• 文献检索
  • 文档翻译
  • 深度研究
  • 学术资讯
  • Suppr Zotero 插件Zotero 插件
  • 邀请有礼
  • 套餐&价格
  • 历史记录
应用&插件
Suppr Zotero 插件Zotero 插件浏览器插件Mac 客户端Windows 客户端微信小程序
定价
高级版会员购买积分包购买API积分包
服务
文献检索文档翻译深度研究API 文档MCP 服务
关于我们
关于 Suppr公司介绍联系我们用户协议隐私条款
关注我们

Suppr 超能文献

核心技术专利:CN118964589B侵权必究
粤ICP备2023148730 号-1Suppr @ 2026

文献检索

告别复杂PubMed语法,用中文像聊天一样搜索,搜遍4000万医学文献。AI智能推荐,让科研检索更轻松。

立即免费搜索

文件翻译

保留排版,准确专业,支持PDF/Word/PPT等文件格式,支持 12+语言互译。

免费翻译文档

深度研究

AI帮你快速写综述,25分钟生成高质量综述,智能提取关键信息,辅助科研写作。

立即免费体验

应对血栓形成和出血风险的复杂性:一名患有双瓣膜感染性心内膜炎的患者在接受心脏直视手术时出现因子 VII 缺乏和因子 V 莱顿突变的病例报告。

Managing the Complexity of Thrombotic and Bleeding Risks: Case Report of Factor VII Deficiency and Factor V Leiden Mutation in a Patient With Bi-valvular Infective Endocarditis Undergoing Open-heart Surgery.

作者信息

Shyam Tharun, Winn Soe P, Shet Vallabh, Nanda Saumya, Noor Momna, Tamazyan Vahagn, Jindal Palvi S, Kumar Kamlesh, Zatsepina Alina, Peeke Stephen, Astashkevich Mariya

机构信息

Maimonides Medical Center, United States.

University of Connecticut New Britain Program, United States.

出版信息

J Community Hosp Intern Med Perspect. 2025 Mar 7;15(2):71-75. doi: 10.55729/2000-9666.1463. eCollection 2025.

DOI:10.55729/2000-9666.1463
PMID:40309281
原文链接:https://pmc.ncbi.nlm.nih.gov/articles/PMC12039323/
Abstract

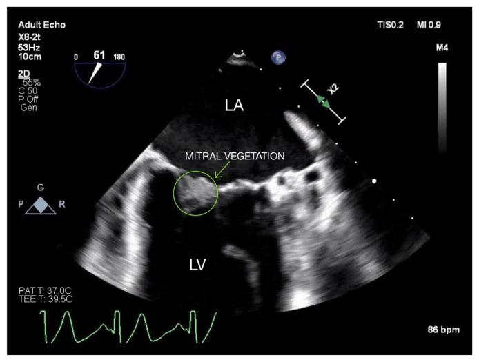
Factor VII deficiency (FVIID) is a rare autosomal dominant disorder that occurs in approximately 1 in 500,000 individuals. Paradoxically, 3-4 percent of cases of FVIID result in thrombosis. The etiology behind this clotting predilection is thought to be multifactorial, possibly due to an associated pro-coagulant mutation. We hereby describe a case of FVIID with a heterozygous Factor V Leiden mutation (FVLM) in a patient with bivalvular infective endocarditis undergoing open-heart surgery. This case highlights the complexity of managing patients with concomitant bleeding and thrombotic tendencies, especially in the context of major surgery. We recommend tailoring anticoagulation strategies on a case by case basis to manage these risks.

摘要

因子 VII 缺乏症(FVIID)是一种罕见的常染色体显性疾病,发病率约为五十万分之一。矛盾的是,3%-4% 的 FVIID 病例会导致血栓形成。这种凝血倾向背后的病因被认为是多因素的,可能与一种相关的促凝血突变有关。我们在此描述一例患有双瓣膜感染性心内膜炎且正在接受心脏直视手术的患者,该患者存在杂合子因子 V 莱顿突变(FVLM)。此病例凸显了管理同时具有出血和血栓形成倾向患者的复杂性,尤其是在大手术背景下。我们建议根据具体情况定制抗凝策略以管理这些风险。

https://cdn.ncbi.nlm.nih.gov/pmc/blobs/ae98/12039323/281755a49d2c/jchim-15-02-071f3.jpg
https://cdn.ncbi.nlm.nih.gov/pmc/blobs/ae98/12039323/5bfc6d3c97d8/jchim-15-02-071f1.jpg
https://cdn.ncbi.nlm.nih.gov/pmc/blobs/ae98/12039323/41378d8a34b7/jchim-15-02-071f2.jpg
https://cdn.ncbi.nlm.nih.gov/pmc/blobs/ae98/12039323/281755a49d2c/jchim-15-02-071f3.jpg
https://cdn.ncbi.nlm.nih.gov/pmc/blobs/ae98/12039323/5bfc6d3c97d8/jchim-15-02-071f1.jpg
https://cdn.ncbi.nlm.nih.gov/pmc/blobs/ae98/12039323/41378d8a34b7/jchim-15-02-071f2.jpg
https://cdn.ncbi.nlm.nih.gov/pmc/blobs/ae98/12039323/281755a49d2c/jchim-15-02-071f3.jpg

相似文献

1
Managing the Complexity of Thrombotic and Bleeding Risks: Case Report of Factor VII Deficiency and Factor V Leiden Mutation in a Patient With Bi-valvular Infective Endocarditis Undergoing Open-heart Surgery.应对血栓形成和出血风险的复杂性:一名患有双瓣膜感染性心内膜炎的患者在接受心脏直视手术时出现因子 VII 缺乏和因子 V 莱顿突变的病例报告。
J Community Hosp Intern Med Perspect. 2025 Mar 7;15(2):71-75. doi: 10.55729/2000-9666.1463. eCollection 2025.
2
Successful control of massive coumarol-induced acute upper gastrointestinal bleeding and correction of prothrombin time by recombinant active factor VII (Eptacog-alpha, NovoSeven) in a patient with a prosthetic aortic valve and two malignancies (chronic lymphoid leukaemia and lung cancer).重组活性因子VII(eptacog-alpha,诺其)成功控制了香豆素类药物引起的大量急性上消化道出血,并纠正了一名人工主动脉瓣置换术后且患有两种恶性肿瘤(慢性淋巴细胞白血病和肺癌)患者的凝血酶原时间。
Blood Coagul Fibrinolysis. 2004 Apr;15(3):265-7. doi: 10.1097/00001721-200404000-00012.
3
The Factor V (Leiden) test: evaluation of an assay based on dilute Russell Viper Venom Time for the detection of the Factor V Leiden mutation.
Thromb Res. 1999 Oct 15;96(2):125-33. doi: 10.1016/s0049-3848(99)00090-0.
4
Identification of two novel mutations in three children with congenital factor VII deficiency.鉴定三个先天性因子 VII 缺乏症患儿中的两个新突变。
Blood Coagul Fibrinolysis. 2021 Jul 1;32(5):340-343. doi: 10.1097/MBC.0000000000001022.
5
A case-report of the unprovoked thrombotic event in a patient with thymoma and severe FVII deficiency.一例胸腺瘤合并严重凝血因子VII缺乏患者的自发性血栓形成事件病例报告。
Thromb J. 2023 May 4;21(1):52. doi: 10.1186/s12959-023-00494-3.
6
Diagnosis and treatment discussion of congenital factor VII deficiency in pregnancy: A case report.妊娠合并先天性凝血因子Ⅶ缺乏症的诊断与治疗探讨:一例报告
World J Clin Cases. 2021 Jul 26;9(21):6091-6101. doi: 10.12998/wjcc.v9.i21.6091.
7
Investigation of a common canine factor VII deficiency variant in dogs with unexplained bleeding on autopsy.对尸检时不明原因出血犬的常见犬因子 VII 缺乏变异体的研究。
J Vet Diagn Invest. 2022 Sep;34(5):806-812. doi: 10.1177/10406387221118581. Epub 2022 Aug 10.
8
Thrombosis in a bleeding disorder: case of thromboembolism in factor VII deficiency.出血性疾病中的血栓形成:VII 因子缺乏症合并血栓栓塞病例
Clin Case Rep. 2017 Feb 1;5(3):277-279. doi: 10.1002/ccr3.836. eCollection 2017 Mar.
9
Laboratory assessment of Activated Protein C Resistance/Factor V-Leiden and performance characteristics of a new quantitative assay.活化蛋白C抵抗/因子V莱顿的实验室评估及一种新定量检测方法的性能特征
Transfus Apher Sci. 2017 Dec;56(6):906-913. doi: 10.1016/j.transci.2017.11.021. Epub 2017 Nov 14.
10
Novel IVS7+1G>T mutation of life-threatening congenital factor VII deficiency in neonates: A retrospective study in China.新生儿危及生命的先天性因子 VII 缺乏症的新型 IVS7+1G>T 突变:中国的一项回顾性研究
Medicine (Baltimore). 2019 Oct;98(40):e17360. doi: 10.1097/MD.0000000000017360.

本文引用的文献

1
Thrombosis in a bleeding disorder: case of thromboembolism in factor VII deficiency.出血性疾病中的血栓形成:VII 因子缺乏症合并血栓栓塞病例
Clin Case Rep. 2017 Feb 1;5(3):277-279. doi: 10.1002/ccr3.836. eCollection 2017 Mar.
2
Management of concomitant factor VII deficiency and Factor V Leiden mutation.伴有因子VII缺乏症和因子V莱顿突变的管理。
Int J Lab Hematol. 2017 Feb;39(1):e10-e13. doi: 10.1111/ijlh.12572.
3
Congenital factor XI and factor VII deficiencies assure an apparent opposite protection against arterial or venous thrombosis: An intriguing observation.
先天性因子XI和因子VII缺乏症显然对动脉或静脉血栓形成具有相反的保护作用:一个有趣的观察结果。
Hematology. 2016 Sep;21(8):486-9. doi: 10.1080/10245332.2015.1112495. Epub 2016 Feb 17.
4
Replacement therapy in inherited factor VII deficiency: occurrence of adverse events and relation with surgery.遗传性因子VII缺乏症的替代疗法:不良事件的发生及其与手术的关系。
Haemophilia. 2015 Nov;21(6):e513-7. doi: 10.1111/hae.12782. Epub 2015 Aug 7.
5
Prevention of bleeding and hemorrhagic complications in surgical patients with inherited factor VII deficiency.遗传性因子VII缺乏症手术患者出血及出血性并发症的预防
Blood Coagul Fibrinolysis. 2015 Apr;26(3):324-30. doi: 10.1097/MBC.0000000000000258.
6
Pathogenetic role of Factor VII deficiency and thrombosis in cross-reactive material positive patients.交叉反应物质阳性患者中因子VII缺乏与血栓形成的发病机制作用
Lab Hematol. 2013 Dec;19(4):17-21. doi: 10.1532/LH96.12011.
7
Congenital FVII deficiency and pulmonary embolism: a critical appraisal of all reported cases.先天性 FVII 缺乏症和肺栓塞:对所有报告病例的批判性评估。
Clin Appl Thromb Hemost. 2013 Jan-Feb;19(1):55-9. doi: 10.1177/1076029611436196. Epub 2012 Feb 12.
8
Recombinant, activated factor VII for surgery in factor VII deficiency: a prospective evaluation - the surgical STER.重组、激活的因子 VII 在因子 VII 缺乏症患者手术中的应用:前瞻性评估 - 外科 STER 研究。
Br J Haematol. 2011 Feb;152(3):340-6. doi: 10.1111/j.1365-2141.2010.08287.x. Epub 2010 Dec 16.
9
Associated prothrombotic conditions are probably responsible for the occurrence of thrombosis in almost all patients with congenital FVII deficiency. Critical review of the literature.相关的促血栓形成情况可能是几乎所有先天性 FVII 缺乏症患者发生血栓形成的原因。文献的批判性回顾。
J Thromb Thrombolysis. 2010 Aug;30(2):172-8. doi: 10.1007/s11239-009-0435-y.
10
The paradoxical association between inherited factor VII deficiency and venous thrombosis.遗传性因子VII缺乏症与静脉血栓形成之间的矛盾关联。
Haemophilia. 2008 May;14(3):564-70. doi: 10.1111/j.1365-2516.2007.01647.x. Epub 2008 Feb 13.