Suppr超能文献

肠道机会致病菌通过升高溶血磷脂酰胆碱和引发炎症,导致高原肺水肿。

Gut opportunistic pathogens contribute to high-altitude pulmonary edema by elevating lysophosphatidylcholines and inducing inflammation.

作者信息

Sun Xianduo, Hu Gaosheng, Li Yuting, Li Wenjing, Wang Yong, Yan Hui, Long Guoqing, Zhao Long, Wang Anhua, Jia Jingming

机构信息

Department of Traditional Chinese Materia Medica, Shenyang Pharmaceutical University, Shenyang, Liaoning, China.

Department of Pharmacology, Shenyang Pharmaceutical University, Shenyang, Liaoning, China.

出版信息

Microbiol Spectr. 2025 Jul;13(7):e0305724. doi: 10.1128/spectrum.03057-24. Epub 2025 May 22.

Abstract

UNLABELLED

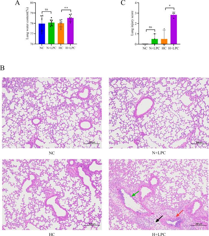
Gut microbiota have been found to promote hypoxia-induced intestinal injury. However, the role of gut microbiota in high-altitude pulmonary edema (HAPE), the preventive effect of synbiotic on HAPE, and the mechanisms by which they might work remain unknown. In this study, we aimed to investigate the role of gut microbiota in the pathogenesis of HAPE and to explore the underlying mechanisms involved. We performed a fecal microbiome analysis and found a significant decrease in intestinal and , along with a notable increase in intestinal and , as volunteers recovered from acute mountain sickness (AMS). Gavage colonization with and induced plasma inflammation, increased plasma lysophosphatidylcholine (LPC) levels, and contributed to HAPE in rats at a simulated altitude of 6,500 m. Conversely, a synbiotic containing , , fructooligosaccharides, and isomaltose-oligosaccharides significantly reduced the severity of HAPE. Cellular experiments and molecular dynamics simulations revealed that LPCs can cause damage and permeability to human pulmonary microvascular endothelial cell (HPMEC) and human pulmonary alveolar epithelial cell (HPAEpiC) monolayers under hypoxic conditions by disrupting cell membrane integrity. In addition, tail vein injection of LPCs promoted HAPE in mice at a simulated altitude of 6,500 m. In conclusion, this study describes a gut microbiota-LPCs/inflammation-HAPE axis, an important new insight into HAPE that will help open avenues for prevention and treatment approaches.

IMPORTANCE

The role of the gut microbiota in high-altitude pulmonary edema (HAPE) is currently unknown. This study found that intestinal and contribute to HAPE by inducing inflammation and increasing lysophosphatidylcholine (LPC) levels under hypoxic conditions. Conversely, a synbiotic containing , , fructooligosaccharides, and isomaltose-oligosaccharides significantly reduced the severity of HAPE. Further investigation revealed that LPCs can cause damage and permeability to human pulmonary microvascular endothelial cell (HPMEC) and human pulmonary alveolar epithelial cell (HPAEpiC) monolayers under hypoxic conditions by disrupting cell membrane integrity. These findings contribute to the understanding of the pathogenesis of HAPE and will benefit populations living at high altitude or traveling from low to high altitude.

摘要

未标注

已发现肠道微生物群会促进缺氧诱导的肠道损伤。然而,肠道微生物群在高原肺水肿(HAPE)中的作用、合生元对HAPE的预防作用及其可能的作用机制仍不清楚。在本研究中,我们旨在研究肠道微生物群在HAPE发病机制中的作用,并探索其中的潜在机制。我们进行了粪便微生物组分析,发现随着志愿者从急性高山病(AMS)中恢复,肠道 和 显著减少,同时肠道 和 显著增加。用 和 进行灌胃定植可诱导血浆炎症,增加血浆溶血磷脂酰胆碱(LPC)水平,并导致模拟海拔6500米的大鼠发生HAPE。相反,一种含有 、 、低聚果糖和异麦芽糖低聚糖的合生元显著降低了HAPE的严重程度。细胞实验和分子动力学模拟表明,在缺氧条件下,LPCs可通过破坏细胞膜完整性对人肺微血管内皮细胞(HPMEC)和人肺泡上皮细胞(HPAEpiC)单层造成损伤并增加其通透性。此外,尾静脉注射LPCs可促进模拟海拔6500米的小鼠发生HAPE。总之,本研究描述了一种肠道微生物群-LPCs/炎症-HAPE轴,这是对HAPE的一个重要新见解,将有助于为预防和治疗方法开辟道路。

重要性

肠道微生物群在高原肺水肿(HAPE)中的作用目前尚不清楚。本研究发现,肠道 和 通过在缺氧条件下诱导炎症和增加溶血磷脂酰胆碱(LPC)水平导致HAPE。相反,一种含有 、 、低聚果糖和异麦芽糖低聚糖的合生元显著降低了HAPE的严重程度。进一步研究表明,在缺氧条件下,LPCs可通过破坏细胞膜完整性对人肺微血管内皮细胞(HPMEC)和人肺泡上皮细胞(HPAEpiC)单层造成损伤并增加其通透性。这些发现有助于理解HAPE的发病机制,并将造福于生活在高海拔地区或从低海拔到高海拔旅行的人群。

https://cdn.ncbi.nlm.nih.gov/pmc/blobs/4adb/12210943/d02570ec2807/spectrum.03057-24.f001.jpg

文献检索

告别复杂PubMed语法,用中文像聊天一样搜索,搜遍4000万医学文献。AI智能推荐,让科研检索更轻松。

立即免费搜索

文件翻译

保留排版,准确专业,支持PDF/Word/PPT等文件格式,支持 12+语言互译。

免费翻译文档

深度研究

AI帮你快速写综述,25分钟生成高质量综述,智能提取关键信息,辅助科研写作。

立即免费体验