Wenlong Huang, Maosheng Yang, Hanbin Wang, Yi Li
Department of Joint Surgery and Sports Medicine, Shandong Provincial Hospital Affiliated to Shandong First Medical University, Jinan, China.
Front Bioeng Biotechnol. 2025 Apr 15;13:1556106. doi: 10.3389/fbioe.2025.1556106. eCollection 2025.
The aim of this study was to compare the early clinical outcomes of all-inside anterior cruciate ligament (ACL) reconstruction using hamstring tendons augmented using the ligament augmentation and reconstruction system (LARS) versus hamstring tendons alone as a control.
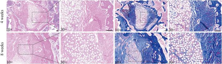
This study included 99 patients with ACL injuries who underwent all-inside arthroscopic ACL reconstruction using either the LARS internal brace ligament combined with hamstring tendon (augmentation group, n = 48) or hamstring tendon alone (hamstring group, n = 51). Postoperative follow-up was conducted using Lysholm, International Knee Documentation Committee (IKDC), Tegner, KOS-ADLS, and ACL-RSI scores to evaluate functional recovery of patients at 1, 3, and 6 months. If necessary, MRI findings obtained at postoperative 3 months were also analyzed to evaluate graft integration and healing dynamics. Tensile strength of the augmented graft was measured through tensile testing. Moreover, to evaluate the postoperative healing status of the augmented tendon, an ACL reconstruction model was established using New Zealand white rabbits. At 4 and 8 weeks postimplantation, rabbit knees were harvested, decalcified, embedded in paraffin, and stained to evaluate new tissue formation. All statistical analyses were conducted using the GraphPad Prism and SPSS software, with appropriate statistical tests applied for comparison between groups.
At 1-month postoperative follow-up, the LARS augmentation group demonstrated significantly higher Lysholm, IKDC, and KOS-ADLS scores than the hamstring group, with P < 0.01 for all comparisons. At 3-month postoperative follow-up, the augmentation group exhibited significantly higher Tegner, Lysholm, IKDC, and KOS-ADLS scores than the hamstring group, with P < 0.05 for all measurements. In the tensile testing, the tendons + LARS and LARS groups showed significantly higher maximum loads and lower elongation than the tendon group with P < 0.001 for maximum load and P < 0.05 for elongation. Examination of the histological sections at 4 and 8 weeks showed that the LARS ligament exhibited excellent biocompatibility, with abundant collagen fibers and neovascularization identified between its fibers.
The combination of LARS internal brace ligaments with autograft tendons in ACL reconstruction provides superior early postoperative outcomes, improving knee stability and patient satisfaction with no remarkable complications. The augmented graft exhibited reliable tensile strength and favorable tissue integration.
本研究旨在比较使用韧带增强重建系统(LARS)增强的腘绳肌腱与单纯腘绳肌腱作为对照进行全内置前交叉韧带(ACL)重建的早期临床结果。
本研究纳入99例ACL损伤患者,他们接受了全内置关节镜下ACL重建,其中一组使用LARS内支撑韧带联合腘绳肌腱(增强组,n = 48),另一组仅使用腘绳肌腱(腘绳肌组,n = 51)。术后随访采用Lysholm、国际膝关节文献委员会(IKDC)、Tegner、KOS-ADLS和ACL-RSI评分来评估患者在1、3和6个月时的功能恢复情况。如有必要,还分析术后3个月获得的MRI结果,以评估移植物整合和愈合动态。通过拉伸试验测量增强移植物的拉伸强度。此外,为了评估增强肌腱的术后愈合状态,使用新西兰白兔建立了ACL重建模型。在植入后4周和8周,采集兔膝关节,脱钙,石蜡包埋,并进行染色以评估新组织形成。所有统计分析均使用GraphPad Prism和SPSS软件进行,采用适当的统计检验进行组间比较。
术后1个月随访时,LARS增强组的Lysholm、IKDC和KOS-ADLS评分显著高于腘绳肌组,所有比较的P < 0.01。术后3个月随访时,增强组的Tegner、Lysholm、IKDC和KOS-ADLS评分显著高于腘绳肌组,所有测量的P < 0.05。在拉伸试验中,肌腱+LARS组和LARS组的最大负荷显著高于肌腱组,伸长率显著低于肌腱组,最大负荷的P < 0.001,伸长率的P < 0.05。对4周和8周时的组织学切片检查显示,LARS韧带表现出优异的生物相容性,其纤维间可见丰富的胶原纤维和新生血管。
在ACL重建中,LARS内支撑韧带与自体肌腱联合使用可提供更好的早期术后结果,提高膝关节稳定性和患者满意度,且无明显并发症。增强移植物表现出可靠的拉伸强度和良好的组织整合。