• 文献检索
  • 文档翻译
  • 深度研究
  • 学术资讯
  • Suppr Zotero 插件Zotero 插件
  • 邀请有礼
  • 套餐&价格
  • 历史记录
应用&插件
Suppr Zotero 插件Zotero 插件浏览器插件Mac 客户端Windows 客户端微信小程序
定价
高级版会员购买积分包购买API积分包
服务
文献检索文档翻译深度研究API 文档MCP 服务
关于我们
关于 Suppr公司介绍联系我们用户协议隐私条款
关注我们

Suppr 超能文献

核心技术专利:CN118964589B侵权必究
粤ICP备2023148730 号-1Suppr @ 2026

文献检索

告别复杂PubMed语法,用中文像聊天一样搜索,搜遍4000万医学文献。AI智能推荐,让科研检索更轻松。

立即免费搜索

文件翻译

保留排版,准确专业,支持PDF/Word/PPT等文件格式,支持 12+语言互译。

免费翻译文档

深度研究

AI帮你快速写综述,25分钟生成高质量综述,智能提取关键信息,辅助科研写作。

立即免费体验

动脉瘤性蛛网膜下腔出血后手术相关脑梗死的危险因素。

Risk factors for surgery-related cerebral infarction after aneurysmal subarachnoid hemorrhage.

作者信息

Yang Cheng, Zhao Zenan, Zheng Yuanwen, Yang Biao, Zhu Gang, Miao Hongping

机构信息

Department of Neurosurgery, Southwest Hospital, Army Medical University, Chongqing, 400038, China.

Department of Neurosurgery, Chongqing Western Hospital, Chongqing, 400052, China.

出版信息

Neurosurg Rev. 2025 May 3;48(1):402. doi: 10.1007/s10143-025-03557-3.

DOI:10.1007/s10143-025-03557-3
PMID:40316796
原文链接:https://pmc.ncbi.nlm.nih.gov/articles/PMC12048411/
Abstract

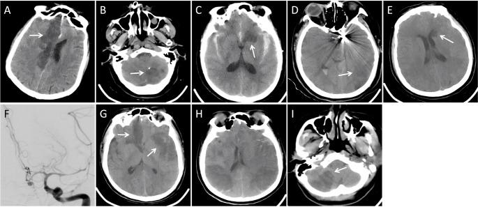
Surgery-related cerebral infarction (SRCI) is an important complication after aneurysmal subarachnoid hemorrhage (aSAH), and detailed assessment of the characteristics and risk of SRCI is insufficient. We aimed to analyze the risk factors for SRCI in different treatment modalities after aSAH. A total of 472 patients were included in this retrospective study, including 169 in clip and 303 in endovascular. Regarding radiologically observable SRCI as the outcome, we used univariate and multivariate statistical analyses of risk factors and summarized the characteristics of SRCI. The incidence of SRCI was significantly higher in the clipping group compared to the endovascular group (47% vs. 21%, p < 0.001). Patients with SRCI in clip group had higher HH (p = 0.007) and mFisher (p = 0.007) and more diabetics (p = 0.018). They were more likely to receive primary EVD (p < 0.001), decompressive craniectomy (p = 0.022), multiple aneurysms repair (p = 0.008), and had longer procedure time (p = 0.006). Patients with SRCI in endovascular group were older (p = 0.001), more hypertensive (p = 0.001), with higher HH (p = 0.034) and longer procedure time (p = 0.005). They were more likely to presented with acute hydrocephalus (p = 0.030), type-3 aortic arch in pathway (p = 0.009) and proximal stenosis of the parent artery (p = 0.045). Multivariate regression analysis identified diabetes (OR = 7.050, 95%CI: 1.303-38.158), primary EVD (OR = 4.066, 95%CI: 1.567-10.550), longer procedure time (OR = 1.007, 95%CI: 1.001-1.013), and repair multiple aneurysms (OR = 3.916, 95%CI: 1.142-13.432) independently predicted SRCI in clip group. Age (OR = 1.033, 95%CI: 1.001-1.066), hypertension (OR = 2.337, 95%CI: 1.220-4.478), type-3 aortic arch in pathway (OR = 4.010, 95%CI: 1.177-13.666), and proximal stenosis of parent artery (OR = 2.442, 95%CI: 1.015-5.875) independently predicted SRCI in endovascular group. Diabetes, primary EVD, longer procedure time, and repair multiple aneurysms were independent risk factors for SRCI in clip group. In contrast, age, hypertension, type-3 aortic arch in pathway, and proximal stenosis of parent artery were independent risk factors for SRCI in endovascular group.

摘要

手术相关性脑梗死(SRCI)是动脉瘤性蛛网膜下腔出血(aSAH)后的一种重要并发症,目前对SRCI的特征和风险的详细评估尚不充分。我们旨在分析aSAH后不同治疗方式下SRCI的危险因素。本回顾性研究共纳入472例患者,其中夹闭术组169例,血管内介入组303例。以影像学可观察到的SRCI作为结局,我们对危险因素进行单因素和多因素统计分析,并总结SRCI的特征。夹闭术组的SRCI发生率显著高于血管内介入组(47%对21%,p<0.001)。夹闭术组发生SRCI的患者有更高的HH评分(p=0.007)和改良Fisher评分(p=0.007),且糖尿病患者更多(p=0.018)。他们更有可能接受一期脑室外引流(EVD)(p<0.001)、去骨瓣减压术(p=0.022)、多个动脉瘤修复(p=0.008),且手术时间更长(p=0.006)。血管内介入组发生SRCI的患者年龄更大(p=0.001)、高血压患者更多(p=0.001),有更高的HH评分(p=0.034)和更长的手术时间(p=0.005)。他们更有可能出现急性脑积水(p=0.030)、路径中有3型主动脉弓(p=0.009)和载瘤动脉近端狭窄(p=0.045)。多因素回归分析确定糖尿病(OR=7.050,95%CI:1.303-38.158)、一期EVD(OR=4.066,95%CI:1.567-10.550)、更长的手术时间(OR=1.007,95%CI:1.001-1.013)和修复多个动脉瘤(OR=3.916,95%CI:1.142-13.432)独立预测夹闭术组的SRCI。年龄(OR=1.033,95%CI:1.001-1.066)、高血压(OR=2.337,95%CI:1.220-4.478)、路径中有3型主动脉弓(OR=4.010,95%CI:1.177-13.666)和载瘤动脉近端狭窄(OR=2.442,95%CI:1.015-5.875)独立预测血管内介入组的SRCI。糖尿病、一期EVD、更长的手术时间和修复多个动脉瘤是夹闭术组SRCI的独立危险因素。相比之下,年龄、高血压、路径中有3型主动脉弓和载瘤动脉近端狭窄是血管内介入组SRCI的独立危险因素。

https://cdn.ncbi.nlm.nih.gov/pmc/blobs/26ed/12048411/867596090507/10143_2025_3557_Fig4_HTML.jpg
https://cdn.ncbi.nlm.nih.gov/pmc/blobs/26ed/12048411/3d8968841045/10143_2025_3557_Fig1_HTML.jpg
https://cdn.ncbi.nlm.nih.gov/pmc/blobs/26ed/12048411/72b865808239/10143_2025_3557_Fig2_HTML.jpg
https://cdn.ncbi.nlm.nih.gov/pmc/blobs/26ed/12048411/53e4af36ef90/10143_2025_3557_Fig3_HTML.jpg
https://cdn.ncbi.nlm.nih.gov/pmc/blobs/26ed/12048411/867596090507/10143_2025_3557_Fig4_HTML.jpg
https://cdn.ncbi.nlm.nih.gov/pmc/blobs/26ed/12048411/3d8968841045/10143_2025_3557_Fig1_HTML.jpg
https://cdn.ncbi.nlm.nih.gov/pmc/blobs/26ed/12048411/72b865808239/10143_2025_3557_Fig2_HTML.jpg
https://cdn.ncbi.nlm.nih.gov/pmc/blobs/26ed/12048411/53e4af36ef90/10143_2025_3557_Fig3_HTML.jpg
https://cdn.ncbi.nlm.nih.gov/pmc/blobs/26ed/12048411/867596090507/10143_2025_3557_Fig4_HTML.jpg

相似文献

1
Risk factors for surgery-related cerebral infarction after aneurysmal subarachnoid hemorrhage.动脉瘤性蛛网膜下腔出血后手术相关脑梗死的危险因素。
Neurosurg Rev. 2025 May 3;48(1):402. doi: 10.1007/s10143-025-03557-3.
2
Sex Differences in Outcome of Aneurysmal Subarachnoid Hemorrhage and Its Relation to Postoperative Cerebral Ischemia.动脉瘤性蛛网膜下腔出血结局的性别差异及其与术后脑缺血的关系。
Neurocrit Care. 2024 Dec;41(3):985-996. doi: 10.1007/s12028-024-02028-9. Epub 2024 Jul 1.
3
Effect of choice of treatment modality on the incidence of shunt-dependent hydrocephalus after aneurysmal subarachnoid hemorrhage.治疗方式选择对动脉瘤性蛛网膜下腔出血后分流依赖性脑积水发生率的影响。
J Neurosurg. 2019 Mar 1;130(3):949-955. doi: 10.3171/2017.9.JNS171806. Epub 2018 Mar 9.
4
Operative complications and differences in outcome after clipping and coiling of ruptured intracranial aneurysms.颅内破裂动脉瘤夹闭术和栓塞术后的手术并发症及预后差异
J Neurosurg. 2015 Sep;123(3):621-8. doi: 10.3171/2014.11.JNS141607. Epub 2015 Jun 5.
5
The impact of temporary clipping during aneurysm surgery on the incidence of delayed cerebral ischemia after aneurysmal subarachnoid hemorrhage.暂时夹闭在动脉瘤手术中对颅内动脉瘤性蛛网膜下腔出血后迟发性脑缺血发生率的影响。
J Neurosurg. 2018 Jul;129(1):84-90. doi: 10.3171/2017.3.JNS162505. Epub 2017 Sep 15.
6
Preoperative and postoperative predictors of long-term outcome after endovascular treatment of poor-grade aneurysmal subarachnoid hemorrhage.血管内治疗差分级动脉瘤性蛛网膜下腔出血的长期预后的术前和术后预测因素。
J Neurosurg. 2017 Jun;126(6):1764-1771. doi: 10.3171/2016.4.JNS152587. Epub 2016 Jul 1.
7
Cerebral Infarction After Aneurysmal Subarachnoid Hemorrhage.动脉瘤性蛛网膜下腔出血后的脑梗死
Acta Neurochir Suppl. 2016;121:167-72. doi: 10.1007/978-3-319-18497-5_30.
8
Development and Validation of Scoring Indication of Surgical Clipping and Endovascular Coiling for Aneurysmal Subarachnoid Hemorrhage from the Post Hoc Analysis of Japan Stroke Data Bank.从日本脑卒中数据库的事后分析中开发和验证动脉瘤性蛛网膜下腔出血手术夹闭和血管内栓塞的评分指征。
Neurol Med Chir (Tokyo). 2021 Feb 15;61(2):107-116. doi: 10.2176/nmc.oa.2020-0262. Epub 2020 Dec 25.
9
Endovascular coiling versus neurosurgical clipping for people with aneurysmal subarachnoid haemorrhage.血管内栓塞术与神经外科夹闭术治疗动脉瘤性蛛网膜下腔出血患者的比较。
Cochrane Database Syst Rev. 2018 Aug 15;8(8):CD003085. doi: 10.1002/14651858.CD003085.pub3.
10
Risk Factors for Mild Cognitive Impairment in Patients with Aneurysmal Subarachnoid Hemorrhage Treated with Endovascular Coiling.血管内栓塞治疗的动脉瘤性蛛网膜下腔出血患者轻度认知障碍的危险因素
World Neurosurg. 2018 Nov;119:e527-e533. doi: 10.1016/j.wneu.2018.07.196. Epub 2018 Aug 1.

本文引用的文献

1
Sex Differences in Outcome of Aneurysmal Subarachnoid Hemorrhage and Its Relation to Postoperative Cerebral Ischemia.动脉瘤性蛛网膜下腔出血结局的性别差异及其与术后脑缺血的关系。
Neurocrit Care. 2024 Dec;41(3):985-996. doi: 10.1007/s12028-024-02028-9. Epub 2024 Jul 1.
2
Common Data Elements for Disorders of Consciousness: Recommendations from the Working Group on Biospecimens and Biomarkers.意识障碍的常用数据元素:生物样本和生物标志物工作组的建议。
Neurocrit Care. 2024 Feb;40(1):58-64. doi: 10.1007/s12028-023-01883-2. Epub 2023 Dec 12.
3
Therapies for Delayed Cerebral Ischemia in Aneurysmal Subarachnoid Hemorrhage.
动脉瘤性蛛网膜下腔出血后迟发性脑缺血的治疗方法。
Neurocrit Care. 2023 Aug;39(1):36-50. doi: 10.1007/s12028-023-01747-9. Epub 2023 May 25.
4
Impact of Treatment Timing on the Risk of Cerebral Infarction in Patients with Aneurysmal Subarachnoid Hemorrhage.治疗时机对动脉瘤性蛛网膜下腔出血患者脑梗死风险的影响
World Neurosurg. 2022 Dec;168:e97-e109. doi: 10.1016/j.wneu.2022.09.042. Epub 2022 Sep 28.
5
Craniometrics and Ventricular Access: A Review of Kocher's, Kaufman's, Paine's, Menovksy's, Tubbs', Keen's, Frazier's, Dandy's, and Sanchez's Points.颅骨测量与脑室入路:对科赫尔点、考夫曼点、佩恩点、梅诺夫斯基点、塔布斯点、基恩点、弗雷泽点、丹迪点和桑切斯点的综述
Oper Neurosurg (Hagerstown). 2020 May 1;18(5):461-469. doi: 10.1093/ons/opz194.
6
Comprehensive analysis of perforator territory infarction on postoperative diffusion-weighted imaging in patients with surgically treated unruptured intracranial saccular aneurysms.手术治疗未破裂颅内囊状动脉瘤患者术后弥散加权成像上穿支区域梗死的综合分析
J Neurosurg. 2019 Mar 1;132(4):1088-1095. doi: 10.3171/2018.11.JNS181235. Print 2020 Apr 1.
7
Predictors of In-Hospital Death After Aneurysmal Subarachnoid Hemorrhage: Analysis of a Nationwide Database (Swiss SOS [Swiss Study on Aneurysmal Subarachnoid Hemorrhage]).颅内破裂动脉瘤性蛛网膜下腔出血住院死亡的预测因素:全国性数据库分析(瑞士 SOS [瑞士颅内破裂动脉瘤性蛛网膜下腔出血研究])。
Stroke. 2018 Feb;49(2):333-340. doi: 10.1161/STROKEAHA.117.019328. Epub 2018 Jan 15.
8
Patient Outcomes and Cerebral Infarction after Ruptured Anterior Communicating Artery Aneurysm Treatment.患者结局与破裂前交通动脉瘤治疗后的脑梗死。
AJNR Am J Neuroradiol. 2017 Nov;38(11):2119-2125. doi: 10.3174/ajnr.A5355. Epub 2017 Sep 7.
9
Association of Perforator Infarction with Clinical Courses and Outcomes Following Surgical Clipping of Ruptured Anterior Communicating Artery Aneurysms.破裂前交通动脉瘤手术夹闭后穿支梗死与临床病程及预后的关系
World Neurosurg. 2017 Nov;107:724-731. doi: 10.1016/j.wneu.2017.08.086. Epub 2017 Aug 24.
10
Dissociation of Early and Delayed Cerebral Infarction After Aneurysmal Subarachnoid Hemorrhage.动脉瘤性蛛网膜下腔出血后早期和延迟性脑梗死的分离
Stroke. 2016 Dec;47(12):2945-2951. doi: 10.1161/STROKEAHA.116.014794. Epub 2016 Nov 8.