Suppr超能文献

口服普萘洛尔治疗儿童眼眶附件血管瘤的实际疗效和安全性:观察性队列研究

Real-life efficacy and safety of oral propranolol for ocular adnexal infantile hemangiomas: observational cohort study.

作者信息

Malvindi Stefano, Sammarco Elena, Elefante Andrea, Lanni Vittoria, Cicala Domenico, Esposito Francesco, Picardi Ciro, Iuliano Adriana, Cohen Dana, Mariniello Giuseppe, D'Aponte Antonella, Costagliola Ciro, Briganti Francesco, Strianese Diego

机构信息

Department of Neurosciences, Reproductive Sciences and Dentistry. University of Naples Federico II, Naples, Italy.

Pediatric Neuroradiology, Department of Neuroscience, Santobono-Pausilipon Children's Hospital, Naples, Italy.

出版信息

Front Ophthalmol (Lausanne). 2025 May 5;5:1493171. doi: 10.3389/fopht.2025.1493171. eCollection 2025.

Abstract

OBJECTIVE

To assess the effectiveness and safety of oral propranolol for the treatment of ocular adnexal infantile hemangiomas.

PATIENTS AND METHODS

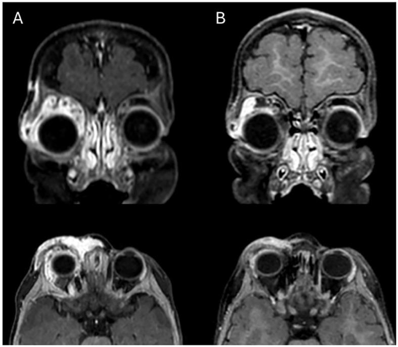
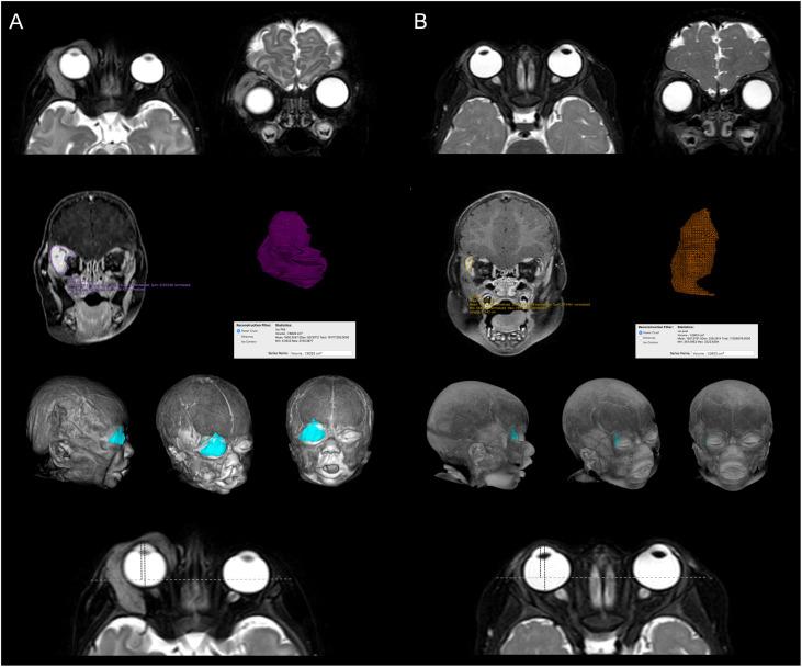
retrospective observational cohort study. Propranolol was administered at an initial oral dose of 1 mg/kg and subsequently increased to 2 mg/kg for 1 year. Outcomes were evaluated by comparing pre- and post-treatment clinical findings, contrast-enhanced ultrasound (CEUS) findings and/or orbital magnetic resonance imaging findings from baseline to 3, 6, 9, 12, 24, and 48 weeks. Regression was graded as follows: satisfactory when 90% and above of the baseline lesion volume and extension decreased, acceptable when 50 to 90%, mediocre when 30 to 50%, poor less than 30%.

RESULTS

Twenty-four patients were included in this study. The mean age at presentation was 4 ± 1 week. Sixteen (71%) patients were females and 7 (29%) were males. The mean follow-up duration was 18 ± 3 months. Therapy was started for of 23/24 patients at 5 weeks old, of 1/24 started at 9 weeks of age. The median age was 5,16 weeks. Sixteen patients (66%) had satisfactory resolution between 3 and 6 weeks, 5 (20%) after 9 weeks, and 3 (12%) after 12 weeks. One patient (5%) had a mediocre response after 24 weeks. One patient withdrew from therapy because of hypoglycemia, which was successfully managed as an outpatient. No significant adverse reactions, such as bradycardia, hypotension, bronchospasm, or congestive heart failure, were detected in this cohort.

CONCLUSION

This study indicates that the real-life use of oral propranolol for infantile hemangioma yields a high success rate with a lower morbidity than previously reported, particularly when managed by a proficient and multidisciplinary team.

摘要

目的

评估口服普萘洛尔治疗眼附属器婴幼儿血管瘤的有效性和安全性。

患者与方法

回顾性观察队列研究。普萘洛尔初始口服剂量为1mg/kg,随后增至2mg/kg,持续1年。通过比较治疗前和治疗后从基线至3、6、9、12、24和48周的临床检查结果、超声造影(CEUS)结果和/或眼眶磁共振成像结果来评估疗效。消退分级如下:基线病变体积和范围减少90%及以上为满意,减少50%至90%为可接受,减少30%至50%为中等,减少不足30%为差。

结果

本研究纳入24例患者。就诊时的平均年龄为4±1周。16例(71%)为女性,7例(29%)为男性。平均随访时间为18±3个月。23/24例患者在5周龄时开始治疗,1/24例在9周龄时开始治疗。中位年龄为5.16周。16例患者(66%)在3至6周时达到满意消退,5例(20%)在9周后达到,3例(12%)在12周后达到。1例患者(5%)在24周后反应中等。1例患者因低血糖退出治疗,作为门诊患者成功处理。该队列中未检测到明显不良反应,如心动过缓、低血压、支气管痉挛或充血性心力衰竭。

结论

本研究表明,在实际应用中,口服普萘洛尔治疗婴幼儿血管瘤成功率高,发病率低于先前报道,尤其是由专业多学科团队管理时。

https://cdn.ncbi.nlm.nih.gov/pmc/blobs/860b/12086078/e62fef59e44d/fopht-05-1493171-g001.jpg

相似文献

1
Real-life efficacy and safety of oral propranolol for ocular adnexal infantile hemangiomas: observational cohort study.
Front Ophthalmol (Lausanne). 2025 May 5;5:1493171. doi: 10.3389/fopht.2025.1493171. eCollection 2025.
2
Propranolol for Treatment of Genital Infantile Hemangioma.
J Urol. 2016 Mar;195(3):731-7. doi: 10.1016/j.juro.2015.09.069. Epub 2015 Sep 21.
3
Monitoring oral propranolol for infantile hemangiomata.
Dermatol Ther. 2022 Nov;35(11):e15870. doi: 10.1111/dth.15870. Epub 2022 Oct 11.
5
Oral propranolol for treatment of periocular infantile hemangiomas.
Arch Ophthalmol. 2011 Jul;129(7):899-903. doi: 10.1001/archophthalmol.2011.40. Epub 2011 Mar 14.
6
A randomized, controlled trial of oral propranolol in infantile hemangioma.
N Engl J Med. 2015 Feb 19;372(8):735-46. doi: 10.1056/NEJMoa1404710.
7
Early propranolol treatment of infantile hemangiomas improves outcome.
An Bras Dermatol. 2023 May-Jun;98(3):310-315. doi: 10.1016/j.abd.2022.04.008. Epub 2022 Dec 26.
8
Interventions for infantile haemangiomas of the skin.
Cochrane Database Syst Rev. 2018 Apr 18;4(4):CD006545. doi: 10.1002/14651858.CD006545.pub3.
10
Propranolol for the treatment of orbital infantile hemangiomas.
Ophthalmic Plast Reconstr Surg. 2011 May-Jun;27(3):190-4. doi: 10.1097/IOP.0b013e318201d344.

本文引用的文献

1
Infantile hepatic hemangiomas: looking backwards and forwards.
Precis Clin Med. 2022 Feb 11;5(1):pbac006. doi: 10.1093/pcmedi/pbac006. eCollection 2022 Mar.
2
Propranolol for Treatment of Infantile Hemangioma: Efficacy and Effect on Pediatric Growth and Development.
Int J Pediatr. 2021 Apr 7;2021:6669383. doi: 10.1155/2021/6669383. eCollection 2021.
3
Subclinical Ultrasound Characteristics of Infantile Hemangiomas That May Potentially Affect Involution.
J Ultrasound Med. 2021 Jun;40(6):1125-1130. doi: 10.1002/jum.15489. Epub 2020 Sep 8.
5
Infantile Hemangioma: An Updated Review.
Curr Pediatr Rev. 2021;17(1):55-69. doi: 10.2174/1573396316666200508100038.
6
Multi-parametric magnetic resonance imaging characterization of orbital lesions: a triple blind study.
Semin Ophthalmol. 2020 Feb 17;35(2):95-102. doi: 10.1080/08820538.2020.1742358. Epub 2020 Apr 16.
7
Upper Eyelid Isolated Arterio-Venous Malformation Treated With Embolization in a Patient With Keloid-Prone Skin.
Ophthalmic Plast Reconstr Surg. 2020 Sep/Oct;36(5):e116-e119. doi: 10.1097/IOP.0000000000001620.
8
The role of ultrasonography in differential diagnosis of orbital lesions.
J Ultrasound. 2021 Mar;24(1):35-40. doi: 10.1007/s40477-020-00443-0. Epub 2020 Mar 12.
9
Vascular lesions of the head and neck: an update on classification and imaging review.
Insights Imaging. 2020 Feb 7;11(1):19. doi: 10.1186/s13244-019-0818-3.
10
Death Associated With Nadolol for Infantile Hemangioma: A Case for Improving Safety.
Pediatrics. 2020 Jan;145(1). doi: 10.1542/peds.2019-1035.

文献AI研究员

20分钟写一篇综述,助力文献阅读效率提升50倍。

立即体验

用中文搜PubMed

大模型驱动的PubMed中文搜索引擎

马上搜索

文档翻译

学术文献翻译模型,支持多种主流文档格式。

立即体验