• 文献检索
  • 文档翻译
  • 深度研究
  • 学术资讯
  • Suppr Zotero 插件Zotero 插件
  • 邀请有礼
  • 套餐&价格
  • 历史记录
应用&插件
Suppr Zotero 插件Zotero 插件浏览器插件Mac 客户端Windows 客户端微信小程序
定价
高级版会员购买积分包购买API积分包
服务
文献检索文档翻译深度研究API 文档MCP 服务
关于我们
关于 Suppr公司介绍联系我们用户协议隐私条款
关注我们

Suppr 超能文献

核心技术专利:CN118964589B侵权必究
粤ICP备2023148730 号-1Suppr @ 2026

文献检索

告别复杂PubMed语法,用中文像聊天一样搜索,搜遍4000万医学文献。AI智能推荐,让科研检索更轻松。

立即免费搜索

文件翻译

保留排版,准确专业,支持PDF/Word/PPT等文件格式,支持 12+语言互译。

免费翻译文档

深度研究

AI帮你快速写综述,25分钟生成高质量综述,智能提取关键信息,辅助科研写作。

立即免费体验

带蒂局灶性结节性增生:一例报告、病例系列以及对一种罕见现象的深入手术、放射学和组织学分析

Pedunculated focal nodular hyperplasia: a case report, case series, and in-depth surgical, radiological, and histological analysis of a rare phenomenon.

作者信息

Strange Taylor, Gosnell Joseph M, Bhargava Peeyush, Al Harbi Abdulrahman, Cicalese Luca, Stevenson Heather L

机构信息

Department of Pathology, University of Texas Medical Branch, 301 University Blvd, Galveston, TX, 77555, USA.

Department of Radiology, University of Texas Medical Branch, Galveston, USA.

出版信息

Diagn Pathol. 2025 May 30;20(1):69. doi: 10.1186/s13000-025-01661-y.

DOI:10.1186/s13000-025-01661-y
PMID:40448211
原文链接:https://pmc.ncbi.nlm.nih.gov/articles/PMC12125829/
Abstract

BACKGROUND

Focal nodular hyperplasia (FNH) is a benign hepatic lesion that rarely presents as an exophytic mass attached by a fibrous stalk (termed pedunculated FNH). This variation poses a challenge to clinicians, with atypical symptoms and imaging.

CASE PRESENTATION

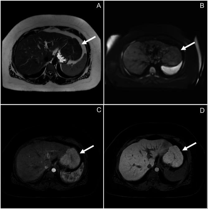
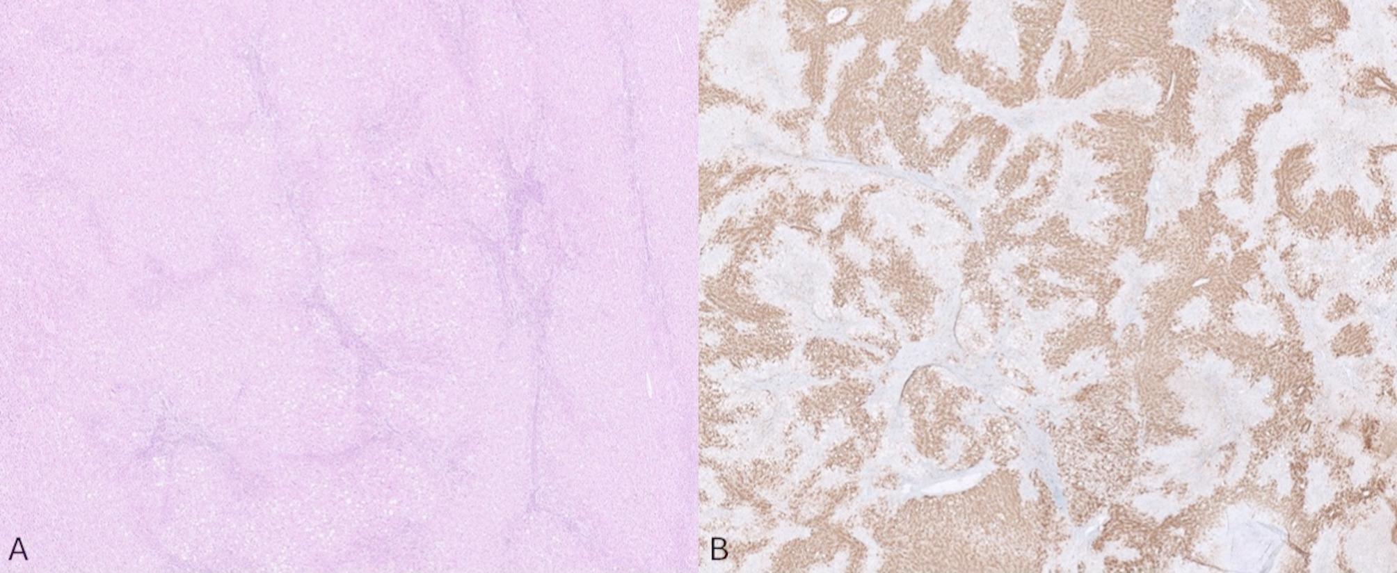
We describe a 33-year-old female who underwent excision of a pedunculated FNH. On gross examination, the lesion was lobular and vascular with homogenous tan-brown surfaces. Histological examination showed loss of normal liver architecture, abnormal intervening fibrous tracts, dysplastic arteries, and focal steatosis. Immunohistochemical staining with glutamine synthetase resulted in a branching, or "map-like" pattern. These findings were consistent with focal nodular hyperplasia. One of the most sensitive imaging techniques for diagnosing this lesion involves magnetic resonance imaging (MRI) with contrast, which discloses a homogenous mass that is hyperintense during the arterial phase with gradual decrease in intensity during the venous and equilibrium phases. The central stellate scar will often remain hyperintense for a prolonged period of time. On histology, normal hepatic architecture is lost to abnormal fibrotic bands and a characteristic stellate scar. Immunohistochemistry with glutamine synthetase uniquely highlights a map-like pattern that is not seen in other liver lesions.

CONCLUSIONS

Due to its atypical presentation and increased risk of complications compared to its intrahepatic counterpart, pedunculated FNH brings unique challenges for diagnosis and therapy. Proper identification of pedunculated FNH is critical for appropriate treatment. Our case highlights the importance of radiological and histopathological studies to accurately identify this lesion, as well as the benefits of surgical removal to prevent serious complications.

摘要

背景

局灶性结节性增生(FNH)是一种良性肝脏病变,很少表现为通过纤维蒂附着的外生性肿块(称为带蒂FNH)。这种变异给临床医生带来了挑战,其症状和影像学表现不典型。

病例报告

我们描述了一名33岁接受带蒂FNH切除手术的女性。大体检查时,病变呈小叶状且血管丰富,表面为均匀的棕褐色。组织学检查显示正常肝结构消失,有异常的间质纤维束、发育异常的动脉和局灶性脂肪变性。谷氨酰胺合成酶免疫组化染色呈现分支状或“地图样”图案。这些发现符合局灶性结节性增生。诊断该病变最敏感的影像学技术之一是增强磁共振成像(MRI),其显示一个均匀的肿块,在动脉期呈高信号,在静脉期和平衡期信号强度逐渐降低。中央星状瘢痕通常会在较长时间内保持高信号。在组织学上,正常肝结构被异常纤维化带和特征性星状瘢痕取代。谷氨酰胺合成酶免疫组化独特地突出了一种在其他肝脏病变中未见的地图样图案。

结论

由于其表现不典型且与肝内型相比并发症风险增加,带蒂FNH在诊断和治疗方面带来了独特的挑战。正确识别带蒂FNH对于恰当治疗至关重要。我们的病例强调了放射学和组织病理学研究对于准确识别该病变的重要性,以及手术切除预防严重并发症的益处。

https://cdn.ncbi.nlm.nih.gov/pmc/blobs/1d67/12125829/4008c44b57a8/13000_2025_1661_Fig4_HTML.jpg
https://cdn.ncbi.nlm.nih.gov/pmc/blobs/1d67/12125829/a1323df92ea9/13000_2025_1661_Fig1_HTML.jpg
https://cdn.ncbi.nlm.nih.gov/pmc/blobs/1d67/12125829/7acda43c7a8f/13000_2025_1661_Fig2_HTML.jpg
https://cdn.ncbi.nlm.nih.gov/pmc/blobs/1d67/12125829/ee402466a7e3/13000_2025_1661_Fig3_HTML.jpg
https://cdn.ncbi.nlm.nih.gov/pmc/blobs/1d67/12125829/4008c44b57a8/13000_2025_1661_Fig4_HTML.jpg
https://cdn.ncbi.nlm.nih.gov/pmc/blobs/1d67/12125829/a1323df92ea9/13000_2025_1661_Fig1_HTML.jpg
https://cdn.ncbi.nlm.nih.gov/pmc/blobs/1d67/12125829/7acda43c7a8f/13000_2025_1661_Fig2_HTML.jpg
https://cdn.ncbi.nlm.nih.gov/pmc/blobs/1d67/12125829/ee402466a7e3/13000_2025_1661_Fig3_HTML.jpg
https://cdn.ncbi.nlm.nih.gov/pmc/blobs/1d67/12125829/4008c44b57a8/13000_2025_1661_Fig4_HTML.jpg

相似文献

1
Pedunculated focal nodular hyperplasia: a case report, case series, and in-depth surgical, radiological, and histological analysis of a rare phenomenon.带蒂局灶性结节性增生:一例报告、病例系列以及对一种罕见现象的深入手术、放射学和组织学分析
Diagn Pathol. 2025 May 30;20(1):69. doi: 10.1186/s13000-025-01661-y.
2
Diagnostic challenges of focal nodular hyperplasia: interobserver variability, accuracy, and the utility of glutamine synthetase immunohistochemistry.局灶性结节性增生的诊断挑战:观察者间变异性、准确性和谷氨酰胺合成酶免疫组织化学的应用。
Histopathology. 2021 Nov;79(5):791-800. doi: 10.1111/his.14424. Epub 2021 Aug 6.
3
Imaging characteristics of hypervascular focal nodular hyperplasia-like lesions in patients with chronic alcoholic liver disease.慢性酒精性肝病患者中富血管性局灶性结节样增生性病变的影像学特征
World J Gastroenterol. 2025 Jan 14;31(2):98031. doi: 10.3748/wjg.v31.i2.98031.
4
Diagnostic utility and limitations of glutamine synthetase and serum amyloid-associated protein immunohistochemistry in the distinction of focal nodular hyperplasia and inflammatory hepatocellular adenoma.谷氨酰胺合成酶和血清淀粉样蛋白相关蛋白免疫组化在鉴别局灶性结节性增生和炎症性肝细胞腺瘤中的诊断效用及局限性。
Mod Pathol. 2014 Jan;27(1):62-72. doi: 10.1038/modpathol.2013.114. Epub 2013 Jun 28.
5
Hepatic focal nodular hyperplasia in children: imaging features on multi-slice computed tomography.儿童肝脏局灶性结节性增生:多层 CT 成像特征。
World J Gastroenterol. 2012 Dec 21;18(47):7048-55. doi: 10.3748/wjg.v18.i47.7048.
6
Focal nodular hyperplasia or focal nodular hyperplasia-like lesions of the liver: a special emphasis on diagnosis.肝脏局灶性结节性增生或局灶性结节样增生样病变:特别强调诊断。
J Gastroenterol Hepatol. 2011 Jun;26(6):1004-9. doi: 10.1111/j.1440-1746.2011.06659.x.
7
Focal nodular hyperplasia of the liver in children: A report of 2 cases.儿童肝脏局灶性结节性增生:2例报告
Indian J Pathol Microbiol. 2019 Apr-Jun;62(2):261-265. doi: 10.4103/IJPM.IJPM_396_18.
8
Interest of contrast-enhanced sonography to identify focal nodular hyperplasia with sinusoidal dilatation.超声造影在鉴别伴窦状隙扩张的局灶性结节性增生中的应用价值。
Diagn Interv Imaging. 2014 Jan;95(1):77-83. doi: 10.1016/j.diii.2013.09.002. Epub 2013 Oct 15.
9
Should Focal Nodular Hyperplasia Still be Operated Upon? Analysis of a Case Series.局灶性结节性增生仍需手术治疗吗?一组病例分析。
Dig Dis. 2019;37(4):309-314. doi: 10.1159/000496430. Epub 2019 Feb 14.
10
Differentiation Between Hepatocellular Carcinoma Showing Hyperintensity on the Hepatobiliary Phase of Gadoxetic Acid-Enhanced MRI and Focal Nodular Hyperplasia by CT and MRI.CT 和 MRI 鉴别肝胆期增强 MRI 显示高信号的肝细胞癌与局灶性结节增生。
AJR Am J Roentgenol. 2018 Aug;211(2):347-357. doi: 10.2214/AJR.17.19341. Epub 2018 Apr 30.

本文引用的文献

1
MRI for hepatocellular carcinoma and the role of abbreviated MRI for surveillance of hepatocellular carcinoma.磁共振成像在肝细胞癌中的应用及在肝细胞癌监测中应用缩短版磁共振成像的作用。
J Gastroenterol Hepatol. 2024 Oct;39(10):1969-1981. doi: 10.1111/jgh.16643. Epub 2024 Jun 20.
2
Pedunculated focal nodular hyperplasia of the liver in a healthy child born following in vitro fertilization: a case report and review of the literature.体外受精后出生的健康儿童肝脏带蒂局灶性结节性增生:一例报告并文献复习
J Med Case Rep. 2024 Apr 15;18(1):185. doi: 10.1186/s13256-024-04512-4.
3
Pedunculated Focal Nodular Hyperplasia: When in Doubt, Should We Cut It Out?
带蒂局灶性结节性增生:存疑时,我们是否应将其切除?
J Clin Med. 2023 Sep 18;12(18):6034. doi: 10.3390/jcm12186034.
4
Laparoscopic resection for pedunculated focal nodular hyperplasia of the liver during pregnancy.妊娠期肝脏带蒂局灶性结节性增生的腹腔镜切除术
Oxf Med Case Reports. 2023 Jun 26;2023(6):omad054. doi: 10.1093/omcr/omad054. eCollection 2023 Jun.
5
Massive Pedunculated Focal Nodular Hyperplasia: a Diagnostic Dilemma.巨大带蒂局灶性结节性增生:诊断难题
J Gastrointest Surg. 2023 Aug;27(8):1746-1748. doi: 10.1007/s11605-023-05653-5. Epub 2023 Mar 20.
6
Benign liver tumours: understanding molecular physiology to adapt clinical management.良性肝肿瘤:了解分子生理学以适应临床管理。
Nat Rev Gastroenterol Hepatol. 2022 Nov;19(11):703-716. doi: 10.1038/s41575-022-00643-5. Epub 2022 Jul 14.
7
Focal Nodular Hyperplasia and Focal Nodular Hyperplasia-like Lesions.局灶性结节性增生和局灶性结节性增生样病变。
Radiographics. 2022 Jul-Aug;42(4):1043-1061. doi: 10.1148/rg.210156. Epub 2022 Jun 10.
8
Diagnostic value of morphological enhancement patterns in the hepatobiliary phase of gadoxetic acid-enhanced MRI to distinguish focal nodular hyperplasia from hepatocellular adenoma.钆塞酸增强 MRI 肝胆期形态增强模式对鉴别局灶性结节增生与肝细胞腺瘤的诊断价值。
Radiol Med. 2021 Nov;126(11):1379-1387. doi: 10.1007/s11547-021-01403-2. Epub 2021 Jul 21.
9
Pedunculated hepatic focal nodular hyperplasia: A case report and review of the literature.带蒂肝局灶性结节性增生:一例报告并文献复习
Clin Case Rep. 2021 Jun 9;9(6):e04202. doi: 10.1002/ccr3.4202. eCollection 2021 Jun.
10
Diagnostic challenges of focal nodular hyperplasia: interobserver variability, accuracy, and the utility of glutamine synthetase immunohistochemistry.局灶性结节性增生的诊断挑战:观察者间变异性、准确性和谷氨酰胺合成酶免疫组织化学的应用。
Histopathology. 2021 Nov;79(5):791-800. doi: 10.1111/his.14424. Epub 2021 Aug 6.