• 文献检索
  • 文档翻译
  • 深度研究
  • 学术资讯
  • Suppr Zotero 插件Zotero 插件
  • 邀请有礼
  • 套餐&价格
  • 历史记录
应用&插件
Suppr Zotero 插件Zotero 插件浏览器插件Mac 客户端Windows 客户端微信小程序
定价
高级版会员购买积分包购买API积分包
服务
文献检索文档翻译深度研究API 文档MCP 服务
关于我们
关于 Suppr公司介绍联系我们用户协议隐私条款
关注我们

Suppr 超能文献

核心技术专利:CN118964589B侵权必究
粤ICP备2023148730 号-1Suppr @ 2026

文献检索

告别复杂PubMed语法,用中文像聊天一样搜索,搜遍4000万医学文献。AI智能推荐,让科研检索更轻松。

立即免费搜索

文件翻译

保留排版,准确专业,支持PDF/Word/PPT等文件格式,支持 12+语言互译。

免费翻译文档

深度研究

AI帮你快速写综述,25分钟生成高质量综述,智能提取关键信息,辅助科研写作。

立即免费体验

PKMYT1激酶改善骨肉瘤对顺铂的敏感性。

PKMYT1 kinase ameliorates cisplatin sensitivity in osteosarcoma.

作者信息

Liu Binfeng, Li Wei, Zhang Wenchao, Feng Chengyao, Wan Lu, He Shasha, Xu Ruiling, Fu Zheng, Liu Zhongyue, Xu Haodong, Jin Xin, Tu Chao, Li Zhihong

机构信息

Department of Orthopedics, The Second Xiangya Hospital, Central South University, Changsha, China.

National Clinical Research Center for Mental Disorders, and National Center for Mental Disorders, The Second Xiangya Hospital of Central South University, Changsha, China.

出版信息

Signal Transduct Target Ther. 2025 May 21;10(1):165. doi: 10.1038/s41392-025-02250-7.

DOI:10.1038/s41392-025-02250-7
PMID:40393983
原文链接:https://pmc.ncbi.nlm.nih.gov/articles/PMC12092789/
Abstract

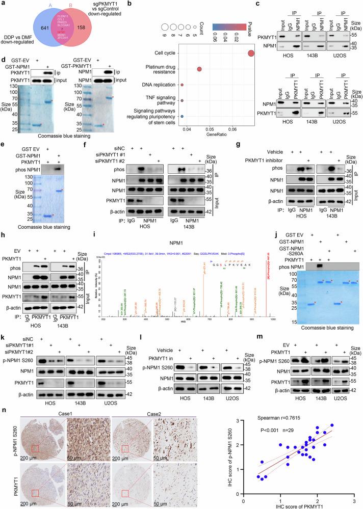
Cisplatin (DDP) remains a cornerstone therapy for osteosarcoma (OS); however, pervasive resistance severely limits its clinical efficacy and worsens patient outcomes. Developing strategies to enhance the chemotherapeutic responsiveness of OS cells is therefore of critical importance. Here, we conducted a kinome-wide clustered regularly interspaced short palindromic repeats (CRISPR) screen, coupled with transcriptome sequencing, to identify regulators of DDP sensitivity. This approach revealed protein kinase membrane-associated tyrosine/threonine 1 (PKMYT1) as a key regulator of DDP sensitivity in OS. Subsequent analysis of patient-derived clinical specimens, along with in vitro functional assays, demonstrated that DDP treatment induces the activation of PKMYT1 in OS cells. Importantly, PKMYT1 silencing markedly enhances cellular sensitivity to DDP, indicating its role in promoting chemoresistance. Mechanistically, PKMYT1 induces phosphorylation of nucleophosmin 1 (NPM1) at the S260 site, which competitively impairs NPM1 SUMOylation. This modification interferes with the recruitment of essential DNA damage response factors, including breast cancer suppressor gene 1 (BRCA1), receptor-associated protein 80 (RAP80), and RADiation sensitive protein 51 (RAD51), ultimately affecting double-strand break (DSB) repair. Furthermore, the selective PKMYT1 inhibitor RP6306 was found to synergize with DDP, amplifying its cytotoxic effects in OS cells. Collectively, these findings highlight PKMYT1 as a promising therapeutic target and provide a rationale for combinatorial strategies to overcome DDP resistance in OS.

摘要

顺铂(DDP)仍然是骨肉瘤(OS)的基石疗法;然而,普遍存在的耐药性严重限制了其临床疗效并恶化了患者预后。因此,制定增强OS细胞化疗反应性的策略至关重要。在这里,我们进行了全激酶组成簇规律间隔短回文重复序列(CRISPR)筛选,并结合转录组测序,以确定DDP敏感性的调节因子。该方法揭示蛋白激酶膜相关酪氨酸/苏氨酸1(PKMYT1)是OS中DDP敏感性的关键调节因子。随后对患者来源的临床标本进行分析,并结合体外功能试验,证明DDP治疗可诱导OS细胞中PKMYT1的激活。重要的是,PKMYT1沉默显著增强细胞对DDP的敏感性,表明其在促进化疗耐药性中的作用。机制上,PKMYT1诱导核仁磷酸蛋白1(NPM1)在S260位点磷酸化,这竞争性地损害NPM1的SUMO化。这种修饰干扰了包括乳腺癌抑制基因1(BRCA1)、受体相关蛋白80(RAP80)和辐射敏感蛋白51(RAD51)在内的必需DNA损伤反应因子的募集,最终影响双链断裂(DSB)修复。此外,发现选择性PKMYT1抑制剂RP6306与DDP协同作用,增强其在OS细胞中的细胞毒性作用。总之,这些发现突出了PKMYT1作为一个有前景的治疗靶点,并为克服OS中DDP耐药性的联合策略提供了理论依据。

https://cdn.ncbi.nlm.nih.gov/pmc/blobs/238f/12092789/188de43cba55/41392_2025_2250_Fig8_HTML.jpg
https://cdn.ncbi.nlm.nih.gov/pmc/blobs/238f/12092789/f4a202e48ec3/41392_2025_2250_Fig1_HTML.jpg
https://cdn.ncbi.nlm.nih.gov/pmc/blobs/238f/12092789/61e1b03fca85/41392_2025_2250_Fig2_HTML.jpg
https://cdn.ncbi.nlm.nih.gov/pmc/blobs/238f/12092789/b339d8705ce1/41392_2025_2250_Fig3_HTML.jpg
https://cdn.ncbi.nlm.nih.gov/pmc/blobs/238f/12092789/2f715508a243/41392_2025_2250_Fig4_HTML.jpg
https://cdn.ncbi.nlm.nih.gov/pmc/blobs/238f/12092789/07cad2afff72/41392_2025_2250_Fig5_HTML.jpg
https://cdn.ncbi.nlm.nih.gov/pmc/blobs/238f/12092789/ea05e6227408/41392_2025_2250_Fig6_HTML.jpg
https://cdn.ncbi.nlm.nih.gov/pmc/blobs/238f/12092789/dbc3cc1cf07c/41392_2025_2250_Fig7_HTML.jpg
https://cdn.ncbi.nlm.nih.gov/pmc/blobs/238f/12092789/188de43cba55/41392_2025_2250_Fig8_HTML.jpg
https://cdn.ncbi.nlm.nih.gov/pmc/blobs/238f/12092789/f4a202e48ec3/41392_2025_2250_Fig1_HTML.jpg
https://cdn.ncbi.nlm.nih.gov/pmc/blobs/238f/12092789/61e1b03fca85/41392_2025_2250_Fig2_HTML.jpg
https://cdn.ncbi.nlm.nih.gov/pmc/blobs/238f/12092789/b339d8705ce1/41392_2025_2250_Fig3_HTML.jpg
https://cdn.ncbi.nlm.nih.gov/pmc/blobs/238f/12092789/2f715508a243/41392_2025_2250_Fig4_HTML.jpg
https://cdn.ncbi.nlm.nih.gov/pmc/blobs/238f/12092789/07cad2afff72/41392_2025_2250_Fig5_HTML.jpg
https://cdn.ncbi.nlm.nih.gov/pmc/blobs/238f/12092789/ea05e6227408/41392_2025_2250_Fig6_HTML.jpg
https://cdn.ncbi.nlm.nih.gov/pmc/blobs/238f/12092789/dbc3cc1cf07c/41392_2025_2250_Fig7_HTML.jpg
https://cdn.ncbi.nlm.nih.gov/pmc/blobs/238f/12092789/188de43cba55/41392_2025_2250_Fig8_HTML.jpg

相似文献

1
PKMYT1 kinase ameliorates cisplatin sensitivity in osteosarcoma.PKMYT1激酶改善骨肉瘤对顺铂的敏感性。
Signal Transduct Target Ther. 2025 May 21;10(1):165. doi: 10.1038/s41392-025-02250-7.
2
Epigenetic Inactivation of RIPK3-Dependent Necroptosis Augments Cisplatin Chemoresistance in Human Osteosarcoma.RIPK3 依赖性坏死性凋亡的表观遗传失活增强了人骨肉瘤对顺铂的化疗耐药性。
Int J Mol Sci. 2025 Apr 18;26(8):3863. doi: 10.3390/ijms26083863.
3
Long non-coding RNA ROR regulated ABCB1 to induce cisplatin resistance in osteosarcoma by sponging miR-153-3p.长链非编码 RNA ROR 通过海绵吸附 miR-153-3p 调控 ABCB1 诱导骨肉瘤顺铂耐药。
Eur Rev Med Pharmacol Sci. 2019 Sep;23(17):7256-7265. doi: 10.26355/eurrev_201909_18828.
4
Systematic screening for potential therapeutic targets in osteosarcoma through a kinome-wide CRISPR-Cas9 library.通过全激酶组 CRISPR-Cas9 文库对骨肉瘤进行潜在治疗靶点的系统筛选。
Cancer Biol Med. 2020 Aug 15;17(3):782-794. doi: 10.20892/j.issn.2095-3941.2020.0162.
5
Inhibition of beclin1 affects the chemotherapeutic sensitivity of osteosarcoma.抑制贝林1会影响骨肉瘤的化疗敏感性。
Int J Clin Exp Pathol. 2014 Sep 15;7(10):7114-22. eCollection 2014.
6
Tanshinone II A Facilitates Chemosensitivity of Osteosarcoma Cells to Cisplatin via Activation of p38 MAPK Pathway.丹参酮IIA通过激活p38丝裂原活化蛋白激酶途径促进骨肉瘤细胞对顺铂的化疗敏感性。
Chin J Integr Med. 2025 Apr;31(4):326-335. doi: 10.1007/s11655-024-4118-5. Epub 2024 Nov 5.
7
Genome-wide CRISPR screens identify PKMYT1 as a therapeutic target in pancreatic ductal adenocarcinoma.全基因组 CRISPR 筛选鉴定 PKMYT1 为胰腺导管腺癌的治疗靶点。
EMBO Mol Med. 2024 May;16(5):1115-1142. doi: 10.1038/s44321-024-00060-y. Epub 2024 Apr 3.
8
Downregulated Long Non-Coding RNA MSC-AS1 Inhibits Osteosarcoma Progression and Increases Sensitivity to Cisplatin by Binding to MicroRNA-142.下调的长链非编码 RNA MSC-AS1 通过与 microRNA-142 结合抑制骨肉瘤进展并增加顺铂敏感性
Med Sci Monit. 2020 Mar 10;26:e921594. doi: 10.12659/MSM.921594.
9
Anticancer potential of TUG1 knockdown in cisplatin-resistant osteosarcoma through inhibition of MET/Akt signalling.TUG1 knockdown 在顺铂耐药骨肉瘤中的抑癌作用通过抑制 MET/Akt 信号通路。
J Drug Target. 2020 Feb;28(2):204-211. doi: 10.1080/1061186X.2019.1644651. Epub 2019 Jul 24.
10
LncRNA NORAD targets miR-410-3p to regulate drug resistance sensitivity of osteosarcoma.长链非编码 RNA NORAD 通过靶向 miR-410-3p 调节骨肉瘤的耐药敏感性。
Cell Mol Biol (Noisy-le-grand). 2020 Jun 5;66(3):143-148.

引用本文的文献

1
Necroptosis in cancer: insight from epigenetic, post-transcriptional and post-translational modifications.癌症中的坏死性凋亡:来自表观遗传、转录后和翻译后修饰的见解
J Hematol Oncol. 2025 Jul 30;18(1):77. doi: 10.1186/s13045-025-01726-x.

本文引用的文献

1
mA-Modified SNRPA Controls Alternative Splicing of ERCC1 Exon 8 to Induce Cisplatin Resistance in Lung Adenocarcinoma.mA修饰的SNRPA控制ERCC1外显子8的可变剪接以诱导肺腺癌顺铂耐药。
Adv Sci (Weinh). 2024 Dec;11(47):e2404609. doi: 10.1002/advs.202404609. Epub 2024 Nov 18.
2
Development of a novel treatment based on PKMYT1 inhibition for cisplatin-resistant bladder cancer with miR-424-5p-dependent cyclin E1 amplification.基于 miR-424-5p 依赖的 cyclin E1 扩增的 PKMYT1 抑制治疗顺铂耐药膀胱癌的新方法的开发。
BMC Cancer. 2024 Oct 29;24(1):1333. doi: 10.1186/s12885-024-13109-5.
3
PRKDC Induces Chemoresistance in Osteosarcoma by Recruiting GDE2 to Stabilize GNAS and Activate AKT.
PRKDC 通过招募 GDE2 稳定 GNAS 并激活 AKT 在骨肉瘤中诱导化疗耐药。
Cancer Res. 2024 Sep 4;84(17):2873-2887. doi: 10.1158/0008-5472.CAN-24-0163.
4
Genome-wide CRISPR screens identify PKMYT1 as a therapeutic target in pancreatic ductal adenocarcinoma.全基因组 CRISPR 筛选鉴定 PKMYT1 为胰腺导管腺癌的治疗靶点。
EMBO Mol Med. 2024 May;16(5):1115-1142. doi: 10.1038/s44321-024-00060-y. Epub 2024 Apr 3.
5
Transcription factor E2F7 activates PKMYT1 to partially suppress adriamycin sensitivity in gastric cancer through the MAPK signaling pathway.转录因子E2F7通过丝裂原活化蛋白激酶(MAPK)信号通路激活PKMYT1,从而部分抑制胃癌对阿霉素的敏感性。
Rev Invest Clin. 2024 Mar 1;76(1):6-17. doi: 10.24875/RIC.23000180.
6
Abrogation of the G2/M checkpoint as a chemosensitization approach for alkylating agents.取消 G2/M 检查点作为烷化剂的化疗增敏方法。
Neuro Oncol. 2024 Jun 3;26(6):1083-1096. doi: 10.1093/neuonc/noad252.
7
MG modification of FTH1 and pri-miR-26a regulates ferroptosis and chemotherapy resistance in osteosarcoma.MG 修饰 FTH1 和 pri-miR-26a 调控骨肉瘤中的铁死亡和化疗耐药性。
Oncogene. 2024 Jan;43(5):341-353. doi: 10.1038/s41388-023-02882-5. Epub 2023 Dec 1.
8
Transcription factor TEAD4 facilitates glycolysis and proliferation of gastric cancer cells by activating PKMYT1.转录因子 TEAD4 通过激活 PKMYT1 促进胃癌细胞的糖酵解和增殖。
Mol Cell Probes. 2023 Dec;72:101932. doi: 10.1016/j.mcp.2023.101932. Epub 2023 Nov 2.
9
Molecular MRD is strongly prognostic in patients with NPM1-mutated AML receiving venetoclax-based nonintensive therapy.分子 MRD 对接受维奈托克为基础的非强化治疗的 NPM1 突变 AML 患者具有很强的预后价值。
Blood. 2024 Jan 25;143(4):336-341. doi: 10.1182/blood.2023021579.
10
Integrated multiomic analysis and high-throughput screening reveal potential gene targets and synergetic drug combinations for osteosarcoma therapy.综合多组学分析和高通量筛选揭示骨肉瘤治疗的潜在基因靶点和协同药物组合。
MedComm (2020). 2023 Jul 12;4(4):e317. doi: 10.1002/mco2.317. eCollection 2023 Aug.