Suppr超能文献

家兔精子发生各阶段胆固醇与SREBP2的动态变化:高脂饮食的影响及特级初榨橄榄油的保护作用

Cholesterol and SREBP2 Dynamics During Spermatogenesis Stages in Rabbits: Effects of High-Fat Diet and Protective Role of Extra Virgin Olive Oil.

作者信息

Avena María Virginia, Funes Abi Karenina, Monclus María Ángeles, Boarelli Paola Vanina, Barbisan Luis Fernando, Bernal-López M Rosa, Gómez-Huelgas Ricardo, Lancellotti Tania Estefania Saez, Fornés Miguel Walter

机构信息

Andrological Research Laboratory of Mendoza (LIAM), IHEM, National University of Cuyo, CONICET, Mendoza M5502JMA, Argentina.

Metabolic Diseases Laboratory (LEM), Juan Agustín Maza University, Mendoza M5519, Argentina.

出版信息

Int J Mol Sci. 2025 Apr 25;26(9):4062. doi: 10.3390/ijms26094062.

Abstract

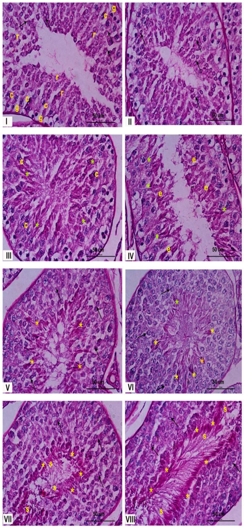
High-fat diets (HFDs) have been found to compromise male fertility, with cholesterol dysregulation being a key factor. Sterol regulatory element-binding protein 2 (SREBP2) is a crucial transcription factor that regulates cholesterol biosynthesis and uptake, playing an essential role in maintaining cholesterol homeostasis in the testes. This study investigated the dynamics of SREBP2 and cholesterol levels during rabbit spermatogenesis under HFD conditions. Our findings reveal that SREBP2 expression fluctuates throughout the seminiferous epithelium cycle. However, HFDs induce stage-specific disruptions in cholesterol balance, leading to sperm with increased membrane cholesterol, a reduced sperm count in semen analysis, impaired motility, abnormal morphology, and decreased functionality. In the control group, SREBP2 expression patterns underscored its critical role in normal spermatogenesis. Interestingly, supplementation with extra virgin olive oil (EVOO) reversed the negative effects of HFD, normalizing SREBP2 expression and cholesterol content, which improved sperm quality. These findings emphasize the importance of stage-specific analysis in understanding how dietary fat impacts male fertility and suggest that EVOO may serve as a potential nutritional intervention to protect reproductive health.

摘要

已发现高脂饮食(HFD)会损害男性生育能力,其中胆固醇调节异常是一个关键因素。甾醇调节元件结合蛋白2(SREBP2)是一种关键的转录因子,可调节胆固醇的生物合成和摄取,在维持睾丸胆固醇稳态中发挥重要作用。本研究调查了高脂饮食条件下家兔精子发生过程中SREBP2和胆固醇水平的动态变化。我们的研究结果表明,SREBP2的表达在整个生精上皮周期中波动。然而,高脂饮食会导致胆固醇平衡出现阶段特异性破坏,导致精子膜胆固醇增加、精液分析中精子数量减少、活力受损、形态异常以及功能下降。在对照组中,SREBP2的表达模式突出了其在正常精子发生中的关键作用。有趣的是,补充特级初榨橄榄油(EVOO)可逆转高脂饮食的负面影响,使SREBP2表达和胆固醇含量正常化,从而改善精子质量。这些发现强调了阶段特异性分析在理解饮食脂肪如何影响男性生育能力方面的重要性,并表明特级初榨橄榄油可能作为一种潜在的营养干预措施来保护生殖健康。

https://cdn.ncbi.nlm.nih.gov/pmc/blobs/d807/12071441/207fea9ff5ce/ijms-26-04062-g001.jpg

文献检索

告别复杂PubMed语法,用中文像聊天一样搜索,搜遍4000万医学文献。AI智能推荐,让科研检索更轻松。

立即免费搜索

文件翻译

保留排版,准确专业,支持PDF/Word/PPT等文件格式,支持 12+语言互译。

免费翻译文档

深度研究

AI帮你快速写综述,25分钟生成高质量综述,智能提取关键信息,辅助科研写作。

立即免费体验