• 文献检索
  • 文档翻译
  • 深度研究
  • 学术资讯
  • Suppr Zotero 插件Zotero 插件
  • 邀请有礼
  • 套餐&价格
  • 历史记录
应用&插件
Suppr Zotero 插件Zotero 插件浏览器插件Mac 客户端Windows 客户端微信小程序
定价
高级版会员购买积分包购买API积分包
服务
文献检索文档翻译深度研究API 文档MCP 服务
关于我们
关于 Suppr公司介绍联系我们用户协议隐私条款
关注我们

Suppr 超能文献

核心技术专利:CN118964589B侵权必究
粤ICP备2023148730 号-1Suppr @ 2026

文献检索

告别复杂PubMed语法,用中文像聊天一样搜索,搜遍4000万医学文献。AI智能推荐,让科研检索更轻松。

立即免费搜索

文件翻译

保留排版,准确专业,支持PDF/Word/PPT等文件格式,支持 12+语言互译。

免费翻译文档

深度研究

AI帮你快速写综述,25分钟生成高质量综述,智能提取关键信息,辅助科研写作。

立即免费体验

具有梭形细胞形态且流式细胞术检测CD22阳性的浆细胞白血病

Plasma Cell Leukemia With Spindle-Cell Morphology and CD22 Positivity on Flow Cytometry.

作者信息

Udoh Agnes I, Wagner Celeste, Rawas Faisal, Mallick Jayati, Aakash Fnu

机构信息

Pathology, University of Texas Medical Branch, Galveston, USA.

Hematopathology, University of Texas Medical Branch, Galveston, USA.

出版信息

Cureus. 2025 May 3;17(5):e83402. doi: 10.7759/cureus.83402. eCollection 2025 May.

DOI:10.7759/cureus.83402
PMID:40458327
原文链接:https://pmc.ncbi.nlm.nih.gov/articles/PMC12128895/
Abstract

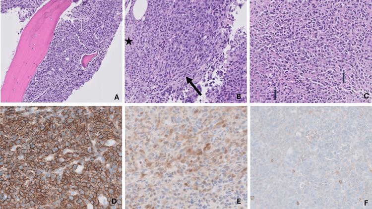
Plasma cell leukemia (PCL) is a rare and aggressive form of plasma cell neoplasm, defined by the presence of 5% or more circulating plasma cells in peripheral blood in patients diagnosed with plasma cell myeloma. The spindle-cell morphology in PCL is an exceptionally rare feature, adding diagnostic complexity. This case involves a 56-year-old female with PCL, showing elongated spindle-shaped plasma cells in the peripheral blood smear. Bone marrow aspirate and core biopsy confirmed the spindle morphology and extensive atypical plasma cell infiltration, with minimal trilineage hematopoiesis. Flow cytometry analysis revealed CD14, CD22, CD27, CD38, CD81, CD138, and cytoplasmic immunoglobulin lambda chain positivity, with absence of CD19, CD20, CD56, CD117, and Kappa light chains. Spindle cell morphology in plasma cell neoplasms is rare and diagnostically challenging. Additionally, CD22 positivity suggests a unique immunophenotypic profile, potentially representing an intermediate stage between immunoblasts and mature plasma cells. This report documents the first case of CD22-positive PCL with spindle cell morphology.

摘要

浆细胞白血病(PCL)是一种罕见且侵袭性的浆细胞肿瘤形式,定义为在被诊断为浆细胞骨髓瘤的患者外周血中存在5%或更多的循环浆细胞。PCL中的梭形细胞形态是一种极为罕见的特征,增加了诊断的复杂性。该病例涉及一名56岁的PCL女性患者,其外周血涂片显示有细长的梭形浆细胞。骨髓穿刺和活检证实了梭形形态以及广泛的非典型浆细胞浸润,三系造血极少。流式细胞术分析显示CD14、CD22、CD27、CD38、CD81、CD138和细胞质免疫球蛋白λ链呈阳性,而CD19、CD20、CD56、CD117和κ轻链缺失。浆细胞肿瘤中的梭形细胞形态罕见且诊断具有挑战性。此外,CD22阳性提示一种独特的免疫表型特征,可能代表免疫母细胞和成熟浆细胞之间的中间阶段。本报告记录了首例具有梭形细胞形态的CD22阳性PCL病例。

https://cdn.ncbi.nlm.nih.gov/pmc/blobs/d9a9/12128895/af0e85f4caf5/cureus-0017-00000083402-i03.jpg
https://cdn.ncbi.nlm.nih.gov/pmc/blobs/d9a9/12128895/cc23144ca422/cureus-0017-00000083402-i01.jpg
https://cdn.ncbi.nlm.nih.gov/pmc/blobs/d9a9/12128895/d2216aedccc7/cureus-0017-00000083402-i02.jpg
https://cdn.ncbi.nlm.nih.gov/pmc/blobs/d9a9/12128895/af0e85f4caf5/cureus-0017-00000083402-i03.jpg
https://cdn.ncbi.nlm.nih.gov/pmc/blobs/d9a9/12128895/cc23144ca422/cureus-0017-00000083402-i01.jpg
https://cdn.ncbi.nlm.nih.gov/pmc/blobs/d9a9/12128895/d2216aedccc7/cureus-0017-00000083402-i02.jpg
https://cdn.ncbi.nlm.nih.gov/pmc/blobs/d9a9/12128895/af0e85f4caf5/cureus-0017-00000083402-i03.jpg

相似文献

1
Plasma Cell Leukemia With Spindle-Cell Morphology and CD22 Positivity on Flow Cytometry.具有梭形细胞形态且流式细胞术检测CD22阳性的浆细胞白血病
Cureus. 2025 May 3;17(5):e83402. doi: 10.7759/cureus.83402. eCollection 2025 May.
2
A case of CD138-/CD19+/CD4+ IgD plasma cell leukemia.一例CD138阴性/CD19阳性/CD4阳性IgD浆细胞白血病病例。
Cytometry B Clin Cytom. 2014 Mar 22. doi: 10.1002/cytob.21173.
3
Accuracy of Bone Marrow Flow Cytometry Analysis in Patients With Plasma Cell Neoplasm in Thailand: A Single Institutional Study.泰国浆细胞肿瘤患者骨髓流式细胞术分析的准确性:一项单机构研究
Clin Lymphoma Myeloma Leuk. 2016 Mar;16(3):e27-37. doi: 10.1016/j.clml.2015.12.002. Epub 2015 Dec 17.
4
Necessity of flow cytometry assessment of circulating plasma cells and its connection with clinical characteristics of primary and secondary plasma cell leukaemia.流式细胞术评估循环浆细胞的必要性及其与原发性和继发性浆细胞白血病临床特征的关系。
Br J Haematol. 2021 Oct;195(1):95-107. doi: 10.1111/bjh.17713. Epub 2021 Sep 9.
5
A case of CD138-/CD19+/CD4+ IgD plasma cell leukemia.1例CD138阴性/CD19阳性/CD4阳性IgD浆细胞白血病病例。
Cytometry B Clin Cytom. 2015 Jan;88(1):69-73. doi: 10.1002/cyto.b.21173. Epub 2014 Apr 9.
6
[Analysis of cell morphology and immunophenotypic characteristics in 47 cases of multiple myeloma].47例多发性骨髓瘤细胞形态及免疫表型特征分析
Zhongguo Shi Yan Xue Ye Xue Za Zhi. 2015 Feb;23(1):137-41. doi: 10.7534/j.issn.1009-2137.2015.01.026.
7
Concomitant Presence of Two Distinct Clones of Chronic Lymphocytic Leukemia and Plasma Cell Myeloma in a Patient.一名患者同时存在两种不同克隆的慢性淋巴细胞白血病和浆细胞骨髓瘤。
Indian J Hematol Blood Transfus. 2016 Jun;32(Suppl 1):173-7. doi: 10.1007/s12288-015-0512-7. Epub 2015 Mar 1.
8
Clinical and Laboratory Characteristics of IgM Primary Plasma Cell Leukemia.IgM 型原发性浆细胞白血病的临床和实验室特征。
Clin Lab. 2023 Jul 1;69(7). doi: 10.7754/Clin.Lab.2022.221212.
9
Flow cytometric evaluation of bone marrow plasma cells using CD19, CD45, CD56, CD38, and CD138 and correlation with bone marrow infiltration ratio in multiple myeloma patients.利用CD19、CD45、CD56、CD38和CD138对多发性骨髓瘤患者骨髓浆细胞进行流式细胞术评估及其与骨髓浸润率的相关性
Saudi Med J. 2004 Nov;25(11):1587-92.
10
Immunophenotypic analysis of abnormal plasma cell clones in bone marrow of primary systemic light chain amyloidosis patients.原发性系统性轻链淀粉样变性患者骨髓中异常浆细胞克隆的免疫表型分析。
Chin Med J (Engl). 2014;127(15):2765-70.

本文引用的文献

1
The 5th edition of the World Health Organization Classification of Haematolymphoid Tumours: Lymphoid Neoplasms.《世界卫生组织造血与淋巴组织肿瘤分类》第五版:淋巴肿瘤。
Leukemia. 2022 Jul;36(7):1720-1748. doi: 10.1038/s41375-022-01620-2. Epub 2022 Jun 22.
2
CD22 Expression in B-Cell Acute Lymphoblastic Leukemia: Biological Significance and Implications for Inotuzumab Therapy in Adults.CD22在B细胞急性淋巴细胞白血病中的表达:生物学意义及对成人伊奈妥单抗治疗的影响
Cancers (Basel). 2020 Jan 28;12(2):303. doi: 10.3390/cancers12020303.
3
Spindle Cell Myeloma: A Masquerader.
梭形细胞骨髓瘤:一个伪装者。
Indian J Hematol Blood Transfus. 2019 Apr;35(2):382-383. doi: 10.1007/s12288-019-01090-0. Epub 2019 Feb 13.
4
Plasma Cell Leukemia: Definition, Presentation, and Treatment.浆细胞白血病:定义、表现和治疗。
Curr Oncol Rep. 2019 Jan 28;21(1):8. doi: 10.1007/s11912-019-0754-x.
5
The histopathology of myeloma in the bone marrow.骨髓中骨髓瘤的组织病理学。
J Clin Exp Hematop. 2018;58(2):61-67. doi: 10.3960/jslrt.18014.
6
Multiple myeloma with spindle-like cell morphology.具有梭形细胞形态的多发性骨髓瘤。
Blood Res. 2013 Sep;48(3):169. doi: 10.5045/br.2013.48.3.169.
7
Plasma cell leukemia: consensus statement on diagnostic requirements, response criteria and treatment recommendations by the International Myeloma Working Group.浆细胞白血病:国际骨髓瘤工作组关于诊断要求、反应标准和治疗建议的共识声明。
Leukemia. 2013 Apr;27(4):780-91. doi: 10.1038/leu.2012.336. Epub 2012 Nov 21.
8
Spindle cell variant of multiple myeloma: immunophenotype and cytogenetics abnormalities.多发性骨髓瘤的梭形细胞变体:免疫表型和细胞遗传学异常
Ann Hematol. 2012 May;91(5):803-804. doi: 10.1007/s00277-011-1324-y. Epub 2011 Sep 6.
9
Membrane CD22 defines circulating myeloma-related cells as mature or later B cells.膜CD22将循环中的骨髓瘤相关细胞定义为成熟或更晚期的B细胞。
Lab Invest. 1997 Oct;77(4):333-44.
10
Histologic classification and staging of multiple myeloma. A retrospective and prospective study of 674 cases.多发性骨髓瘤的组织学分类与分期。对674例病例的回顾性和前瞻性研究。
Am J Clin Pathol. 1987 Mar;87(3):342-55. doi: 10.1093/ajcp/87.3.342.