• 文献检索
  • 文档翻译
  • 深度研究
  • 学术资讯
  • Suppr Zotero 插件Zotero 插件
  • 邀请有礼
  • 套餐&价格
  • 历史记录
应用&插件
Suppr Zotero 插件Zotero 插件浏览器插件Mac 客户端Windows 客户端微信小程序
定价
高级版会员购买积分包购买API积分包
服务
文献检索文档翻译深度研究API 文档MCP 服务
关于我们
关于 Suppr公司介绍联系我们用户协议隐私条款
关注我们

Suppr 超能文献

核心技术专利:CN118964589B侵权必究
粤ICP备2023148730 号-1Suppr @ 2026

文献检索

告别复杂PubMed语法,用中文像聊天一样搜索,搜遍4000万医学文献。AI智能推荐,让科研检索更轻松。

立即免费搜索

文件翻译

保留排版,准确专业,支持PDF/Word/PPT等文件格式,支持 12+语言互译。

免费翻译文档

深度研究

AI帮你快速写综述,25分钟生成高质量综述,智能提取关键信息,辅助科研写作。

立即免费体验

伴有进行性认知衰退的桥本脑病:中美洲一种罕见的自身免疫性疾病。

Hashimoto's Encephalopathy With Progressive Cognitive Decline: A Rare Autoimmune Disorder in Central America.

作者信息

Hong Anthony, Santos Ana B, Moya Porras Luis Fernando, Piedra Pacheco Ana Lucía, Hong Isaac, Esquivel Jose E, Villegas José D

机构信息

Faculty of Medicine, University of Costa Rica, San José, CRI.

Department of Endocrinology, Hospital San Juan de Dios, San José, CRI.

出版信息

Cureus. 2025 Apr 30;17(4):e83235. doi: 10.7759/cureus.83235. eCollection 2025 Apr.

DOI:10.7759/cureus.83235
PMID:40453306
原文链接:https://pmc.ncbi.nlm.nih.gov/articles/PMC12123474/
Abstract

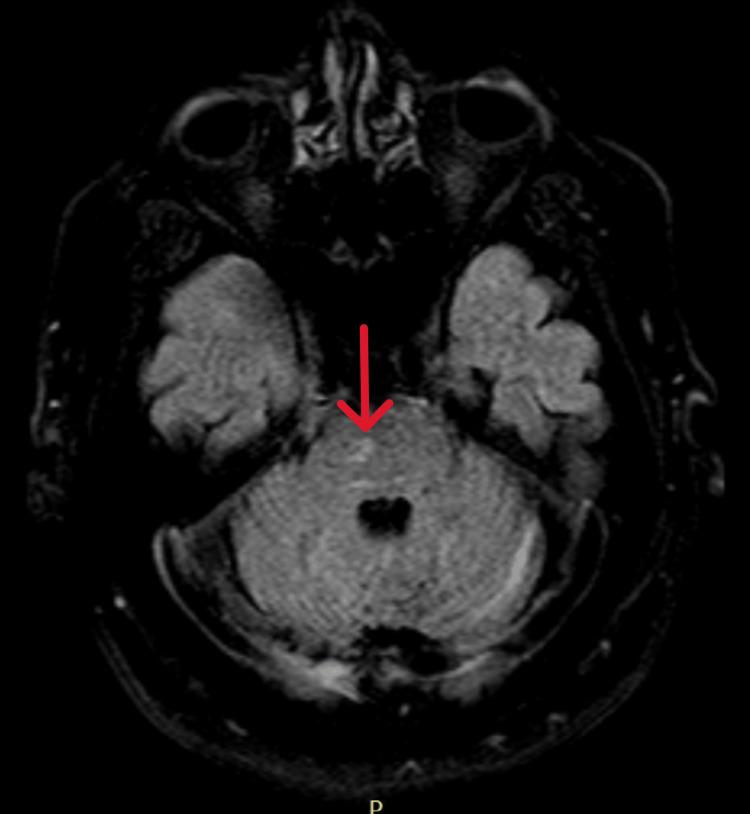
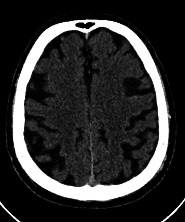
Hashimoto's encephalopathy (HE) is a rare autoimmune disorder, typically associated with Hashimoto's thyroiditis, and often presents with rapidly progressive cognitive impairment, psychiatric symptoms, and neurological deficits. Since the first case reported, there have been relatively few reports of HE cases, and it remains rare in Central America. A 59-year-old male patient with a past medical history of hypertension (HTN) and type 2 diabetes mellitus (DM2) was hospitalized due to a one-month history of rapidly progressive cognitive impairment associated with behavioral changes and episodes of amnesia. It was not associated with motor or sensory deficits, seizures, or movement disorders. Given this presentation, alongside normal head CT findings and mild age-related brain atrophy on MRI, the initial diagnosis posed a challenge. Further investigations, including cerebrospinal fluid (CSF) analysis, autoimmune panels, and viral encephalitis testing, helped exclude other potential causes of encephalopathy. Notably, elevated anti-thyroid peroxidase (anti-TPO) and anti-thyroglobulin (anti-TG) antibodies were detected, strongly suggesting HE. The patient responded favorably to immunosuppressive treatment with intravenous methylprednisolone and subsequent oral prednisone, leading to significant cognitive improvement and recovery of function. This case highlights the importance of considering HE in the differential diagnosis of rapidly progressive cognitive decline, especially when routine standard investigations do not reveal an alternative cause.

摘要

桥本脑病(HE)是一种罕见的自身免疫性疾病,通常与桥本甲状腺炎相关,常表现为快速进展的认知障碍、精神症状和神经功能缺损。自首例病例报告以来,HE病例的报道相对较少,在中美洲地区仍然罕见。一名59岁男性患者,有高血压(HTN)和2型糖尿病(DM2)病史,因1个月来快速进展的认知障碍伴行为改变和失忆发作而住院。该症状与运动或感觉功能缺损、癫痫发作或运动障碍无关。鉴于此临床表现,以及头颅CT检查结果正常和MRI显示轻度与年龄相关的脑萎缩,初步诊断颇具挑战性。进一步检查,包括脑脊液(CSF)分析、自身免疫指标检测和病毒性脑炎检测,有助于排除其他潜在的脑病病因。值得注意的是,检测到抗甲状腺过氧化物酶(抗-TPO)和抗甲状腺球蛋白(抗-TG)抗体升高,强烈提示为HE。该患者对静脉注射甲泼尼龙及随后口服泼尼松的免疫抑制治疗反应良好,认知功能显著改善,功能得以恢复。本病例强调了在快速进展性认知衰退的鉴别诊断中考虑HE的重要性,尤其是在常规标准检查未发现其他病因时。

https://cdn.ncbi.nlm.nih.gov/pmc/blobs/d09b/12123474/cb6f3a2c377f/cureus-0017-00000083235-i02.jpg
https://cdn.ncbi.nlm.nih.gov/pmc/blobs/d09b/12123474/cec3a896dba4/cureus-0017-00000083235-i01.jpg
https://cdn.ncbi.nlm.nih.gov/pmc/blobs/d09b/12123474/cb6f3a2c377f/cureus-0017-00000083235-i02.jpg
https://cdn.ncbi.nlm.nih.gov/pmc/blobs/d09b/12123474/cec3a896dba4/cureus-0017-00000083235-i01.jpg
https://cdn.ncbi.nlm.nih.gov/pmc/blobs/d09b/12123474/cb6f3a2c377f/cureus-0017-00000083235-i02.jpg

相似文献

1
Hashimoto's Encephalopathy With Progressive Cognitive Decline: A Rare Autoimmune Disorder in Central America.伴有进行性认知衰退的桥本脑病:中美洲一种罕见的自身免疫性疾病。
Cureus. 2025 Apr 30;17(4):e83235. doi: 10.7759/cureus.83235. eCollection 2025 Apr.
2
Hashimoto's Encephalopathy: Case Series and Literature Review.桥本脑病:病例系列及文献复习。
Curr Neurol Neurosci Rep. 2023 Apr;23(4):167-175. doi: 10.1007/s11910-023-01255-5. Epub 2023 Feb 28.
3
Characterization of neurological morbidity associated with thyroid antibodies: Hashimoto's encephalopathy and beyond.与甲状腺抗体相关的神经疾病特征:桥本脑病及其他。
J Neurol Sci. 2024 Mar 15;458:122908. doi: 10.1016/j.jns.2024.122908. Epub 2024 Jan 30.
4
[Anti-NAE autoantibodies and clinical spectrum in Hashimoto's encephalopathy].[桥本脑病中的抗去乙酰化酶自身抗体与临床谱]
Rinsho Byori. 2009 Mar;57(3):271-8.
5
Hashimoto's encephalopathy : epidemiology, pathogenesis and management.桥本脑病:流行病学、发病机制与管理
CNS Drugs. 2007;21(10):799-811. doi: 10.2165/00023210-200721100-00002.
6
Cerebellar Ataxia in the Setting of Hashimoto's Thyroiditis: A Case Report.桥本甲状腺炎背景下的小脑共济失调:一例报告
Cureus. 2022 Oct 2;14(10):e29840. doi: 10.7759/cureus.29840. eCollection 2022 Oct.
7
Managing Hashimoto's Encephalopathy: A Case Report.桥本脑病的治疗:一例报告
Cureus. 2025 Mar 12;17(3):e80467. doi: 10.7759/cureus.80467. eCollection 2025 Mar.
8
A Prospective Study to Evaluate the Possible Role of Cholecalciferol Supplementation on Autoimmunity in Hashimoto's Thyroiditis.一项评估胆钙化醇补充对桥本甲状腺炎自身免疫可能作用的前瞻性研究。
J Assoc Physicians India. 2023 Jan;71(1):1.
9
Hashimoto's Encephalopathy: A Rare Cause of Seizure-like Activity.桥本脑病:癫痫样发作活动的罕见病因。
Cureus. 2021 Apr 22;13(4):e14626. doi: 10.7759/cureus.14626.
10
Autoimmune Encephalopathy Associated With Anti-thyroid Antibodies: A Case Report.抗甲状腺抗体相关的自身免疫性脑病:一例报告
Cureus. 2022 Aug 19;14(8):e28183. doi: 10.7759/cureus.28183. eCollection 2022 Aug.

本文引用的文献

1
Hashimoto's Encephalopathy: Case Series and Literature Review.桥本脑病:病例系列及文献复习。
Curr Neurol Neurosci Rep. 2023 Apr;23(4):167-175. doi: 10.1007/s11910-023-01255-5. Epub 2023 Feb 28.
2
Hashimoto Encephalopathy-Still More Questions than Answers.桥本脑病——仍有诸多未解之谜。
Cells. 2022 Sep 14;11(18):2873. doi: 10.3390/cells11182873.
3
Thyroid gland and brain: Enigma of Hashimoto's encephalopathy.甲状腺和大脑:桥本脑病之谜。
Best Pract Res Clin Endocrinol Metab. 2019 Dec;33(6):101364. doi: 10.1016/j.beem.2019.101364. Epub 2019 Nov 23.
4
Neuropsychological impairment in Hashimoto's encephalopathy: A case report and literature review.桥本脑病中的神经心理学损害:一例报告及文献综述。
Appl Neuropsychol Adult. 2018 Nov-Dec;25(6):572-580. doi: 10.1080/23279095.2017.1326048. Epub 2017 May 26.
5
Hashimoto encephalopathy: literature review.桥本脑病:文献综述
Acta Neurol Scand. 2017 Mar;135(3):285-290. doi: 10.1111/ane.12618. Epub 2016 Jun 20.
6
A clinical approach to diagnosis of autoimmune encephalitis.自身免疫性脑炎的临床诊断方法
Lancet Neurol. 2016 Apr;15(4):391-404. doi: 10.1016/S1474-4422(15)00401-9. Epub 2016 Feb 20.
7
Cognitive impairments in Hashimoto's encephalopathy: a case-control study.桥本脑病认知障碍:病例对照研究。
PLoS One. 2013;8(2):e55758. doi: 10.1371/journal.pone.0055758. Epub 2013 Feb 8.
8
Hashimoto's encephalopathy presenting with neurocognitive symptoms: a case report.以神经认知症状为表现的桥本脑病:一例报告
J Med Case Rep. 2010 Oct 25;4:337. doi: 10.1186/1752-1947-4-337.
9
Hashimoto's disease and encephalopathy.桥本氏病与脑病。
Lancet. 1966 Sep 3;2(7462):512-4. doi: 10.1016/s0140-6736(66)92876-5.