Suppr超能文献

阿维鲁单抗维持治疗后的完全缓解:转移性尿路上皮癌的成功管理

Complete Response after Avelumab Maintenance Therapy: Successful Management of Metastatic Urothelial Carcinoma.

作者信息

Pinho Rita, Oura Maria João, Botelho Francisco, Nogueira Costa Inês, Barbosa Miguel

机构信息

Medical Oncology Department, Unidade Local de Saúde de São João, Porto, Portugal.

Urology Department, Unidade Local de Saúde de São João, Porto, Portugal.

出版信息

Eur J Case Rep Intern Med. 2025 Apr 3;12(5):005203. doi: 10.12890/2025_005203. eCollection 2025.

Abstract

UNLABELLED

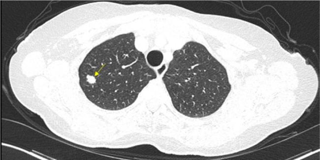
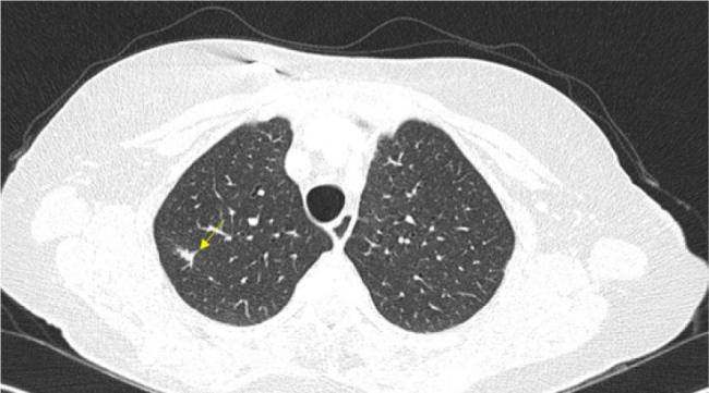
Urothelial carcinoma is one of the most frequently diagnosed cancer types in the world and despite progress in treatment, it remains a lethal disease in the metastatic stage. Because of its high programmed cell death ligand 1 protein expression, it is associated with an increased response to immune checkpoints inhibitors. In the past few years, the gold standard for first-line treatment of metastatic urothelial carcinoma has been platinum-based chemotherapy, and avelumab (PD-1 inhibitor) maintenance therapy for non-progressing tumours. After the remarkable benefit demonstrated in the EV-302 study, the guidelines were recently revised to include enfortumab vedotin plus pembrolizumab as the new standard of care in this setting. Despite the new recommendations, in some countries, this combination is still pending approval. Furthermore, for patients who are ineligible for enfortumab vedotin plus pembrolizumab, platinum-based chemotherapy followed by avelumab maintenance therapy continues to be a preferred treatment option. This report presents a woman diagnosed with metastatic urothelial carcinoma with histologically confirmed complete response after cisplatin and gemcitabine chemotherapy and avelumab as maintenance therapy, which has been reported in only a few cases in the literature.

LEARNING POINTS

Urothelial carcinoma is associated with high mortality despite significant progresses in treatment.In metastatic urothelial carcinoma the first-line treatment was recently changed, with enfortumab vedotin plus pembrolizumab being approved by the US Food and Drug Administration and European Medicines Agency. Until now, platinum-based chemotherapy and avelumab maintenance therapy for non-progressing tumours was the only standard of care for these patients.In the literature, few cases have been reported with complete response to avelumab maintenance therapy.

摘要

未标注

尿路上皮癌是全球最常被诊断出的癌症类型之一,尽管治疗取得了进展,但在转移阶段它仍然是一种致命疾病。由于其程序性细胞死亡配体1蛋白表达水平高,它与对免疫检查点抑制剂的反应增加有关。在过去几年中,转移性尿路上皮癌一线治疗的金标准一直是铂类化疗,以及对无进展肿瘤进行阿维鲁单抗(一种PD - 1抑制剂)维持治疗。在EV - 302研究显示出显著疗效后,指南最近进行了修订,将恩沃利单抗联合帕博利珠单抗纳入该情况下的新治疗标准。尽管有新的建议,但在一些国家,这种联合治疗仍有待批准。此外,对于不符合恩沃利单抗联合帕博利珠单抗治疗条件的患者,铂类化疗后进行阿维鲁单抗维持治疗仍然是首选的治疗方案。本报告介绍了一名被诊断为转移性尿路上皮癌的女性,在接受顺铂和吉西他滨化疗以及阿维鲁单抗维持治疗后,组织学证实完全缓解,这种情况在文献中仅有少数病例报道。

学习要点

尽管治疗取得了显著进展,但尿路上皮癌的死亡率仍然很高。在转移性尿路上皮癌中,一线治疗最近发生了变化,恩沃利单抗联合帕博利珠单抗已获得美国食品药品监督管理局和欧洲药品管理局的批准。到目前为止,铂类化疗和对无进展肿瘤进行阿维鲁单抗维持治疗是这些患者唯一的治疗标准。在文献中,很少有关于阿维鲁单抗维持治疗完全缓解的病例报道。

https://cdn.ncbi.nlm.nih.gov/pmc/blobs/bd5a/12061210/94895b05e9b4/5203_Fig1.jpg

文献检索

告别复杂PubMed语法,用中文像聊天一样搜索,搜遍4000万医学文献。AI智能推荐,让科研检索更轻松。

立即免费搜索

文件翻译

保留排版,准确专业,支持PDF/Word/PPT等文件格式,支持 12+语言互译。

免费翻译文档

深度研究

AI帮你快速写综述,25分钟生成高质量综述,智能提取关键信息,辅助科研写作。

立即免费体验