Suppr超能文献

肺腺癌中肺动脉假性动脉瘤的影像学检测:一种罕见关联及病例报告

Radiological Detection of a Pulmonary Artery Pseudoaneurysm in Lung Adenocarcinoma: A Rare Association and a Case Report.

作者信息

Mumaw Corey, Levy Yael, Quinn Sarah, Ratliff David

机构信息

School of Medicine, Lake Erie College of Osteopathic Medicine, Bradenton, USA.

Department of Radiology, Baptist Health, Jacksonville, USA.

出版信息

Cureus. 2025 Apr 17;17(4):e82425. doi: 10.7759/cureus.82425. eCollection 2025 Apr.

Abstract

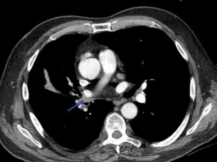
Pulmonary artery pseudoaneurysm (PAP) is a rare and potentially life-threatening vascular abnormality that is commonly associated with infections, such as tuberculosis. However, their occurrence in the setting of lung adenocarcinoma is exceedingly rare. We report a case of a 67-year-old man with stage III non-small cell lung cancer (NSCLC) who had a pulmonary artery pseudoaneurysm incidentally detected on follow-up maintenance imaging. The pseudoaneurysm was contiguous with pulmonary artery branches in the right lower lobe and associated with a progressively enlarging necrotic tumor region, suggesting that vascular invasion contributed to its formation. The patient was not experiencing any complications or hemoptysis at the time of identification; however, the pseudoaneurysm was deemed at risk for rupture and was successfully treated with coil embolization. This case highlights the importance of closely monitoring for vascular abnormalities in malignancy and early intervention to prevent potentially fatal complications.

摘要

肺动脉假性动脉瘤(PAP)是一种罕见且可能危及生命的血管异常,通常与感染有关,如肺结核。然而,它们在肺腺癌患者中极为罕见。我们报告一例67岁的III期非小细胞肺癌(NSCLC)男性患者,其在随访维持成像时偶然发现肺动脉假性动脉瘤。该假性动脉瘤与右下叶肺动脉分支相邻,并与逐渐增大的坏死肿瘤区域相关,提示血管侵犯促成了其形成。在发现时患者未出现任何并发症或咯血;然而,该假性动脉瘤被认为有破裂风险,并成功接受了弹簧圈栓塞治疗。该病例强调了在恶性肿瘤中密切监测血管异常以及早期干预以预防潜在致命并发症的重要性。

https://cdn.ncbi.nlm.nih.gov/pmc/blobs/b6bb/12084889/b7dafd7c2b46/cureus-0017-00000082425-i01.jpg

文献AI研究员

20分钟写一篇综述,助力文献阅读效率提升50倍。

立即体验

用中文搜PubMed

大模型驱动的PubMed中文搜索引擎

马上搜索

文档翻译

学术文献翻译模型,支持多种主流文档格式。

立即体验