Suppr超能文献

GS 连接的嵌合溶菌酶 CHAPk-SH3bk 对耐甲氧西林金黄色葡萄球菌生物膜的活性:一项体外、离体和体内研究。

Activity of GS-linked chimeric endolysin CHAPk-SH3bk against methicillin-resistant Staphylococcus aureus biofilms: an in-vitro, ex-vivo and in-vivo study.

作者信息

Behera Manisha, Singh Priyanka, Verma Anita Kamra, De Sachinandan, Ghorai Soma M

机构信息

Department of Zoology, Hindu College, University of Delhi, Delhi, India.

Nanobiotech Lab, Department of Zoology, Kirori Mal College, University of Delhi, Delhi, India.

出版信息

NPJ Biofilms Microbiomes. 2025 Jun 3;11(1):94. doi: 10.1038/s41522-025-00728-4.

Abstract

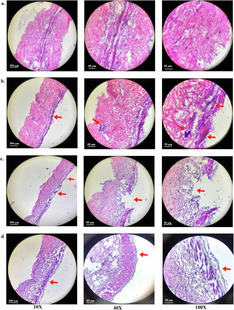
The evolution of antibiotic resistance and the propensity of methicillin-resistant Staphylococcus aureus to form biofilms impedes antibiotic therapy, which enkindles the rummage for novel therapeutic agents like bacteriophage endolysins. This study investigates the biofilm degradation activity of novel chimeric endolysin CHAPk-SH3bk compared to single domain construct CHAPk. The in-vitro biofilm degradation assay displayed higher antibiofilm activity of CHAPk-SH3bk compared to CHAPk on glass and steel surfaces. Treatment of CHAPk-SH3bk effectively inhibited biofilm formation of hospital-associated and bovine-origin MRSA. The in-vivo results displayed a higher reduction of 24 h MRSA-biofilm using CHAPk-SH3bk compared to CHAPk in mice skin infection model. Further, confocal laser scanning microscopy, scanning electron microscopy, and immunohistochemistry confirmed the in-vivo results. The study indicated that attachment of SH3b using glycine-serine linker to CHAPk increased the catalytic domains biofilm reduction ability. The study demonstrates that construction of novel chimeric endolysins by shuffling parental endolysin domains may increase their antibiofilm activity.

摘要

抗生素耐药性的演变以及耐甲氧西林金黄色葡萄球菌形成生物膜的倾向阻碍了抗生素治疗,这激发了对新型治疗剂如噬菌体溶菌酶的探索。本研究调查了新型嵌合溶菌酶CHAPk-SH3bk与单结构域构建体CHAPk相比的生物膜降解活性。体外生物膜降解试验显示,与CHAPk相比,CHAPk-SH3bk在玻璃和钢表面具有更高的抗生物膜活性。CHAPk-SH3bk处理有效抑制了医院相关和牛源耐甲氧西林金黄色葡萄球菌的生物膜形成。体内结果显示,在小鼠皮肤感染模型中,与CHAPk相比,使用CHAPk-SH3bk对耐甲氧西林金黄色葡萄球菌生物膜的减少率更高。此外,共聚焦激光扫描显微镜、扫描电子显微镜和免疫组织化学证实了体内结果。研究表明,使用甘氨酸-丝氨酸接头将SH3b连接到CHAPk上可提高催化结构域的生物膜减少能力。该研究表明,通过改组亲本溶菌酶结构域构建新型嵌合溶菌酶可能会增加其抗生物膜活性。

https://cdn.ncbi.nlm.nih.gov/pmc/blobs/d936/12134374/a392721e8271/41522_2025_728_Fig1_HTML.jpg

文献AI研究员

20分钟写一篇综述,助力文献阅读效率提升50倍。

立即体验

用中文搜PubMed

大模型驱动的PubMed中文搜索引擎

马上搜索

文档翻译

学术文献翻译模型,支持多种主流文档格式。

立即体验