• 文献检索
  • 文档翻译
  • 深度研究
  • 学术资讯
  • Suppr Zotero 插件Zotero 插件
  • 邀请有礼
  • 套餐&价格
  • 历史记录
应用&插件
Suppr Zotero 插件Zotero 插件浏览器插件Mac 客户端Windows 客户端微信小程序
定价
高级版会员购买积分包购买API积分包
服务
文献检索文档翻译深度研究API 文档MCP 服务
关于我们
关于 Suppr公司介绍联系我们用户协议隐私条款
关注我们

Suppr 超能文献

核心技术专利:CN118964589B侵权必究
粤ICP备2023148730 号-1Suppr @ 2026

文献检索

告别复杂PubMed语法,用中文像聊天一样搜索,搜遍4000万医学文献。AI智能推荐,让科研检索更轻松。

立即免费搜索

文件翻译

保留排版,准确专业,支持PDF/Word/PPT等文件格式,支持 12+语言互译。

免费翻译文档

深度研究

AI帮你快速写综述,25分钟生成高质量综述,智能提取关键信息,辅助科研写作。

立即免费体验

对提供高纯度快速扩增克隆的大鼠嗜铬细胞瘤细胞的生长潜力评估及其在三叉神经再生中的潜在应用

Evaluation of Outgrowth Potential of Rat Pheochromocytoma Cells Supplied with Highly Purified Rapidly Expanding Clones and Potential Application to Trigeminal Nerve Regeneration.

作者信息

Ramanathan Mrunalini, Rahman Md Mahbobur, Shijirbold Ankhtsetseg, Mahmod Md Rashel, Miyauchi Hiromi, Matsuzaki Yumi, Kanno Takahiro, Fujita Yuki

机构信息

Department of Oral and Maxillofacial Surgery, Shimane University Faculty of Medicine, 89-1 Enya-cho, Izumo City 693-8501, Shimane, Japan.

Department of Anatomy and Developmental Biology, Shimane University Faculty of Medicine, 89-1 Enya-cho, Izumo City 693-8501, Shimane, Japan.

出版信息

NeuroSci. 2025 May 2;6(2):39. doi: 10.3390/neurosci6020039.

DOI:10.3390/neurosci6020039
PMID:40407612
原文链接:https://pmc.ncbi.nlm.nih.gov/articles/PMC12101362/
Abstract

BACKGROUND

Mesenchymal stem/stromal cells (MSCs) are non-hematopoietic, plastic-adherent, and self-renewing cells capable of in vitro trilineage differentiation into fat, bone, and cartilage tissue. Suggestively, MSCs have additional plasticity, as demonstrated by their ability to differentiate in vitro into myocytes, neuron-like cells, and hepatocytes. MSCs are ideal for therapeutic application owing to their numerous advantages; they exhibit limited growth and differentiation abilities, leading to heterogeneous cell populations with inconsistent functions. However, highly purified MSCs, namely, rapidly expanding clones (RECs) that are isolated by single-cell sorting, display uniform functionality. RECs have the potential to offer many benefits, such as transplantable cells for treating several disorders of bone, heart, peripheral nerves, brain, and other organs. This study aimed to assess the effects of RECs on the pheochromocytoma (PC12) cell line, a well-known neuronal cell model.

METHODS

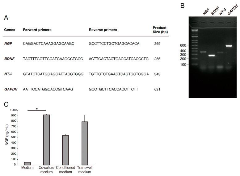
PC12 cells were cultured under the following conditions: co-culture with RECs, treatment with REC-derived conditioned medium (CM), or co-culture with RECs using Transwell inserts for 7 days. The cells were stained with anti-βIII-tubulin antibody; the lengths of neurites were measured by image analysis.

RESULTS

Regarding the co-culture with RECs, PC12's outgrowth was significantly increased. The RECs expressed nerve growth factor (NGF), a neurotrophic factor that could act on PC12 cells to trigger cellular differentiation.

CONCLUSIONS

Our findings suggest that RECs via direct culture, intercellular communication in Transwell culture, and RECs CM promoted PC12 cell survival and outgrowth via NGF signaling.

摘要

背景

间充质干/基质细胞(MSCs)是非造血、贴壁生长且能自我更新的细胞,能够在体外向脂肪、骨和软骨组织进行三系分化。提示性地,MSCs具有额外的可塑性,这已通过它们在体外分化为肌细胞、神经元样细胞和肝细胞的能力得到证明。由于其众多优点,MSCs是治疗应用的理想选择;然而,它们的生长和分化能力有限,导致细胞群体功能不一致且异质性。然而,高度纯化的MSCs,即通过单细胞分选分离出的快速扩增克隆(RECs),具有统一的功能。RECs有潜力带来许多益处,例如可用于治疗多种骨、心脏、外周神经、脑和其他器官疾病的可移植细胞。本研究旨在评估RECs对嗜铬细胞瘤(PC12)细胞系(一种著名的神经元细胞模型)的影响。

方法

PC12细胞在以下条件下培养:与RECs共培养、用RECs来源的条件培养基(CM)处理或使用Transwell小室与RECs共培养7天。细胞用抗βIII-微管蛋白抗体染色;通过图像分析测量神经突长度。

结果

关于与RECs共培养,PC12的生长显著增加。RECs表达神经生长因子(NGF),这是一种神经营养因子,可作用于PC12细胞以触发细胞分化。

结论

我们的研究结果表明,RECs通过直接培养、Transwell培养中的细胞间通讯以及RECs CM,通过NGF信号通路促进了PC12细胞的存活和生长。

https://cdn.ncbi.nlm.nih.gov/pmc/blobs/678b/12101362/7f05258b8e46/neurosci-06-00039-g003.jpg
https://cdn.ncbi.nlm.nih.gov/pmc/blobs/678b/12101362/6a560a9c439b/neurosci-06-00039-g001.jpg
https://cdn.ncbi.nlm.nih.gov/pmc/blobs/678b/12101362/06b256d1e66a/neurosci-06-00039-g002.jpg
https://cdn.ncbi.nlm.nih.gov/pmc/blobs/678b/12101362/7f05258b8e46/neurosci-06-00039-g003.jpg
https://cdn.ncbi.nlm.nih.gov/pmc/blobs/678b/12101362/6a560a9c439b/neurosci-06-00039-g001.jpg
https://cdn.ncbi.nlm.nih.gov/pmc/blobs/678b/12101362/06b256d1e66a/neurosci-06-00039-g002.jpg
https://cdn.ncbi.nlm.nih.gov/pmc/blobs/678b/12101362/7f05258b8e46/neurosci-06-00039-g003.jpg

相似文献

1
Evaluation of Outgrowth Potential of Rat Pheochromocytoma Cells Supplied with Highly Purified Rapidly Expanding Clones and Potential Application to Trigeminal Nerve Regeneration.对提供高纯度快速扩增克隆的大鼠嗜铬细胞瘤细胞的生长潜力评估及其在三叉神经再生中的潜在应用
NeuroSci. 2025 May 2;6(2):39. doi: 10.3390/neurosci6020039.
2
Highly-purified rapidly expanding clones, RECs, are superior for functional-mitochondrial transfer.高纯度快速扩增克隆(RECs)是用于功能线粒体转移的理想选择。
Stem Cell Res Ther. 2023 Mar 16;14(1):40. doi: 10.1186/s13287-023-03274-y.
3
Dental pulp stem cells stimulate neuronal differentiation of PC12 cells.牙髓干细胞刺激PC12细胞的神经元分化。
Neural Regen Res. 2021 Sep;16(9):1821-1828. doi: 10.4103/1673-5374.306089.
4
Human pluripotent stem cell-derived ectomesenchymal stromal cells promote more robust functional recovery than umbilical cord-derived mesenchymal stromal cells after hypoxic-ischaemic brain damage.人多能干细胞衍生的外胚间充质基质细胞比脐带来源的间充质基质细胞在缺氧缺血性脑损伤后更能促进更强的功能恢复。
Theranostics. 2022 Jan 1;12(1):143-166. doi: 10.7150/thno.57234. eCollection 2022.
5
Effect of nerve growth factor producing cells on anaplastic glioma and pheochromocytoma clones: involvement of other factors.产生神经生长因子的细胞对间变性胶质瘤和嗜铬细胞瘤克隆的影响:其他因素的参与
J Neurosci Res. 1981;6(3):389-401. doi: 10.1002/jnr.490060314.
6
AMP-activated kinase mediates adipose stem cell-stimulated neuritogenesis of PC12 cells.AMP 激活的蛋白激酶介导脂肪干细胞刺激 PC12 细胞的突起生长。
Neuroscience. 2011 May 5;181:40-7. doi: 10.1016/j.neuroscience.2011.02.038. Epub 2011 Feb 22.
7
Human placental eXpanded (PLX) mesenchymal-like adherent stromal cells confer neuroprotection to nerve growth factor (NGF)-differentiated PC12 cells exposed to ischemia by secretion of IL-6 and VEGF.人胎盘扩增(PLX)间充质样贴壁基质细胞通过分泌白细胞介素-6(IL-6)和血管内皮生长因子(VEGF),对暴露于缺血环境的经神经生长因子(NGF)分化的PC12细胞具有神经保护作用。
Biochim Biophys Acta. 2015 Feb;1853(2):422-30. doi: 10.1016/j.bbamcr.2014.11.009. Epub 2014 Nov 15.
8
Soluble factors from rat basophilic leukemia (RBL-2H3) cells stimulated cooperatively the neurite outgrowth of PC12 cells.来自大鼠嗜碱性白血病(RBL - 2H3)细胞的可溶性因子协同刺激了PC12细胞的神经突生长。
Biol Pharm Bull. 1998 Dec;21(12):1267-70. doi: 10.1248/bpb.21.1267.
9
MELAS-Derived Neurons Functionally Improve by Mitochondrial Transfer from Highly Purified Mesenchymal Stem Cells (REC).MELAS 衍生神经元通过源自高度纯化间充质干细胞(REC)的线粒体转移功能得到改善。
Int J Mol Sci. 2023 Dec 6;24(24):17186. doi: 10.3390/ijms242417186.
10
Human umbilical cord Wharton's jelly-derived mesenchymal stem cells differentiate into a Schwann-cell phenotype and promote neurite outgrowth in vitro.人脐带华通氏胶源间充质干细胞分化为施万细胞表型并促进体外轴突生长。
Brain Res Bull. 2011 Feb 28;84(3):235-43. doi: 10.1016/j.brainresbull.2010.12.013. Epub 2010 Dec 29.

本文引用的文献

1
Activation of Mitochondria in Mesenchymal Stem Cells by Mitochondrial Delivery of Coenzyme Q.辅酶 Q 通过线粒体递送至间充质干细胞中以激活线粒体。
Biol Pharm Bull. 2024;47(8):1415-1421. doi: 10.1248/bpb.b24-00284.
2
Highly-purified rapidly expanding clones, RECs, are superior for functional-mitochondrial transfer.高纯度快速扩增克隆(RECs)是用于功能线粒体转移的理想选择。
Stem Cell Res Ther. 2023 Mar 16;14(1):40. doi: 10.1186/s13287-023-03274-y.
3
Peripheral Nerve Regeneration: Opportunities and Challenges.周围神经再生:机遇与挑战。
J Spine Res Surg. 2023;5(1):10-18. doi: 10.26502/fjsrs0052. Epub 2023 Feb 8.
4
Cellular expansion of MSCs: Shifting the regenerative potential.MSC 的细胞扩增:改变再生潜能。
Aging Cell. 2023 Jan;22(1):e13759. doi: 10.1111/acel.13759. Epub 2022 Dec 19.
5
Morphology-based noninvasive early prediction of serial-passage potency enhances the selection of clone-derived high-potency cell bank from mesenchymal stem cells.基于形态学的连续传代潜能无创早期预测可增强从间充质干细胞中筛选克隆来源的高效能细胞库的能力。
Inflamm Regen. 2022 Oct 2;42(1):30. doi: 10.1186/s41232-022-00214-w.
6
Mesenchymal Stromal Cell-Conditioned Medium for Skin Diseases: A Systematic Review.用于皮肤病的间充质基质细胞条件培养基:一项系统综述。
Front Cell Dev Biol. 2021 Jul 23;9:654210. doi: 10.3389/fcell.2021.654210. eCollection 2021.
7
Dental pulp stem cells stimulate neuronal differentiation of PC12 cells.牙髓干细胞刺激PC12细胞的神经元分化。
Neural Regen Res. 2021 Sep;16(9):1821-1828. doi: 10.4103/1673-5374.306089.
8
Pheochromocytoma/paraganglioma preclinical models: which to use and why?嗜铬细胞瘤/副神经节瘤临床前模型:用哪种以及为何选用?
Endocr Connect. 2020 Dec;9(12):R251-R260. doi: 10.1530/EC-20-0472.
9
Peripheral Nerve Regeneration and Muscle Reinnervation.周围神经再生和肌肉神经再支配。
Int J Mol Sci. 2020 Nov 17;21(22):8652. doi: 10.3390/ijms21228652.
10
PC12 Cell Line: Cell Types, Coating of Culture Vessels, Differentiation and Other Culture Conditions.PC12 细胞系:细胞类型、培养器皿包被、分化和其他培养条件。
Cells. 2020 Apr 14;9(4):958. doi: 10.3390/cells9040958.