• 文献检索
  • 文档翻译
  • 深度研究
  • 学术资讯
  • Suppr Zotero 插件Zotero 插件
  • 邀请有礼
  • 套餐&价格
  • 历史记录
应用&插件
Suppr Zotero 插件Zotero 插件浏览器插件Mac 客户端Windows 客户端微信小程序
定价
高级版会员购买积分包购买API积分包
服务
文献检索文档翻译深度研究API 文档MCP 服务
关于我们
关于 Suppr公司介绍联系我们用户协议隐私条款
关注我们

Suppr 超能文献

核心技术专利:CN118964589B侵权必究
粤ICP备2023148730 号-1Suppr @ 2026

文献检索

告别复杂PubMed语法,用中文像聊天一样搜索,搜遍4000万医学文献。AI智能推荐,让科研检索更轻松。

立即免费搜索

文件翻译

保留排版,准确专业,支持PDF/Word/PPT等文件格式,支持 12+语言互译。

免费翻译文档

深度研究

AI帮你快速写综述,25分钟生成高质量综述,智能提取关键信息,辅助科研写作。

立即免费体验

胸膜炎性胸痛作为化脓性脊柱炎的首发表现

Pleuritic Chest Pain as an Initial Presentation of Pyogenic Spondylitis.

作者信息

Kuroda Keisuke, Nakazaki Hirofumi, Shibata Yuri, Ikeda Hiroki, Yamasaki Akira

机构信息

Department of Respiratory Medicine, Tottori Red Cross Hospital, Tottori, JPN.

Division of Respiratory Medicine and Rheumatology, Department of Multidisciplinary Internal Medicine, Faculty of Medicine, Tottori University, Yonago, JPN.

出版信息

Cureus. 2025 Apr 18;17(4):e82501. doi: 10.7759/cureus.82501. eCollection 2025 Apr.

DOI:10.7759/cureus.82501
PMID:40385852
原文链接:https://pmc.ncbi.nlm.nih.gov/articles/PMC12085958/
Abstract

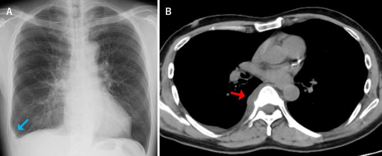
Pyogenic spondylitis typically presents with back and neck pain, fever, and fatigue. Sharp chest pain upon deep breathing, commonly associated with pleurisy, is not a typical manifestation of pyogenic spondylitis. We report a case of pleuritic chest pain as the initial presentation of pyogenic spondylitis. A 62-year-old male patient presented with a one-week history of right-sided pleuritic chest pain and fever. Chest computed tomography (CT) revealed a right pleural effusion. The patient was initially treated for bacterial pleurisy without improvement and subsequently developed back pain. Blood cultures yielded methicillin-resistant ( ​​​​). Additional thoracic spine magnetic resonance imaging (MRI) demonstrated pyogenic spondylitis with abscess formation on the right side of the vertebral body. The final diagnosis was pyogenic spondylitis that had progressed and spread inflammation to the pleura. This case highlights that pyogenic spondylitis can cause secondary pleurisy due to extension of inflammation to adjacent structures, a possibility that should be recognized. When  bacteremia is detected during the course of pleurisy, clinicians should consider secondary pleurisy and perform imaging studies to evaluate for pyogenic spondylitis.

摘要

化脓性脊柱炎通常表现为背部和颈部疼痛、发热及乏力。深呼吸时出现的尖锐胸痛,通常与胸膜炎相关,并非化脓性脊柱炎的典型表现。我们报告一例以胸膜炎性胸痛为首发表现的化脓性脊柱炎病例。一名62岁男性患者,有一周右侧胸膜炎性胸痛及发热病史。胸部计算机断层扫描(CT)显示右侧胸腔积液。该患者最初按细菌性胸膜炎治疗但无改善,随后出现背痛。血培养检出耐甲氧西林(此处原文缺失内容)。额外的胸椎磁共振成像(MRI)显示化脓性脊柱炎,椎体右侧有脓肿形成。最终诊断为化脓性脊柱炎,炎症进展并蔓延至胸膜。该病例强调化脓性脊柱炎可因炎症蔓延至相邻结构而导致继发性胸膜炎,这一可能性应得到认识。当在胸膜炎病程中检测到菌血症时,临床医生应考虑继发性胸膜炎并进行影像学检查以评估是否存在化脓性脊柱炎。

https://cdn.ncbi.nlm.nih.gov/pmc/blobs/8576/12085958/6a14901ca5ef/cureus-0017-00000082501-i03.jpg
https://cdn.ncbi.nlm.nih.gov/pmc/blobs/8576/12085958/39d5dd05e580/cureus-0017-00000082501-i01.jpg
https://cdn.ncbi.nlm.nih.gov/pmc/blobs/8576/12085958/026f2b4e8ec2/cureus-0017-00000082501-i02.jpg
https://cdn.ncbi.nlm.nih.gov/pmc/blobs/8576/12085958/6a14901ca5ef/cureus-0017-00000082501-i03.jpg
https://cdn.ncbi.nlm.nih.gov/pmc/blobs/8576/12085958/39d5dd05e580/cureus-0017-00000082501-i01.jpg
https://cdn.ncbi.nlm.nih.gov/pmc/blobs/8576/12085958/026f2b4e8ec2/cureus-0017-00000082501-i02.jpg
https://cdn.ncbi.nlm.nih.gov/pmc/blobs/8576/12085958/6a14901ca5ef/cureus-0017-00000082501-i03.jpg

相似文献

1
Pleuritic Chest Pain as an Initial Presentation of Pyogenic Spondylitis.胸膜炎性胸痛作为化脓性脊柱炎的首发表现
Cureus. 2025 Apr 18;17(4):e82501. doi: 10.7759/cureus.82501. eCollection 2025 Apr.
2
Empyema and pyogenic spondylitis caused by direct Streptococcus gordonii infection after a compression fracture: a case report.压缩性骨折后戈登链球菌直接感染所致脓胸和化脓性脊柱炎:一例报告
Surg Case Rep. 2019 Apr 3;5(1):52. doi: 10.1186/s40792-019-0613-x.
3
Successful surgical intervention for acute pyothorax caused by methicillin-resistant Staphylococcus aureus thoracic pyogenic spondylitis: a case report.耐甲氧西林金黄色葡萄球菌性胸椎化脓性脊柱炎所致急性脓胸的成功手术干预:1例报告
Gen Thorac Cardiovasc Surg Cases. 2024 Feb 22;3(1):11. doi: 10.1186/s44215-024-00138-6.
4
Thoracic pyogenic infectious spondylitis presented as pneumothorax: A case report.以气胸为表现的胸椎化脓性感染性脊柱炎:一例报告。
World J Clin Cases. 2021 Feb 26;9(6):1402-1407. doi: 10.12998/wjcc.v9.i6.1402.
5
Percutaneous pedicle screw fixation was effective for bone regeneration after a huge vertebral defect due to intractable pyogenic spondylitis caused by methicillin-resistant Staphylococcus aureus: a case report.经皮椎弓根螺钉固定治疗耐甲氧西林金黄色葡萄球菌引起的难治性化脓性脊柱炎导致的巨大椎体缺损后骨再生有效:一例报告。
J Med Case Rep. 2023 May 13;17(1):211. doi: 10.1186/s13256-023-03942-w.
6
An infected aneurysm of the vertebral artery following cervical pyogenic spondylitis: a case report and literature review.颈椎化脓性脊椎炎并发椎动脉感染性动脉瘤:一例病例报告并文献复习。
BMC Musculoskelet Disord. 2021 Jan 6;22(1):22. doi: 10.1186/s12891-020-03881-3.
7
[Case of infectious spondylitis presenting as exudative pleural effusion].[以渗出性胸腔积液为表现的感染性脊柱炎病例]
Nihon Kokyuki Gakkai Zasshi. 2009 Sep;47(9):812-6.
8
Clinical features of cervical pyogenic spondylitis and intraspinal abscess.颈椎化脓性脊柱炎和椎管内脓肿的临床特征。
J Spinal Disord Tech. 2011 Oct;24(7):E57-61. doi: 10.1097/BSD.0b013e318227ed9d.
9
Contained rupture of the aneurysm of common iliac artery associated with pyogenic vertebral spondylitis.髂总动脉瘤合并化脓性脊椎炎的局限性破裂。
Spine (Phila Pa 1976). 2001 Jul 1;26(13):E303-7. doi: 10.1097/00007632-200107010-00027.
10
Comparative Analysis of Spontaneous Infectious Spondylitis : Pyogenic versus Tuberculous.自发性感染性脊柱炎的比较分析:化脓性与结核性
J Korean Neurosurg Soc. 2018 Jan;61(1):81-88. doi: 10.3340/jkns.2016.1212.005. Epub 2017 Dec 29.

引用本文的文献

1
Bilateral Massive Pleural Effusion Caused by Spinal Instability in Diffuse Idiopathic Skeletal Hyperostosis: A Rare but Potentially Serious Complication of Spinal Fracture.弥漫性特发性骨肥厚中脊柱不稳定导致的双侧大量胸腔积液:一种罕见但可能严重的脊柱骨折并发症。
Respirol Case Rep. 2025 Jul 22;13(7):e70277. doi: 10.1002/rcr2.70277. eCollection 2025 Jul.

本文引用的文献

1
Management of Staphylococcus aureus Bacteremia: A Review.金黄色葡萄球菌菌血症的管理:综述
JAMA. 2025 Sep 2;334(9):798-808. doi: 10.1001/jama.2025.4288.
2
Spondylodiscitis initially presenting as exudative pleural effusion: A case report and review of the literature.最初表现为渗出性胸腔积液的脊椎椎间盘炎:一例病例报告及文献综述
Eur J Radiol Open. 2020 Oct 15;7:100279. doi: 10.1016/j.ejro.2020.100279. eCollection 2020.
3
Does This Patient Need Blood Cultures? A Scoping Review of Indications for Blood Cultures in Adult Nonneutropenic Inpatients.
是否需要给这位患者做血培养?成人非中性粒细胞减少住院患者血培养适应证的范围评价。
Clin Infect Dis. 2020 Aug 22;71(5):1339-1347. doi: 10.1093/cid/ciaa039.
4
The microbiology of pleural infection in adults: a systematic review.成人胸膜感染的微生物学:系统评价。
Eur Respir J. 2019 Oct 1;54(3). doi: 10.1183/13993003.00542-2019. Print 2019 Sep.
5
Pleural effusion: diagnosis, treatment, and management.胸腔积液:诊断、治疗与管理
Open Access Emerg Med. 2012 Jun 22;4:31-52. doi: 10.2147/OAEM.S29942. eCollection 2012.
6
2015 Infectious Diseases Society of America (IDSA) Clinical Practice Guidelines for the Diagnosis and Treatment of Native Vertebral Osteomyelitis in Adults.2015 年美国传染病学会(IDSA)成人原发性脊椎骨髓炎诊断和治疗临床实践指南。
Clin Infect Dis. 2015 Sep 15;61(6):e26-46. doi: 10.1093/cid/civ482. Epub 2015 Jul 29.
7
Staphylococcus aureus infections: epidemiology, pathophysiology, clinical manifestations, and management.金黄色葡萄球菌感染:流行病学、病理生理学、临床表现及管理
Clin Microbiol Rev. 2015 Jul;28(3):603-61. doi: 10.1128/CMR.00134-14.
8
Pyogenic spondylitis.化脓性脊柱炎。
Int Orthop. 2012 Feb;36(2):397-404. doi: 10.1007/s00264-011-1384-6. Epub 2011 Oct 28.
9
The infectious aspects of atopic dermatitis.特应性皮炎的感染方面。
Immunol Allergy Clin North Am. 2010 Aug;30(3):309-21. doi: 10.1016/j.iac.2010.05.001. Epub 2010 Jul 1.
10
Clinical practice. Vertebral osteomyelitis.临床实践。脊椎骨髓炎。
N Engl J Med. 2010 Mar 18;362(11):1022-9. doi: 10.1056/NEJMcp0910753.