Suppr超能文献

胸壁原发性血管球瘤:病例报告及文献复习

Primary glomangioma of the chest wall: case report and review of literature.

作者信息

Jagelavicius Zymantas, Mickeviciute Eitvile, Zurauskas Edvardas, Janilionis Ricardas

机构信息

Clinic of Chest Disease, Immunology and Allergology, Institute of Biomedical Sciences, Faculty of Medicine, Vilnius University, Santariskiu 2, LT-08406, Vilnius, Lithuania.

Faculty of Medicine, Vilnius University, M. K. Ciurlionio 21, LT-03101, Vilnius, Lithuania.

出版信息

J Surg Case Rep. 2025 May 12;2025(5):rjaf300. doi: 10.1093/jscr/rjaf300. eCollection 2025 May.

Abstract

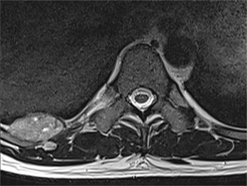
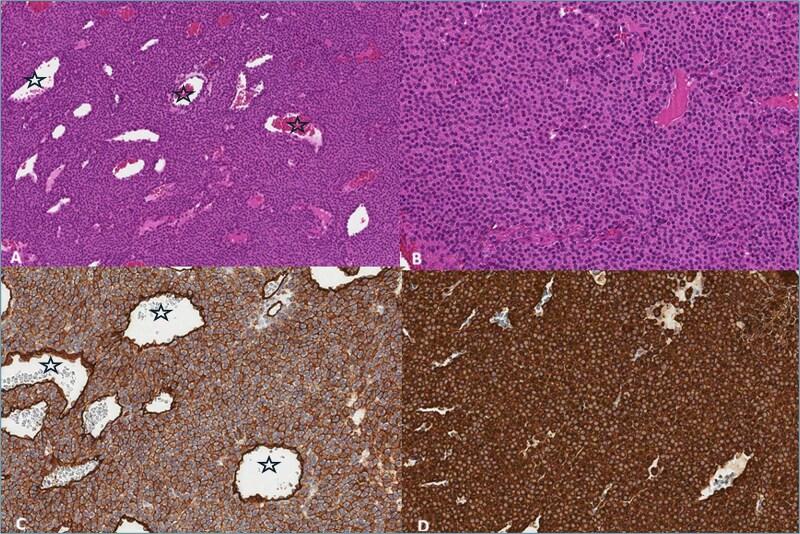
Glomus tumors are rare neoplasms that usually appear in subungual locations. A primary glomus tumor in the chest wall is extremely rare. We present a case of a 42-year-old male with intermittent pain under the right scapula for approximately a year. No skin lesions were observed. A magnetic resonance imaging and computed tomography scan showed a well-defined subpleural lesion on the right side of the chest along the ninth intercostal space. The tumor was removed via video-assisted thoracic surgery. The pathological report revealed a glomangioma. We analyzed in detail existing cases of glomus tumors in the chest wall. The chest wall is a possible site of a glomus tumor, which doesn't have any specific clinical or radiological signs. Radical surgical removal should be the treatment of choice.

摘要

血管球瘤是一种罕见的肿瘤,通常出现在甲下部位。胸壁原发性血管球瘤极为罕见。我们报告一例42岁男性,右肩胛下间歇性疼痛约一年。未观察到皮肤病变。磁共振成像和计算机断层扫描显示右侧胸壁沿第九肋间有一个边界清晰的胸膜下病变。通过电视辅助胸腔镜手术切除肿瘤。病理报告显示为血管球瘤。我们详细分析了胸壁血管球瘤的现有病例。胸壁是血管球瘤的一个可能发生部位,没有任何特定的临床或放射学征象。根治性手术切除应是首选治疗方法。

https://cdn.ncbi.nlm.nih.gov/pmc/blobs/a7ef/12066395/350a0d26b7c0/rjaf300f1.jpg

文献AI研究员

20分钟写一篇综述,助力文献阅读效率提升50倍。

立即体验

用中文搜PubMed

大模型驱动的PubMed中文搜索引擎

马上搜索

文档翻译

学术文献翻译模型,支持多种主流文档格式。

立即体验