• 文献检索
  • 文档翻译
  • 深度研究
  • 学术资讯
  • Suppr Zotero 插件Zotero 插件
  • 邀请有礼
  • 套餐&价格
  • 历史记录
应用&插件
Suppr Zotero 插件Zotero 插件浏览器插件Mac 客户端Windows 客户端微信小程序
定价
高级版会员购买积分包购买API积分包
服务
文献检索文档翻译深度研究API 文档MCP 服务
关于我们
关于 Suppr公司介绍联系我们用户协议隐私条款
关注我们

Suppr 超能文献

核心技术专利:CN118964589B侵权必究
粤ICP备2023148730 号-1Suppr @ 2026

文献检索

告别复杂PubMed语法,用中文像聊天一样搜索,搜遍4000万医学文献。AI智能推荐,让科研检索更轻松。

立即免费搜索

文件翻译

保留排版,准确专业,支持PDF/Word/PPT等文件格式,支持 12+语言互译。

免费翻译文档

深度研究

AI帮你快速写综述,25分钟生成高质量综述,智能提取关键信息,辅助科研写作。

立即免费体验

在一个官方宣称无牛结核病的国家,感染的家猫导致了人类感染。

infected domestic cats in an officially bovine tuberculosis free country resulting in human infection.

作者信息

Commandeur Susanna, van der Most Marleen, Koomen Jeroen, van Keulen Lucien, Dinkla Annemieke, Luinenburg Xander, Escher Marieke, Jacobs Pieter, Keur Ingrid, Grinwis Guy C M, Weerts Erik, Broens Els M, Anthony Richard, Agterveld Miranda Kamst-van, Rebel Karin, Huisman Erik, Heijne Marloes, Koets Ad

机构信息

Department of Bacteriology, Host Pathogen Interaction and Diagnostics Development, Wageningen Bioveterinary Research (WBVR), Wageningen University & Research, 8221 RA Lelystad, the Netherlands.

Netherlands Food and Consumer Product Safety Authority (NVWA), P.O. Box 43006, 3540 AA Utrecht, the Netherlands.

出版信息

One Health. 2025 Apr 21;20:101048. doi: 10.1016/j.onehlt.2025.101048. eCollection 2025 Jun.

DOI:10.1016/j.onehlt.2025.101048
PMID:40390776
原文链接:https://pmc.ncbi.nlm.nih.gov/articles/PMC12088816/
Abstract

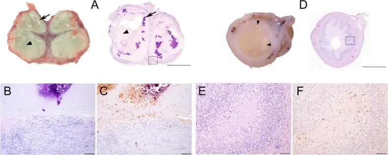
Although the Netherlands is an officially bovine tuberculosis (bTB) free (OTF) country, sporadic infections with still cause tuberculosis (TB) in (non-bovine) mammals, including humans. We describe for the first time cases of infection in domestic cats in the Netherlands with transmission between companion animals and humans. In January 2023, a domestic cat, euthanized due to severe respiratory clinical signs, was diagnosed with . Subsequently, three other cats from the household were euthanized and also diagnosed with . The remaining kitten and dog received antibiotic treatment. Human contacts were screened using Tuberculin Skin Test (TST) and Interferon-Gamma Release Assay (IGRA). Lung lesions were detected in a TST/IGRA contact which tested positive for DNA. This human lung-derived DNA contained single nucleotide polymorphisms (SNPs) that were also identified in the DNA of isolated from the cats in this household, strengthening the hypothesis of intra-species transmission within the household. The four TST human contacts received antibiotic treatment. In the same period, another domestic cat from an unrelated household was euthanized due to respiratory clinical signs and diagnosed with . This strain differed 500 SNPs from the strains of the first household and was therefore genetically distinct. Commercially available, ready-to-use raw pet food was a suspected source in both households, however this could not be confirmed. These cases illustrate the need for one-health vigilance among both veterinarians and human physicians as essential to control outbreaks and prevent further spread to humans, companion animals, wildlife and livestock.

摘要

尽管荷兰是官方认定的无牛结核病(bTB)国家,但 (某种病菌)的零星感染仍会在包括人类在内的(非牛类)哺乳动物中引发结核病(TB)。我们首次描述了荷兰家猫感染 (病菌)的病例,以及该病菌在伴侣动物和人类之间的传播情况。2023年1月,一只因严重呼吸道临床症状而被安乐死的家猫被诊断感染了 (病菌)。随后,该家庭中的另外三只猫也被安乐死,并被诊断感染了 (病菌)。剩下的小猫和小狗接受了抗生素治疗。对人类接触者进行了结核菌素皮肤试验(TST)和干扰素-γ释放试验(IGRA)筛查。在一名TST/IGRA检测呈阳性且 (病菌)DNA检测呈阳性的接触者的肺部发现了病变。该人类肺部来源的 (病菌)DNA中所含的单核苷酸多态性(SNP)也在从该家庭的猫身上分离出的 (病菌)DNA中被发现,这强化了病菌在家庭内部进行种内传播的假设。这四名TST检测呈阳性的人类接触者接受了抗生素治疗。同一时期,另一个家庭的一只家猫因呼吸道临床症状被安乐死,并被诊断感染了 (病菌)。该 (病菌)菌株与第一个家庭的菌株有500个SNP的差异,因此在基因上是不同的。在这两个家庭中,市售的即食宠物生食都被怀疑是传染源,然而这一点无法得到证实。这些病例表明,兽医和人类医生都需要保持“同一健康”警惕性,这对于控制疫情爆发以及防止病菌进一步传播给人类、伴侣动物、野生动物和家畜至关重要。

https://cdn.ncbi.nlm.nih.gov/pmc/blobs/5855/12088816/6496d340dc69/gr5.jpg
https://cdn.ncbi.nlm.nih.gov/pmc/blobs/5855/12088816/130c8e2fabe7/gr1.jpg
https://cdn.ncbi.nlm.nih.gov/pmc/blobs/5855/12088816/853d66039885/gr2.jpg
https://cdn.ncbi.nlm.nih.gov/pmc/blobs/5855/12088816/79d50c640979/gr3.jpg
https://cdn.ncbi.nlm.nih.gov/pmc/blobs/5855/12088816/ccb940b4dec2/gr4.jpg
https://cdn.ncbi.nlm.nih.gov/pmc/blobs/5855/12088816/6496d340dc69/gr5.jpg
https://cdn.ncbi.nlm.nih.gov/pmc/blobs/5855/12088816/130c8e2fabe7/gr1.jpg
https://cdn.ncbi.nlm.nih.gov/pmc/blobs/5855/12088816/853d66039885/gr2.jpg
https://cdn.ncbi.nlm.nih.gov/pmc/blobs/5855/12088816/79d50c640979/gr3.jpg
https://cdn.ncbi.nlm.nih.gov/pmc/blobs/5855/12088816/ccb940b4dec2/gr4.jpg
https://cdn.ncbi.nlm.nih.gov/pmc/blobs/5855/12088816/6496d340dc69/gr5.jpg

相似文献

1
infected domestic cats in an officially bovine tuberculosis free country resulting in human infection.在一个官方宣称无牛结核病的国家,感染的家猫导致了人类感染。
One Health. 2025 Apr 21;20:101048. doi: 10.1016/j.onehlt.2025.101048. eCollection 2025 Jun.
2
Feline tuberculosis caused by Mycobacterium bovis infection of domestic UK cats associated with feeding a commercial raw food diet.由感染牛分枝杆菌的 domestic UK cats 引起的猫结核病与食用商业生骨肉饮食有关。
Transbound Emerg Dis. 2021 Jul;68(4):2308-2320. doi: 10.1111/tbed.13889. Epub 2020 Nov 7.
3
Tuberculosis due to in pet cats associated with feeding a commercial raw food diet.宠物猫因食用商业生食饮食而感染结核病。 (你提供的原文“due to ”中间有缺失内容,我按合理推测翻译,若有错误请指出)
J Feline Med Surg. 2019 Aug;21(8):667-681. doi: 10.1177/1098612X19848455. Epub 2019 May 13.
4
Cell-Mediated Immunological Biomarkers and Their Diagnostic Application in Livestock and Wildlife Infected With .细胞介导的免疫生物标志物及其在感染. 的家畜和野生动物中的诊断应用
Front Immunol. 2021 Mar 4;12:639605. doi: 10.3389/fimmu.2021.639605. eCollection 2021.
5
Prevalence of latent and active tuberculosis among dairy farm workers exposed to cattle infected by Mycobacterium bovis.奶牛感染牛分枝杆菌的奶牛场工人中潜伏性和活动性结核病的患病率。
PLoS Negl Trop Dis. 2013 Apr 25;7(4):e2177. doi: 10.1371/journal.pntd.0002177. Print 2013.
6
Use of whole-genome sequencing and evaluation of the apparent sensitivity and specificity of antemortem tuberculosis tests in the investigation of an unusual outbreak of Mycobacterium bovis infection in a Michigan dairy herd.在密歇根州一个奶牛群中牛分枝杆菌感染异常暴发的调查中,使用全基因组测序并评估生前结核病检测的表观敏感性和特异性。
J Am Vet Med Assoc. 2017 Jul 15;251(2):206-216. doi: 10.2460/javma.251.2.206.
7
Mycobacterium bovis infections in domesticated non-bovine mammalian species. Part 1: Review of epidemiology and laboratory submissions in Great Britain 2004-2010.牛分枝杆菌感染家养非牛哺乳动物。第 1 部分:2004-2010 年英国流行病学和实验室提交情况综述。
Vet J. 2013 Nov;198(2):339-45. doi: 10.1016/j.tvjl.2013.09.006. Epub 2013 Sep 20.
8
Epidemiologic investigation of Mycobacterium bovis in a population of cats.猫群中牛分枝杆菌的流行病学调查
Am J Vet Res. 2002 Nov;63(11):1507-11. doi: 10.2460/ajvr.2002.63.1507.
9
Detection of Mycobacterium bovis infection in African buffaloes (Syncerus caffer) using QuantiFERON-TB Gold (QFT) tubes and the Qiagen cattletype IFN-gamma ELISA.使用QuantiFERON-TB Gold(QFT)管和Qiagen牛型干扰素-γ酶联免疫吸附测定法检测非洲水牛(非洲野水牛)中的牛分枝杆菌感染。
Vet Immunol Immunopathol. 2018 Feb;196:48-52. doi: 10.1016/j.vetimm.2017.12.010. Epub 2017 Dec 22.
10
Bovine tuberculosis in Europe from the perspective of an officially tuberculosis free country: trade, surveillance and diagnostics.欧洲的牛型结核:从一个官方无结核国家的视角看贸易、监测和诊断。
Vet Microbiol. 2011 Jul 5;151(1-2):153-9. doi: 10.1016/j.vetmic.2011.02.039. Epub 2011 Feb 24.

本文引用的文献

1
The problem that residual Mycobacterium bovis infection poses for the eradication of bovine tuberculosis.牛分枝杆菌残留感染对牛结核病根除造成的问题。
Vet J. 2024 Dec;308:106266. doi: 10.1016/j.tvjl.2024.106266. Epub 2024 Nov 9.
2
Canine tuberculosis: A review of 18 new and 565 previously reported confirmed cases.犬结核病:18例新确诊病例及565例既往报告确诊病例的综述
Vet J. 2024 Apr;304:106089. doi: 10.1016/j.tvjl.2024.106089. Epub 2024 Feb 25.
3
Animal tuberculosis control in a disease-free country, France: does the long and winding road really lead to eradication?
在无结核病国家法国进行动物结核病防控:这条漫长而曲折的道路真的能通向根除目标吗?
Ir Vet J. 2023 Sep 26;76(Suppl 1):25. doi: 10.1186/s13620-023-00258-5.
4
Development of an enzyme-linked immunosorbent assay for the diagnosis of feline tuberculosis.建立用于猫结核病诊断的酶联免疫吸附测定方法。
Vet Immunol Immunopathol. 2023 Jan;255:110538. doi: 10.1016/j.vetimm.2022.110538. Epub 2022 Dec 17.
5
Genomic analysis of diversity, biogeography, and drug resistance in Mycobacterium bovis.牛分枝杆菌的多样性、生物地理学和耐药性的基因组分析。
Transbound Emerg Dis. 2022 Sep;69(5):e2769-e2778. doi: 10.1111/tbed.14628. Epub 2022 Jul 8.
6
Recurrent tuberculosis in the Netherlands - a 24-year follow-up study, 1993 to 2016.荷兰复发性结核病 - 1993 年至 2016 年的 24 年随访研究。
Euro Surveill. 2022 Mar;27(12). doi: 10.2807/1560-7917.ES.2022.27.12.2100183.
7
The Bovine Tuberculoid Granuloma.牛结核样肉芽肿
Pathogens. 2022 Jan 4;11(1):61. doi: 10.3390/pathogens11010061.
8
The effectiveness of bovine tuberculosis surveillance in Dutch badgers.荷兰獾牛型结核监测的效果。
Transbound Emerg Dis. 2022 Jul;69(4):2008-2020. doi: 10.1111/tbed.14186. Epub 2021 Jul 12.
9
Histological and immunohistochemical features suggesting aetiological differences in lymph node and (muco)cutaneous feline tuberculosis lesions.组织学和免疫组织化学特征提示淋巴结和(粘)皮肤猫结核病病变的病因学差异。
J Small Anim Pract. 2022 Mar;63(3):174-187. doi: 10.1111/jsap.13386. Epub 2021 Jun 7.
10
Feline tuberculosis caused by Mycobacterium bovis infection of domestic UK cats associated with feeding a commercial raw food diet.由感染牛分枝杆菌的 domestic UK cats 引起的猫结核病与食用商业生骨肉饮食有关。
Transbound Emerg Dis. 2021 Jul;68(4):2308-2320. doi: 10.1111/tbed.13889. Epub 2020 Nov 7.