• 文献检索
  • 文档翻译
  • 深度研究
  • 学术资讯
  • Suppr Zotero 插件Zotero 插件
  • 邀请有礼
  • 套餐&价格
  • 历史记录
应用&插件
Suppr Zotero 插件Zotero 插件浏览器插件Mac 客户端Windows 客户端微信小程序
定价
高级版会员购买积分包购买API积分包
服务
文献检索文档翻译深度研究API 文档MCP 服务
关于我们
关于 Suppr公司介绍联系我们用户协议隐私条款
关注我们

Suppr 超能文献

核心技术专利:CN118964589B侵权必究
粤ICP备2023148730 号-1Suppr @ 2026

文献检索

告别复杂PubMed语法,用中文像聊天一样搜索,搜遍4000万医学文献。AI智能推荐,让科研检索更轻松。

立即免费搜索

文件翻译

保留排版,准确专业,支持PDF/Word/PPT等文件格式,支持 12+语言互译。

免费翻译文档

深度研究

AI帮你快速写综述,25分钟生成高质量综述,智能提取关键信息,辅助科研写作。

立即免费体验

前蛋白转化酶枯草溶菌素9通过E-钙黏蛋白内吞作用促进间变性甲状腺癌进展。

PCSK9 promotes progression of anaplastic thyroid cancer through E-cadherin endocytosis.

作者信息

Zhang Yu, Su Wei, Ji Xiaoyu, Yang Zhou, Guan Qing, Pang Yuanxin, Zhong Linkun, Wang Yu, Xiang Jun

机构信息

Department of Head and Neck Surgery, Fudan University Shanghai Cancer Center, Shanghai, 200032, China.

Department of Oncology, Shanghai Medical College, Fudan University, Shanghai, 200032, China.

出版信息

Cell Death Dis. 2025 May 6;16(1):362. doi: 10.1038/s41419-025-07690-1.

DOI:10.1038/s41419-025-07690-1
PMID:40328788
原文链接:https://pmc.ncbi.nlm.nih.gov/articles/PMC12056021/
Abstract

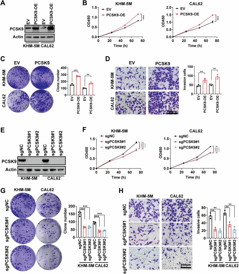
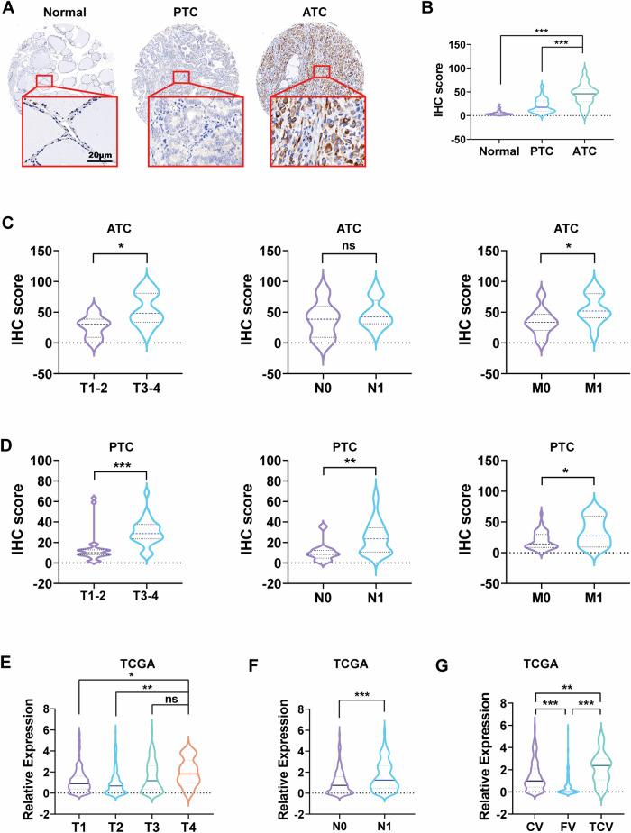
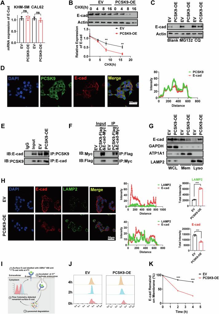
Although anaplastic thyroid cancer (ATC) constitutes only 1-2% of all thyroid malignancies, it is associated with an exceptionally high mortality rate, accounting for 14-39% of thyroid cancer-related deaths. In this study, we identified the critical role of Proprotein Convertase Subtilisin/Kexin Type 9 (PCSK9) in ATC progression. Proteomic analysis revealed E-cadherin as a key mediator of PCSK9-driven malignancy in ATC. Mechanistically, PCSK9 promotes the degradation of E-cadherin through the lysosomal pathway. Furthermore, the loss of the p53 function, particularly the R248Q mutation, de-repressed PCSK9 expression at the transcriptional level. Notably, the PCSK9 inhibitor PF-846 considerably suppressed ATC proliferation and metastasis in both in vitro and in vivo models. In conclusion, PCSK9 enhances ATC malignancy by regulating E-cadherin degradation via the lysosomal pathway, underscoring its potential as a promising therapeutic target.

摘要

尽管间变性甲状腺癌(ATC)仅占所有甲状腺恶性肿瘤的1%-2%,但其死亡率极高,占甲状腺癌相关死亡的14%-39%。在本研究中,我们确定了前蛋白转化酶枯草杆菌蛋白酶/九型凯新蛋白酶(PCSK9)在ATC进展中的关键作用。蛋白质组学分析表明,E-钙黏蛋白是PCSK9驱动的ATC恶性肿瘤的关键介质。从机制上讲,PCSK9通过溶酶体途径促进E-钙黏蛋白的降解。此外,p53功能的丧失,尤其是R248Q突变,在转录水平上解除了对PCSK9表达的抑制。值得注意的是,PCSK9抑制剂PF-846在体外和体内模型中均显著抑制了ATC的增殖和转移。总之,PCSK9通过溶酶体途径调节E-钙黏蛋白的降解来增强ATC的恶性程度,突出了其作为一个有前景的治疗靶点的潜力。

https://cdn.ncbi.nlm.nih.gov/pmc/blobs/7725/12056021/8bb3efde9de3/41419_2025_7690_Fig7_HTML.jpg
https://cdn.ncbi.nlm.nih.gov/pmc/blobs/7725/12056021/9f2a6d09ba7a/41419_2025_7690_Fig1_HTML.jpg
https://cdn.ncbi.nlm.nih.gov/pmc/blobs/7725/12056021/244bec538db5/41419_2025_7690_Fig2_HTML.jpg
https://cdn.ncbi.nlm.nih.gov/pmc/blobs/7725/12056021/969d0b0bfed4/41419_2025_7690_Fig3_HTML.jpg
https://cdn.ncbi.nlm.nih.gov/pmc/blobs/7725/12056021/560b41d76a27/41419_2025_7690_Fig4_HTML.jpg
https://cdn.ncbi.nlm.nih.gov/pmc/blobs/7725/12056021/42cf372ae014/41419_2025_7690_Fig5_HTML.jpg
https://cdn.ncbi.nlm.nih.gov/pmc/blobs/7725/12056021/c93172e632a7/41419_2025_7690_Fig6_HTML.jpg
https://cdn.ncbi.nlm.nih.gov/pmc/blobs/7725/12056021/8bb3efde9de3/41419_2025_7690_Fig7_HTML.jpg
https://cdn.ncbi.nlm.nih.gov/pmc/blobs/7725/12056021/9f2a6d09ba7a/41419_2025_7690_Fig1_HTML.jpg
https://cdn.ncbi.nlm.nih.gov/pmc/blobs/7725/12056021/244bec538db5/41419_2025_7690_Fig2_HTML.jpg
https://cdn.ncbi.nlm.nih.gov/pmc/blobs/7725/12056021/969d0b0bfed4/41419_2025_7690_Fig3_HTML.jpg
https://cdn.ncbi.nlm.nih.gov/pmc/blobs/7725/12056021/560b41d76a27/41419_2025_7690_Fig4_HTML.jpg
https://cdn.ncbi.nlm.nih.gov/pmc/blobs/7725/12056021/42cf372ae014/41419_2025_7690_Fig5_HTML.jpg
https://cdn.ncbi.nlm.nih.gov/pmc/blobs/7725/12056021/c93172e632a7/41419_2025_7690_Fig6_HTML.jpg
https://cdn.ncbi.nlm.nih.gov/pmc/blobs/7725/12056021/8bb3efde9de3/41419_2025_7690_Fig7_HTML.jpg

相似文献

1
PCSK9 promotes progression of anaplastic thyroid cancer through E-cadherin endocytosis.前蛋白转化酶枯草溶菌素9通过E-钙黏蛋白内吞作用促进间变性甲状腺癌进展。
Cell Death Dis. 2025 May 6;16(1):362. doi: 10.1038/s41419-025-07690-1.
2
MG149 suppresses anaplastic thyroid cancer progression by inhibition of lysine acetyltransferase KAT5-mediated c-Myc acetylation.MG149通过抑制赖氨酸乙酰转移酶KAT5介导的c-Myc乙酰化来抑制间变性甲状腺癌的进展。
Bull Cancer. 2025 Feb;112(2):122-134. doi: 10.1016/j.bulcan.2024.11.008. Epub 2024 Dec 31.
3
Macrophage-Induced Carboxypeptidase A4 Promotes the Progression of Anaplastic Thyroid Cancer.巨噬细胞诱导型羧肽酶 A4 促进间变性甲状腺癌的进展。
Thyroid. 2024 Sep;34(9):1150-1162. doi: 10.1089/thy.2023.0427. Epub 2024 May 13.
4
Cyclase-associated protein 1 is a binding partner of proprotein convertase subtilisin/kexin type-9 and is required for the degradation of low-density lipoprotein receptors by proprotein convertase subtilisin/kexin type-9.衔接蛋白 1 是蛋白水解酶原转化酶枯草溶菌素/柯萨奇蛋白酶 9 的结合伴侣,并且对于蛋白水解酶原转化酶枯草溶菌素/柯萨奇蛋白酶 9 降解低密度脂蛋白受体是必需的。
Eur Heart J. 2020 Jan 7;41(2):239-252. doi: 10.1093/eurheartj/ehz566.
5
Anillin interacts with RhoA to promote tumor progression in anaplastic thyroid cancer by activating the PI3K/AKT pathway.膜收缩蛋白与RhoA相互作用,通过激活PI3K/AKT信号通路促进间变性甲状腺癌的肿瘤进展。
Endocrine. 2025 Apr;88(1):211-222. doi: 10.1007/s12020-024-04145-z. Epub 2024 Dec 30.
6
Maintenance of magnesium homeostasis by NUF2 promotes protein synthesis and anaplastic thyroid cancer progression.通过 NUF2 维持镁离子稳态可促进蛋白质合成和间变性甲状腺癌的进展。
Cell Death Dis. 2024 Sep 6;15(9):656. doi: 10.1038/s41419-024-07041-6.
7
UBR1 promotes anaplastic thyroid carcinoma progression via stabilizing YAP through monoubiquitylation.UBR1 通过单泛素化稳定 YAP 促进间变性甲状腺癌进展。
Sci Rep. 2024 Aug 22;14(1):19496. doi: 10.1038/s41598-024-70458-8.
8
Loss of MADD expression inhibits cellular growth and metastasis in anaplastic thyroid cancer.MADD 表达缺失抑制间变性甲状腺癌的细胞生长和转移。
Cell Death Dis. 2019 Feb 13;10(2):145. doi: 10.1038/s41419-019-1351-5.
9
Expression profile of biomarkers altered in papillary and anaplastic thyroid carcinoma: Contribution of Tunisian patients.乳头状和间变性甲状腺癌中改变的生物标志物表达谱:突尼斯患者的贡献
Bull Cancer. 2017 May;104(5):433-441. doi: 10.1016/j.bulcan.2016.12.001. Epub 2017 Feb 6.
10
Inhibition of THBS1 axis contributes to the antitumor effect of PA-MSHA in anaplastic thyroid cancer.抑制THBS1轴有助于嗜水气单胞菌灭活疫苗在间变性甲状腺癌中的抗肿瘤作用。
Exp Cell Res. 2025 Jan 15;444(2):114373. doi: 10.1016/j.yexcr.2024.114373. Epub 2024 Dec 11.

本文引用的文献

1
Anti-Programmed Death Ligand 1 Plus Targeted Therapy in Anaplastic Thyroid Carcinoma: A Nonrandomized Clinical Trial.抗程序性死亡配体1联合靶向治疗在间变性甲状腺癌中的应用:一项非随机临床试验
JAMA Oncol. 2024 Dec 1;10(12):1672-1680. doi: 10.1001/jamaoncol.2024.4729.
2
Neoadjuvant Treatment of Locally Advanced Thyroid Cancer: A Preliminary Latin American Experience.局部晚期甲状腺癌的新辅助治疗:初步的拉丁美洲经验。
Thyroid. 2024 Jul;34(7):949-952. doi: 10.1089/thy.2024.0090. Epub 2024 Jun 3.
3
Understanding the complexity of p53 in a new era of tumor suppression.
在肿瘤抑制的新时代理解 p53 的复杂性。
Cancer Cell. 2024 Jun 10;42(6):946-967. doi: 10.1016/j.ccell.2024.04.009. Epub 2024 May 9.
4
Thyroid Cancer: A Review.甲状腺癌:综述。
JAMA. 2024 Feb 6;331(5):425-435. doi: 10.1001/jama.2023.26348.
5
Targeting proprotein convertase subtilisin/kexin type 9 (PCSK9): from bench to bedside.靶向前蛋白转化酶枯草溶菌素 9(PCSK9):从实验室到临床。
Signal Transduct Target Ther. 2024 Jan 8;9(1):13. doi: 10.1038/s41392-023-01690-3.
6
TERT accelerates BRAF mutant-induced thyroid cancer dedifferentiation and progression by regulating ribosome biogenesis.TERT 通过调控核糖体生物发生促进 BRAF 突变型诱导的甲状腺癌去分化和进展。
Sci Adv. 2023 Sep;9(35):eadg7125. doi: 10.1126/sciadv.adg7125. Epub 2023 Aug 30.
7
Recent advances in anaplastic thyroid cancer management.甲状腺未分化癌治疗的最新进展。
Curr Opin Endocrinol Diabetes Obes. 2023 Oct 1;30(5):259-264. doi: 10.1097/MED.0000000000000823. Epub 2023 Jul 6.
8
Targeting PCSK9 to tackle cardiovascular disease.靶向 PCSK9 以治疗心血管疾病。
Pharmacol Ther. 2023 Sep;249:108480. doi: 10.1016/j.pharmthera.2023.108480. Epub 2023 Jun 17.
9
Endocytosis in cancer and cancer therapy.癌症和癌症治疗中的内吞作用。
Nat Rev Cancer. 2023 Jul;23(7):450-473. doi: 10.1038/s41568-023-00574-6. Epub 2023 May 22.
10
The Tyrosine Kinase Inhibitor Lenvatinib Inhibits Anaplastic Thyroid Carcinoma Growth by Targeting Pericytes in the Tumor Microenvironment.酪氨酸激酶抑制剂仑伐替尼通过靶向肿瘤微环境中的周细胞抑制间变性甲状腺癌的生长。
Thyroid. 2023 Jul;33(7):835-848. doi: 10.1089/thy.2022.0597.