• 文献检索
  • 文档翻译
  • 深度研究
  • 学术资讯
  • Suppr Zotero 插件Zotero 插件
  • 邀请有礼
  • 套餐&价格
  • 历史记录
应用&插件
Suppr Zotero 插件Zotero 插件浏览器插件Mac 客户端Windows 客户端微信小程序
定价
高级版会员购买积分包购买API积分包
服务
文献检索文档翻译深度研究API 文档MCP 服务
关于我们
关于 Suppr公司介绍联系我们用户协议隐私条款
关注我们

Suppr 超能文献

核心技术专利:CN118964589B侵权必究
粤ICP备2023148730 号-1Suppr @ 2026

文献检索

告别复杂PubMed语法,用中文像聊天一样搜索,搜遍4000万医学文献。AI智能推荐,让科研检索更轻松。

立即免费搜索

文件翻译

保留排版,准确专业,支持PDF/Word/PPT等文件格式,支持 12+语言互译。

免费翻译文档

深度研究

AI帮你快速写综述,25分钟生成高质量综述,智能提取关键信息,辅助科研写作。

立即免费体验

双“动态”球囊房间隔造口术。针对房间隔增厚病例对拉什金德医生技术的新改良。

Double "dynamic" balloon atrial septostomy. New modification of Dr. Rashkind's technique for cases with thickened interatrial septum.

作者信息

Colín-Ortiz José L, Silva-Quijano Roberto, Silva-Estrada Jorge Alberto, Maldonado-Alonso Roberto I, Munive-Molina Ever, Pérez-Pérez Linda F, Zamudio-Meneses Rigoberto, Corona-Villalobos Carlos A, Cabrera-González Hugo, Tepatzi-Carranco Roberto, Sánchez-González Sylvia K, Garrido-García Luis Martin, Bobadilla-Aguirre Alfredo, López-Terrazas Javier

机构信息

Department of Pediatric Cardiology, National Institute of Pediatrics, México City, México.

Department of Pediatric Cardiology, Hospital for the Poblano Child, Puebla, México.

出版信息

Arch Cardiol Mex. 2025 May 7;95(3):206-214. doi: 10.24875/ACM.24000128.

DOI:10.24875/ACM.24000128
PMID:40397904
原文链接:https://pmc.ncbi.nlm.nih.gov/articles/PMC12324840/
Abstract

OBJECTIVES

Balloon atrial septostomy (BAS) is a palliative procedure mainly for newborns with transposition of the great arteries, currently, this procedure has a class IA recommendation. However, in some cases, this procedure does not achieve an adequate interatrial defect, due mainly to a thickened interatrial septum, this situation led to the development of various techniques to tackle this problem. Therefore, we made a modification to the original technique using two balloons simultaneously instead of one. The objective of this study is to analyze the results of this new modification to the traditional technique (with one balloon) as an alternative for cases with thickened interatrial septum.

METHODS

A retrospective and descriptive study from May 2010 to December 2022 was conducted in three pediatric centers.

RESULTS

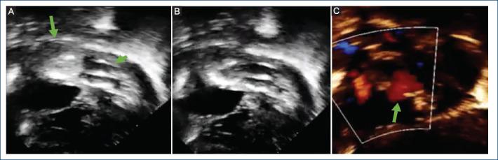
Six patients were identified (median age 35 days, median weight 3.4 kg, median size of atrial septal defect before procedure 2.6 mm). All patients underwent to this modification of the BAS with good results and without complications. The modification has some advantages: including to avoid the using of cutting devices or stent placement. In addition, we share the description of this new technique, titled: double "dynamic" BAS.

CONCLUSION

This brief evidence shown that this modification of de original technique is easy, safe, and cost-effective for cases with a thickened interatrial septum.

摘要

目的

球囊房间隔造口术(BAS)是一种主要用于大动脉转位新生儿的姑息性手术,目前该手术有IA类推荐。然而,在某些情况下,该手术无法形成足够的房间隔缺损,主要原因是房间隔增厚,这种情况促使人们开发各种技术来解决这个问题。因此,我们对原技术进行了改进,同时使用两个球囊而非一个。本研究的目的是分析这种对传统技术(使用一个球囊)的新改进在房间隔增厚病例中的应用效果。

方法

2010年5月至2022年12月在三个儿科中心进行了一项回顾性描述性研究。

结果

共确定6例患者(中位年龄35天,中位体重3.4kg,术前房间隔缺损中位大小2.6mm)。所有患者均接受了这种改良的BAS,效果良好且无并发症。该改良有一些优点:包括避免使用切割装置或放置支架。此外,我们分享了这项新技术的描述,名为:双“动态”BAS。

结论

这一简短证据表明,对于房间隔增厚的病例,这种对原技术的改良简单、安全且具有成本效益。

https://cdn.ncbi.nlm.nih.gov/pmc/blobs/c721/12324840/1b3d290e27fd/10971AMEX253-ACM-95-206-g008.jpg
https://cdn.ncbi.nlm.nih.gov/pmc/blobs/c721/12324840/98d1f3b393b3/10971AMEX253-ACM-95-206-g001.jpg
https://cdn.ncbi.nlm.nih.gov/pmc/blobs/c721/12324840/6cd1084ba682/10971AMEX253-ACM-95-206-g002.jpg
https://cdn.ncbi.nlm.nih.gov/pmc/blobs/c721/12324840/298c6a3593f1/10971AMEX253-ACM-95-206-g003.jpg
https://cdn.ncbi.nlm.nih.gov/pmc/blobs/c721/12324840/ae1b66c357aa/10971AMEX253-ACM-95-206-g004.jpg
https://cdn.ncbi.nlm.nih.gov/pmc/blobs/c721/12324840/fa92c700a4ad/10971AMEX253-ACM-95-206-g005.jpg
https://cdn.ncbi.nlm.nih.gov/pmc/blobs/c721/12324840/d8df68dced76/10971AMEX253-ACM-95-206-g006.jpg
https://cdn.ncbi.nlm.nih.gov/pmc/blobs/c721/12324840/5f99e16e63e1/10971AMEX253-ACM-95-206-g007.jpg
https://cdn.ncbi.nlm.nih.gov/pmc/blobs/c721/12324840/1b3d290e27fd/10971AMEX253-ACM-95-206-g008.jpg
https://cdn.ncbi.nlm.nih.gov/pmc/blobs/c721/12324840/98d1f3b393b3/10971AMEX253-ACM-95-206-g001.jpg
https://cdn.ncbi.nlm.nih.gov/pmc/blobs/c721/12324840/6cd1084ba682/10971AMEX253-ACM-95-206-g002.jpg
https://cdn.ncbi.nlm.nih.gov/pmc/blobs/c721/12324840/298c6a3593f1/10971AMEX253-ACM-95-206-g003.jpg
https://cdn.ncbi.nlm.nih.gov/pmc/blobs/c721/12324840/ae1b66c357aa/10971AMEX253-ACM-95-206-g004.jpg
https://cdn.ncbi.nlm.nih.gov/pmc/blobs/c721/12324840/fa92c700a4ad/10971AMEX253-ACM-95-206-g005.jpg
https://cdn.ncbi.nlm.nih.gov/pmc/blobs/c721/12324840/d8df68dced76/10971AMEX253-ACM-95-206-g006.jpg
https://cdn.ncbi.nlm.nih.gov/pmc/blobs/c721/12324840/5f99e16e63e1/10971AMEX253-ACM-95-206-g007.jpg
https://cdn.ncbi.nlm.nih.gov/pmc/blobs/c721/12324840/1b3d290e27fd/10971AMEX253-ACM-95-206-g008.jpg

相似文献

1
Double "dynamic" balloon atrial septostomy. New modification of Dr. Rashkind's technique for cases with thickened interatrial septum.双“动态”球囊房间隔造口术。针对房间隔增厚病例对拉什金德医生技术的新改良。
Arch Cardiol Mex. 2025 May 7;95(3):206-214. doi: 10.24875/ACM.24000128.
2
Balloon atrial septostomy and pre-operative brain injury in neonates with transposition of the great arteries: a systematic review and a meta-analysis.大动脉转位新生儿的球囊房间隔造口术与术前脑损伤:一项系统评价和荟萃分析
Cardiol Young. 2012 Feb;22(1):1-7. doi: 10.1017/S1047951111001909. Epub 2011 Nov 9.
3
Prescription of Controlled Substances: Benefits and Risks管制药品的处方:益处与风险
4
Balloon atrioseptostomy for transposition of the great arteries in Europe: characteristics and outcomes.欧洲大动脉转位的球囊房间隔造口术:特征与结局
Rev Esp Cardiol (Engl Ed). 2025 Aug;78(8):694-706. doi: 10.1016/j.rec.2024.12.011. Epub 2025 Jan 10.
5
Suboptimal Interrater Reliability Limits Predictive Value of Fetal Echocardiography for Neonatal Balloon Atrial Septostomy in Fetuses With Dextro-Transposition of the Great Arteries.评估者间可靠性欠佳限制了大动脉转位胎儿超声心动图对新生儿球囊房间隔造口术的预测价值。
J Am Soc Echocardiogr. 2025 Jun 4. doi: 10.1016/j.echo.2025.05.017.
6
[Volume and health outcomes: evidence from systematic reviews and from evaluation of Italian hospital data].[容量与健康结果:来自系统评价和意大利医院数据评估的证据]
Epidemiol Prev. 2013 Mar-Jun;37(2-3 Suppl 2):1-100.
7
Single-Stage Pedicle Preputial Tube Substitution Urethroplasty with Corpora Cavernosa Augmentation Using Buccal Mucosa Graft for Primary Peno-Scrotal Hypospadias Re-pair in Adults.单阶段带蒂包皮管替代尿道成形术联合阴茎海绵体增大术,采用颊黏膜移植治疗成人原发性阴茎阴囊型尿道下裂修复术
Int Braz J Urol. 2025 Jul-Aug;51(4). doi: 10.1590/S1677-5538.IBJU.2024.0650.
8
The Black Book of Psychotropic Dosing and Monitoring.《精神药物剂量与监测黑皮书》
Psychopharmacol Bull. 2024 Jul 8;54(3):8-59.
9
Intravascular brachytherapy for peripheral vascular disease.血管内近距离放射治疗外周血管疾病。
Cochrane Database Syst Rev. 2014 Jan 8;2014(1):CD003504. doi: 10.1002/14651858.CD003504.pub2.
10
The effect of preoperative balloon atrial septostomy and intraoperative parameters on neurodevelopmental scoring in neonates operated for transposition of the great artery.术前球囊房间隔造口术及术中参数对大动脉转位手术新生儿神经发育评分的影响。
Turk Gogus Kalp Damar Cerrahisi Derg. 2025 Apr 30;33(2):185-195. doi: 10.5606/tgkdc.dergisi.2025.26431. eCollection 2025 Apr.

本文引用的文献

1
Improvised bespoke technique for atrial septostomy in the shortage of atrioseptostomy balloon catheters.在缺乏房间隔造口术球囊导管的情况下,用于房间隔造口术的简易定制技术。
Cardiol Young. 2023 Dec;33(12):2654-2656. doi: 10.1017/S1047951123003049. Epub 2023 Aug 25.
2
Wire Atrial Septostomy: A New Technique to Create a Large Defect in a Thickened Atrial Septum.经皮房间隔造口术:一种在增厚的房间隔上造成大缺损的新技术。
World J Pediatr Congenit Heart Surg. 2020 Jul;11(4):NP18-NP21. doi: 10.1177/2150135116686929. Epub 2017 Apr 18.
3
Balloon atrial septostomy: history and technique.
球囊房间隔造口术:历史与技术
Images Paediatr Cardiol. 2006 Jan;8(1):8-14.
4
[Rashkind atrioseptostomy with cutting balloon catheter].[使用切割球囊导管进行拉什金德房间隔造口术]
An Pediatr (Barc). 2007 Sep;67(3):275-6. doi: 10.1016/s1695-4033(07)70619-7.
5
Transposition of the great arteries. Results of palliation by balloon atrioseptostomy in thirty-one infants.
Circulation. 1968 Sep;38(3):453-62. doi: 10.1161/01.cir.38.3.453.
6
Creation of an atrial septal defect without thoracotomy. A palliative approach to complete transposition of the great arteries.不进行开胸手术创建房间隔缺损。一种用于完全性大动脉转位的姑息治疗方法。
JAMA. 1966 Jun 13;196(11):991-2.
7
A new atrial septostomy technique.一种新的房间隔造口术技术。
Cathet Cardiovasc Diagn. 1975;1(2):195-201. doi: 10.1002/ccd.1810010210.