Suppr超能文献

代谢干预可恢复非肥胖型糖尿病大鼠的生育能力和精子健康。

Metabolic intervention restores fertility and sperm health in non-obese diabetic rats.

作者信息

Tumentemur Gamze, Titiz Mustafa, Ors Alev Bobus

机构信息

Acibadem University Vocational School of Health Services, Istanbul, Türkiye.

Department of Health Sciences, Section of Clinical Pharmacology and Oncology, University of Florence, Florence, Tuscany, Italy.

出版信息

Front Endocrinol (Lausanne). 2025 Apr 21;16:1558769. doi: 10.3389/fendo.2025.1558769. eCollection 2025.

Abstract

BACKGROUND

In people with diabetes, the effect of sleeve gastrectomy on impaired sperm parameters, hormonal profile, and testis tissue remains controversial to some extent.

THE CONTEXT AND PURPOSE OF THE STUDY

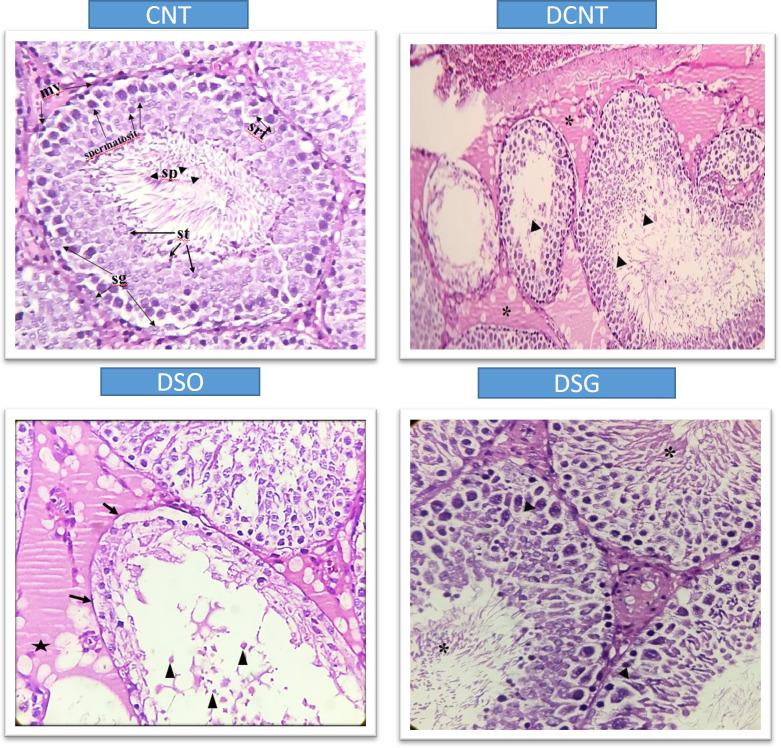
This study aimed to investigate the effects of sleeve gastrectomy on the hormonal profile, sperm parameters, and testis tissue in infertile rats with type II diabetes mellitus (TIIDM). This study included 32 rats with TIIDM with or without sleeve gastrectomy. All the rats underwent sperm, testis tissue, and serum hormone profile analyses before and 8 weeks after surgery.

RESULTS

There was a significant correlation between weight loss after sleeve gastrectomy and a decrease in glucose profile (p < 0.05). In the hormonal profile, testosterone improved significantly after 8 weeks following sleeve gastrectomy. There was a significant increase in sperm count (p < 0.05) and improved sperm morphology during the follow-up after sleeve gastrectomy. The analysis also showed significant changes in testis tissue after surgery.

CONCLUSION

Sleeve gastrectomy significantly improved testosterone deficiency, testis tissue, and sperm count in rats with TIIDM. Further prospective clinical studies are needed to show how bariatric surgery affects infertility in patients with TIIDM.

摘要

背景

在糖尿病患者中,袖状胃切除术对精子参数受损、激素水平及睾丸组织的影响在一定程度上仍存在争议。

研究背景与目的

本研究旨在探讨袖状胃切除术对II型糖尿病(TIIDM)不育大鼠激素水平、精子参数及睾丸组织的影响。本研究纳入32只患有TIIDM且接受或未接受袖状胃切除术的大鼠。所有大鼠在手术前及术后8周均接受精子、睾丸组织及血清激素水平分析。

结果

袖状胃切除术后体重减轻与血糖水平降低之间存在显著相关性(p < 0.05)。在激素水平方面,袖状胃切除术后8周睾酮水平显著改善。袖状胃切除术后随访期间精子数量显著增加(p < 0.05),精子形态得到改善。分析还显示术后睾丸组织有显著变化。

结论

袖状胃切除术显著改善了TIIDM大鼠的睾酮缺乏、睾丸组织及精子数量。需要进一步的前瞻性临床研究来表明减肥手术如何影响TIIDM患者的不育情况。

https://cdn.ncbi.nlm.nih.gov/pmc/blobs/e2b0/12051186/4713b94e7f7a/fendo-16-1558769-g001.jpg

文献检索

告别复杂PubMed语法,用中文像聊天一样搜索,搜遍4000万医学文献。AI智能推荐,让科研检索更轻松。

立即免费搜索

文件翻译

保留排版,准确专业,支持PDF/Word/PPT等文件格式,支持 12+语言互译。

免费翻译文档

深度研究

AI帮你快速写综述,25分钟生成高质量综述,智能提取关键信息,辅助科研写作。

立即免费体验