VanPortfliet Jordyn J, Lei Yuanjiu, Ramanathan Muthumeena, Martinez Camila Guerra, Wong Jessica, Stodola Tim J, Hoffmann Brian R, Pflug Kathryn, Sitcheran Raquel, Kneeland Stephen C, Murray Stephen A, McGuire Peter J, Cannon Carolyn L, West A Phillip
The Jackson Laboratory, Bar Harbor, ME, USA.
Department of Microbial Pathogenesis and Immunology, College of Medicine, Texas A&M University, Bryan, TX, USA.
Nat Commun. 2025 May 20;16(1):4640. doi: 10.1038/s41467-025-59907-8.
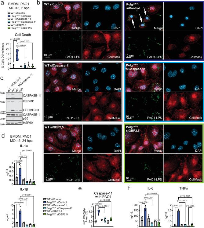
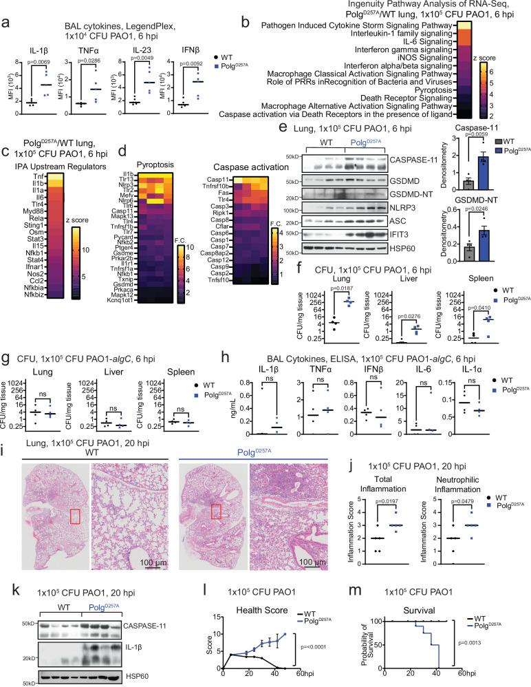
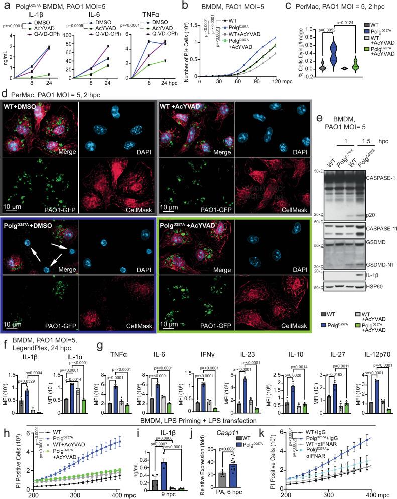
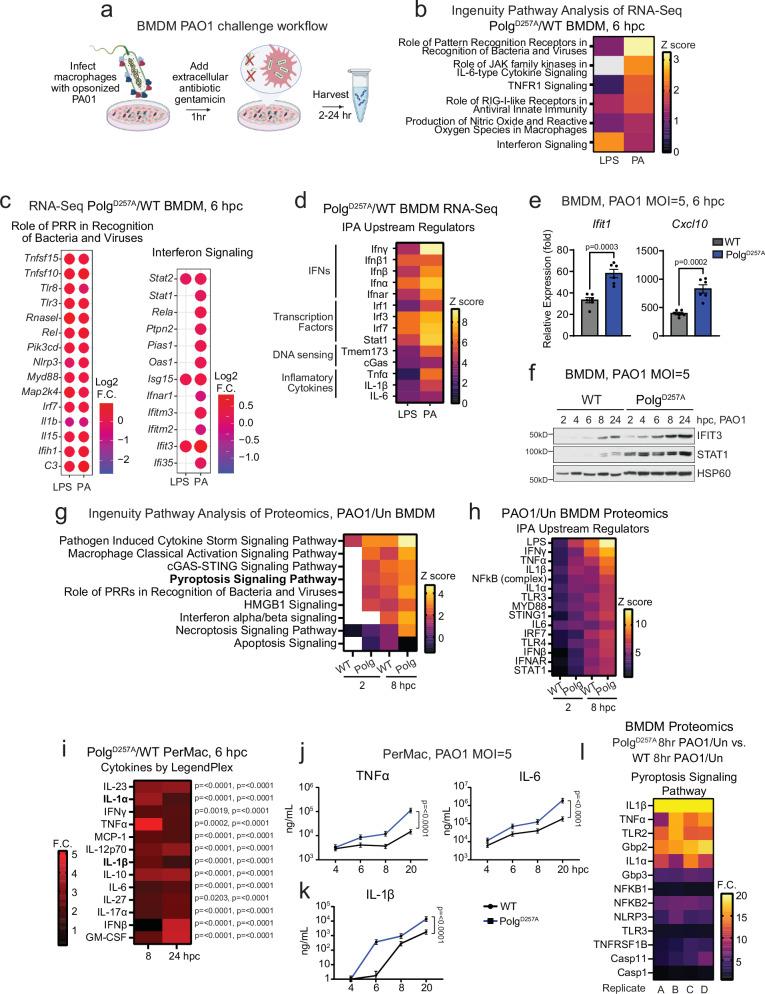
Mitochondrial diseases (MtD) represent a significant public health challenge due to their heterogenous clinical presentation, often severe and progressive symptoms, and lack of effective therapies. Environmental exposures, such bacterial and viral infection, can further compromise mitochondrial function and exacerbate the progression of MtD. However, the underlying immune alterations that enhance immunopathology in MtD remain unclear. Here we employ in vitro and in vivo approaches to clarify the molecular and cellular basis for innate immune hyperactivity in models of polymerase gamma (Polg)-related MtD. We reveal that type I interferon (IFN-I)-mediated upregulation of caspase-11 and guanylate-binding proteins (GBP) increase macrophage sensing of the opportunistic microbe Pseudomonas aeruginosa (PA) in Polg mutant mice. Furthermore, we show that excessive cytokine secretion and activation of pyroptotic cell death pathways contribute to lung inflammation and morbidity after infection with PA. Our work provides a mechanistic framework for understanding innate immune dysregulation in MtD and reveals potential targets for limiting infection- and inflammation-related complications in Polg-related MtD.
线粒体疾病(MtD)因其临床表现异质性、症状往往严重且呈进行性发展以及缺乏有效治疗方法,对公共卫生构成了重大挑战。环境暴露,如细菌和病毒感染,会进一步损害线粒体功能并加剧MtD的进展。然而,增强MtD免疫病理学的潜在免疫改变仍不清楚。在这里,我们采用体外和体内方法来阐明与聚合酶γ(Polg)相关的MtD模型中固有免疫亢进的分子和细胞基础。我们发现,I型干扰素(IFN-I)介导的半胱天冬酶-11和鸟苷酸结合蛋白(GBP)的上调增加了Polg突变小鼠中巨噬细胞对机会性微生物铜绿假单胞菌(PA)的感知。此外,我们表明,过量的细胞因子分泌和焦亡性细胞死亡途径的激活导致感染PA后肺部炎症和发病。我们的工作为理解MtD中的固有免疫失调提供了一个机制框架,并揭示了限制与Polg相关的MtD中感染和炎症相关并发症的潜在靶点。