• 文献检索
  • 文档翻译
  • 深度研究
  • 学术资讯
  • Suppr Zotero 插件Zotero 插件
  • 邀请有礼
  • 套餐&价格
  • 历史记录
应用&插件
Suppr Zotero 插件Zotero 插件浏览器插件Mac 客户端Windows 客户端微信小程序
定价
高级版会员购买积分包购买API积分包
服务
文献检索文档翻译深度研究API 文档MCP 服务
关于我们
关于 Suppr公司介绍联系我们用户协议隐私条款
关注我们

Suppr 超能文献

核心技术专利:CN118964589B侵权必究
粤ICP备2023148730 号-1Suppr @ 2026

文献检索

告别复杂PubMed语法,用中文像聊天一样搜索,搜遍4000万医学文献。AI智能推荐,让科研检索更轻松。

立即免费搜索

文件翻译

保留排版,准确专业,支持PDF/Word/PPT等文件格式,支持 12+语言互译。

免费翻译文档

深度研究

AI帮你快速写综述,25分钟生成高质量综述,智能提取关键信息,辅助科研写作。

立即免费体验

由于洛匹那韦诱导的Zmpste24抑制作用,艾滋病患者患晚期膝骨关节炎进展的风险更高。

AIDS patients suffer higher risk of advanced knee osteoarthritis progression due to lopinavir-induced Zmpste24 inhibition.

作者信息

Kong Keyu, Liu Li, Zhang Renfang, Chang Yongyun, Shao Yueming, Zhao Chen, Qiao Hua, Jin Minghao, Chen Xuzhuo, Shi Wentao, Wu Xinru, Fan Wenxuan, Hu Yuehao, Rong Kewei, Zhang Pu, Li Baixing, Zhang Jingwei, Ma Peixiang, Zhang Xiaoling, Li Huiwu, Zhai Zanjing

机构信息

Shanghai Key Laboratory of Orthopaedic Implants, Department of Orthopaedic Surgery, Shanghai Ninth People's Hospital, Shanghai Jiaotong University School of Medicine, Shanghai, China.

Department of Infection and Immunity, Shanghai Public Health Clinical Center (SPHCC), Fudan University, Shanghai, China.

出版信息

Bone Res. 2025 Jun 3;13(1):58. doi: 10.1038/s41413-025-00431-2.

DOI:10.1038/s41413-025-00431-2
PMID:40461512
原文链接:https://pmc.ncbi.nlm.nih.gov/articles/PMC12134061/
Abstract

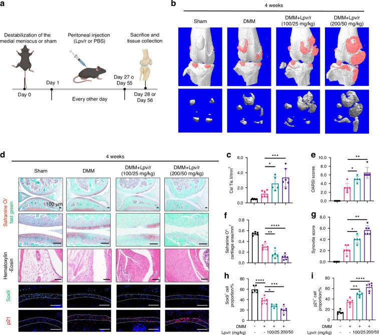
Debate regarding the premature aging of knee joints in acquired immune deficiency syndrome (AIDS) patients has remained contentious, with conjectures pointing towards its correlation with distinct antiviral regimes. Protease inhibitors (PIs) stand as a prominent class of antiviral agents frequently utilized in AIDS management and have been significantly linked to premature senescence. This study aimed to investigate whether PI-containing regimens would accelerate osteoarthritis (OA) development and explore the molecular mechanisms underlying this association. A retrospective cohort of 151 HIV-infected individuals, categorized into PI and non-PI groups, was established. Patients in PI group exhibited lower KOOS and a higher prevalence of radiological knee OA than those in non-PI group. Additionally, 25 anti-HIV drugs were screened and among all antiviral drugs, lopinavir had the most detrimental impact on cartilage anabolism, accelerating cartilage senescence and promoting mouse OA development. Mechanistically, lopinavir accelerated cellular senescence by inhibiting Zmpste24 and interfering nuclear membrane stability, which leads to decreased binding between nuclear membrane-binding protein Usp7 and Mdm2 and activates Usp7/Mdm2/p53 pathway. Zmpste24 overexpression reduces OA severity in mice. These findings suggest that PI-containing regimens accelerate cartilage senescence and OA development through Zmpste24 inhibition, which provides new insights into the selection of HIV regimens.

摘要

关于获得性免疫缺陷综合征(AIDS)患者膝关节过早老化的争论一直存在争议,推测其与不同的抗病毒治疗方案有关。蛋白酶抑制剂(PIs)是AIDS治疗中常用的一类重要抗病毒药物,且与过早衰老显著相关。本研究旨在调查含PI的治疗方案是否会加速骨关节炎(OA)的发展,并探索这种关联背后的分子机制。建立了一个回顾性队列,纳入151名HIV感染者,分为PI组和非PI组。PI组患者的膝关节损伤和骨关节炎疗效评分(KOOS)较低,膝关节放射学OA的患病率高于非PI组。此外,对25种抗HIV药物进行了筛选,在所有抗病毒药物中,洛匹那韦对软骨合成代谢的损害最大,加速了软骨衰老并促进了小鼠OA的发展。机制上,洛匹那韦通过抑制Zmpste24并干扰核膜稳定性来加速细胞衰老,这导致核膜结合蛋白泛素特异性蛋白酶7(Usp7)与鼠双微体2(Mdm2)之间的结合减少,并激活Usp7/Mdm2/p53通路。Zmpste24过表达可降低小鼠OA的严重程度。这些发现表明,含PI的治疗方案通过抑制Zmpste24加速软骨衰老和OA发展,这为HIV治疗方案的选择提供了新见解。

https://cdn.ncbi.nlm.nih.gov/pmc/blobs/45b5/12134061/75212c1d1239/41413_2025_431_Fig7_HTML.jpg
https://cdn.ncbi.nlm.nih.gov/pmc/blobs/45b5/12134061/97daef62e8e8/41413_2025_431_Fig1_HTML.jpg
https://cdn.ncbi.nlm.nih.gov/pmc/blobs/45b5/12134061/3e27798ea74b/41413_2025_431_Fig2_HTML.jpg
https://cdn.ncbi.nlm.nih.gov/pmc/blobs/45b5/12134061/d79747572de1/41413_2025_431_Fig3_HTML.jpg
https://cdn.ncbi.nlm.nih.gov/pmc/blobs/45b5/12134061/0598e327328b/41413_2025_431_Fig4_HTML.jpg
https://cdn.ncbi.nlm.nih.gov/pmc/blobs/45b5/12134061/f5f62435e408/41413_2025_431_Fig5_HTML.jpg
https://cdn.ncbi.nlm.nih.gov/pmc/blobs/45b5/12134061/6bb6a0f72be0/41413_2025_431_Fig6_HTML.jpg
https://cdn.ncbi.nlm.nih.gov/pmc/blobs/45b5/12134061/75212c1d1239/41413_2025_431_Fig7_HTML.jpg
https://cdn.ncbi.nlm.nih.gov/pmc/blobs/45b5/12134061/97daef62e8e8/41413_2025_431_Fig1_HTML.jpg
https://cdn.ncbi.nlm.nih.gov/pmc/blobs/45b5/12134061/3e27798ea74b/41413_2025_431_Fig2_HTML.jpg
https://cdn.ncbi.nlm.nih.gov/pmc/blobs/45b5/12134061/d79747572de1/41413_2025_431_Fig3_HTML.jpg
https://cdn.ncbi.nlm.nih.gov/pmc/blobs/45b5/12134061/0598e327328b/41413_2025_431_Fig4_HTML.jpg
https://cdn.ncbi.nlm.nih.gov/pmc/blobs/45b5/12134061/f5f62435e408/41413_2025_431_Fig5_HTML.jpg
https://cdn.ncbi.nlm.nih.gov/pmc/blobs/45b5/12134061/6bb6a0f72be0/41413_2025_431_Fig6_HTML.jpg
https://cdn.ncbi.nlm.nih.gov/pmc/blobs/45b5/12134061/75212c1d1239/41413_2025_431_Fig7_HTML.jpg

相似文献

1
AIDS patients suffer higher risk of advanced knee osteoarthritis progression due to lopinavir-induced Zmpste24 inhibition.由于洛匹那韦诱导的Zmpste24抑制作用,艾滋病患者患晚期膝骨关节炎进展的风险更高。
Bone Res. 2025 Jun 3;13(1):58. doi: 10.1038/s41413-025-00431-2.
2
A potent HIV protease inhibitor, darunavir, does not inhibit ZMPSTE24 or lead to an accumulation of farnesyl-prelamin A in cells.一种强效的HIV蛋白酶抑制剂达芦那韦,不会抑制ZMPSTE24,也不会导致法尼基前体核纤层蛋白A在细胞中积累。
J Biol Chem. 2008 Apr 11;283(15):9797-804. doi: 10.1074/jbc.M709629200. Epub 2008 Jan 28.
3
Accelerated aging in articular cartilage by ZMPSTE24 deficiency leads to osteoarthritis with impaired metabolic signaling and epigenetic regulation.ZMPSTE24 缺陷导致关节软骨加速老化,进而引发骨关节炎,同时伴有代谢信号和表观遗传调控受损。
Cell Death Dis. 2023 May 22;14(5):336. doi: 10.1038/s41419-023-05856-3.
4
HIV protease inhibitors block the zinc metalloproteinase ZMPSTE24 and lead to an accumulation of prelamin A in cells.HIV蛋白酶抑制剂可阻断锌金属蛋白酶ZMPSTE24,并导致前体核纤层蛋白A在细胞中蓄积。
Proc Natl Acad Sci U S A. 2007 Aug 14;104(33):13432-7. doi: 10.1073/pnas.0704212104. Epub 2007 Jul 25.
5
LMNA mutations resulting in lipodystrophy and HIV protease inhibitors trigger vascular smooth muscle cell senescence and calcification: Role of ZMPSTE24 downregulation.导致脂肪营养不良和 HIV 蛋白酶抑制剂的 LMNA 突变会触发血管平滑肌细胞衰老和钙化:ZMPSTE24 下调的作用。
Atherosclerosis. 2016 Feb;245:200-11. doi: 10.1016/j.atherosclerosis.2015.12.012. Epub 2015 Dec 20.
6
HIV protease inhibitors inhibit FACE1/ZMPSTE24: a mechanism for acquired lipodystrophy in patients on highly active antiretroviral therapy?HIV 蛋白酶抑制剂抑制 FACE1/ZMPSTE24:高效抗逆转录病毒治疗患者获得性脂肪营养不良的一种机制?
Biochem Soc Trans. 2010 Feb;38(Pt 1):292-6. doi: 10.1042/BST0380292.
7
HIV-protease inhibitors block the enzymatic activity of purified Ste24p.HIV蛋白酶抑制剂可阻断纯化的Ste24p的酶活性。
Biochem Biophys Res Commun. 2008 Sep 19;374(2):365-8. doi: 10.1016/j.bbrc.2008.07.033. Epub 2008 Jul 17.
8
Lopinavir/ritonavir: a review of its use in the management of HIV infection.洛匹那韦/利托那韦:其在HIV感染管理中的应用综述
Drugs. 2003;63(8):769-802. doi: 10.2165/00003495-200363080-00004.
9
Human CaaX protease ZMPSTE24 expressed in yeast: Structure and inhibition by HIV protease inhibitors.在酵母中表达的人类CaaX蛋白酶ZMPSTE24:结构及HIV蛋白酶抑制剂对其的抑制作用
Protein Sci. 2017 Feb;26(2):242-257. doi: 10.1002/pro.3074. Epub 2016 Nov 11.
10
HP1α mediates defective heterochromatin repair and accelerates senescence in Zmpste24-deficient cells.HP1α介导异染色质修复缺陷并加速Zmpste24缺陷细胞的衰老。
Cell Cycle. 2014;13(8):1237-47. doi: 10.4161/cc.28105. Epub 2014 Feb 14.

本文引用的文献

1
Delivery of FGF18 using mRNA-LNP protects the cartilage against degeneration via alleviating chondrocyte senescence.使用mRNA-LNP递送FGF18可通过减轻软骨细胞衰老来保护软骨免于退化。
J Nanobiotechnology. 2025 Jan 22;23(1):34. doi: 10.1186/s12951-025-03103-9.
2
Mechanical overloading leads to chondrocyte degeneration and senescence via Zmpste24-mediated nuclear membrane instability.机械过载通过Zmpste24介导的核膜不稳定导致软骨细胞退变和衰老。
iScience. 2023 Oct 4;26(11):108119. doi: 10.1016/j.isci.2023.108119. eCollection 2023 Nov 17.
3
Accelerated aging in articular cartilage by ZMPSTE24 deficiency leads to osteoarthritis with impaired metabolic signaling and epigenetic regulation.
ZMPSTE24 缺陷导致关节软骨加速老化,进而引发骨关节炎,同时伴有代谢信号和表观遗传调控受损。
Cell Death Dis. 2023 May 22;14(5):336. doi: 10.1038/s41419-023-05856-3.
4
Osteoarthritis and comorbidity: time for action.骨关节炎与合并症:是采取行动的时候了。
Osteoarthritis Cartilage. 2023 Apr;31(4):423-424. doi: 10.1016/j.joca.2023.01.007. Epub 2023 Jan 21.
5
Paxlovid accelerates cartilage degeneration and senescence through activating endoplasmic reticulum stress and interfering redox homeostasis.帕克洛维德通过激活内质网应激和干扰氧化还原平衡加速软骨退化和衰老。
J Transl Med. 2022 Nov 26;20(1):549. doi: 10.1186/s12967-022-03770-4.
6
Selenophosphate synthetase 1 deficiency exacerbates osteoarthritis by dysregulating redox homeostasis.硒磷酸合成酶 1 缺乏通过调节氧化还原平衡失调加剧骨关节炎。
Nat Commun. 2022 Feb 9;13(1):779. doi: 10.1038/s41467-022-28385-7.
7
Digoxin targets low density lipoprotein receptor-related protein 4 and protects against osteoarthritis.地高辛靶向低密度脂蛋白受体相关蛋白 4 并保护其免受骨关节炎的侵害。
Ann Rheum Dis. 2022 Apr;81(4):544-555. doi: 10.1136/annrheumdis-2021-221380. Epub 2021 Dec 1.
8
METTL3-mediated mA modification of ATG7 regulates autophagy-GATA4 axis to promote cellular senescence and osteoarthritis progression.METTL3 介导的 ATG7 的 mA 修饰调节自噬-GATA4 轴促进细胞衰老和骨关节炎进展。
Ann Rheum Dis. 2022 Jan;81(1):87-99. doi: 10.1136/annrheumdis-2021-221091. Epub 2021 Oct 27.
9
Early-stage symptomatic osteoarthritis of the knee - time for action.早期膝关节症状性骨关节炎 - 行动的时候到了。
Nat Rev Rheumatol. 2021 Oct;17(10):621-632. doi: 10.1038/s41584-021-00673-4. Epub 2021 Aug 31.
10
Systemic transplantation of adult multipotent stem cells prevents articular cartilage degeneration in a mouse model of accelerated ageing.成年多能干细胞的全身移植可预防加速衰老小鼠模型中的关节软骨退变。
Immun Ageing. 2021 Jun 7;18(1):27. doi: 10.1186/s12979-021-00239-8.