Suppr超能文献

老年人急腹症的CT检查

CT of acute abdomen in the elderly.

作者信息

Coutureau Juliette, Millet Ingrid, Taourel Patrice

机构信息

Department of Medical Imaging, Lapeyronie University Hospital, Montpellier, France.

Desbrest Institute of Epidemiology and Public Health (IDESP), Univ Montpellier, INSERM, Montpellier, France.

出版信息

Insights Imaging. 2025 May 7;16(1):95. doi: 10.1186/s13244-025-01955-1.

Abstract

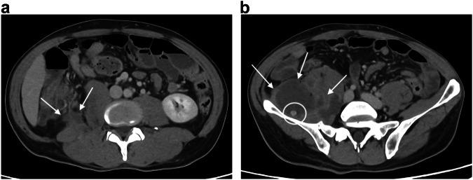
Abdominal disorders represent 10 to 15% of all Emergency Department visits in elderly patients. This educational review focuses on acute abdomen pathologies specific to the elderly and on their imaging patterns and proposes a strategy for performing CT scans in this population. Bowel obstruction is the most common cause of emergency surgery in the elderly with a higher proportion of colonic obstructions, in particular obstructive colorectal cancer and sigmoid volvulus. Concerning abdominal inflammatory processes, such as cholecystitis, appendicitis, and diverticulitis, gangrenous cholecystitis and complicated appendicitis are relatively frequently encountered due to delayed diagnoses. Bowel ischemia, which includes acute mesenteric ischemia (AMI) and ischemic colitis (IC), is also much more common after the age of 80. Although ischemic colitis is mainly related to cardiovascular risk factors, it can also result from a persistent distension above a colonic cancer or from fecal impaction. Finally, extra-abdominal pathologies responsible for acute abdominal pain, such as inferior myocardial infarction, should not be overlooked. In clinical practice, when possible thanks to sufficient and appropriate radiological resources, we recommend a scan without injection of contrast and an injection depending on the results of the unenhanced scan, decided by the radiologist present at the CT scan room during the examination. CRITICAL RELEVANCE STATEMENT: CT is critical in the diagnosis and management of patients over 75 years old with an acute abdomen, given the difficulty of clinico-biological diagnosis, the frequency of complicated forms, and the morbidity induced by delayed diagnosis. KEY POINTS: The most common site and cause of bowel obstruction in the elderly is large bowel obstruction due to colon cancer. Discrepancy between a poor clinical examination and complicated forms on imaging, particularly for inflammation and infections, is responsible for late diagnosis and increased morbidity. Ischemia, including of the small bowel, colon, and gallbladder are common cause of acute abdomen in elderly. In patients with upper quadrant pain, consider extra-abdominal causes such as pneumonia or myocardial infarction.

摘要

腹部疾病占老年患者急诊就诊总数的10%至15%。本教育综述聚焦于老年人特有的急腹症病理情况及其影像学表现模式,并提出针对该人群进行CT扫描的策略。肠梗阻是老年人急诊手术最常见的原因,其中结肠梗阻比例较高,尤其是梗阻性结直肠癌和乙状结肠扭转。关于腹部炎症性疾病,如胆囊炎、阑尾炎和憩室炎,由于诊断延误,坏疽性胆囊炎和复杂性阑尾炎相对较为常见。肠缺血,包括急性肠系膜缺血(AMI)和缺血性结肠炎(IC),在80岁以后也更为常见。虽然缺血性结肠炎主要与心血管危险因素有关,但也可能由结肠癌上方的持续性扩张或粪块嵌塞引起。最后,导致急性腹痛的腹外疾病,如心肌梗死,也不应被忽视。在临床实践中,若有足够且合适的放射学资源,我们建议先进行无对比剂注射的扫描,然后根据平扫结果由检查时在CT扫描室的放射科医生决定是否注射对比剂。关键相关性声明:鉴于临床生物学诊断困难、复杂形式的发生率以及延迟诊断导致的发病率,CT对75岁以上急腹症患者的诊断和管理至关重要。关键点:老年人肠梗阻最常见的部位和原因是结肠癌导致的大肠梗阻。临床检查结果不佳与影像学复杂表现之间的差异,尤其是对于炎症和感染,导致诊断延迟和发病率增加。缺血,包括小肠、结肠和胆囊缺血,是老年人急腹症的常见原因。对于上腹部疼痛的患者,应考虑腹外原因,如肺炎或心肌梗死。

https://cdn.ncbi.nlm.nih.gov/pmc/blobs/0345/12058634/42bf80bb7b26/13244_2025_1955_Fig1_HTML.jpg

文献检索

告别复杂PubMed语法,用中文像聊天一样搜索,搜遍4000万医学文献。AI智能推荐,让科研检索更轻松。

立即免费搜索

文件翻译

保留排版,准确专业,支持PDF/Word/PPT等文件格式,支持 12+语言互译。

免费翻译文档

深度研究

AI帮你快速写综述,25分钟生成高质量综述,智能提取关键信息,辅助科研写作。

立即免费体验