• 文献检索
  • 文档翻译
  • 深度研究
  • 学术资讯
  • Suppr Zotero 插件Zotero 插件
  • 邀请有礼
  • 套餐&价格
  • 历史记录
应用&插件
Suppr Zotero 插件Zotero 插件浏览器插件Mac 客户端Windows 客户端微信小程序
定价
高级版会员购买积分包购买API积分包
服务
文献检索文档翻译深度研究API 文档MCP 服务
关于我们
关于 Suppr公司介绍联系我们用户协议隐私条款
关注我们

Suppr 超能文献

核心技术专利:CN118964589B侵权必究
粤ICP备2023148730 号-1Suppr @ 2026

文献检索

告别复杂PubMed语法,用中文像聊天一样搜索,搜遍4000万医学文献。AI智能推荐,让科研检索更轻松。

立即免费搜索

文件翻译

保留排版,准确专业,支持PDF/Word/PPT等文件格式,支持 12+语言互译。

免费翻译文档

深度研究

AI帮你快速写综述,25分钟生成高质量综述,智能提取关键信息,辅助科研写作。

立即免费体验

上皮性GREMLIN1通过基质重塑破坏肠上皮-间充质串扰,以诱导依赖Wnt的异位干细胞龛。

Epithelial GREMLIN1 disrupts intestinal epithelial-mesenchymal crosstalk to induce a wnt-dependent ectopic stem cell niche through stromal remodelling.

作者信息

Mulholland Eoghan J, Belnoue-Davis Hayley L, Valbuena Gabriel N, Gunduz Nuray, Ligeza Amelia, Lin Muyang, Biswas Sujata, Gil Vasquez Ester, Omwenga Sulochana, Nasreddin Nadia, Hodder Michael C, Wang Lai Mun, Ng Aik Seng, Jennings Elizabeth, Midwood Kim S, Dedi Neesha, Irshad Shazia, Ridgway Rachel A, Phesse Toby J, East James, Tomlinson Ian Pm, Davies Gareth Cg, Sansom Owen J, Leedham Simon J

机构信息

Centre for Human Genetics, Roosevelt Drive, University of Oxford, Oxford, UK.

Cancer Research UK Scotland Centre, Glasgow, UK.

出版信息

Nat Commun. 2025 Jun 4;16(1):5167. doi: 10.1038/s41467-025-60364-6.

DOI:10.1038/s41467-025-60364-6
PMID:40467544
原文链接:https://pmc.ncbi.nlm.nih.gov/articles/PMC12137559/
Abstract

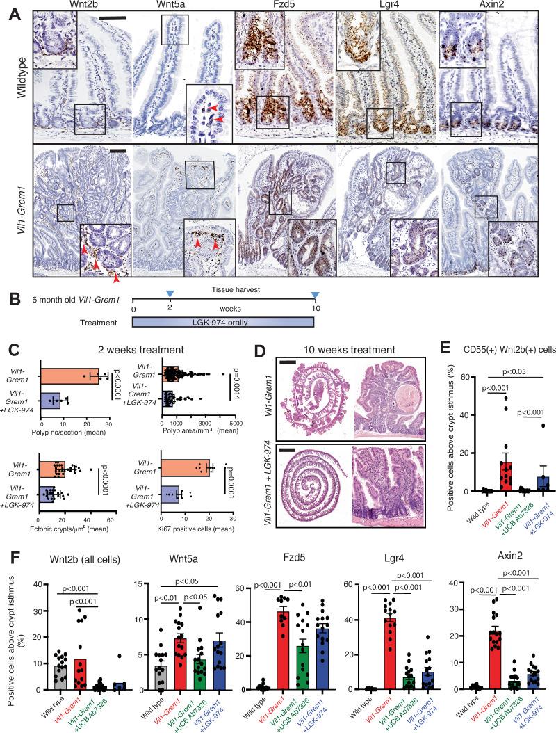
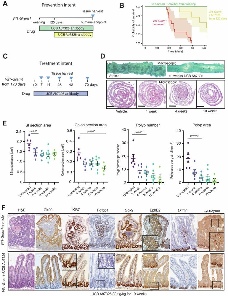
In homeostasis, counterbalanced morphogen signalling gradients along the vertical axis of the intestinal mucosa regulate the fate and function of epithelial and stromal cell compartments. Here, we use a disease-positioned mouse and human tissue to explore the consequences of pathological BMP signalling dysregulation on epithelial-mesenchymal interaction. Aberrant pan-epithelial expression of the secreted BMP antagonist Grem1 results in ectopic crypt formation, with lineage tracing demonstrating the presence of Lgr5(-) stem/progenitor cells. Isolated epithelial cell Grem1 expression has no effect on individual cell fate, indicating an intercompartmental impact of mucosal-wide BMP antagonism. Treatment with an anti-Grem1 antibody abrogates the polyposis phenotype, and triangulation of specific pathway inhibitors defines a pathological sequence of events, with Wnt-ligand-dependent ectopic stem cell niches forming through stromal remodelling following BMP disruption. These data support an emerging co-evolutionary model of intestinal cell compartmentalisation based on bidirectional regulation of epithelial-mesenchymal cell fate and function.

摘要

在稳态下,沿肠黏膜垂直轴的形态发生素信号梯度相互平衡,调节上皮和基质细胞区室的命运和功能。在此,我们使用疾病定位的小鼠和人类组织来探究病理性骨形态发生蛋白(BMP)信号失调对上皮-间充质相互作用的影响。分泌型BMP拮抗剂Gremlin1(Grem1)的异常全上皮表达导致异位隐窝形成,谱系追踪显示存在富含亮氨酸重复序列的G蛋白偶联受体5(Lgr5)阴性干/祖细胞。分离的上皮细胞Grem1表达对单个细胞命运没有影响,表明全黏膜BMP拮抗作用具有区室间影响。用抗Grem1抗体治疗可消除息肉病表型,特定信号通路抑制剂的三角测量确定了一系列病理事件,即BMP破坏后通过基质重塑形成依赖于Wnt配体的异位干细胞龛。这些数据支持了一种基于上皮-间充质细胞命运和功能双向调节的肠细胞区室化共同进化模型。

https://cdn.ncbi.nlm.nih.gov/pmc/blobs/1944/12137559/181e234b0204/41467_2025_60364_Fig7_HTML.jpg
https://cdn.ncbi.nlm.nih.gov/pmc/blobs/1944/12137559/683b15187629/41467_2025_60364_Fig1_HTML.jpg
https://cdn.ncbi.nlm.nih.gov/pmc/blobs/1944/12137559/72344ec64114/41467_2025_60364_Fig2_HTML.jpg
https://cdn.ncbi.nlm.nih.gov/pmc/blobs/1944/12137559/c93150ec6705/41467_2025_60364_Fig3_HTML.jpg
https://cdn.ncbi.nlm.nih.gov/pmc/blobs/1944/12137559/68bcec243003/41467_2025_60364_Fig4_HTML.jpg
https://cdn.ncbi.nlm.nih.gov/pmc/blobs/1944/12137559/842bc81a3551/41467_2025_60364_Fig5_HTML.jpg
https://cdn.ncbi.nlm.nih.gov/pmc/blobs/1944/12137559/e21276ab54ae/41467_2025_60364_Fig6_HTML.jpg
https://cdn.ncbi.nlm.nih.gov/pmc/blobs/1944/12137559/181e234b0204/41467_2025_60364_Fig7_HTML.jpg
https://cdn.ncbi.nlm.nih.gov/pmc/blobs/1944/12137559/683b15187629/41467_2025_60364_Fig1_HTML.jpg
https://cdn.ncbi.nlm.nih.gov/pmc/blobs/1944/12137559/72344ec64114/41467_2025_60364_Fig2_HTML.jpg
https://cdn.ncbi.nlm.nih.gov/pmc/blobs/1944/12137559/c93150ec6705/41467_2025_60364_Fig3_HTML.jpg
https://cdn.ncbi.nlm.nih.gov/pmc/blobs/1944/12137559/68bcec243003/41467_2025_60364_Fig4_HTML.jpg
https://cdn.ncbi.nlm.nih.gov/pmc/blobs/1944/12137559/842bc81a3551/41467_2025_60364_Fig5_HTML.jpg
https://cdn.ncbi.nlm.nih.gov/pmc/blobs/1944/12137559/e21276ab54ae/41467_2025_60364_Fig6_HTML.jpg
https://cdn.ncbi.nlm.nih.gov/pmc/blobs/1944/12137559/181e234b0204/41467_2025_60364_Fig7_HTML.jpg

相似文献

1
Epithelial GREMLIN1 disrupts intestinal epithelial-mesenchymal crosstalk to induce a wnt-dependent ectopic stem cell niche through stromal remodelling.上皮性GREMLIN1通过基质重塑破坏肠上皮-间充质串扰,以诱导依赖Wnt的异位干细胞龛。
Nat Commun. 2025 Jun 4;16(1):5167. doi: 10.1038/s41467-025-60364-6.
2
Bone Morphogenetic Protein Pathway Antagonism by Grem1 Regulates Epithelial Cell Fate in Intestinal Regeneration.Grem1 通过骨形态发生蛋白通路拮抗作用调节肠道再生中的上皮细胞命运。
Gastroenterology. 2021 Jul;161(1):239-254.e9. doi: 10.1053/j.gastro.2021.03.052. Epub 2021 Apr 2.
3
Aberrant epithelial GREM1 expression initiates colonic tumorigenesis from cells outside the stem cell niche.异常的上皮性GREM1表达从干细胞龛外的细胞引发结肠肿瘤发生。
Nat Med. 2015 Jan;21(1):62-70. doi: 10.1038/nm.3750. Epub 2014 Dec 1.
4
Modulation of stemness in a human normal intestinal epithelial crypt cell line by activation of the WNT signaling pathway.WNT 信号通路的激活对人正常肠道上皮隐窝细胞系干性的调控。
Exp Cell Res. 2014 Apr 1;322(2):355-64. doi: 10.1016/j.yexcr.2014.02.009. Epub 2014 Feb 15.
5
Depletion of MOB1A/B causes intestinal epithelial degeneration by suppressing Wnt activity and activating BMP/TGF-β signaling.MOB1A/B 的耗竭通过抑制 Wnt 活性和激活 BMP/TGF-β 信号通路导致肠道上皮细胞退化。
Cell Death Dis. 2018 Oct 22;9(11):1083. doi: 10.1038/s41419-018-1138-0.
6
Gremlin 1 depletion in vivo causes severe enteropathy and bone marrow failure.体内 Gremlin 1 耗竭可导致严重的肠病和骨髓衰竭。
J Pathol. 2020 Jun;251(2):117-122. doi: 10.1002/path.5450. Epub 2020 May 28.
7
BMP restricts stemness of intestinal Lgr5 stem cells by directly suppressing their signature genes.BMP 通过直接抑制肠 Lgr5 干细胞的特征基因来限制其干性。
Nat Commun. 2017 Jan 6;8:13824. doi: 10.1038/ncomms13824.
8
Indian hedgehog regulates intestinal stem cell fate through epithelial-mesenchymal interactions during development.印度刺猬通过发育过程中的上皮-间充质相互作用调节肠道干细胞命运。
Gastroenterology. 2010 Sep;139(3):893-903. doi: 10.1053/j.gastro.2010.06.014. Epub 2010 Jun 11.
9
A contemporary snapshot of intestinal stem cells and their regulation.肠干细胞及其调控的当代快照。
Differentiation. 2019 Jul-Aug;108:3-7. doi: 10.1016/j.diff.2019.01.004. Epub 2019 Jan 25.
10
pericryptal stromal cells are the critical source of Wnts and RSPO3 for murine intestinal stem cells in vivo.壁细胞基质细胞是体内小鼠肠干细胞中 Wnt 和 RSPO3 的关键来源。
Proc Natl Acad Sci U S A. 2018 Apr 3;115(14):E3173-E3181. doi: 10.1073/pnas.1713510115. Epub 2018 Mar 20.

引用本文的文献

1
Defining the mucosal ecosystem: epithelial-mesenchymal interdependence in gastrointestinal health and disease.定义黏膜生态系统:胃肠道健康与疾病中的上皮-间充质相互依存关系
Nat Rev Gastroenterol Hepatol. 2025 Sep 11. doi: 10.1038/s41575-025-01113-4.
2
BMP signalling in colorectal cancer: losing the yin to WNTs yang.结直肠癌中的骨形态发生蛋白信号传导:与WNT信号“阳盛”相对的“阴衰”
J Pathol. 2025 Jul;266(3):280-291. doi: 10.1002/path.6428. Epub 2025 Apr 11.

本文引用的文献

1
Discovery of ginisortamab, a potent and novel anti-gremlin-1 antibody in clinical development for the treatment of cancer.发现 ginisortamab,一种在研的用于癌症治疗的新型强效抗 GREMLIN-1 抗体。
MAbs. 2023 Jan-Dec;15(1):2289681. doi: 10.1080/19420862.2023.2289681. Epub 2023 Dec 12.
2
Establishment of gastrointestinal assembloids to study the interplay between epithelial crypts and their mesenchymal niche.建立胃肠道集合体以研究上皮隐窝与其间质龛之间的相互作用。
Nat Commun. 2023 May 25;14(1):3025. doi: 10.1038/s41467-023-38780-3.
3
Graded BMP signaling within intestinal crypt architecture directs self-organization of the Wnt-secreting stem cell niche.
肠道隐窝结构中分级的 BMP 信号指导 Wnt 分泌干细胞龛的自我组织。
Cell Stem Cell. 2023 Apr 6;30(4):433-449.e8. doi: 10.1016/j.stem.2023.03.004.
4
Smooth muscle contributes to the development and function of a layered intestinal stem cell niche.平滑肌有助于分层肠干细胞龛的发育和功能。
Dev Cell. 2023 Apr 10;58(7):550-564.e6. doi: 10.1016/j.devcel.2023.02.012. Epub 2023 Mar 15.
5
Metastatic recurrence in colorectal cancer arises from residual EMP1 cells.结直肠癌的转移复发源于残留的 EMP1 细胞。
Nature. 2022 Nov;611(7936):603-613. doi: 10.1038/s41586-022-05402-9. Epub 2022 Nov 9.
6
Dynamic and adaptive cancer stem cell population admixture in colorectal neoplasia.结直肠肿瘤中动态且适应性的癌症干细胞群体混合。
Cell Stem Cell. 2022 Aug 4;29(8):1213-1228.e8. doi: 10.1016/j.stem.2022.07.008.
7
GREM1 is required to maintain cellular heterogeneity in pancreatic cancer.GREM1 对于维持胰腺癌中的细胞异质性是必需的。
Nature. 2022 Jul;607(7917):163-168. doi: 10.1038/s41586-022-04888-7. Epub 2022 Jun 29.
8
Gremlin1 is a therapeutically targetable FGFR1 ligand that regulates lineage plasticity and castration resistance in prostate cancer.Gremlin1 是一种可治疗的 FGFR1 配体,可调节前列腺癌中的谱系可塑性和去势抵抗。
Nat Cancer. 2022 May;3(5):565-580. doi: 10.1038/s43018-022-00380-3. Epub 2022 May 27.
9
Gremlin 1 fibroblastic niche maintains dendritic cell homeostasis in lymphoid tissues.Gremlin 1 成纤维细胞龛在淋巴组织中维持树突状细胞稳态。
Nat Immunol. 2021 May;22(5):571-585. doi: 10.1038/s41590-021-00920-6. Epub 2021 Apr 26.
10
Bone Morphogenetic Protein Pathway Antagonism by Grem1 Regulates Epithelial Cell Fate in Intestinal Regeneration.Grem1 通过骨形态发生蛋白通路拮抗作用调节肠道再生中的上皮细胞命运。
Gastroenterology. 2021 Jul;161(1):239-254.e9. doi: 10.1053/j.gastro.2021.03.052. Epub 2021 Apr 2.