Bowyer Joshua F, Prentice David
Internal Medicine, St. John of God Midland Public Hospital, Perth, AUS.
Neurosciences, Perron Institute for Neurological and Translational Science, Perth, AUS.
Cureus. 2025 Apr 17;17(4):e82417. doi: 10.7759/cureus.82417. eCollection 2025 Apr.
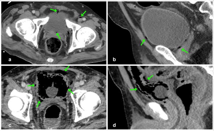
We describe the first documented case of ventriculitis complicating (SS) hyperinfection syndrome (SHS). A 40-year-old immunosuppressed Indigenous man from a hyperendemic region presented with septic shock from a resistant () emphysematous cystitis (EC). Diagnostic challenges related to cirrhosis and atypical SS presentation delayed recognition, culminating in ventriculitis confirmed on magnetic resonance imaging (MRI) and cerebrospinal fluid (CSF) culture. Targeted parenteral antibiotics and ivermectin led to full recovery after a prolonged admission and rehabilitation process. This case underscores several critical clinical lessons: empirical daily ivermectin should be strongly considered for patients with sepsis from hyperendemic regions, as it may be lifesaving. Awareness of the hyperendemicity of SS in certain regions of Australia is crucial, as it can precipitate life-threatening septicaemia and central nervous system infections. The cumulative impact of immunosuppressive factors such as diabetes, alcohol dependence, and malnutrition warrants careful evaluation in such patients, as they are easy to overlook. Finally, this case expands our understanding of the pathogenic potential of , a bacterium rarely represented in the current literature.
我们描述了首例有记录的并发(SS)超感染综合征(SHS)的脑室炎病例。一名来自高流行区的40岁免疫抑制的原住民男子,因耐药性()气肿性膀胱炎(EC)出现感染性休克。与肝硬化和非典型SS表现相关的诊断难题延误了诊断,最终通过磁共振成像(MRI)和脑脊液(CSF)培养确诊为脑室炎。在长时间住院和康复过程后,针对性的肠外抗生素和伊维菌素治疗使患者完全康复。该病例强调了几个关键的临床经验教训:对于来自高流行区的脓毒症患者,应强烈考虑经验性每日使用伊维菌素,因为它可能挽救生命。认识到澳大利亚某些地区SS的高流行情况至关重要,因为它可能引发危及生命的败血症和中枢神经系统感染。糖尿病、酒精依赖和营养不良等免疫抑制因素的累积影响,在此类患者中值得仔细评估,因为它们很容易被忽视。最后,该病例扩展了我们对一种在当前文献中很少提及的细菌的致病潜力的理解。