• 文献检索
  • 文档翻译
  • 深度研究
  • 学术资讯
  • Suppr Zotero 插件Zotero 插件
  • 邀请有礼
  • 套餐&价格
  • 历史记录
应用&插件
Suppr Zotero 插件Zotero 插件浏览器插件Mac 客户端Windows 客户端微信小程序
定价
高级版会员购买积分包购买API积分包
服务
文献检索文档翻译深度研究API 文档MCP 服务
关于我们
关于 Suppr公司介绍联系我们用户协议隐私条款
关注我们

Suppr 超能文献

核心技术专利:CN118964589B侵权必究
粤ICP备2023148730 号-1Suppr @ 2026

文献检索

告别复杂PubMed语法,用中文像聊天一样搜索,搜遍4000万医学文献。AI智能推荐,让科研检索更轻松。

立即免费搜索

文件翻译

保留排版,准确专业,支持PDF/Word/PPT等文件格式,支持 12+语言互译。

免费翻译文档

深度研究

AI帮你快速写综述,25分钟生成高质量综述,智能提取关键信息,辅助科研写作。

立即免费体验

复发性心包积液背后的谜团:一例隐匿性致心律失常性右室心肌病病例

The mystery behind recurrent pericardial effusions: A hidden case of arrhythmogenic right ventricular cardiomyopathy.

作者信息

Bouyaddid Salma, Ouaddouh Yasmine, Ismaili Nabila, El Ouafi Noha, Bazid Zakaria

机构信息

Faculty of Medicine and Pharmacy, Mohammed Ist University, Oujda, Morocco.

Department of Cardiology, Mohammed VI University Hospital/Mohammed I University Oujda Morocco.

出版信息

Radiol Case Rep. 2025 Apr 26;20(7):3414-3419. doi: 10.1016/j.radcr.2025.03.085. eCollection 2025 Jul.

DOI:10.1016/j.radcr.2025.03.085
PMID:40337330
原文链接:https://pmc.ncbi.nlm.nih.gov/articles/PMC12056785/
Abstract

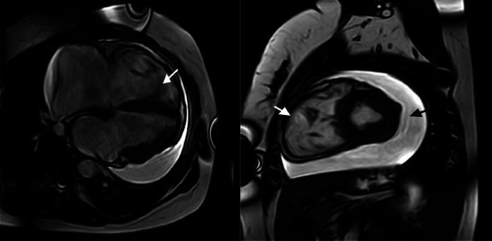
Arrhythmogenic right ventricular cardiomyopathy (ARVC) is a rare but potentially life- threatening genetic disorder characterized by fibrofatty myocardial replacement, ventricular dysfunction, and arrhythmias. Presenting a significant diagnostic challenge due to its phenotypic heterogeneity. While the cardinal features of ARVC are electrical instability and an elevated risk of sudden cardiac death, pericardial effusion, an infrequent manifestation of ARVC, potentially arising from complex interactions between myocardial remodeling and local inflammatory processes, can obscure the underlying cardiac pathology, causing a delayed recognition of the disease. We report a case of recurrent unexplained pericardial effusions in a young female patient presenting with dyspnea and chest pain. Clinical examination revealed muffled heart sounds. Despite initial management with colchicine, the effusion progressed, requiring pericardiocentesis, yielding sero-hematic transudate with negative infectious, cytological, and autoimmune workups. Transthoracic echocardiography revealed a dilated right ventricle with severe tricuspid regurgitation. Cardiac MRI confirmed right ventricular akinesia, an RVEF <40%, and prominent trabeculations. Based on the 2010 Task Force criteria, the diagnosis of arrhythmogenic right ventricular cardiomyopathy (ARVC) was definitively established. This case highlights the importance of considering ARVC in patients with unexplained recurrent pericardial effusions and right ventricular abnormalities, even in the absence of typical arrhythmic symptoms.

摘要

致心律失常性右室心肌病(ARVC)是一种罕见但可能危及生命的遗传性疾病,其特征为心肌纤维脂肪组织替代、心室功能障碍和心律失常。由于其表型异质性,带来了重大的诊断挑战。虽然ARVC的主要特征是电不稳定和心脏性猝死风险升高,但心包积液作为ARVC的一种罕见表现,可能源于心肌重塑与局部炎症过程之间的复杂相互作用,会掩盖潜在的心脏病理情况,导致疾病的诊断延迟。我们报告一例年轻女性患者反复出现不明原因的心包积液,伴有呼吸困难和胸痛。临床检查发现心音减弱。尽管最初使用秋水仙碱治疗,但积液仍进展,需要进行心包穿刺术,抽出的是血清血性漏出液,感染、细胞学和自身免疫检查均为阴性。经胸超声心动图显示右心室扩张,伴有严重的三尖瓣反流。心脏磁共振成像证实右心室运动减弱,右室射血分数<40%,小梁明显。根据2010年工作组标准,明确诊断为致心律失常性右室心肌病(ARVC)。该病例强调了在不明原因反复出现心包积液和右心室异常的患者中考虑ARVC的重要性,即使没有典型的心律失常症状。

https://cdn.ncbi.nlm.nih.gov/pmc/blobs/b286/12056785/7d72759b012d/gr5.jpg
https://cdn.ncbi.nlm.nih.gov/pmc/blobs/b286/12056785/25453aa50484/gr1.jpg
https://cdn.ncbi.nlm.nih.gov/pmc/blobs/b286/12056785/a98fb102d210/gr2.jpg
https://cdn.ncbi.nlm.nih.gov/pmc/blobs/b286/12056785/be0a307b142c/gr3.jpg
https://cdn.ncbi.nlm.nih.gov/pmc/blobs/b286/12056785/f877144a1f8a/gr4.jpg
https://cdn.ncbi.nlm.nih.gov/pmc/blobs/b286/12056785/7d72759b012d/gr5.jpg
https://cdn.ncbi.nlm.nih.gov/pmc/blobs/b286/12056785/25453aa50484/gr1.jpg
https://cdn.ncbi.nlm.nih.gov/pmc/blobs/b286/12056785/a98fb102d210/gr2.jpg
https://cdn.ncbi.nlm.nih.gov/pmc/blobs/b286/12056785/be0a307b142c/gr3.jpg
https://cdn.ncbi.nlm.nih.gov/pmc/blobs/b286/12056785/f877144a1f8a/gr4.jpg
https://cdn.ncbi.nlm.nih.gov/pmc/blobs/b286/12056785/7d72759b012d/gr5.jpg

相似文献

1
The mystery behind recurrent pericardial effusions: A hidden case of arrhythmogenic right ventricular cardiomyopathy.复发性心包积液背后的谜团:一例隐匿性致心律失常性右室心肌病病例
Radiol Case Rep. 2025 Apr 26;20(7):3414-3419. doi: 10.1016/j.radcr.2025.03.085. eCollection 2025 Jul.
2
A case of arrhythmogenic right ventricular cardiomyopathy presenting with progressive right ventricular failure and recurrent multifocal monomorphic ventricular tachycardia during 15 years of follow-up.一例致心律失常性右室心肌病患者,在15年随访期间出现进行性右室衰竭和反复发作的多灶性单形性室性心动过速。
J Cardiol Cases. 2014 Sep 26;10(6):216-220. doi: 10.1016/j.jccase.2014.07.014. eCollection 2014 Dec.
3
Isolated JUP plakoglobin gene mutation with left ventricular fibrosis in familial arrhythmogenic right ventricular cardiomyopathy.家族性致心律失常性右室心肌病中伴有左心室纤维化的孤立性JUP连环蛋白基因突变
J Cardiovasc Electrophysiol. 2023 Oct;34(10):2112-2121. doi: 10.1111/jce.16044. Epub 2023 Sep 17.
4
Arrhythmogenic right ventricular cardiomyopathy with sustained ventricular tachycardia: a case report.致心律失常性右室心肌病伴持续性室性心动过速:一例报告。
BMC Cardiovasc Disord. 2024 May 30;24(1):284. doi: 10.1186/s12872-024-03959-z.
5
Arrhythmogenic right ventricular cardiomyopathy/dysplasia: a review and update.致心律失常性右室心肌病/发育不良:综述与更新。
Clin Res Cardiol. 2011 May;100(5):383-94. doi: 10.1007/s00392-011-0295-2. Epub 2011 Mar 1.
6
Arrhythmogenic right ventricular cardiomyopathy and fatty replacement of the right ventricular myocardium: are they different diseases?致心律失常性右室心肌病与右室心肌脂肪替代:它们是不同的疾病吗?
Circulation. 1998 Apr 28;97(16):1571-80. doi: 10.1161/01.cir.97.16.1571.
7
Risk Stratification in Arrhythmogenic Right Ventricular Cardiomyopathy.致心律失常性右室心肌病的风险分层
Circulation. 2017 Nov 21;136(21):2068-2082. doi: 10.1161/CIRCULATIONAHA.117.030792.
8
Remodelling of myocardial intercalated disc protein connexin 43 causes increased susceptibility to malignant arrhythmias in ARVC/D patients.致心律失常性右室心肌病/发育异常(ARVC/D)患者心肌闰盘蛋白连接蛋白43的重塑会导致恶性心律失常易感性增加。
Forensic Sci Int. 2017 Jun;275:14-22. doi: 10.1016/j.forsciint.2017.02.020. Epub 2017 Feb 27.
9
truncations cause arrhythmogenic right ventricular cardiomyopathy.截断导致致心律失常性右室心肌病。
J Med Genet. 2020 Apr;57(4):254-257. doi: 10.1136/jmedgenet-2019-106394. Epub 2020 Jan 10.
10
Phenotypic expression is a prerequisite for malignant arrhythmic events and sudden cardiac death in arrhythmogenic right ventricular cardiomyopathy.表型表达是致心律失常性右室心肌病发生恶性心律失常事件和心源性猝死的前提条件。
Europace. 2016 Jul;18(7):1086-94. doi: 10.1093/europace/euv205. Epub 2015 Jul 2.

本文引用的文献

1
Arrhythmogenic Right Ventricular Cardiomyopathy.致心律失常性右室心肌病。
JACC Clin Electrophysiol. 2022 Apr;8(4):533-553. doi: 10.1016/j.jacep.2021.12.002.
2
Evolving Diagnostic Criteria for Arrhythmogenic Cardiomyopathy.心律失常性心肌病的诊断标准不断演变。
J Am Heart Assoc. 2021 Sep 21;10(18):e021987. doi: 10.1161/JAHA.121.021987. Epub 2021 Sep 17.
3
Insights Into Genetics and Pathophysiology of Arrhythmogenic Cardiomyopathy.心律失常性心肌病的遗传学和病理生理学见解。
Curr Heart Fail Rep. 2021 Dec;18(6):378-390. doi: 10.1007/s11897-021-00532-z. Epub 2021 Sep 3.
4
Endo-epicardial ablation vs endocardial ablation for the management of ventricular tachycardia in arrhythmogenic right ventricular cardiomyopathy: A systematic review and meta-analysis.心内膜-心外膜消融术与心内膜消融术治疗致心律失常性右室心肌病室性心动过速的系统评价和荟萃分析
J Cardiovasc Electrophysiol. 2020 Aug;31(8):2022-2031. doi: 10.1111/jce.14593. Epub 2020 Jun 18.
5
Arrhythmogenic cardiomyopathy: pathogenesis, pro-arrhythmic remodelling, and novel approaches for risk stratification and therapy.致心律失常性心肌病:发病机制、促心律失常重构及新的危险分层和治疗方法。
Cardiovasc Res. 2020 Jul 15;116(9):1571-1584. doi: 10.1093/cvr/cvaa084.
6
2017 AHA/ACC/HRS Guideline for Management of Patients With Ventricular Arrhythmias and the Prevention of Sudden Cardiac Death: A Report of the American College of Cardiology/American Heart Association Task Force on Clinical Practice Guidelines and the Heart Rhythm Society.2017年美国心脏协会/美国心脏病学会/心律学会室性心律失常患者管理和心脏性猝死预防指南:美国心脏病学会/美国心脏协会临床实践指南工作组和心律学会的报告
J Am Coll Cardiol. 2018 Oct 2;72(14):e91-e220. doi: 10.1016/j.jacc.2017.10.054. Epub 2018 Aug 16.
7
Arrhythmogenic Cardiomyopathy.致心律失常性右室心肌病
Circ Res. 2017 Sep 15;121(7):784-802. doi: 10.1161/CIRCRESAHA.117.309345.
8
A classic case of arrhythmogenic right ventricular cardiomyopathy (ARVC) and literature review.一例致心律失常性右室心肌病(ARVC)的典型病例及文献综述。
J Community Hosp Intern Med Perspect. 2017 Jun 6;7(2):115-121. doi: 10.1080/20009666.2017.1302703. eCollection 2017 Mar.
9
Implantable cardioverter-defibrillator harm in young patients with inherited arrhythmia syndromes: A systematic review and meta-analysis of inappropriate shocks and complications.可植入式心律转复除颤器对遗传性心律失常综合征年轻患者的危害:不适当电击和并发症的系统评价和荟萃分析。
Heart Rhythm. 2016 Feb;13(2):443-54. doi: 10.1016/j.hrthm.2015.09.010. Epub 2015 Sep 15.
10
A case of arrythmogenic right ventricular cardiomyopathy in a middle-aged woman.一名中年女性患致心律失常性右室心肌病的病例。
J Cardiovasc Dis Res. 2011 Jan;2(1):74-6. doi: 10.4103/0975-3583.78602.