Suppr超能文献

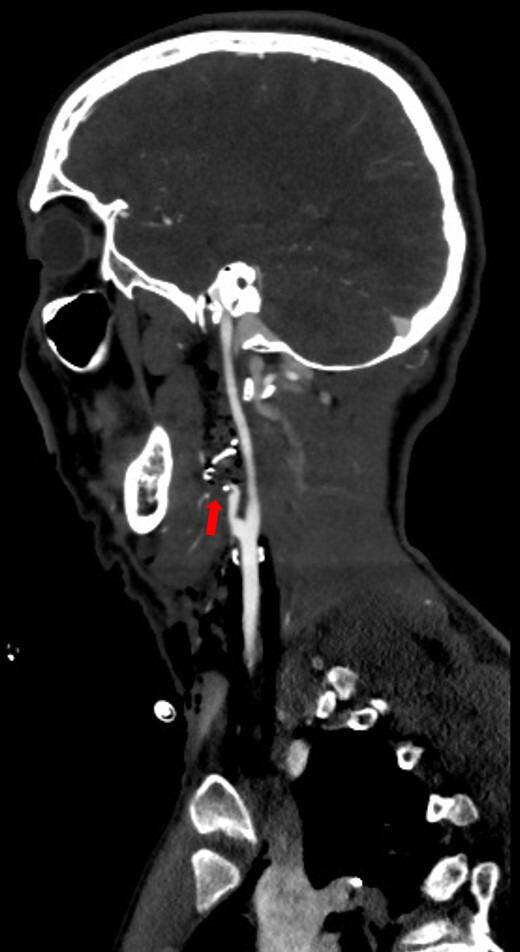
Management of penetrating neck injury to zone III in an initially unstable patient.

作者信息

Stocker Benjamin William W, Raeburn Christopher D, Marshall William Aaron, Cripps Michael W, Hawley Kristy Lynn

机构信息

Department of Surgery, University of Colorado School of Medicine, Aurora, Colorado, USA.

出版信息

Trauma Surg Acute Care Open. 2025 May 16;10(2):e001724. doi: 10.1136/tsaco-2024-001724. eCollection 2025.

Abstract
摘要
https://cdn.ncbi.nlm.nih.gov/pmc/blobs/9008/12086891/0ddb7eb55a89/tsaco-10-2-g001.jpg

文献AI研究员

20分钟写一篇综述,助力文献阅读效率提升50倍。

立即体验

用中文搜PubMed

大模型驱动的PubMed中文搜索引擎

马上搜索

文档翻译

学术文献翻译模型,支持多种主流文档格式。

立即体验