Suppr超能文献

胸腔镜双孔法治疗儿童左侧胸腔内两个肺叶外型肺隔离症:一例报告

Thoracoscopic two-port treatment of two extralobar pulmonary sequestrations in the left thoracic cavity of a child: a case report.

作者信息

Zhao Huashan, Zhao Shumin, Zhai Yunpeng, Guo Rui, Shen Gang, Xu Hongxiu, Huang Sai, Zhang Shisong

机构信息

Department of Thoracic and Oncological Surgery, Children's Hospital Affiliated to Shandong University, Jinan, China.

Department of Thoracic and Oncological Surgery, Jinan Children's Hospital, Jinan, China.

出版信息

Front Pediatr. 2025 Apr 25;13:1570926. doi: 10.3389/fped.2025.1570926. eCollection 2025.

Abstract

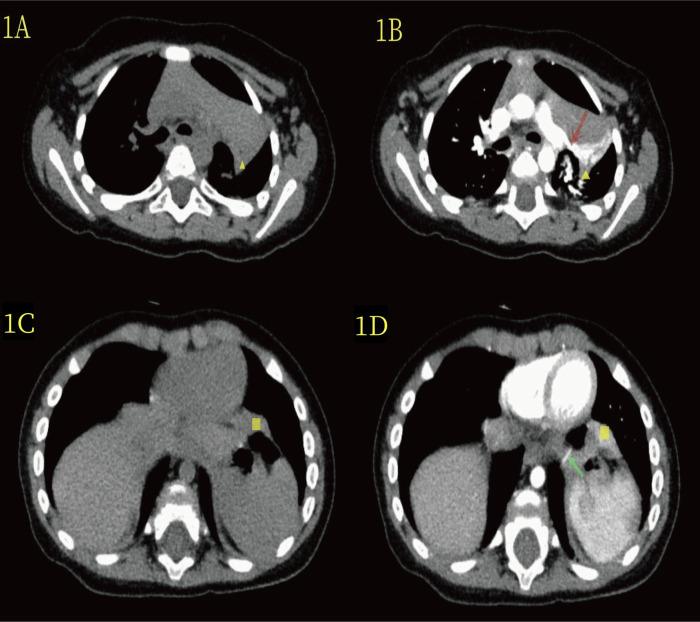
Reports of bronchopulmonary sequestration in two or more locations within the ipsilateral thorax in children are rare. To date, only a few clinical reports have described thoracoscopic two-port treatment for external lobe bronchopulmonary sequestration. We performed thoracoscopic two-port surgery on a 7-month-old girl and identified two abnormal masses in the left thoracic cavity: one located in the upper hilum of the lung and the other on the surface of the lower diaphragm. Both masses were resected using two-aperture thoracoscopic surgery and were pathologically confirmed as extralobar bronchopulmonary sequestrations. Preoperative computed tomography (CT) only detected the lesions in the upper hilum of the lung, indicating that CT alone is insufficient to achieve a comprehensive and accurate diagnosis of the disease in similar cases. Therefore, the thoracoscopic two-port technique can better diagnose and treat these diseases.

摘要

儿童同侧胸腔内两个或更多部位发生支气管肺隔离症的报道很少见。迄今为止,仅有少数临床报告描述了胸腔镜两孔法治疗叶外型支气管肺隔离症。我们对一名7个月大的女童进行了胸腔镜两孔手术,在左侧胸腔内发现了两个异常肿块:一个位于肺门上部,另一个位于膈肌表面。两个肿块均采用两孔胸腔镜手术切除,病理证实为叶外型支气管肺隔离症。术前计算机断层扫描(CT)仅检测到肺门上部的病变,表明在类似病例中,仅靠CT不足以对该疾病进行全面准确的诊断。因此,胸腔镜两孔技术能够更好地诊断和治疗这些疾病。

https://cdn.ncbi.nlm.nih.gov/pmc/blobs/9817/12063352/662323de753f/fped-13-1570926-g001.jpg

文献检索

告别复杂PubMed语法,用中文像聊天一样搜索,搜遍4000万医学文献。AI智能推荐,让科研检索更轻松。

立即免费搜索

文件翻译

保留排版,准确专业,支持PDF/Word/PPT等文件格式,支持 12+语言互译。

免费翻译文档

深度研究

AI帮你快速写综述,25分钟生成高质量综述,智能提取关键信息,辅助科研写作。

立即免费体验