• 文献检索
  • 文档翻译
  • 深度研究
  • 学术资讯
  • Suppr Zotero 插件Zotero 插件
  • 邀请有礼
  • 套餐&价格
  • 历史记录
应用&插件
Suppr Zotero 插件Zotero 插件浏览器插件Mac 客户端Windows 客户端微信小程序
定价
高级版会员购买积分包购买API积分包
服务
文献检索文档翻译深度研究API 文档MCP 服务
关于我们
关于 Suppr公司介绍联系我们用户协议隐私条款
关注我们

Suppr 超能文献

核心技术专利:CN118964589B侵权必究
粤ICP备2023148730 号-1Suppr @ 2026

文献检索

告别复杂PubMed语法,用中文像聊天一样搜索,搜遍4000万医学文献。AI智能推荐,让科研检索更轻松。

立即免费搜索

文件翻译

保留排版,准确专业,支持PDF/Word/PPT等文件格式,支持 12+语言互译。

免费翻译文档

深度研究

AI帮你快速写综述,25分钟生成高质量综述,智能提取关键信息,辅助科研写作。

立即免费体验

重复使用AngioVac清除延伸至肝静脉的巨大右心房血栓。

Repeat AngioVac Debulking of a Large Right Atrial Thrombus With Extension From the Hepatic Vein.

作者信息

Palatnic Leonard, Avino Tim, Spangenthal Edward J, Zlotnick David M

机构信息

Department of Medicine, University at Buffalo, Jacobs School of Medicine and Biomedical Sciences, Buffalo, New York, USA.

Department of Medicine, Roswell Park Comprehensive Cancer Center, Buffalo, New York, USA.

出版信息

Case Rep Cardiol. 2025 Apr 22;2025:9155374. doi: 10.1155/cric/9155374. eCollection 2025.

DOI:10.1155/cric/9155374
PMID:40308706
原文链接:https://pmc.ncbi.nlm.nih.gov/articles/PMC12041637/
Abstract

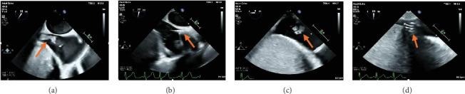
The AngioVac mechanical aspiration system has emerged in the literature as a viable treatment option for patients with intracardiac masses and thrombi and who are deemed high risk for cardiac surgery. Notably, it has been shown to be an effective treatment modality for the debulking of thrombi in the setting of malignancy. We present a case of repeat AngioVac debulking of a large right atrial thrombus with extension from the hepatic vein in the setting of advanced malignancy complicated by endocarditis.

摘要

血管内真空机械抽吸系统在文献中已成为心内肿块和血栓患者以及被认为心脏手术高风险患者的一种可行治疗选择。值得注意的是,它已被证明是在恶性肿瘤情况下清除血栓的有效治疗方式。我们报告一例在晚期恶性肿瘤合并心内膜炎的情况下,对从肝静脉延伸而来的巨大右心房血栓进行重复血管内真空清除术的病例。

https://cdn.ncbi.nlm.nih.gov/pmc/blobs/05e3/12041637/4dde9aa8cd70/CRIC2025-9155374.002.jpg
https://cdn.ncbi.nlm.nih.gov/pmc/blobs/05e3/12041637/45689f8c3e27/CRIC2025-9155374.001.jpg
https://cdn.ncbi.nlm.nih.gov/pmc/blobs/05e3/12041637/4dde9aa8cd70/CRIC2025-9155374.002.jpg
https://cdn.ncbi.nlm.nih.gov/pmc/blobs/05e3/12041637/45689f8c3e27/CRIC2025-9155374.001.jpg
https://cdn.ncbi.nlm.nih.gov/pmc/blobs/05e3/12041637/4dde9aa8cd70/CRIC2025-9155374.002.jpg

相似文献

1
Repeat AngioVac Debulking of a Large Right Atrial Thrombus With Extension From the Hepatic Vein.重复使用AngioVac清除延伸至肝静脉的巨大右心房血栓。
Case Rep Cardiol. 2025 Apr 22;2025:9155374. doi: 10.1155/cric/9155374. eCollection 2025.
2
Effectiveness of the vacuum assisted aspiration AngioVac system in the removal of intravascular masses.真空辅助抽吸 AngioVac 系统在清除血管内肿块中的有效性。
Catheter Cardiovasc Interv. 2023 May;101(6):1161-1165. doi: 10.1002/ccd.30634. Epub 2023 Mar 15.
3
Percutaneous Debulking of a Large Mobile Mitral Valve Vegetation Using the Angiovac.使用Angiovac对大型可移动二尖瓣赘生物进行经皮减容术。
Cureus. 2024 Mar 20;16(3):e56537. doi: 10.7759/cureus.56537. eCollection 2024 Mar.
4
Percutaneous Vacuum-Assisted Thrombectomy Using AngioVac Aspiration System.使用AngioVac抽吸系统的经皮真空辅助血栓切除术。
Cardiovasc Revasc Med. 2020 Apr;21(4):489-493. doi: 10.1016/j.carrev.2019.12.020. Epub 2019 Dec 24.
5
Characteristics and outcomes of angiovac-assisted debulking of intracardiac masses, thrombi, and endocarditis.血管内切除辅助治疗心腔内肿块、血栓和心内膜炎的特征和结果。
Clin Res Cardiol. 2023 May;112(5):626-632. doi: 10.1007/s00392-022-02146-4. Epub 2022 Dec 30.
6
Percutaneous transeptal mitral valve endocarditis debulking with AngioVac aspiration system.经皮二尖瓣瓣环脓肿清除术联合 AngioVac 吸引系统。
Catheter Cardiovasc Interv. 2022 Oct;100(4):667-673. doi: 10.1002/ccd.30319. Epub 2022 Jul 30.
7
Percutaneous Large Thrombus and Vegetation Evacuation in the Catheterization Laboratory.经导管血栓和赘生物清除术。
Interv Cardiol Clin. 2022 Jul;11(3):349-358. doi: 10.1016/j.iccl.2022.03.007.
8
Aspiration of Right Sided Intracardiac Masses in High-Risk Surgical Patients Using AngioVac: A Case Series and Review of Literature.使用AngioVac对高风险手术患者进行右侧心内肿物抽吸:病例系列及文献综述
Cardiovasc Revasc Med. 2023 Aug;53S:S253-S261. doi: 10.1016/j.carrev.2022.08.015. Epub 2022 Aug 13.
9
A Novel Technique Debulking Vegetations in Tricuspid Endocarditis and Venacava Utilizing AngioVac Aspiration System.一种利用AngioVac抽吸系统清除三尖瓣心内膜炎和腔静脉赘生物的新技术。
Cureus. 2022 Feb 16;14(2):e22283. doi: 10.7759/cureus.22283. eCollection 2022 Feb.
10
Non-surgical extraction of right atrial mass by AngioVac aspiration device under fluoroscopic and transesophageal echocardiographic guidance.在荧光透视和经食管超声心动图引导下,使用AngioVac抽吸装置非手术切除右心房肿物。
Cardiovasc Diagn Ther. 2017 Jun;7(3):331-335. doi: 10.21037/cdt.2016.09.03.

本文引用的文献

1
A Retrospective Analysis of AngioVac Outcomes at a Tertiary Care Center.三级医疗中心AngioVac治疗结果的回顾性分析
J Soc Cardiovasc Angiogr Interv. 2024 Apr 16;3(6):101979. doi: 10.1016/j.jscai.2024.101979. eCollection 2024 Jun.
2
2023 ESC Guidelines for the management of endocarditis.2023年欧洲心脏病学会感染性心内膜炎管理指南。
Eur Heart J. 2023 Oct 14;44(39):3948-4042. doi: 10.1093/eurheartj/ehad193.
3
Percutaneous Vacuum-Assisted Thrombectomy for Right Atrial Mass.
J Cardiothorac Vasc Anesth. 2022 Aug;36(8 Pt B):3392-3402. doi: 10.1053/j.jvca.2021.12.015. Epub 2021 Dec 18.
4
Endovascular Treatment of Right Heart Masses Utilizing the AngioVac System: A 6-Year Single-Center Observational Study.血管内治疗右心肿块利用 AngioVac 系统:一项 6 年单中心观察研究。
J Interv Cardiol. 2021 Oct 31;2021:9923440. doi: 10.1155/2021/9923440. eCollection 2021.
5
Debulking of a large right heart mass in a cancer patient using the Angiovac system.使用Angiovac系统对一名癌症患者的巨大右心肿块进行减瘤手术。
Eur Heart J Case Rep. 2020 Dec 1;4(6):1-2. doi: 10.1093/ehjcr/ytaa432. eCollection 2020 Dec.
6
Endovascular Removal of Thrombus and Right Heart Masses Using the AngioVac System: Results of 234 Patients from the Prospective, Multicenter Registry of AngioVac Procedures in Detail (RAPID).血管内血栓和右心肿块清除术:AngioVac 系统的 234 例患者的前瞻性、多中心 AngioVac 手术注册研究(RAPID)详细结果。
J Vasc Interv Radiol. 2021 Apr;32(4):549-557.e3. doi: 10.1016/j.jvir.2020.09.012. Epub 2021 Jan 29.