardiac surgery in patients with hypoprothrombinemia has not been described in prior literature. This case report outlines the challenging surgical intervention of mitral valve replacement in a 47-year-old female patient with rheumatic valve disease (RHD) and a rare prothrombin deficiency secondary to lupus anticoagulant. This report details the multidisciplinary perioperative hemostasis management and outcomes.

摘要

低凝血酶原血症是一种罕见的凝血病,会使外科手术复杂化,也是狼疮抗凝物的一种不常见表现。围手术期凝血病是心脏手术中的一项重大挑战。据我们所知,先前文献中尚未描述过低凝血酶原血症患者的心脏手术管理。本病例报告概述了一名47岁患有风湿性瓣膜病(RHD)且因狼疮抗凝物继发罕见凝血酶原缺乏的女性患者进行二尖瓣置换的具有挑战性的外科手术。本报告详细介绍了多学科围手术期止血管理及结果。

https://cdn.ncbi.nlm.nih.gov/pmc/blobs/27c2/12040429/172760e15fcd/cureus-0017-00000081472-i01.jpg

文献AI研究员

20分钟写一篇综述,助力文献阅读效率提升50倍。

立即体验

用中文搜PubMed

大模型驱动的PubMed中文搜索引擎

马上搜索

文档翻译

学术文献翻译模型,支持多种主流文档格式。

立即体验