Myilvahanan G, Shenoy Shreya, Guharay Joy, Kumaravel A
Department of Orthopaedics, SKS Hospital and Postgraduate Medical Institute, Salem, Tamil Nadu, India.
J Orthop Case Rep. 2025 May;15(5):91-96. doi: 10.13107/jocr.2025.v15.i05.5568.
Osteomyelitis in adults is most commonly associated with Staphylococcus aureus or epidermidis. Healthy bone is inherently resistant to infection, until seeding of a source of infection occurs either by hematogenous spread or by direct inoculation. Salmonella spp. has been accountable for 0.45% of all osteomyelitis regardless of the age. Due to a culmination of factors, the infection is rarely seen in an immunocompetent young adult. Here, we report a case of Salmonella osteomyelitis in a young female.
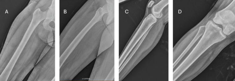
A 24-year-old otherwise healthy female patient presented with acute-onset pain of right mid shaft of femur and proximal tibia. She had a normal radiograph with raised inflammatory parameters. She had a hypointense lesion in the T1-weighted imaging, features suggestive of osteomyelitis. A second lesion hyperintense lesion on T2-weighted magnetic resonance imaging (MRI) was seen in the proximal tibia with a fracture line in the anteromedial cortex of proximal tibia of the right leg, possibly osteomyelitis. The patient was taken up for open biopsy, sampling for culture and debridement. The culture grew Salmonella spp. The patient was treated with 6 weeks on intravenous ertapenem and 2 weeks of oral cotrimoxazole. She was completely symptom free by 6 weeks and repeat MRI at 6 months showed healed status of the index site.
Adult-onset acute bifocal Salmonella osteomyelitis is extremely rare. Early diagnosis and prompt debridement with tailored antibiotics help in preventing the spread of the disease and is curative.
成人骨髓炎最常与金黄色葡萄球菌或表皮葡萄球菌相关。健康的骨骼本身对感染具有抵抗力,直到通过血行播散或直接接种发生感染源的播散。沙门氏菌属在所有骨髓炎病例中占0.45%,与年龄无关。由于多种因素的综合作用,在免疫功能正常的年轻成年人中很少见到这种感染。在此,我们报告一例年轻女性沙门氏菌骨髓炎病例。
一名24岁的健康女性患者出现右股骨中段和胫骨近端急性疼痛。她的X线片正常,但炎症指标升高。在T1加权成像中她有一个低信号病变,提示骨髓炎。在T2加权磁共振成像(MRI)上,右侧胫骨近端可见第二个高信号病变,右腿胫骨近端前内侧皮质有一条骨折线,可能为骨髓炎。该患者接受了切开活检、培养采样和清创术。培养结果显示为沙门氏菌属。该患者接受了6周静脉注射厄他培南和2周口服复方新诺明的治疗。6周时她完全没有症状,6个月时复查MRI显示病变部位已愈合。
成人急性双灶性沙门氏菌骨髓炎极为罕见。早期诊断并及时进行清创术,同时使用针对性的抗生素,有助于预防疾病传播并治愈疾病。