• 文献检索
  • 文档翻译
  • 深度研究
  • 学术资讯
  • Suppr Zotero 插件Zotero 插件
  • 邀请有礼
  • 套餐&价格
  • 历史记录
应用&插件
Suppr Zotero 插件Zotero 插件浏览器插件Mac 客户端Windows 客户端微信小程序
定价
高级版会员购买积分包购买API积分包
服务
文献检索文档翻译深度研究API 文档MCP 服务
关于我们
关于 Suppr公司介绍联系我们用户协议隐私条款
关注我们

Suppr 超能文献

核心技术专利:CN118964589B侵权必究
粤ICP备2023148730 号-1Suppr @ 2026

文献检索

告别复杂PubMed语法,用中文像聊天一样搜索,搜遍4000万医学文献。AI智能推荐,让科研检索更轻松。

立即免费搜索

文件翻译

保留排版,准确专业,支持PDF/Word/PPT等文件格式,支持 12+语言互译。

免费翻译文档

深度研究

AI帮你快速写综述,25分钟生成高质量综述,智能提取关键信息,辅助科研写作。

立即免费体验

一种水垫在超声引导平面内技术中通过人工波束控制改善针可视化:一项模拟研究。

A water cushion improved needle visualization by artificial beam steering during ultrasound-guided in-plane technique: an simulation study.

作者信息

He Wensheng

机构信息

Department of Anesthesiology, Shenzhen Traditional Chinese Medicine Hospital, the Fourth Clinical Medical College of Guangzhou University of Chinese Medicine, Shenzhen, China.

出版信息

Quant Imaging Med Surg. 2025 May 1;15(5):4791-4795. doi: 10.21037/qims-24-1995. Epub 2025 Apr 14.

DOI:10.21037/qims-24-1995
PMID:40384640
原文链接:https://pmc.ncbi.nlm.nih.gov/articles/PMC12082603/
Abstract

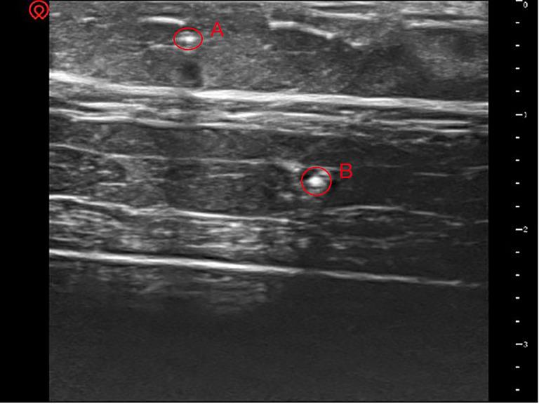
Excellent needle visualization is critical for the safety and success of ultrasound-guided puncture procedures. However, optimal visualization is often challenging when a needle is inserted at a steep angle via in-plane technique. We hypothesized that a water cushion filled under the probe would result in better needle visualization via artificial beam steering during the ultrasound-guided in-plane technique. We simulated human soft tissue with pork and two targets with rigid needles. A water cushion was also made beforehand: a surgical glove was filled with an appropriate amount of water. Ultrasound-guided in-plane puncture procedures for the two targets were performed without and with the water cushion under the ultrasound probe. Clear ultrasound images of the needles were captured for objective visualization analysis. The angles between the ultrasound beam and the puncture needle were measured. The visualization of the needle was significantly better at shallow angles than at steep angles. After using A water cushion, the needle was clearly displayed again at a steep insertion angle. During the ultrasound-guided in-plane technique, needle visualization at a steep insertion angle can be improved by artificial beam steering generated with a water cushion.

摘要

出色的针可视化对于超声引导穿刺手术的安全性和成功率至关重要。然而,当通过平面内技术以陡峭角度插入针时,最佳可视化通常具有挑战性。我们假设在探头下方填充水垫将通过超声引导平面内技术期间的人工束转向导致更好的针可视化。我们用猪肉模拟人体软组织并用刚性针模拟两个目标。还预先制作了一个水垫:用手术手套填充适量的水。在超声探头下方有和没有水垫的情况下,对两个目标进行超声引导平面内穿刺手术。捕获针的清晰超声图像以进行客观可视化分析。测量超声束与穿刺针之间的角度。在浅角度下针的可视化明显优于在陡峭角度下。使用水垫后,在陡峭的插入角度下针再次清晰显示。在超声引导平面内技术期间,通过用水垫产生的人工束转向可以改善在陡峭插入角度下的针可视化。

https://cdn.ncbi.nlm.nih.gov/pmc/blobs/5e8e/12082603/faae4135d5f0/qims-15-05-4791-f7.jpg
https://cdn.ncbi.nlm.nih.gov/pmc/blobs/5e8e/12082603/b122e54df0ff/qims-15-05-4791-f1.jpg
https://cdn.ncbi.nlm.nih.gov/pmc/blobs/5e8e/12082603/9401e018789e/qims-15-05-4791-f2.jpg
https://cdn.ncbi.nlm.nih.gov/pmc/blobs/5e8e/12082603/658602488a19/qims-15-05-4791-f3.jpg
https://cdn.ncbi.nlm.nih.gov/pmc/blobs/5e8e/12082603/13c6f3a02658/qims-15-05-4791-f4.jpg
https://cdn.ncbi.nlm.nih.gov/pmc/blobs/5e8e/12082603/712366713807/qims-15-05-4791-f5.jpg
https://cdn.ncbi.nlm.nih.gov/pmc/blobs/5e8e/12082603/9a9b4a1e2068/qims-15-05-4791-f6.jpg
https://cdn.ncbi.nlm.nih.gov/pmc/blobs/5e8e/12082603/faae4135d5f0/qims-15-05-4791-f7.jpg
https://cdn.ncbi.nlm.nih.gov/pmc/blobs/5e8e/12082603/b122e54df0ff/qims-15-05-4791-f1.jpg
https://cdn.ncbi.nlm.nih.gov/pmc/blobs/5e8e/12082603/9401e018789e/qims-15-05-4791-f2.jpg
https://cdn.ncbi.nlm.nih.gov/pmc/blobs/5e8e/12082603/658602488a19/qims-15-05-4791-f3.jpg
https://cdn.ncbi.nlm.nih.gov/pmc/blobs/5e8e/12082603/13c6f3a02658/qims-15-05-4791-f4.jpg
https://cdn.ncbi.nlm.nih.gov/pmc/blobs/5e8e/12082603/712366713807/qims-15-05-4791-f5.jpg
https://cdn.ncbi.nlm.nih.gov/pmc/blobs/5e8e/12082603/9a9b4a1e2068/qims-15-05-4791-f6.jpg
https://cdn.ncbi.nlm.nih.gov/pmc/blobs/5e8e/12082603/faae4135d5f0/qims-15-05-4791-f7.jpg

相似文献

1
A water cushion improved needle visualization by artificial beam steering during ultrasound-guided in-plane technique: an simulation study.一种水垫在超声引导平面内技术中通过人工波束控制改善针可视化:一项模拟研究。
Quant Imaging Med Surg. 2025 May 1;15(5):4791-4795. doi: 10.21037/qims-24-1995. Epub 2025 Apr 14.
2
Effect of Beam Steering on Echogenic and Nonechogenic Needle Visibility at 40°, 50°, and 60° Needle Insertion Angles.在 40°、50°和 60°进针角度下,波束转向对超声显影和非超声显影针的影响。
Anesth Analg. 2018 Jun;126(6):1926-1929. doi: 10.1213/ANE.0000000000002618.
3
Improved needle visualization with electronic beam steering: proof of concept.电子束控制实现针可视化的改进:概念验证
Ultrasound Q. 2012 Jun;28(2):59-64. doi: 10.1097/RUQ.0b013e3182585fea.
4
Enhanced Needle Visualization: advantages and indications of an ultrasound software package.增强型针可视化:一款超声软件包的优势与适应症
Anaesth Intensive Care. 2012 Sep;40(5):856-60. doi: 10.1177/0310057X1204000514.
5
Effect of beam steering on the visibility of echogenic and non-echogenic needles: a laboratory study.波束控制对回声和非回声针可见性的影响:一项实验室研究。
Can J Anaesth. 2014 Oct;61(10):909-15. doi: 10.1007/s12630-014-0207-9. Epub 2014 Jul 23.
6
In-plane ultrasonic needle tracking using a fiber-optic hydrophone.使用光纤水听器的平面内超声针跟踪
Med Phys. 2015 Oct;42(10):5983-91. doi: 10.1118/1.4931418.
7
A novel system for teaching the in-plane vascular access technique: A simulation study.一种新型的平面血管通路技术教学系统:一项模拟研究。
Medicine (Baltimore). 2021 Sep 17;100(37):e27201. doi: 10.1097/MD.0000000000027201.
8
[Improvement of sonographic visualization of cannula needle tips by alignment of the needle lumen : In vitro investigation of established needle tip forms].[通过针腔对齐改善套管针针尖的超声可视化:对既定针尖形式的体外研究]
Anaesthesist. 2015 Dec;64(12):937-942. doi: 10.1007/s00101-015-0098-3. Epub 2015 Oct 13.
9
Facilitating needle alignment in-plane to an ultrasound beam using a portable laser unit.使用便携式激光装置辅助针在平面内与超声束对齐。
Reg Anesth Pain Med. 2007 Jan-Feb;32(1):84-8. doi: 10.1016/j.rapm.2006.09.009.
10
Ultrasound visibility of needles used for regional nerve block: an in vitro study.用于区域神经阻滞的针具的超声可视性:一项体外研究。
Reg Anesth Pain Med. 2004 Sep-Oct;29(5):480-8.

本文引用的文献

1
Ultrasound-guided needle tracking with deep learning: A novel approach with photoacoustic ground truth.基于深度学习的超声引导针跟踪:一种具有光声地面真值的新方法。
Photoacoustics. 2023 Nov 29;34:100575. doi: 10.1016/j.pacs.2023.100575. eCollection 2023 Dec.
2
Bridging the simulation-to-real gap for AI-based needle and target detection in robot-assisted ultrasound-guided interventions.弥合基于人工智能的针和目标检测在机器人辅助超声引导介入中的模拟与现实之间的差距。
Eur Radiol Exp. 2023 Jun 19;7(1):30. doi: 10.1186/s41747-023-00344-x.
3
Novel approaches to needle tracking and visualisation.
新型针道追踪与可视化方法。
Anaesthesia. 2021 Jan;76 Suppl 1:160-170. doi: 10.1111/anae.15232.
4
Enhanced needle visibility by microbubbles generated with negative pressure using an in-plane technique.采用平面内技术通过负压产生微泡增强针的可视性。
Reg Anesth Pain Med. 2019 Jun 25. doi: 10.1136/rapm-2019-100570.
5
Effect of Beam Steering on Echogenic and Nonechogenic Needle Visibility at 40°, 50°, and 60° Needle Insertion Angles.在 40°、50°和 60°进针角度下,波束转向对超声显影和非超声显影针的影响。
Anesth Analg. 2018 Jun;126(6):1926-1929. doi: 10.1213/ANE.0000000000002618.
6
The echogenicity of nerve blockade needles.神经阻滞针的回声性。
Anaesthesia. 2015 Apr;70(4):462-6. doi: 10.1111/anae.12977. Epub 2014 Dec 11.