Suppr超能文献

桥本脑病认知障碍:病例对照研究。

Cognitive impairments in Hashimoto's encephalopathy: a case-control study.

机构信息

Department of Neurology, Huashan Hospital, State Key Laboratory of Medical Neurobiology, Shanghai Medical College, Fudan University, Shanghai, China.

出版信息

PLoS One. 2013;8(2):e55758. doi: 10.1371/journal.pone.0055758. Epub 2013 Feb 8.

Abstract

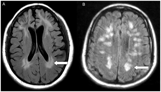
BACKGROUND/AIMS: Hashimoto's encephalopathy is considered as a treatable dementia, but it is often misdiagnosed. We investigated cognitive impairment and the MRI pathology of Hashimoto's encephalopathy patients.

METHODS

The study comprised eight patients with Hashimoto's encephalopathy, 16 patients with mild Alzheimer's disease and 24 healthy subjects. A neuropsychological battery included assessments of memory, language, attention, executive function and visuospatial ability. Cranial MRI was obtained from all Hashimoto's encephalopathy patients.

RESULTS

Hashimoto's encephalopathy and mild Alzheimer's disease showed cognitive impairments in episodic memory, attention, executive function and visuospatial ability, but naming ability was unaffected in Hashimoto's encephalopathy. The MRI of Hashimoto's encephalopathy showed leukoencephalopathy-like type or limbic encephalitis-like type; the lesions did not affect the temporal cortex which plays a role in naming ability.

CONCLUSION

Except that the naming ability was retained, the impairments in cognitive functions for the Hashimoto's encephalopathy patients were similar to those of Alzheimer's disease patients. These results were consistent with the MRI findings.

摘要

背景/目的:桥本脑病被认为是一种可治疗的痴呆症,但常常被误诊。我们研究了桥本脑病患者的认知障碍和 MRI 病理学。

方法

本研究包括 8 例桥本脑病患者、16 例轻度阿尔茨海默病患者和 24 名健康受试者。神经心理学测试包括记忆、语言、注意力、执行功能和视空间能力评估。所有桥本脑病患者均行头颅 MRI 检查。

结果

桥本脑病和轻度阿尔茨海默病患者均出现了情景记忆、注意力、执行功能和视空间能力的认知障碍,但桥本脑病患者的命名能力不受影响。桥本脑病的 MRI 表现为白质脑病样或边缘性脑炎样;病变不影响颞叶皮质,而颞叶皮质在命名能力中起作用。

结论

除了命名能力保留外,桥本脑病患者的认知功能障碍与阿尔茨海默病患者相似。这些结果与 MRI 发现一致。

https://cdn.ncbi.nlm.nih.gov/pmc/blobs/403f/3568150/08630808553e/pone.0055758.g001.jpg

文献AI研究员

20分钟写一篇综述,助力文献阅读效率提升50倍。

立即体验

用中文搜PubMed

大模型驱动的PubMed中文搜索引擎

马上搜索

文档翻译

学术文献翻译模型,支持多种主流文档格式。

立即体验