Suppr超能文献

双重麻烦:肼屈嗪诱发血管炎和狼疮的病例报告

Double Trouble: A Case Report of Hydralazine-Induced Vasculitis and Lupus.

作者信息

Ibrahim Malika, Aung Thanda, Penumarty Sravani

机构信息

Department of Medicine, Division of Rheumatology, University of California Los Angeles David Geffen School of Medicine, Los Angeles, USA.

出版信息

Cureus. 2025 Apr 29;17(4):e83202. doi: 10.7759/cureus.83202. eCollection 2025 Apr.

Abstract

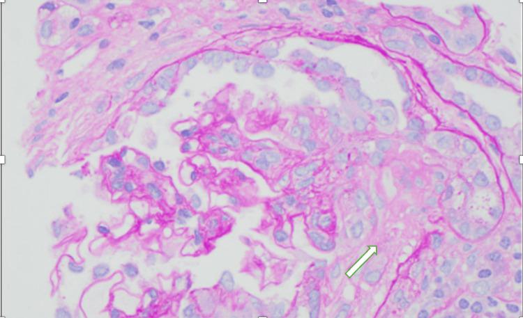
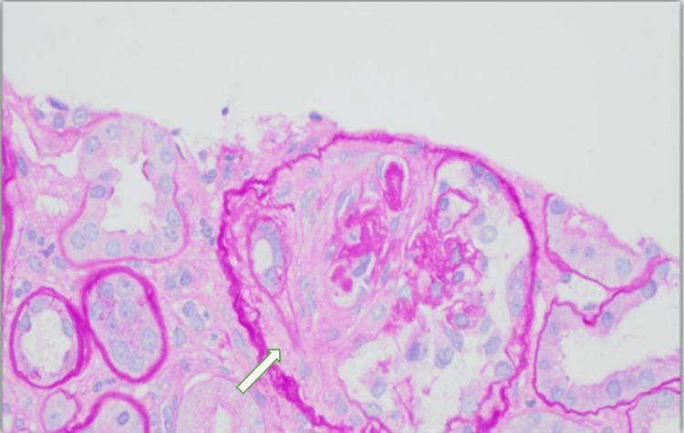
We present a rare case of hydralazine-induced antineutrophil cytoplasmic antibody (ANCA) vasculitis and lupus, characterized by the simultaneous and severe involvement of multiple organ systems. Following outpatient hydralazine dose escalation, a 77-year-old woman developed hypoxic respiratory failure secondary to diffuse alveolar hemorrhage, acute kidney injury with crescentic glomerulonephritis, and pancytopenia. Serologic testing revealed positive antinuclear antibody (ANA), dsDNA, anti-histone antibody, and P-ANCA, supporting the diagnosis of drug-induced autoimmune syndrome. This case highlights the risk for severe multi-organ dysfunction in drug-induced lupus and vasculitis, emphasizing the need for vigilance in recognizing such complications.

摘要

我们报告一例罕见的由肼屈嗪诱发的抗中性粒细胞胞浆抗体(ANCA)血管炎和狼疮病例,其特征为多个器官系统同时且严重受累。在门诊逐步增加肼屈嗪剂量后,一名77岁女性出现了因弥漫性肺泡出血继发的低氧性呼吸衰竭、伴有新月体性肾小球肾炎的急性肾损伤以及全血细胞减少。血清学检测显示抗核抗体(ANA)、双链DNA、抗组蛋白抗体和P-ANCA呈阳性,支持药物诱发的自身免疫综合征的诊断。该病例突出了药物诱发的狼疮和血管炎中严重多器官功能障碍的风险,强调了在识别此类并发症时保持警惕的必要性。

https://cdn.ncbi.nlm.nih.gov/pmc/blobs/5038/12122051/a8c01a323ef9/cureus-0017-00000083202-i01.jpg

文献AI研究员

20分钟写一篇综述,助力文献阅读效率提升50倍。

立即体验

用中文搜PubMed

大模型驱动的PubMed中文搜索引擎

马上搜索

文档翻译

学术文献翻译模型,支持多种主流文档格式。

立即体验