Zhang Hui, Zhu Can, Zhou Xingyu, Wang Laifa, Deng Ling, He Binsheng, Li Jianming
Hunan Provincial University Key Laboratory of the Fundamental and Clinical Research on Neurodegenerative Diseases, Changsha Medical University, Changsha, China.
The Hunan Provincial University Key Laboratory of the Fundamental and Clinical Research on Functional Nucleic Acid, Changsha Medical University, Changsha, China.
Front Pharmacol. 2025 Apr 25;16:1581320. doi: 10.3389/fphar.2025.1581320. eCollection 2025.
Edaravone dexborneol (Eda-Dex), a promising neuroprotectant composed of edaravone and (+)-borneol, has been clinically applied in stroke treatment. However, the mechanism of action of Eda-Dex remains unclear.
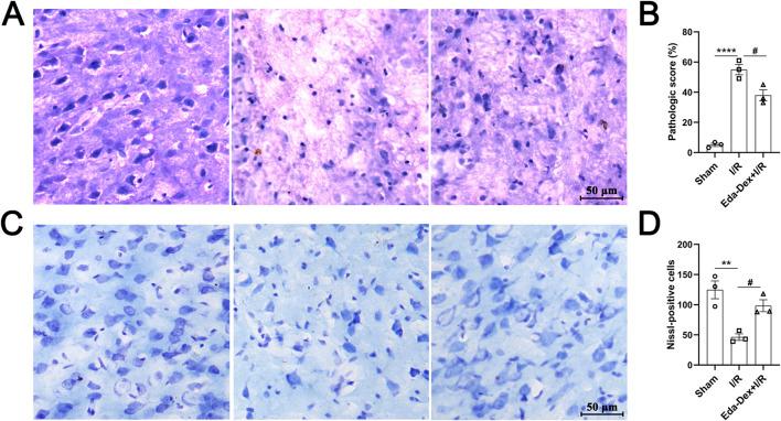
A rat model of cerebral ischemia/reperfusion injury (CIRI) was created through middle cerebral artery occlusion. Neurological scoring, TTC staining, and laser speckle imaging were used to assess neurological deficits, infarct size and cerebral blood flow (CBF). Behavioral tests, including the open field test, the elevated plus maze, and the novel object recognition test, were conducted to assess animal behavior. Western blotting and ELISA were employed to assess levels of expression of components of the NRF2/ARE and NF-κB/AIM2 pathways and of specific cytokines. The levels of oxidative stress markers were analyzed via commercially available kits. HE staining, Nissl staining, and immunohistochemistry were used to assess pathological alterations in the brain.
Eda-Dex dramatically reduced the neurological deficit score and cerebral infarct size, increased CBF, and attenuated anxiety-like behavior and improved cognitive function in CIRI rats. Eda-Dex significantly reduced oxidative stress and relieved inflammatory response and it significantly upregulated NRF2, NQO1, HO-1, and SLC7A11 and significantly downregulated NF-κB, AIM2, ASC and caspase 1 in the infarcted brain. Moreover, Eda-Dex clearly reduced pathological damage, rescued neurons, and reduced the activation of microglia and astrocytes.
The results of this study confirm that Eda-Dex exerts neuroprotective effects by synergistically inhibiting oxidative stress and inflammation via the NRF2/ARE and NF-κB/AIM2 pathways in CIRI rats.
依达拉奉右莰醇(Eda-Dex)是一种由依达拉奉和(+)-莰醇组成的有前景的神经保护剂,已临床应用于中风治疗。然而,Eda-Dex的作用机制仍不清楚。
通过大脑中动脉闭塞建立大鼠脑缺血/再灌注损伤(CIRI)模型。采用神经功能评分、TTC染色和激光散斑成像评估神经功能缺损、梗死面积和脑血流量(CBF)。进行行为学测试,包括旷场试验、高架十字迷宫试验和新物体识别试验,以评估动物行为。采用蛋白质免疫印迹法和酶联免疫吸附测定法评估NRF2/ARE和NF-κB/AIM2信号通路相关成分及特定细胞因子的表达水平。通过市售试剂盒分析氧化应激标志物水平。采用苏木精-伊红染色、尼氏染色和免疫组织化学法评估脑内病理改变。
Eda-Dex显著降低CIRI大鼠的神经功能缺损评分和脑梗死面积,增加CBF,并减轻焦虑样行为,改善认知功能。Eda-Dex显著降低氧化应激,减轻炎症反应,显著上调梗死脑组织中NRF2、NQO1、HO-1和SLC7A11的表达,显著下调NF-κB、AIM2、ASC和半胱天冬酶1的表达。此外,Eda-Dex明显减轻病理损伤,挽救神经元,并减少小胶质细胞和星形胶质细胞的激活。
本研究结果证实,Eda-Dex通过协同抑制CIRI大鼠NRF2/ARE和NF-κB/AIM2信号通路的氧化应激和炎症发挥神经保护作用。