• 文献检索
  • 文档翻译
  • 深度研究
  • 学术资讯
  • Suppr Zotero 插件Zotero 插件
  • 邀请有礼
  • 套餐&价格
  • 历史记录
应用&插件
Suppr Zotero 插件Zotero 插件浏览器插件Mac 客户端Windows 客户端微信小程序
定价
高级版会员购买积分包购买API积分包
服务
文献检索文档翻译深度研究API 文档MCP 服务
关于我们
关于 Suppr公司介绍联系我们用户协议隐私条款
关注我们

Suppr 超能文献

核心技术专利:CN118964589B侵权必究
粤ICP备2023148730 号-1Suppr @ 2026

文献检索

告别复杂PubMed语法,用中文像聊天一样搜索,搜遍4000万医学文献。AI智能推荐,让科研检索更轻松。

立即免费搜索

文件翻译

保留排版,准确专业,支持PDF/Word/PPT等文件格式,支持 12+语言互译。

免费翻译文档

深度研究

AI帮你快速写综述,25分钟生成高质量综述,智能提取关键信息,辅助科研写作。

立即免费体验

曲妥珠单抗德鲁替康治疗1例合并肺淋巴管癌病的HER2阳性晚期乳腺癌患者疗效显著:病例报告及文献综述

Excellent efficacy of trastuzumab deruxtecan in a patient with HER2-positive advanced breast cancer complicated by pulmonary lymphangitic carcinomatosis: a case report and literature review.

作者信息

Luo Simin, Chai Jie, Ding Linxiaoxiao, Tang Song

机构信息

Breast Tumor Center, Sun Yat-sen Memorial Hospital, Sun Yat-sen University, Guangzhou, Guangdong, China.

The Second Department of General Surgery, The First Affiliated Hospital of Guangdong Pharmaceutical University, Guangzhou, Guangdong, China.

出版信息

Front Pharmacol. 2025 Apr 25;16:1574286. doi: 10.3389/fphar.2025.1574286. eCollection 2025.

DOI:10.3389/fphar.2025.1574286
PMID:40371348
原文链接:https://pmc.ncbi.nlm.nih.gov/articles/PMC12076521/
Abstract

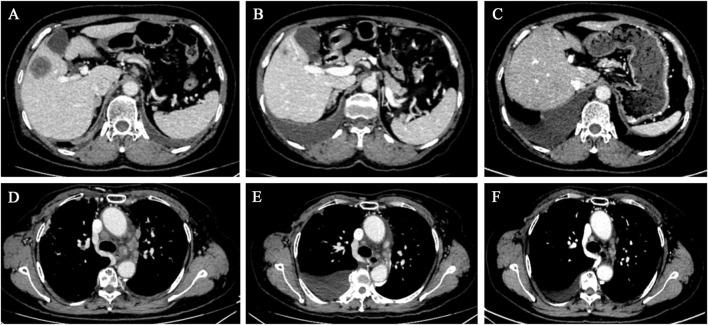
Trastuzumab deruxtecan (T-DXd or DS-8201), as a novel antibody-drug conjugate, has demonstrated good efficacy in HER2-positive advanced breast cancer. However, its effectiveness in treating pulmonary lymphangitic carcinomatosis (PLC) has not been previously reported. This paper presents a case of a HER2-positive advanced breast cancer patient who experienced disease progression after treatment with trastuzumab and pertuzumab. The patient developed multiple metastases along with PLC and subsequently received T-DXd treatment, achieving 14.2 months of progression-free survival (PFS). This case is the first to reveal the therapeutic potential of T-DXd in breast cancer patients with PLC.

摘要

曲妥珠单抗德曲妥珠单抗(T-DXd或DS-8201)作为一种新型抗体药物偶联物,已在HER2阳性晚期乳腺癌中显示出良好疗效。然而,其治疗肺淋巴管癌病(PLC)的有效性此前尚未见报道。本文介绍了1例HER2阳性晚期乳腺癌患者,该患者在接受曲妥珠单抗和帕妥珠单抗治疗后病情进展。患者出现多处转移并伴有PLC,随后接受T-DXd治疗,无进展生存期(PFS)达14.2个月。该病例首次揭示了T-DXd在伴有PLC的乳腺癌患者中的治疗潜力。

https://cdn.ncbi.nlm.nih.gov/pmc/blobs/2f04/12076521/4148b2b9b526/fphar-16-1574286-g003.jpg
https://cdn.ncbi.nlm.nih.gov/pmc/blobs/2f04/12076521/c7389970d3f6/fphar-16-1574286-g001.jpg
https://cdn.ncbi.nlm.nih.gov/pmc/blobs/2f04/12076521/144db132d305/fphar-16-1574286-g002.jpg
https://cdn.ncbi.nlm.nih.gov/pmc/blobs/2f04/12076521/4148b2b9b526/fphar-16-1574286-g003.jpg
https://cdn.ncbi.nlm.nih.gov/pmc/blobs/2f04/12076521/c7389970d3f6/fphar-16-1574286-g001.jpg
https://cdn.ncbi.nlm.nih.gov/pmc/blobs/2f04/12076521/144db132d305/fphar-16-1574286-g002.jpg
https://cdn.ncbi.nlm.nih.gov/pmc/blobs/2f04/12076521/4148b2b9b526/fphar-16-1574286-g003.jpg

相似文献

1
Excellent efficacy of trastuzumab deruxtecan in a patient with HER2-positive advanced breast cancer complicated by pulmonary lymphangitic carcinomatosis: a case report and literature review.曲妥珠单抗德鲁替康治疗1例合并肺淋巴管癌病的HER2阳性晚期乳腺癌患者疗效显著:病例报告及文献综述
Front Pharmacol. 2025 Apr 25;16:1574286. doi: 10.3389/fphar.2025.1574286. eCollection 2025.
2
Impact of early tumor shrinkage on survival outcomes in patients with HER2-positive advanced gastric cancer treated with trastuzumab deruxtecan in third- or later-line settings.曲妥珠单抗德鲁昔单抗用于三线及以上治疗HER2阳性晚期胃癌患者时早期肿瘤缩小对生存结局的影响。
Therap Adv Gastroenterol. 2025 Apr 24;18:17562848251333538. doi: 10.1177/17562848251333538. eCollection 2025.
3
Trastuzumab deruxtecan for HER2+ advanced breast cancer.曲妥珠单抗-德曲妥珠单抗用于治疗 HER2 阳性晚期乳腺癌。
Future Oncol. 2022 Jan;18(1):7-19. doi: 10.2217/fon-2021-0550. Epub 2021 Nov 26.
4
Assessment of the Efficacy and Pulmonary Toxicity of Trastuzumab Deruxtecan in HER2-Positive and HER2-Low Metastatic Breast Cancer in a Tertiary Center in the United Arab Emirates.在阿拉伯联合酋长国一家三级中心评估曲妥珠单抗德鲁昔单抗对HER2阳性和HER2低表达转移性乳腺癌的疗效及肺毒性
Cureus. 2025 Feb 4;17(2):e78471. doi: 10.7759/cureus.78471. eCollection 2025 Feb.
5
Durable responses to trastuzumab deruxtecan in patients with leptomeningeal metastases from breast cancer with variable HER2 expression.曲妥珠单抗-德鲁替康治疗 HER2 表达可变的乳腺癌脑膜转移患者的持久应答。
J Neurooncol. 2024 Oct;170(1):209-217. doi: 10.1007/s11060-024-04788-y. Epub 2024 Jul 29.
6
Real-Life Experience of HER2 (Human Epidermal Growth Factor Receptor 2)-Positive Advanced Breast Cancer Patients Treated With T-DXd (Trastuzumab Deruxtecan): A Multicentric Portuguese Study.T-DXd(曲妥珠单抗德鲁昔单抗)治疗HER2(人表皮生长因子受体2)阳性晚期乳腺癌患者的真实世界经验:一项葡萄牙多中心研究。
Cureus. 2025 Feb 27;17(2):e79734. doi: 10.7759/cureus.79734. eCollection 2025 Feb.
7
[Recurrent Breast Cancer with Pulmonary Lymphangitis Carcinomatosis Case Responding to Trastuzumab Deruxtecan].[曲妥珠单抗德鲁昔单抗治疗复发性乳腺癌合并肺淋巴管癌病病例]
Gan To Kagaku Ryoho. 2024 May;51(5):571-574.
8
Impacts of clinicopathological factors on efficacy of trastuzumab deruxtecan in patients with HER2-positive metastatic breast cancer.临床病理因素对曲妥珠单抗-德鲁替康治疗 HER2 阳性转移性乳腺癌患者疗效的影响。
Breast. 2022 Feb;61:136-144. doi: 10.1016/j.breast.2022.01.002. Epub 2022 Jan 3.
9
Trastuzumab deruxtecan versus trastuzumab emtansine in HER2-positive metastatic breast cancer patients with brain metastases from the randomized DESTINY-Breast03 trial.曲妥珠单抗-德鲁替康与曲妥珠单抗-美坦新在随机 DESTINY-Breast03 试验中用于 HER2 阳性转移性乳腺癌伴脑转移患者的比较。
ESMO Open. 2024 May;9(5):102924. doi: 10.1016/j.esmoop.2024.102924. Epub 2024 Apr 24.
10
The DEBBRAH trial: Trastuzumab deruxtecan in HER2-positive and HER2-low breast cancer patients with leptomeningeal carcinomatosis.DEBBRAH试验:曲妥珠单抗德鲁昔单抗用于治疗伴有软脑膜癌病的HER2阳性和HER2低表达乳腺癌患者。
Med. 2025 Jan 10;6(1):100502. doi: 10.1016/j.medj.2024.08.001. Epub 2024 Sep 11.

本文引用的文献

1
The safety of trastuzumab deruxtecan (DS-8201) with a focus on interstitial lung disease and/or pneumonitis: A systematic review and single-arm meta-analysis.曲妥珠单抗 deruxtecan(DS-8201)的安全性:一项系统评价和单臂荟萃分析,重点关注间质性肺病和/或肺炎。
Cancer. 2024 Sep 1;130(17):2968-2977. doi: 10.1002/cncr.35349. Epub 2024 May 4.
2
Global cancer statistics 2022: GLOBOCAN estimates of incidence and mortality worldwide for 36 cancers in 185 countries.2022 年全球癌症统计数据:全球 185 个国家和地区 36 种癌症的发病率和死亡率全球估计数。
CA Cancer J Clin. 2024 May-Jun;74(3):229-263. doi: 10.3322/caac.21834. Epub 2024 Apr 4.
3
Management of patients with advanced-stage HER2-positive breast cancer: current evidence and future perspectives.
晚期HER2阳性乳腺癌患者的管理:当前证据与未来展望
Nat Rev Clin Oncol. 2024 Mar;21(3):185-202. doi: 10.1038/s41571-023-00849-9. Epub 2024 Jan 8.
4
Trastuzumab deruxtecan versus trastuzumab emtansine in patients with HER2-positive metastatic breast cancer: updated results from DESTINY-Breast03, a randomised, open-label, phase 3 trial.曲妥珠单抗-德鲁替康对比曲妥珠单抗-美坦新用于治疗 HER2 阳性转移性乳腺癌患者:来自随机、开放标签、III 期 DESTINY-Breast03 研究的更新结果。
Lancet. 2023 Jan 14;401(10371):105-117. doi: 10.1016/S0140-6736(22)02420-5. Epub 2022 Dec 7.
5
Trastuzumab Deruxtecan in HER2-Positive Metastatic Breast Cancer Patients with Brain Metastases: A DESTINY-Breast01 Subgroup Analysis.曲妥珠单抗-德鲁替康在脑转移的 HER2 阳性转移性乳腺癌患者中的应用:一项 DESTINY-Breast01 亚组分析。
Cancer Discov. 2022 Dec 2;12(12):2754-2762. doi: 10.1158/2159-8290.CD-22-0837.
6
Multidisciplinary clinical guidance on trastuzumab deruxtecan (T-DXd)-related interstitial lung disease/pneumonitis-Focus on proactive monitoring, diagnosis, and management.曲妥珠单抗德瓦鲁单抗(T-DXd)相关间质性肺病/肺炎的多学科临床指南——聚焦于主动监测、诊断和管理
Cancer Treat Rev. 2022 May;106:102378. doi: 10.1016/j.ctrv.2022.102378. Epub 2022 Mar 12.
7
Trastuzumab Deruxtecan versus Trastuzumab Emtansine for Breast Cancer.曲妥珠单抗-德鲁替康与曲妥珠单抗-美坦新用于乳腺癌。
N Engl J Med. 2022 Mar 24;386(12):1143-1154. doi: 10.1056/NEJMoa2115022.
8
Pyrotinib plus capecitabine versus lapatinib plus capecitabine for the treatment of HER2-positive metastatic breast cancer (PHOEBE): a multicentre, open-label, randomised, controlled, phase 3 trial.吡咯替尼联合卡培他滨对比拉帕替尼联合卡培他滨治疗人表皮生长因子受体 2 阳性转移性乳腺癌(PHOEBE):一项多中心、开放标签、随机、对照、Ⅲ期临床试验。
Lancet Oncol. 2021 Mar;22(3):351-360. doi: 10.1016/S1470-2045(20)30702-6. Epub 2021 Feb 11.
9
Chest CT Diagnosis and Clinical Management of Drug-Related Pneumonitis in Patients Receiving Molecular Targeting Agents and Immune Checkpoint Inhibitors: A Position Paper From the Fleischner Society.胸部 CT 诊断与分子靶向药物和免疫检查点抑制剂治疗患者药物性肺炎的临床处理:弗勒施纳学会立场文件。
Chest. 2021 Mar;159(3):1107-1125. doi: 10.1016/j.chest.2020.11.027. Epub 2021 Jan 12.
10
Novel HER2-targeted therapies for HER2-positive metastatic breast cancer.新型 HER2 靶向治疗药物用于治疗 HER2 阳性转移性乳腺癌。
Cancer. 2020 Oct 1;126(19):4278-4288. doi: 10.1002/cncr.33102. Epub 2020 Jul 28.