• 文献检索
  • 文档翻译
  • 深度研究
  • 学术资讯
  • Suppr Zotero 插件Zotero 插件
  • 邀请有礼
  • 套餐&价格
  • 历史记录
应用&插件
Suppr Zotero 插件Zotero 插件浏览器插件Mac 客户端Windows 客户端微信小程序
定价
高级版会员购买积分包购买API积分包
服务
文献检索文档翻译深度研究API 文档MCP 服务
关于我们
关于 Suppr公司介绍联系我们用户协议隐私条款
关注我们

Suppr 超能文献

核心技术专利:CN118964589B侵权必究
粤ICP备2023148730 号-1Suppr @ 2026

文献检索

告别复杂PubMed语法,用中文像聊天一样搜索,搜遍4000万医学文献。AI智能推荐,让科研检索更轻松。

立即免费搜索

文件翻译

保留排版,准确专业,支持PDF/Word/PPT等文件格式,支持 12+语言互译。

免费翻译文档

深度研究

AI帮你快速写综述,25分钟生成高质量综述,智能提取关键信息,辅助科研写作。

立即免费体验

人胎盘间充质基质细胞通过激活AMPK-FXR通路减轻肠道炎症并修复肠道屏障功能。

Human placenta mesenchymal stromal cells alleviate intestinal inflammation and repair intestinal barrier function by activating AMPK-FXR pathway.

作者信息

Wang Ruo, Feng Bing, Yao Qigu, Pan Qiaoling, Yu Jiong, Liu Chaoxu, Wang Jinhai, Li Lanjuan, Cao Hongcui, Xie Jue

机构信息

State Key Laboratory for the Diagnosis and Treatment of Infectious Diseases, National Clinical Research Center for Infectious Diseases, National Medical Center for Infectious Diseases, Collaborative Innovation Center for Diagnosis and Treatment of Infectious Diseases, The First Affiliated Hospital, Zhejiang University School of Medicine, 79 Qingchun Rd, Hangzhou City, China.

Jinan Microecological Biomedicine Shandong Laboratory, Jinan City, China.

出版信息

Commun Biol. 2025 May 30;8(1):830. doi: 10.1038/s42003-025-08261-y.

DOI:10.1038/s42003-025-08261-y
PMID:40447793
原文链接:https://pmc.ncbi.nlm.nih.gov/articles/PMC12125195/
Abstract

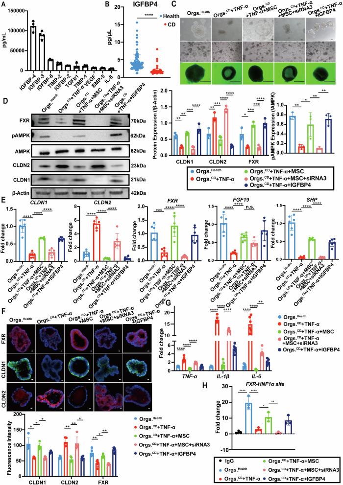
Crohn's disease (CD) has a complex pathogenesis; there is currently no effective treatment. Mesenchymal stromal cells (MSCs) are a potential therapeutic option for CD. It is important to systematically evaluate the safety and effectiveness of MSCs and their mechanism for the treatment of CD to support their clinical application. Here, the safety and effectiveness of MSCs from the human placenta (hPMSCs) are evaluated. All the indicators show that hPMSC transplantation is safe and effectively alleviates intestinal inflammation, reduces intestinal apoptosis and fibrosis, and promotes recovery of the intestinal barrier in mice and organoids. IGFBP-4 is the most expressed by hPMSCs and is verified to play a therapeutic role by activating the AMPK-FXR pathway to alleviate intestinal inflammation and repair the intestinal barrier function. Our findings demonstrate that hPMSCs alleviate CD by activating the AMPK-FXR pathway with IGFBP-4 to reduce intestinal inflammation and repair intestinal barrier function.

摘要

克罗恩病(CD)发病机制复杂,目前尚无有效治疗方法。间充质基质细胞(MSCs)是治疗CD的一种潜在选择。系统评估MSCs治疗CD的安全性、有效性及其作用机制对支持其临床应用具有重要意义。在此,对人胎盘间充质基质细胞(hPMSCs)的安全性和有效性进行评估。所有指标均表明,hPMSC移植是安全的,可有效减轻小鼠和类器官的肠道炎症,减少肠道细胞凋亡和纤维化,并促进肠道屏障恢复。IGFBP-4在hPMSCs中表达最为丰富,经证实可通过激活AMPK-FXR通路发挥治疗作用,减轻肠道炎症并修复肠道屏障功能。我们的研究结果表明,hPMSCs通过激活AMPK-FXR通路及IGFBP-4减轻CD,以减少肠道炎症并修复肠道屏障功能。

https://cdn.ncbi.nlm.nih.gov/pmc/blobs/26e0/12125195/f837589d03dd/42003_2025_8261_Fig6_HTML.jpg
https://cdn.ncbi.nlm.nih.gov/pmc/blobs/26e0/12125195/a8a7ed2a7f69/42003_2025_8261_Fig1_HTML.jpg
https://cdn.ncbi.nlm.nih.gov/pmc/blobs/26e0/12125195/30a4204e756e/42003_2025_8261_Fig2_HTML.jpg
https://cdn.ncbi.nlm.nih.gov/pmc/blobs/26e0/12125195/a38c5216cd7e/42003_2025_8261_Fig3_HTML.jpg
https://cdn.ncbi.nlm.nih.gov/pmc/blobs/26e0/12125195/996dec160e37/42003_2025_8261_Fig4_HTML.jpg
https://cdn.ncbi.nlm.nih.gov/pmc/blobs/26e0/12125195/abdcfad44e59/42003_2025_8261_Fig5_HTML.jpg
https://cdn.ncbi.nlm.nih.gov/pmc/blobs/26e0/12125195/f837589d03dd/42003_2025_8261_Fig6_HTML.jpg
https://cdn.ncbi.nlm.nih.gov/pmc/blobs/26e0/12125195/a8a7ed2a7f69/42003_2025_8261_Fig1_HTML.jpg
https://cdn.ncbi.nlm.nih.gov/pmc/blobs/26e0/12125195/30a4204e756e/42003_2025_8261_Fig2_HTML.jpg
https://cdn.ncbi.nlm.nih.gov/pmc/blobs/26e0/12125195/a38c5216cd7e/42003_2025_8261_Fig3_HTML.jpg
https://cdn.ncbi.nlm.nih.gov/pmc/blobs/26e0/12125195/996dec160e37/42003_2025_8261_Fig4_HTML.jpg
https://cdn.ncbi.nlm.nih.gov/pmc/blobs/26e0/12125195/abdcfad44e59/42003_2025_8261_Fig5_HTML.jpg
https://cdn.ncbi.nlm.nih.gov/pmc/blobs/26e0/12125195/f837589d03dd/42003_2025_8261_Fig6_HTML.jpg

相似文献

1
Human placenta mesenchymal stromal cells alleviate intestinal inflammation and repair intestinal barrier function by activating AMPK-FXR pathway.人胎盘间充质基质细胞通过激活AMPK-FXR通路减轻肠道炎症并修复肠道屏障功能。
Commun Biol. 2025 May 30;8(1):830. doi: 10.1038/s42003-025-08261-y.
2
hUC-MSCs therapy for Crohn's disease: efficacy in TNBS-induced colitis in rats and pilot clinical study.hUC-MSCs 治疗克罗恩病:在三硝基苯磺酸诱导的大鼠结肠炎中的疗效和初步临床研究。
EBioMedicine. 2024 May;103:105128. doi: 10.1016/j.ebiom.2024.105128. Epub 2024 Apr 22.
3
Human placental mesenchymal stromal cells modulate IFN-γ and IL-10 secretion by CD4T cells via CD73, and alleviate intestinal damage in mice with graft-versus-host disease.人胎盘间充质基质细胞通过 CD73 调节 CD4T 细胞 IFN-γ 和 IL-10 的分泌,并减轻移植物抗宿主病小鼠的肠道损伤。
Int Immunopharmacol. 2023 Nov;124(Pt A):110767. doi: 10.1016/j.intimp.2023.110767. Epub 2023 Aug 30.
4
Spatio-Temporal Metabolokinetics and Efficacy of Human Placenta-Derived Mesenchymal Stem/Stromal Cells on Mice with Refractory Crohn's-like Enterocutaneous Fistula.人胎盘源间充质干细胞时空代谢动力学及其对难治性克罗恩样肠皮瘘小鼠的疗效。
Stem Cell Rev Rep. 2020 Dec;16(6):1292-1304. doi: 10.1007/s12015-020-10053-2. Epub 2020 Oct 3.
5
Adipose-derived mesenchymal stromal cells alleviate intestinal fibrosis: The role of tumor necrosis factor-stimulated gene 6 protein.脂肪来源的间充质基质细胞缓解肠道纤维化:肿瘤坏死因子刺激基因 6 蛋白的作用。
Int Immunopharmacol. 2024 Sep 30;139:112693. doi: 10.1016/j.intimp.2024.112693. Epub 2024 Jul 17.
6
IL-27 Promotes Human Placenta-Derived Mesenchymal Stromal Cell Ability To Induce the Generation of CD4IL-10IFN-γ T Cells via the JAK/STAT Pathway in the Treatment of Experimental Graft-versus-Host Disease.IL-27 通过 JAK/STAT 通路促进人胎盘来源间充质干细胞诱导 CD4IL-10IFN-γ T 细胞生成,用于治疗实验性移植物抗宿主病。
J Immunol. 2019 Feb 15;202(4):1124-1136. doi: 10.4049/jimmunol.1800963. Epub 2019 Jan 16.
7
Human placenta-derived mesenchymal stem cells inhibit apoptosis of granulosa cells induced by IRE1α pathway in autoimmune POF mice.人胎盘间充质干细胞通过抑制 IRE1α 通路抑制自身免疫性 POF 小鼠颗粒细胞凋亡。
Cell Biol Int. 2019 Aug;43(8):899-909. doi: 10.1002/cbin.11165. Epub 2019 Jun 20.
8
The JNK/P38 signalling pathway activated by testin protects the intestinal epithelial barrier against Crohn's disease-like colitis.测试蛋白激活的 JNK/P38 信号通路可保护肠道上皮屏障免受类克罗恩病结肠炎的侵害。
Chem Biol Interact. 2024 Nov 1;403:111222. doi: 10.1016/j.cbi.2024.111222. Epub 2024 Sep 4.
9
Peiminine ameliorates Crohn's disease-like colitis by enhancing the function of the intestinal epithelial barrier through Nrf2/HO1 signal.佩米替尼通过激活 Nrf2/HO1 信号增强肠道上皮屏障功能改善克罗恩病样结肠炎。
Int Immunopharmacol. 2024 Jul 30;136:112380. doi: 10.1016/j.intimp.2024.112380. Epub 2024 Jun 7.
10
Human placental mesenchymal stromal cells alleviate intestinal oxidative damage in mice with graft-versus-host disease via CD73/adenosine/PI3K/Akt/GSK-3β axis.人胎盘间充质基质细胞通过 CD73/腺苷/Akt/GSK-3β 轴减轻移植物抗宿主病小鼠的肠道氧化损伤。
Cell Signal. 2024 Nov;123:111372. doi: 10.1016/j.cellsig.2024.111372. Epub 2024 Aug 28.

引用本文的文献

1
Review: progression and heterogeneity of multiple sources of mesenchymal stromal cells for the treatment of rheumatoid arthritis.综述:用于治疗类风湿关节炎的多种间充质基质细胞来源的进展与异质性
Stem Cell Res Ther. 2025 Jul 9;16(1):358. doi: 10.1186/s13287-025-04515-y.

本文引用的文献

1
Vaccine Therapy for Heart Failure Targeting the Inflammatory Cytokine Igfbp7.针对炎症细胞因子 Igfbp7 的心力衰竭疫苗治疗。
Circulation. 2024 Jul 30;150(5):374-389. doi: 10.1161/CIRCULATIONAHA.123.064719. Epub 2024 Jul 11.
2
Mesenchymal stem cells alleviate mouse liver fibrosis by inhibiting pathogenic function of intrahepatic B cells.间充质干细胞通过抑制肝内B细胞的致病功能来减轻小鼠肝纤维化。
Hepatology. 2025 Apr 1;81(4):1211-1227. doi: 10.1097/HEP.0000000000000831. Epub 2024 Mar 28.
3
MSC-derived exosomes attenuate hepatic fibrosis in primary sclerosing cholangitis through inhibition of Th17 differentiation.
间充质干细胞衍生的外泌体通过抑制辅助性T细胞17分化减轻原发性硬化性胆管炎中的肝纤维化。
Asian J Pharm Sci. 2024 Feb;19(1):100889. doi: 10.1016/j.ajps.2024.100889. Epub 2024 Feb 12.
4
Mesenchymal stem cell-based therapy for autoimmune-related fibrotic skin diseases-systemic sclerosis and sclerodermatous graft-versus-host disease.基于间充质干细胞的治疗方法用于治疗自身免疫性相关的纤维性皮肤病——系统性硬化症和硬皮病移植物抗宿主病。
Stem Cell Res Ther. 2023 Dec 18;14(1):372. doi: 10.1186/s13287-023-03543-w.
5
Activation of IGFBP4 via unconventional mechanism of miRNA attenuates metastasis of intrahepatic cholangiocarcinoma.通过非常规的 miRNA 机制激活 IGFBP4 可减轻肝内胆管癌的转移。
Hepatol Int. 2024 Feb;18(1):91-107. doi: 10.1007/s12072-023-10552-7. Epub 2023 Jun 22.
6
Akkermansia muciniphila and its membrane protein ameliorates intestinal inflammatory stress and promotes epithelial wound healing via CREBH and miR-143/145.黏蛋白阿克曼氏菌及其膜蛋白通过 CREBH 和 miR-143/145 改善肠道炎症应激和促进上皮伤口愈合。
J Biomed Sci. 2023 Jun 7;30(1):38. doi: 10.1186/s12929-023-00935-1.
7
Treatment and Management of Chronic Inflammatory Bowel Diseases: Optimizing Present and Future Therapeutic Choices.慢性炎症性肠病的治疗与管理:优化当前及未来的治疗选择
J Clin Med. 2022 Sep 6;11(18):5267. doi: 10.3390/jcm11185267.
8
Low expression of IGFBP4 and TAGLN accelerate the poor overall survival of osteosarcoma.IGFBP4 和 TAGLN 低表达加速骨肉瘤患者整体生存预后不良。
Sci Rep. 2022 Jun 3;12(1):9298. doi: 10.1038/s41598-022-13163-8.
9
Mesenchymal stem cell treatment restores liver macrophages homeostasis to alleviate mouse acute liver injury revealed by single-cell analysis.间质干细胞治疗通过单细胞分析恢复肝巨噬细胞的内稳态,从而减轻小鼠急性肝损伤。
Pharmacol Res. 2022 May;179:106229. doi: 10.1016/j.phrs.2022.106229. Epub 2022 Apr 22.
10
Targeted Therapy for Inflammatory Diseases with Mesenchymal Stem Cells and Their Derived Exosomes: From Basic to Clinics.靶向间充质干细胞及其衍生的外泌体治疗炎症性疾病:从基础到临床。
Int J Nanomedicine. 2022 Apr 19;17:1757-1781. doi: 10.2147/IJN.S355366. eCollection 2022.