Suppr超能文献

复发性子宫积脓合并模仿肾盂肾炎和恶性肿瘤的黄色肉芽肿性子宫内膜炎:揭示临床复杂性。

Recurrent pyometra coupled with xanthogranulomatous endometritis mimicking pyelonephritis and malignancy: unravelling clinical complexities.

作者信息

Batool Rabia, Abdul Wahab Nor Azalia, Selvamani Sasikala, Hennessy Grace

机构信息

Obs Gynae, Our Lady of Lourdes Hospital Mother Mary Martin Library, Drogheda, Louth, Ireland

Obs Gynae, United Lincolnshire Hospitals NHS Trust, Lincoln, UK.

出版信息

BMJ Case Rep. 2025 May 5;18(5):e259441. doi: 10.1136/bcr-2023-259441.

Abstract

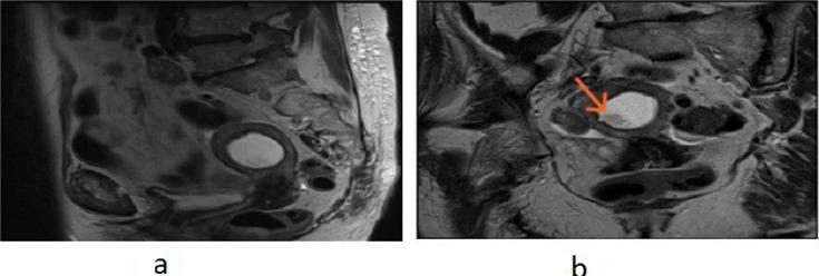
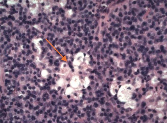
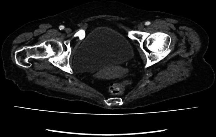
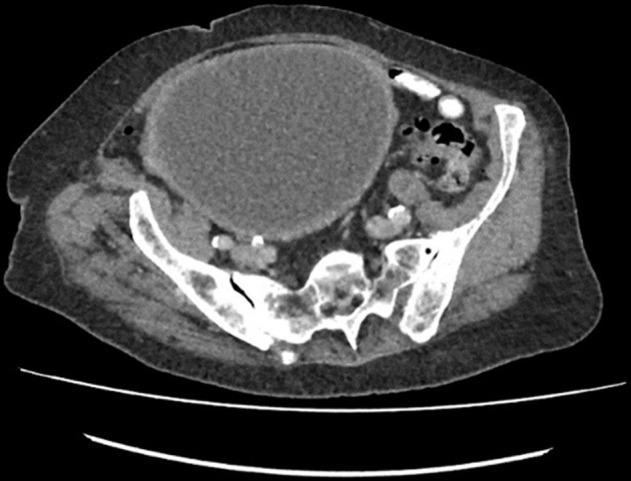
Histiocytic or xanthogranulomatous endometritis (XGE) is an extremely rare benign histopathological entity with only a few cases reported in literature to date. It is characterised by the replacement of endometrial tissue with sheets of foamy histiocytes, giant cells, lymphocytes and plasma cells; calcification and necrosis. It involves chronic inflammation and may be associated with endometrial hyperplasia, endometrial carcinoma and atrophy, causing cervical stenosis and recurrent pyometra, especially in postmenopausal women. We report a case of senile recurrent pyometra masquerading as pyelonephritis clinically and endometrial malignancy radiologically, confirmed later on histology as XGE. Due to deceptive manifestation and rarity of this clinical condition, it is very important for a gynaecologist, radiologist and histopathologist to have a clear understanding of this entity.

摘要

组织细胞性或黄色肉芽肿性子宫内膜炎(XGE)是一种极其罕见的良性组织病理学实体,迄今为止文献中仅报道了少数病例。其特征是子宫内膜组织被成片的泡沫状组织细胞、巨细胞、淋巴细胞和浆细胞取代;伴有钙化和坏死。它涉及慢性炎症,可能与子宫内膜增生、子宫内膜癌和萎缩相关,导致宫颈狭窄和复发性脓性子宫积脓,尤其是在绝经后女性中。我们报告一例老年复发性脓性子宫积脓病例,临床上伪装为肾盂肾炎,放射学上疑似子宫内膜恶性肿瘤,后来经组织学确诊为XGE。由于这种临床情况的表现具有欺骗性且罕见,妇科医生、放射科医生和组织病理学家清楚了解这一实体非常重要。

https://cdn.ncbi.nlm.nih.gov/pmc/blobs/c8a7/12056483/8df0ce090773/bcr-18-5-g001.jpg

文献检索

告别复杂PubMed语法,用中文像聊天一样搜索,搜遍4000万医学文献。AI智能推荐,让科研检索更轻松。

立即免费搜索

文件翻译

保留排版,准确专业,支持PDF/Word/PPT等文件格式,支持 12+语言互译。

免费翻译文档

深度研究

AI帮你快速写综述,25分钟生成高质量综述,智能提取关键信息,辅助科研写作。

立即免费体验