• 文献检索
  • 文档翻译
  • 深度研究
  • 学术资讯
  • Suppr Zotero 插件Zotero 插件
  • 邀请有礼
  • 套餐&价格
  • 历史记录
应用&插件
Suppr Zotero 插件Zotero 插件浏览器插件Mac 客户端Windows 客户端微信小程序
定价
高级版会员购买积分包购买API积分包
服务
文献检索文档翻译深度研究API 文档MCP 服务
关于我们
关于 Suppr公司介绍联系我们用户协议隐私条款
关注我们

Suppr 超能文献

核心技术专利:CN118964589B侵权必究
粤ICP备2023148730 号-1Suppr @ 2026

文献检索

告别复杂PubMed语法,用中文像聊天一样搜索,搜遍4000万医学文献。AI智能推荐,让科研检索更轻松。

立即免费搜索

文件翻译

保留排版,准确专业,支持PDF/Word/PPT等文件格式,支持 12+语言互译。

免费翻译文档

深度研究

AI帮你快速写综述,25分钟生成高质量综述,智能提取关键信息,辅助科研写作。

立即免费体验

BRAF融合的弥漫性软脑膜神经胶质瘤对新型II型RAF抑制剂的反应。

Response to a novel type II RAF inhibitor in diffuse leptomeningeal glioneuronal tumor with BRAF fusion.

作者信息

Chun Brie M, Youngworth Sandra, Abtin Vicki, Stull David, Starkey Jay, Kummar Shivaani

机构信息

Knight Cancer Institute, Oregon Health & Science University, Portland, OR 97239, United States.

Diagnostic Radiology, Oregon Health & Science University, Portland, OR 97239, United States.

出版信息

Oncologist. 2025 May 8;30(5). doi: 10.1093/oncolo/oyaf093.

DOI:10.1093/oncolo/oyaf093
PMID:40377441
原文链接:https://pmc.ncbi.nlm.nih.gov/articles/PMC12082822/
Abstract

BACKGROUND

Diffuse leptomeningeal glioneuronal tumor (DL-GNT) is a rare disease which is more often diagnosed in children and adolescents than adults. Activation of the MAPK/ERK pathway is implicated in the majority of cases, and BRAF fusions are the most common genetic alteration. BRAF fusions result in dimerization and constitutive downstream MAPK/ERK activity, against which type I RAF inhibitors have limited efficacy. Type II RAF inhibitors stabilize RAF in an inactive conformation and inhibit both dimer protomers, thus inhibiting downstream MAPK/ERK activity in the setting of BRAF fusions.

CASE PRESENTATION

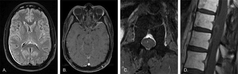
A previously-healthy 33 year old man was diagnosed with DL-GNT, which harbored a pathogenic BRAF:KIAA1549 gene fusion. He was initially treated with a MEK inhibitor but developed drug-related cardiotoxicity. Without treatment, he developed significant functional limitations due to leptomeningeal disease. A compassionate use indication was pursued for an investigational CNS-penetrant type II BRAF inhibitor, tovorafenib. Within 3 months of initiating the medication, the patient experienced notable gains in functional status and with over 12 months of treatment has been able to rejoin recreational activities.

CONCLUSIONS

This case highlights the importance of tumor molecular characterization, particularly in rare tumors, whereby identification of the BRAF:KIAA1594 gene fusion led to an appropriate selection of a type II BRAF inhibitor.

摘要

背景

弥漫性软脑膜胶质神经元肿瘤(DL-GNT)是一种罕见疾病,在儿童和青少年中比在成人中更常被诊断出来。丝裂原活化蛋白激酶/细胞外信号调节激酶(MAPK/ERK)通路的激活在大多数病例中都有涉及,而BRAF融合是最常见的基因改变。BRAF融合导致二聚化和下游MAPK/ERK的组成性激活,I型RAF抑制剂对此疗效有限。II型RAF抑制剂使RAF稳定在非活性构象并抑制两个二聚体亚基,从而在BRAF融合情况下抑制下游MAPK/ERK活性。

病例介绍

一名既往健康的33岁男性被诊断为DL-GNT,其携带致病性BRAF:KIAA1549基因融合。他最初接受MEK抑制剂治疗,但出现了药物相关的心脏毒性。未经治疗,由于软脑膜疾病,他出现了明显的功能受限。为一种研究性的可穿透中枢神经系统的II型BRAF抑制剂托伐拉芬尼申请了同情用药。在开始用药的3个月内,患者的功能状态有显著改善,经过超过12个月的治疗,他已能够重新参加娱乐活动。

结论

该病例强调了肿瘤分子特征的重要性,特别是在罕见肿瘤中,通过鉴定BRAF:KIAA1594基因融合,从而合理选择了II型BRAF抑制剂。

https://cdn.ncbi.nlm.nih.gov/pmc/blobs/565e/12082822/5d562aac3de9/oyaf093_fig3.jpg
https://cdn.ncbi.nlm.nih.gov/pmc/blobs/565e/12082822/51eaf0cfdaba/oyaf093_fig1.jpg
https://cdn.ncbi.nlm.nih.gov/pmc/blobs/565e/12082822/4721cffbcad8/oyaf093_fig2.jpg
https://cdn.ncbi.nlm.nih.gov/pmc/blobs/565e/12082822/5d562aac3de9/oyaf093_fig3.jpg
https://cdn.ncbi.nlm.nih.gov/pmc/blobs/565e/12082822/51eaf0cfdaba/oyaf093_fig1.jpg
https://cdn.ncbi.nlm.nih.gov/pmc/blobs/565e/12082822/4721cffbcad8/oyaf093_fig2.jpg
https://cdn.ncbi.nlm.nih.gov/pmc/blobs/565e/12082822/5d562aac3de9/oyaf093_fig3.jpg

相似文献

1
Response to a novel type II RAF inhibitor in diffuse leptomeningeal glioneuronal tumor with BRAF fusion.BRAF融合的弥漫性软脑膜神经胶质瘤对新型II型RAF抑制剂的反应。
Oncologist. 2025 May 8;30(5). doi: 10.1093/oncolo/oyaf093.
2
Adult diffuse leptomeningeal glioneuronal tumour with limited leptomeningeal involvement, lack of 1p deletion and BRAF V600E mutation.成人弥漫性软脑膜胶质神经元肿瘤,伴有限软脑膜累及,无 1p 缺失和 BRAF V600E 突变。
J Clin Neurosci. 2020 Sep;79:215-218. doi: 10.1016/j.jocn.2020.07.039. Epub 2020 Aug 6.
3
LOGGIC/FIREFLY-2: a phase 3, randomized trial of tovorafenib vs. chemotherapy in pediatric and young adult patients with newly diagnosed low-grade glioma harboring an activating RAF alteration.LOGGIC/FIREFLY-2:一项托沃拉芬尼对比化疗治疗携带 RAF 激活性改变的新诊断为低级别胶质瘤的儿科和青年患者的 3 期随机临床试验。
BMC Cancer. 2024 Jan 30;24(1):147. doi: 10.1186/s12885-024-11820-x.
4
Diffuse leptomeningeal glioneuronal tumor without KIAA1549-BRAF fusion and 1p detection: a case report and review of literature.弥漫性软脑膜神经胶质神经元肿瘤,无 KIAA1549-BRAF 融合和 1p 检测:病例报告及文献复习。
Childs Nerv Syst. 2022 Feb;38(2):279-285. doi: 10.1007/s00381-021-05426-y. Epub 2022 Jan 3.
5
A brain-penetrant RAF dimer antagonist for the noncanonical BRAF oncoprotein of pediatric low-grade astrocytomas.一种用于小儿低级别星形细胞瘤非经典BRAF癌蛋白的可穿透血脑屏障的RAF二聚体拮抗剂。
Neuro Oncol. 2017 Jun 1;19(6):774-785. doi: 10.1093/neuonc/now261.
6
Tovorafenib: First Approval.托法替尼:首次获批。 (你提供的原文可能有误,推测正确原文应该是Tofacitinib,以上是按照纠正后药物名称进行的翻译。若原文无误,那“Tovorafenib”可能是特定语境下有特殊含义的药物名称,直译为“托沃拉替尼” )
Drugs. 2024 Aug;84(8):985-993. doi: 10.1007/s40265-024-02069-6. Epub 2024 Jul 5.
7
BRAF alterations in primary glial and glioneuronal neoplasms of the central nervous system with identification of 2 novel KIAA1549:BRAF fusion variants.中枢神经系统原发性神经胶质和神经胶质神经元肿瘤中的 BRAF 改变,鉴定出 2 种新型 KIAA1549:BRAF 融合变异体。
J Neuropathol Exp Neurol. 2012 Jan;71(1):66-72. doi: 10.1097/NEN.0b013e31823f2cb0.
8
Clinical Acquired Resistance to RAF Inhibitor Combinations in BRAF-Mutant Colorectal Cancer through MAPK Pathway Alterations.BRAF 突变型结直肠癌中通过 MAPK 通路改变对 RAF 抑制剂联合治疗产生临床获得性耐药
Cancer Discov. 2015 Apr;5(4):358-67. doi: 10.1158/2159-8290.CD-14-1518. Epub 2015 Feb 11.
9
Paradoxical activation and RAF inhibitor resistance of BRAF protein kinase fusions characterizing pediatric astrocytomas.具有 BRAF 蛋白激酶融合的小儿星形细胞瘤的 BRAF 蛋白激酶融合的矛盾激活和 RAF 抑制剂耐药性。
Proc Natl Acad Sci U S A. 2013 Apr 9;110(15):5957-62. doi: 10.1073/pnas.1219232110. Epub 2013 Mar 26.
10
Preclinical Activity of the Type II RAF Inhibitor Tovorafenib in Tumor Models Harboring Either a BRAF Fusion or an NF1 Loss-of-Function Mutation.II型RAF抑制剂托沃拉非尼在携带BRAF融合或NF1功能丧失突变的肿瘤模型中的临床前活性
Cancer Res Commun. 2025 Apr 1;5(4):668-679. doi: 10.1158/2767-9764.CRC-24-0451.

本文引用的文献

1
Tumor-Agnostic Genomic and Clinical Analysis of BRAF Fusions Identifies Actionable Targets.肿瘤非特异性基因组和 BRAF 融合的临床分析确定了可操作的靶点。
Clin Cancer Res. 2024 Sep 3;30(17):3812-3823. doi: 10.1158/1078-0432.CCR-23-3981.
2
Diffuse Leptomeningeal Glioneuronal Tumor: First Description of Metastasis to the Lung and Bone Marrow.弥漫性软脑膜神经胶质神经元肿瘤:肺和骨髓转移的首次描述。
Cureus. 2023 Nov 2;15(11):e48185. doi: 10.7759/cureus.48185. eCollection 2023 Nov.
3
The type II RAF inhibitor tovorafenib in relapsed/refractory pediatric low-grade glioma: the phase 2 FIREFLY-1 trial.
在复发/难治性儿科低级别胶质瘤中,II 型 RAF 抑制剂 tovorafenib:FIREFLY-1 试验的 2 期研究。
Nat Med. 2024 Jan;30(1):207-217. doi: 10.1038/s41591-023-02668-y. Epub 2023 Nov 17.
4
Diffuse Leptomeningeal Glioneuronal Tumor with FGFR1 Mutation in a 29-Year-Old Male.一名29岁男性患有伴有FGFR1突变的弥漫性软脑膜神经胶质神经元肿瘤。
J Korean Soc Radiol. 2023 Jul;84(4):970-976. doi: 10.3348/jksr.2022.0120. Epub 2023 May 27.
5
Phase 1 study of the pan-RAF inhibitor tovorafenib in patients with advanced solid tumors followed by dose expansion in patients with metastatic melanoma.一项评估泛 RAF 抑制剂 tovorafenib 治疗晚期实体瘤患者的 I 期研究,随后对转移性黑色素瘤患者进行剂量扩展。
Cancer Chemother Pharmacol. 2023 Jul;92(1):15-28. doi: 10.1007/s00280-023-04544-5. Epub 2023 May 23.
6
BRAF-mediated brain tumors in adults and children: A review and the Australian and New Zealand experience.BRAF介导的成人和儿童脑肿瘤:综述及澳大利亚和新西兰的经验
Front Oncol. 2023 Apr 14;13:1154246. doi: 10.3389/fonc.2023.1154246. eCollection 2023.
7
Diffuse Leptomeningeal Glioneuronal Tumors: A Case Series of Five Patients with Parenchymal Forms and an Analysis of the Diagnostic Challenges, Treatment Options and Outcomes.弥漫性软脑膜神经胶质神经元肿瘤:5 例实质型患者的病例系列及对诊断挑战、治疗选择和结局的分析。
Curr Med Imaging. 2023;19(12):1415-1426. doi: 10.2174/1573405619666230213152949.
8
Prognostic significance of chromosome arm 1q gain and methylation class in molecularly defined diffuse leptomeningeal glioneuronal tumor.1q染色体臂增加和甲基化类别在分子定义的弥漫性软脑膜神经胶质神经元肿瘤中的预后意义
Acta Neuropathol. 2022 Dec;144(6):1185-1187. doi: 10.1007/s00401-022-02507-3. Epub 2022 Sep 29.
9
Prognostic factors in diffuse leptomeningeal glioneuronal tumor (DLGNT): a systematic review.弥漫性软脑膜胶质神经元肿瘤(DLGNT)的预后因素:系统评价。
Childs Nerv Syst. 2022 Sep;38(9):1663-1673. doi: 10.1007/s00381-022-05600-w. Epub 2022 Jul 22.
10
Diffuse leptomeningeal glioneuronal tumour (DLGNT) in children: the emerging role of genomic analysis.儿童弥漫性软脑膜胶质神经元肿瘤(DLGNT):基因组分析的作用日益凸显。
Acta Neuropathol Commun. 2021 Sep 7;9(1):147. doi: 10.1186/s40478-021-01248-w.