Suppr超能文献

高脂饮食(HFD)通过黄颡鱼的Parkin依赖性线粒体自噬和Errα信号诱导肝脏脂肪生成代谢和脂毒性。

High fat diet (HFD) induced hepatic lipogenic metabolism and lipotoxicity via Parkin-dependent mitophagy and Errα signal of Pelteobagrus fulvidraco.

作者信息

Yu Angen, Hao Zhiwei, Wei Xiaolei, Tan Xiaoying, Zito Ester, Zheng Hua, Luo Zhi

机构信息

Hubei Hongshan Laboratory, Fishery College, Huazhong Agricultural University, Wuhan, 430070, China.

Istituto Di Ricerche Farmacologiche Mario Negri IRCCS, Milan, 20156, Italy.

出版信息

J Anim Sci Biotechnol. 2025 May 21;16(1):71. doi: 10.1186/s40104-025-01200-1.

Abstract

BACKGROUND

Mitophagy is an essential cellular autophagic process which maintains mitochondrial homeostasis, but its role in high fat diet (HFD)-induced lipid accumulation is unclear in the yellow catfish. Thus, this study aimed to elucidate mechanism of mitochondria mediating HFD-induced hepatic fat accumulation.

RESULTS

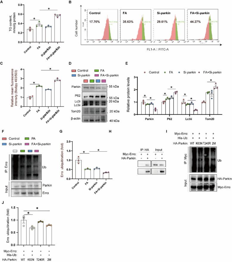
In the present study, yellow catfish were fed three diets with dietary fat at 6.31% (low fat; LFD, control), 12.03% (middle fat; MFD) and 15.32% (high fat; HFD), respectively, for 8 weeks. High dietary fat addition raised hepatic lipid accumulation, and declined mRNA and protein levels of Parkin-dependent mitophagy, down-regulated the Parkin protein expression and the estrogen-related receptor alpha (Errα) ubiquitination, and induced Errα protein levels; fatty acid (FA) incubation reduced Parkin-dependent mitophagy, inhibited Errα ubiquitination and increased Errα protein expression, and raised TG accumulation. Furthermore, yellow catfish hepatocytes were isolated and cultured. Nicotinamide mononucleotide, N-acetyl-L-cysteine, Parkin and errα siRNA knockdown were used under FA incubation, respectively. Parkin downregulation mediated FA incubation-induced TG accumulation and mitoautophagic inhibition; Parkin ubiquitinated Errα, and K63 was an important ubiquitination site for deubiquitinating Parkin activity; Errα targets fas, acca and pparγ genes, whose activation contributed to FA-induced lipogenesis and lipid accumulation. Thus, high fat diet (HFD) and FA incubation inhibited Parkin activity, suppressed mitophagy and activated Errα pathway, and induced hepatic lipogenic metabolism and lipotoxicity.

CONCLUSIONS

Overall, our study provided new targets against HFD-induced hepatic lipid accumulation and non-alcoholic fatty liver disease in the vertebrates.

摘要

背景

线粒体自噬是一种重要的细胞自噬过程,可维持线粒体稳态,但其在高脂饮食(HFD)诱导的黄颡鱼脂质积累中的作用尚不清楚。因此,本研究旨在阐明线粒体介导HFD诱导的肝脏脂肪积累的机制。

结果

在本研究中,分别用脂肪含量为6.31%(低脂;LFD,对照)、12.03%(中脂;MFD)和15.32%(高脂;HFD)的三种饲料喂养黄颡鱼8周。高膳食脂肪添加量增加了肝脏脂质积累,降低了Parkin依赖性线粒体自噬的mRNA和蛋白质水平,下调了Parkin蛋白表达和雌激素相关受体α(Errα)泛素化,并诱导了Errα蛋白水平;脂肪酸(FA)孵育降低了Parkin依赖性线粒体自噬,抑制了Errα泛素化并增加了Errα蛋白表达,并提高了甘油三酯(TG)积累。此外,分离并培养了黄颡鱼肝细胞。在FA孵育条件下分别使用烟酰胺单核苷酸、N-乙酰-L-半胱氨酸、Parkin和errα siRNA敲低。Parkin下调介导了FA孵育诱导的TG积累和线粒体自噬抑制;Parkin使Errα泛素化,且K63是去泛素化Parkin活性的重要泛素化位点;Errα靶向fas、acca和pparγ基因,其激活促进了FA诱导的脂肪生成和脂质积累。因此,高脂饮食(HFD)和FA孵育抑制了Parkin活性,抑制了线粒体自噬并激活了Errα途径,诱导了肝脏脂肪生成代谢和脂毒性。

结论

总体而言,我们的研究为对抗脊椎动物中HFD诱导的肝脏脂质积累和非酒精性脂肪性肝病提供了新的靶点。

https://cdn.ncbi.nlm.nih.gov/pmc/blobs/a0e5/12093751/0bff97743814/40104_2025_1200_Fig1_HTML.jpg

文献AI研究员

20分钟写一篇综述,助力文献阅读效率提升50倍。

立即体验

用中文搜PubMed

大模型驱动的PubMed中文搜索引擎

马上搜索

文档翻译

学术文献翻译模型,支持多种主流文档格式。

立即体验