Suppr超能文献

英夫利昔单抗诱发类风湿关节炎患者血管炎:一份全面的病例报告

Infliximab-Induced Vasculitis in a Rheumatoid Arthritis Patient: A Comprehensive Case Report.

作者信息

Aung Thanda, Celestin Mia

机构信息

Rheumatology, University of California Los Angeles David Geffen School of Medicine, Los Angeles, USA.

出版信息

Cureus. 2025 Apr 17;17(4):e82467. doi: 10.7759/cureus.82467. eCollection 2025 Apr.

Abstract

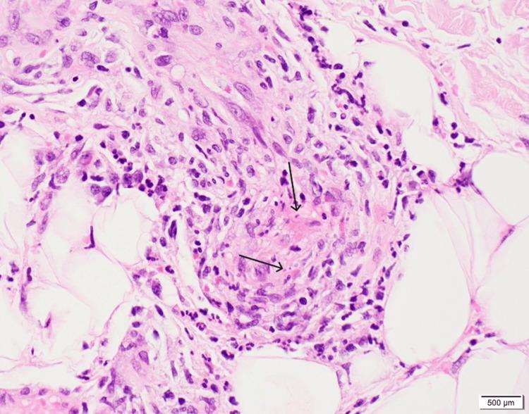
Tumor necrosis factor (TNF) inhibitors are widely used biologics in the management of rheumatoid arthritis (RA), but they can occasionally induce paradoxical inflammatory manifestations. We present a case of a 28-year-old female patient with well-controlled rheumatoid arthritis who developed leukocytoclastic vasculitis (LCV) secondary to infliximab therapy. Despite initial treatment with alternative biologics and corticosteroids, her condition required escalation to rituximab therapy. Histopathological examination confirmed leukocytoclastic vasculitis involving vessels in the deep dermis. After 10 months of rituximab treatment, the patient experienced complete resolution of the vasculitis. This case highlights the importance of recognizing rare but significant cutaneous adverse effects of TNF inhibitors and illustrates the challenges in management when conventional therapy proves ineffective. Clinicians should maintain vigilance for paradoxical inflammatory responses when treating patients with biologic agents and consider appropriate therapeutic alternatives when such complications arise.

摘要

肿瘤坏死因子(TNF)抑制剂是类风湿关节炎(RA)治疗中广泛使用的生物制剂,但它们偶尔会引发矛盾性炎症表现。我们报告一例28岁女性患者,其类风湿关节炎病情控制良好,因英夫利昔单抗治疗继发白细胞破碎性血管炎(LCV)。尽管最初使用了替代生物制剂和皮质类固醇进行治疗,但其病情仍需升级为利妥昔单抗治疗。组织病理学检查证实白细胞破碎性血管炎累及真皮深层血管。利妥昔单抗治疗10个月后,患者血管炎完全消退。该病例突出了认识TNF抑制剂罕见但严重的皮肤不良反应的重要性,并说明了传统治疗无效时管理方面的挑战。临床医生在使用生物制剂治疗患者时应警惕矛盾性炎症反应,并在出现此类并发症时考虑适当的治疗替代方案。

https://cdn.ncbi.nlm.nih.gov/pmc/blobs/4fd3/12085235/e877685f878a/cureus-0017-00000082467-i01.jpg

文献AI研究员

20分钟写一篇综述,助力文献阅读效率提升50倍。

立即体验

用中文搜PubMed

大模型驱动的PubMed中文搜索引擎

马上搜索

文档翻译

学术文献翻译模型,支持多种主流文档格式。

立即体验