Suppr超能文献

使用TENEX®经皮超声引导腱切断术进行肌腱改良:牛尸体模型的组织学和宏观分析

Tendon modification with percutaneous Ultrasound-Guided Tenotomy using TENEX®: A histological and macroscopic analysis of a bovine cadaveric model.

作者信息

Palee Suwannika, Lu Chuanyong, Betcher Adam, Yener Ugur, Alerte Jonathan, Howarth David, Cooper Luke, Hasanoglu Asude Nur, Abd-Elsayed Alaa, Wahezi Sayed Emal

机构信息

Department of Rehabilitation Medicine, Faculty of Medicine, Naresuan University, Phitsanulok, Thailand.

Department of Physical Medicine & Rehabilitation, Montefiore Medical Center, Bronx, NY, USA.

出版信息

Interv Pain Med. 2025 May 8;4(2):100590. doi: 10.1016/j.inpm.2025.100590. eCollection 2025 Jun.

Abstract

BACKGROUND

Chronic tendinopathy treatment remains elusive; however, percutaneous Ultrasound-Guided Tenotomy using TENEX® (PUTT) has demonstrated promising clinical outcomes, but the mechanism of action is not clearly defined. This study aims to describe potential mechanisms using an ex-vivo animal model. The objective of the study is to examine the histological effects of PUTT on the bovine soleus tendon across varying treatment durations.

METHODS

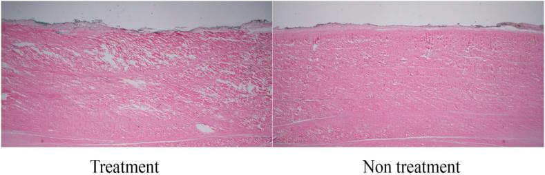
Twelve bovine soleus tendons were allocated to four cohorts to undergo PUTT for 1, 3, 5, and 7 min. Each specimen was treated on one side, the opposite side serving as a control. Macroscopic and microscopic analyses were conducted to assess tendon sheath, fascicle, and perineural disruption. Fascicle penetration was measured using ImageJ software. Statistical analyses were performed using Analysis of Variance (ANOVA), with significance levels set at p < 0.05.

RESULTS

Macroscopic and microscopic examination revealed progressive separation of the paratenon, peritendinous nerves, and fascicles, correlating with increased treatment duration. Fascicle penetration depths were 0.1 mm, 2.57 mm, 2.61 mm, and 3.93 mm at 1, 3, 5, and 7 min, respectively. ANOVA confirmed significant differences among groups (F (3, 8) = 620.898, p < 0.001), with a large effect size (η = 0.996. Tukey's Honest Significant Difference (HSD) test revealed significant differences between most groups (p < 0.001), except between the 3-min and 5-min treatments, which showed no significant difference (p = 0.969).

CONCLUSION

PUTT induces significant structural changes in the paratenon and fascicle layer with longer treatment duration, resulting in more pronounced modifications.

摘要

背景

慢性肌腱病的治疗方法仍不明确;然而,使用TENEX®进行经皮超声引导腱切断术(PUTT)已显示出有前景的临床结果,但其作用机制尚不清楚。本研究旨在使用离体动物模型描述潜在机制。该研究的目的是研究PUTT在不同治疗持续时间下对牛比目鱼肌腱的组织学影响。

方法

将12条牛比目鱼肌腱分配到四个队列中,分别进行1、3、5和7分钟的PUTT治疗。每个标本的一侧进行治疗,另一侧作为对照。进行宏观和微观分析以评估腱鞘、束状结构和神经周组织的破坏情况。使用ImageJ软件测量束状结构的穿透深度。采用方差分析(ANOVA)进行统计分析,显著性水平设定为p < 0.05。

结果

宏观和微观检查显示,随着治疗持续时间的增加,腱旁组织、肌腱周围神经和束状结构逐渐分离。在1、3、5和7分钟时,束状结构的穿透深度分别为0.1毫米、2.57毫米、2.61毫米和3.93毫米。方差分析证实各组之间存在显著差异(F(3, 8) = 620.898,p < 0.001),效应量较大(η = 0.996)。Tukey's HSD检验显示,除3分钟和5分钟治疗组之间无显著差异(p = 0.969)外,大多数组之间存在显著差异(p < 0.001)。

结论

PUTT在治疗持续时间较长时会引起腱旁组织和束状结构层的显著结构变化,导致更明显的改变。

https://cdn.ncbi.nlm.nih.gov/pmc/blobs/4750/12136825/cccf47ed0016/gr1.jpg

文献检索

告别复杂PubMed语法,用中文像聊天一样搜索,搜遍4000万医学文献。AI智能推荐,让科研检索更轻松。

立即免费搜索

文件翻译

保留排版,准确专业,支持PDF/Word/PPT等文件格式,支持 12+语言互译。

免费翻译文档

深度研究

AI帮你快速写综述,25分钟生成高质量综述,智能提取关键信息,辅助科研写作。

立即免费体验